1/76
Diversity of Organism
Name | Mastery | Learn | Test | Matching | Spaced | Call with Kai |
|---|
No analytics yet
Send a link to your students to track their progress
Species
a group of individual of common ancestry that closely resemble each other and that are normally capable of interbreeding to produce fertile offspring.
Controversy of Ernst Mayer Defintion
Asexual Organisms: have one parent and do not reproduce with eachother (bacterias.. but still are same species)
Some species can reproduce with similar species, thus forming hybrids
zebras and horses
General forms of classification
Generally classified through morphology back in the day. Carol Linnaeu made system and used both of binomial and observation- Swedish Botanist
By-habitat: land-dwelling aquatic
By eating habits : whether it is carniovre or herbivore
By movement: sessile (stuck or moves)
Daily activity: nocturnal or diurnal
By risk: poisonous not poisonous
By anatomy: intervertebral or vertebrae
Binomial Nomenclature
Dear Kevin Please Come Over For Good Spaghetti (From Generic (D) to Specific (S) )
Taxonomy: naming of organisms
Domain, Kingdom, Phylum, Order, Family, Genus, Species,.

Binomial Nomenclature Rule
1st name is a latin noun and is always capitalized refers to genus as in general “Homo”
2nd name is a adjetive no capital refers to species and is underlined in writing “Homo sapiens”
Dear Kevin Please Come Over For Good Spaghetti
Genus
(Brand of a car) Indicated a group of species that are very closely related and share a common ancestor
A group of similar and closely related species
Species
Various definitions for species exist but it is a group of organism with shared trait (can interbreed)
Benefit of Classification System
each organism had a unique and specific name thus it cannot be confused with another
added stability as scientists cannot change the name of the organism without an valid reason
names are universally understood regardless of nationality, culture, and language
Biological Species Concept
Made by Ernst Mayer
to be classified as same species, the organism must be capable of interbreeding and producing fertile offspring.
helps in cases of sexual dimorphism where male and female look significantly different
Cons
asexually reproducing organisms: bacteria and hybrids are not always infertile like zebras and horses
extinct species: fossil record cant determine whether able to interbred.
Different Arguments about Species
For microbes or single-celled organisms, one cannot utilize morphology. so must look at function
one can look into what type of molecule organism can produce when not physically observable features
for fossils, can use similarities to others to assign its species name position and classification.
Continous Variation
Wide range (no specificity) height
variation at any value of measurement for a specific characterstic like height
controlled by pollygenes: weight and height
Discontinous Variation
Specific variables or distinct categories like Blood: A, B, AB, O..
a continuum of variation from one phenotype to another like human height
Some variations are not continous, they are discrete like blood type
discontinous variation is variation that has two distinct groups that organisms belong to
no form or overlap between two phenotypes
Characteristics that show this are controlled by one gene, that has usually two alles (human system has 3).
Variation
Differences between individuals of a species. May be caused by genetic and environmental factors
this creates diversity
Condtion can affect (appearance) of organisms
Altering physiology of individuals affects continous variations. Tall plant may be dwarf but also consistently deprived of adequate essential mineral oils.
Phenotype
Product of both its genotype and influence of environment
Discontinous Variation can be caused
Effect in mutation or development, like homeotic mutations that cause discret changes in form of single mutuation (Loss of one pair of wings,)
morphology
form and structure of an organism
allele
alternative form of a gene that occupies a specific locus on a chromosome
Homeotic Mutuation
alteration in genes that determine the type or location of a body part during an organisms development
Morphological Species Concept
Original system for classyfying species which was based on appeareance and traits. Criticized but useful for plants
can be applied to asexual and sexual organisms
does not require info on gene flow
can be applied to extinct fozzilised species
easiest and fastest way to identify based on appearance
but
subjective scientists may disagree
individuals may appear different such as males and females (sexual dimorphism)
Sexual Dimorphism
differences in appearance between males and females of the same species, such as in colour, shape, size and structure.
Idea of Morphological Species Concept
species are groups of organisms with shared traits.
Species concept:
a working definition of a species and a methodology for determining whether two organisms are members of the same species.
Taxonomy
Taxon: classificatory grouping, general name for groups with classification system
The science of classification
Define Binomial System
Double names for organisms, in Latin with generic name preceding scientific name
Biological Species Concept
Created by Ernst Mayer
a species is a group of organisms that can breed and produce fertile offspring
Limitations to Biological Species Concept
not apply to organisms that reproduce asexually all or most of the time like prokaryotes
does not apply to organisms that are extinct
overemphasizes gene flow and downplays the role of natural selection, as natural selection can cause many pairs of species that are morphologically and ecologically distinct to remain distinct and yet have gene flow between them
Ecological Species Concept
alternative to morphological species concept
species is a group of organisms that is adapted to a particular set of resources; this concept explains differences in form and behaviour between species as adaptations to resource availability.
defines a species according to their ecological niche
for ex, two species of finches on the Galapagos islands may be similar in appearance but distinguishable based on what they feed on
Advantages of Ecological Species Concept
can accomodate asexual as well as sexual species
emphasizes the role of disruptive natural selection as organisms adapt to different environmental conditions
Limitations of Ecological Species Concept
Niche are generally difficult to identify because a niche involves the interaction between organism and its environment
Ecological Species Concept
Species is a group of organisms that is adapted to a particular set of resources (niche); this concept explains differences in form and behaviour between species as adaptations to resource avalability
Evolutionary species concept
A species is a single lineage of populations descending from a common ancestor, which maintain its identity from other such lineages and which has its own selection pressures and evolutionary outcome
developed thanks to the ability to compare genetic sequences from different organisms to compare similarities and potential ancestry.
Population
interacting groups of organisms of the same species living in an area
Different Species Concepts

