1/102
Looks like no tags are added yet.
Name | Mastery | Learn | Test | Matching | Spaced |
|---|
No study sessions yet.
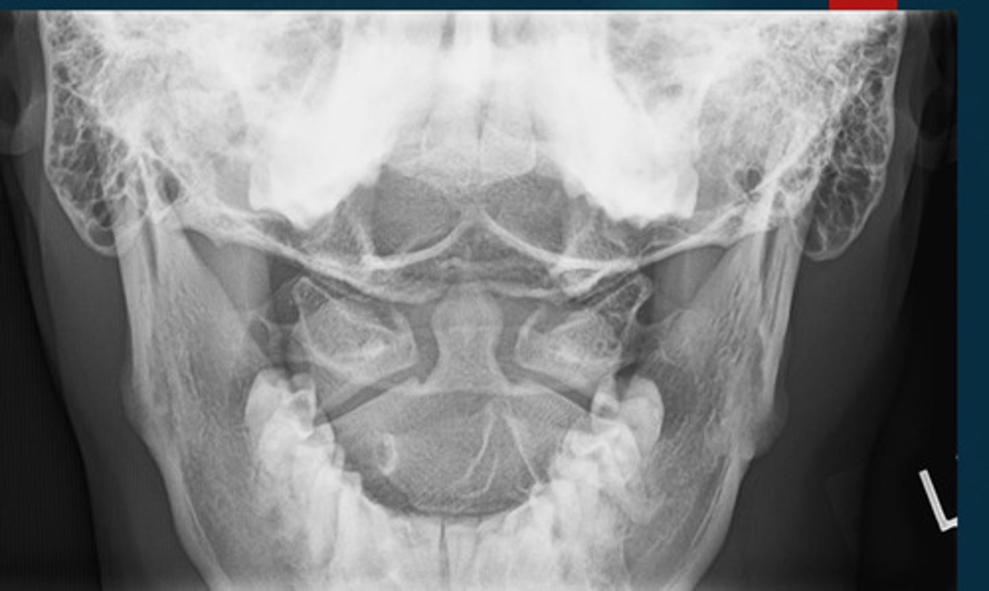
APOM
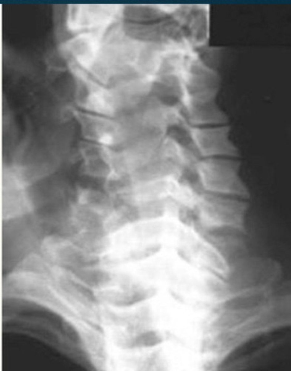
What projection view is this?

AP Cervical
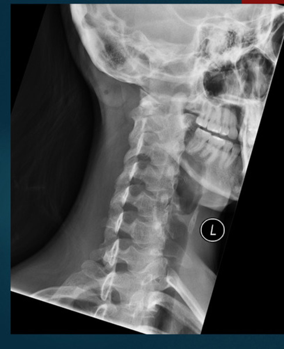
What projection view is this?

Lateral Cervical
What projection view is this?

Stress Views
What projection view is this?

Oblique
What projection view is this?

Swimmer's Lateral
What projection view is this?

Pillars View
What projection view is this?

Nasium
What projection view is this?

Vertex
What projection view is this?

Base Posterior
What projection view is this?

Sagittal
What plane is this?

Axial/Transverse
What plane is this?

Frontal/Coronal
What plane is this?

T1
What MRI sequence is this?

T2
What MRI sequence is this?

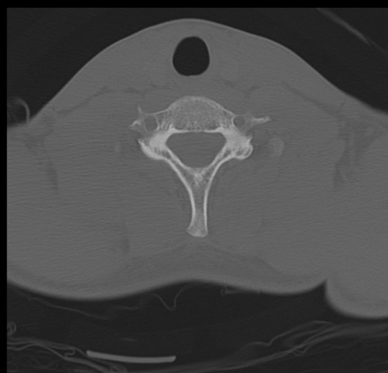
Bone
What modality is this?

McGreggor's
What line of mensuration is this?

Atlantodental Interval
What line of mensuration is this?

Atlantoaxial Alignment
What line of mensuration is this?

Cervical Lordosis
What line of mensuration is this?

Cervical Gravity Line
What line of mensuration is this?