Speciation
when a population of same species divides into two groups causing that they can no longer reproduce together and thus form a new species
caused by changes in chromosomes number, errors in cell division (produced twice), changes in the behaviour of reproduction cycle, reproductive barrier, physical barrier,
population
organisms are part of populations
a group of individuals of same species, living close enough to be able to interbreed
species live normally in localized populations, local population boundaries hard to define
species from local population seem to resemble each other
Local population and speciation
They can be a starting point for speciation
speciation is the name we give to the process by which one species splits into two or more species
process by which new species form where one splits into two or more. before they share a common gene pool, but after isolation their genes undergo mutations (just for one)
a new population can also occur from the one that seperated
smallest unit of evolution is population, populations can evolve.
Genetic Diversity
biological variation within species which allows for species to adapt.
by studying chromosomes one can study genetic diversity
Chromosomes
thread-like structure that is narrow made of protein and a single molecule of DNA that serves to carry genomic info from cell to cell.
function: carry genes in a linear sequence that is shared by members of a species
made by DNA that is folded and histones that are wrapped around that have nucleaosomes which then are coiled until forming chromosomes
between nuclear division, can replicate when uncoiled or are in the form of chromatin and can’t be seen (in cell cycle of interphase)
genome
total amount of genetic matierial in an organism or cell and is directly related to amount of DNA. or the collection of nitrogenous bases
doesn’t increase due to being human or complexity
genome size cant be reduced from number of chromosomes
the # chromosome stays the same for species but (characteristic)
eukaryotic organisms vary due to a change of sequence or amount of DNA but not in DNA bases since code is conserved for all organisms- this allows unity all share same gene
genome
we all posses same genes, but not the same as some are called alleles
between humans have a 0.4% difference
while in chimpanzees and humans difference is 4% bigger- that tiny difference is Single Nucletoide Polymorphism (only one base pair)
# of Chromosome Per Species
chromosome diversity human 46 chimpanzee 48

centromere
somewhere along the length there is a narrow region called the centromere, which is an indent, that is always in same position regardless of being able to be anywhere
position of centromere and length of chromosome allows scientists identify chromosomes in photomicrographs
constriction of chromosomes, the region that becomes attached to spindle fibres during nuclear division
Diploid Nucleus (somatic)
Chromosome of a cell occurs in pairs called homologous pairs (cells has two sets of chrome)
one of each came from male parent and another from female parent
2n (n each chromosomes)
Homologous chromosomes share the same sets of genes in the same order but sometimes their alleles are different. For example one chromosome may have the dominant allele for round seeds (R), while the other has the recessive allele smaller seeeds r.
New formed by mitosis
Homologous
Homologous chromosomes share the same sets of genes in the same order but sometimes their alleles are different. For example one chromosome may if heterozygous have the dominant allele for round seeds (R), while the other has the recessive allele (
share same size and structure, share the same genes at locus locations
Homozygous alleles
having two identical alleles from a gene
Heterozygous
having two different alleles from a gene one dominant another reccesive (round seed R while other reccesive allele)
Haploid Nucleus (prokaryotic)
However for any organism to reproduce needs this cells. Cells having one set of chromosomes
n (sex cells)
formed as a result of meiosis which is a form of nuclear division.
Alleles and Locus
chromosmes have a gene sequence, the position of a gene is a locus, and each gene has two or more forms called alleles
two alleles can carry same sequence of bases coding for identical protein. if they same allele carries same sequence of bases that code for identical proteins at the locus on both copies of homologous pairs is described as homozygous
if two different alleles . it is called heterozygous
Chromatids
are formed after replication
chromatids remain attached by their centromeres until they are separated during nuclear division, once divided they are recognized as chromosomes again (this is very specific and copy DNA double helix that runs length, need special enzymes)
chromosome replication