Ruth Jackson's Line
What line of mensuration is this?

George's Line
What line of mensuration is this?

Spinolaminar Junction Line
What line of mensuration is this?

Sagittal Canal Dimension
What line of mensuration is this?

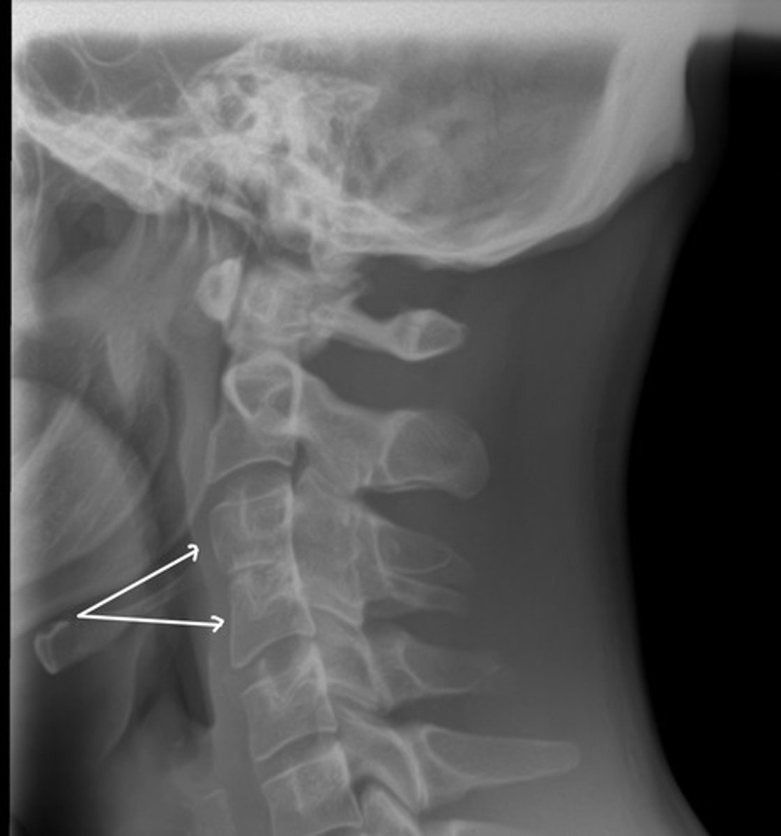
Prevertebral Soft Tissues
What are we looking at?

Paracondylar Process
What anomaly is this?

Epitransverse Proces
What anomaly is this?

Third Condyle
What anomaly is this?

Occipitalization
What anomaly is this?

Complete Posterior Arch Agenesis
What anomaly is this?

Partial Posterior Arch Agenesis
What anomaly is this?

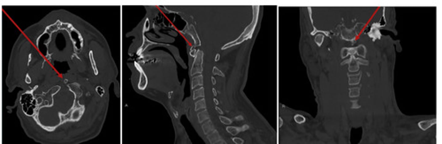
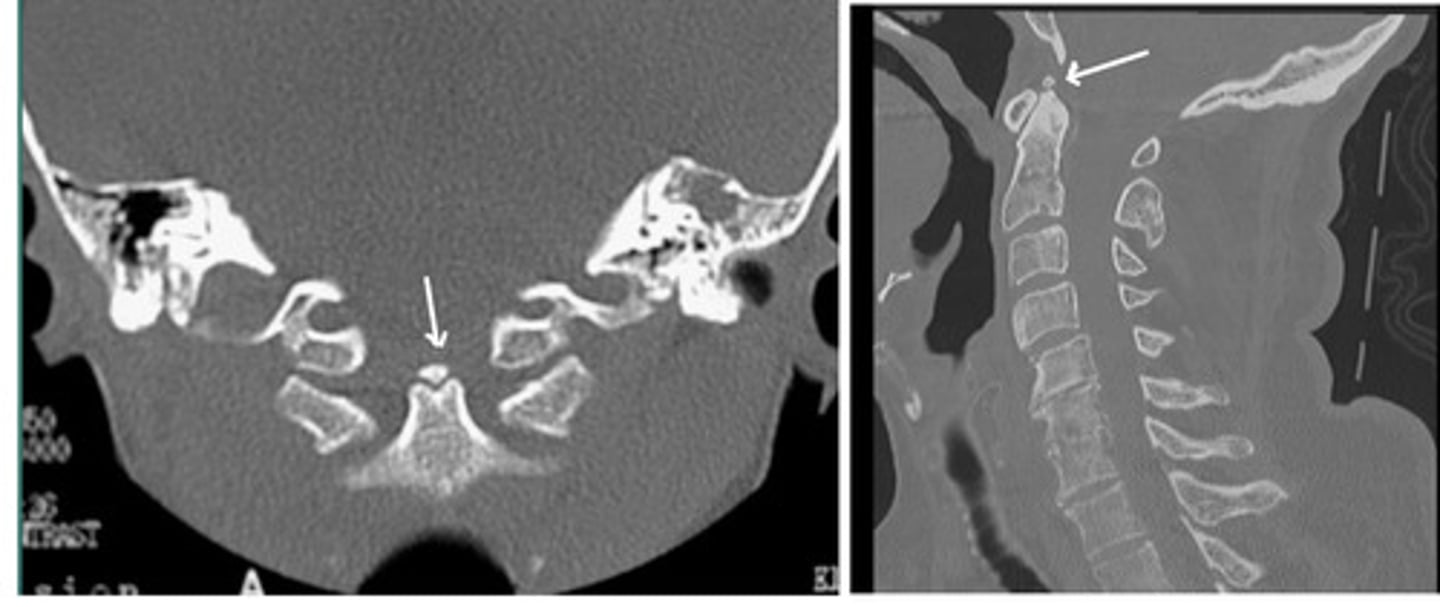
Os Terminale Bergman
What anomaly is this?

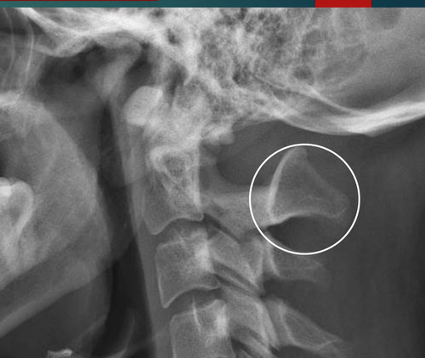
Os Odentoideum
What anomaly is this?

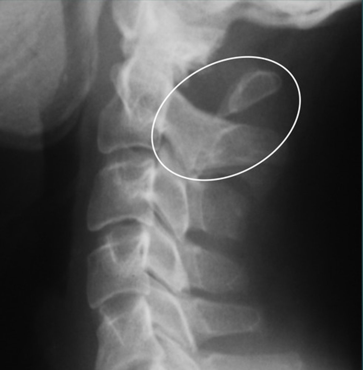
Dens Agenesis
What condition is this?

Type 2
What type of dens fracture is this?

Type 1
What type of dens fracture is this?

Type 3
What type of dens fracture is this?

Mach Effect
What type of effect is this?

Congenital Block Vertebra
What are we looking at here?

Acquired Block Vertebra
What are we looking at here?

Hemivertebra
What are we looking at here?

Congenital Cervical Spondylolisthesis
What condition is this?

Cervical Ribs
What are we looking at here?

Hydroplastic Rib 1
What are we looking at here?

Spina Bifida Occulta
What are we looking at here?

Posterior Ponticles
What are we looking at here?

Nuchal Bones
What are we looking at here?

McRae's Line
What are we looking at here?

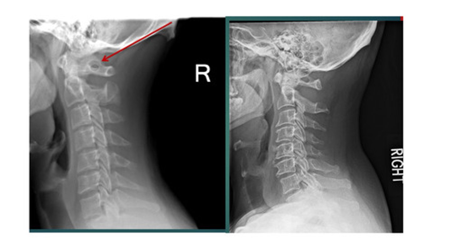
Cervical Osteoarthritis
What abnormality are we looking at?

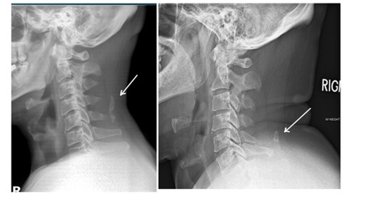
Stylohyoid Ligament Calcification
What abnormality are we looking at?