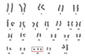
Karyotype
number and type of chromosomes present in an organism which are seen during mitosis, at that stage each chromosome is present by two chromatids held together by a centromere
karyograms
photographs obtained by cell sample in which homologous chromosome are arranged in descending order of size (1-22 autosomes and last 23 X/Y sex chromosome or XX (sex chromsome), y being smaller (each chromosome replicayed and exists as chromatids held together by centromere)

Why karyograms
Through blood tests people can do prenatal test. This has various benefits as one can check number and appearance of chromosome to detect abnormalities like the duplication, translocation, absence, or deletion of a chromosome.
amniotic fluid and blood- help find abnormaliies and gender
karyotyping
isolating condensed chromosomes taken from actively dividing cells
stain and highlight pattern if isolated at right time then two chrom copies are attached.
Karyotype Guide Analysis
Male: X longer than Y chromosome
Women: XX (23) same size
trisomy 21 (Down Syndrome)
Human Genome project
collection of all basses, scientists wanted to sort out all bases in cells, “map entire human genome”- publicly funded 1990 then achieved in 2000. did 200 labs
help revise classification
dtermine how many genes human hace
ability to locate genes that cause genetic disorders
develop bionformatic: storage manipulation of bio data
general evolution
change over time in the genetic composition of a population
described culmulative changes that occur within population
may change so much forms own species
population may accumulate enough change that it constitutes a new species a new life form
Darwanism Evolution
change in heritable characteristics overtime in the genetic composition of a population (characteristics encoded by genes and transferred between generations as alleles)
defines evolution as descent with modification
current species are descendant of ancestral species
the change in the genetic composition of a population from generation to generation.
Darwin Ideas
nature tends to overproduce offspring then what the environment can hold which causes competition for resources and keeps population constant
individual within population not idential but have variation
variation help adapt better to environment increase survival rate (natural selection)
properly adapt to environment causes again cycle of speciation
common ancestor
A group of organisms is said to have common descent if they have a common ancestor. all living organism come from common ancestor
James Hutton & Lyell
Suggest that geological process take time and is same process changed the world until today
Uniformitarianism: idea of Earth has always changed in uniform ways and present is key to the past
Darwin concept of evolution: by natural selection

Lamarck
Thought that acquired charactersitics are traits that are altered during life and then change would happen in one generation. he was correct only on the fact that , as species change in response to environemnt.
Mathius
identified probability, saw hunger, and disease caused by God in order to stop overpopulation. Inspired Darwin to refine natural selection by stating a reason for competition between animals.
Lamarck evolution by use of organs
change in envrionemnt led to use of certain organs and disuse of others
organs used to have greater use, now shrink
changed aqcuired pass down after 1 generation
Two ideas Darwin natural selection
natural selection is caused of adaptive evolution and it explains unity and diversity
Natural selection
mechanism by which evolution occurs
differential success in reproduction among individuals that vary heritable traits
reproductive differences emerge as each individual interacts with environment
can increase adaptation in an organism
adaptation
A change that allows an organism to function better in a particular environment.
If an environment changes over time, or if individuals of a particular species move to a new environment, natural selection may result in adaptation of these new conditions, sometime given rise to new species.
artificial selection
identification by humans of desirable traits in plants and animals, and the steps taken to enhance those traits in future generations
Selective Breeding
form of artificial selection, where by man, intervenes in the breeding of species to produce desired traits in offsprings (rapid change)
dog possesing desired traits are bred in hope that they will pass on alleles for certain traints desired.
Natural selection
Over time, natural selection can increase the adaptation of organisms to their environment.
Natural selection is more a process of editing than a creative mechanism. mechanism by which evolution occurs
if environment change over time or species migrates, natural selection can result in adaptation of new conditions sometime give rise to new species.
Transgenic organism
Genetically modified has been altered through recombinant of DNA tech which involves either the combining of DNA from different genomes or the insertion of foreign DNA into a genome.\
gene- segment of DNA contain trait- transcribe translate to make protein
Soya Argentina today country relies on soya
adaptive radiation is consequence divergent evolution
surge of one species close to one ancestor which different than convergen evolution
analogous structures
biological strucutes havign similar function
caused by convergent evolution

Trisomy 21
Down Syndrome