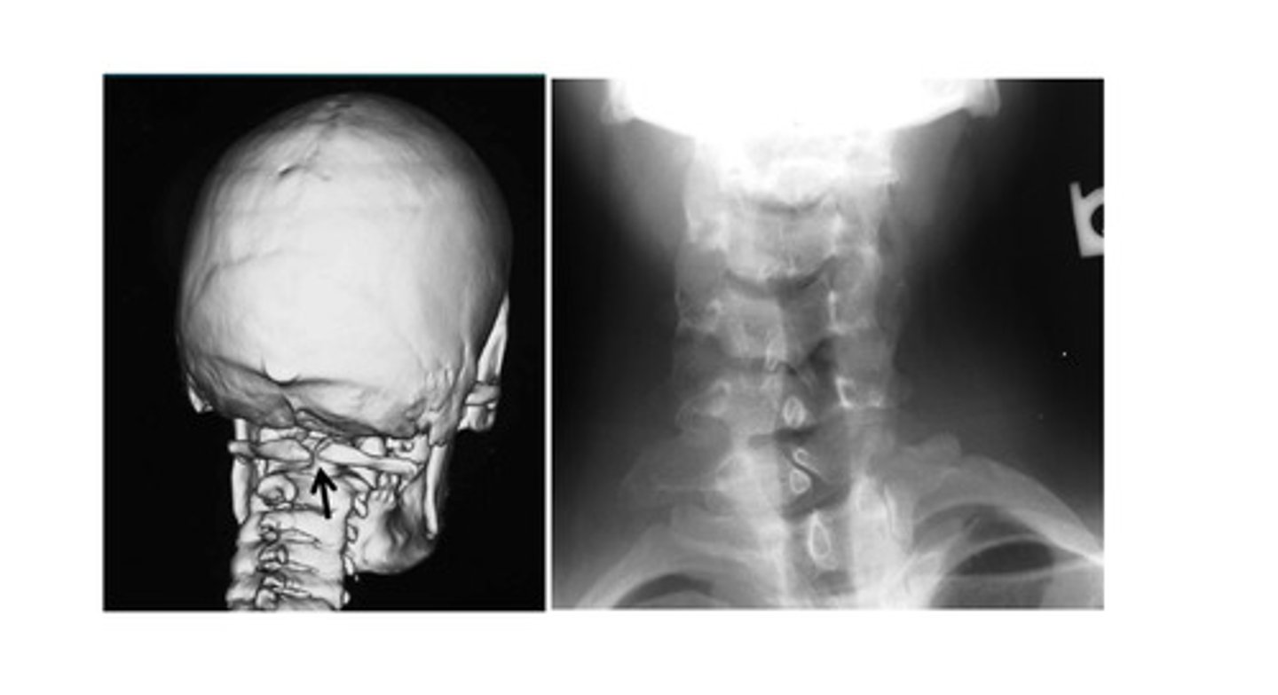
Klippel Feil
If we see more than two abnormalities, what anomaly are we looking at?

Acquired Spinal Canal Stenosis
What abnormality is this?

Achondroplasia
What abnormality is this?

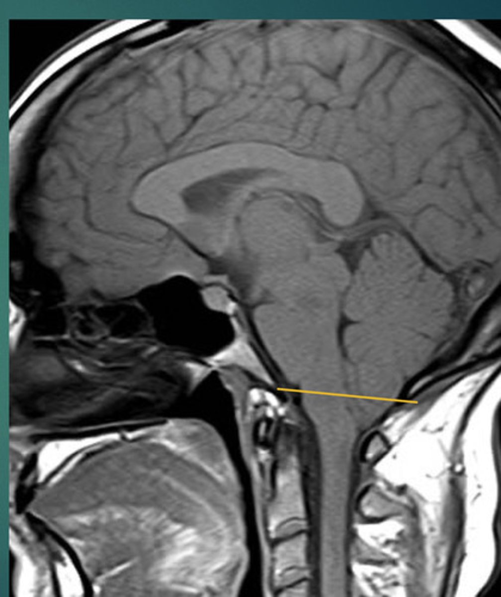
Arnold Chiari Malformation
What abnormality is this?

Syringomyelia
What abnormality is this?

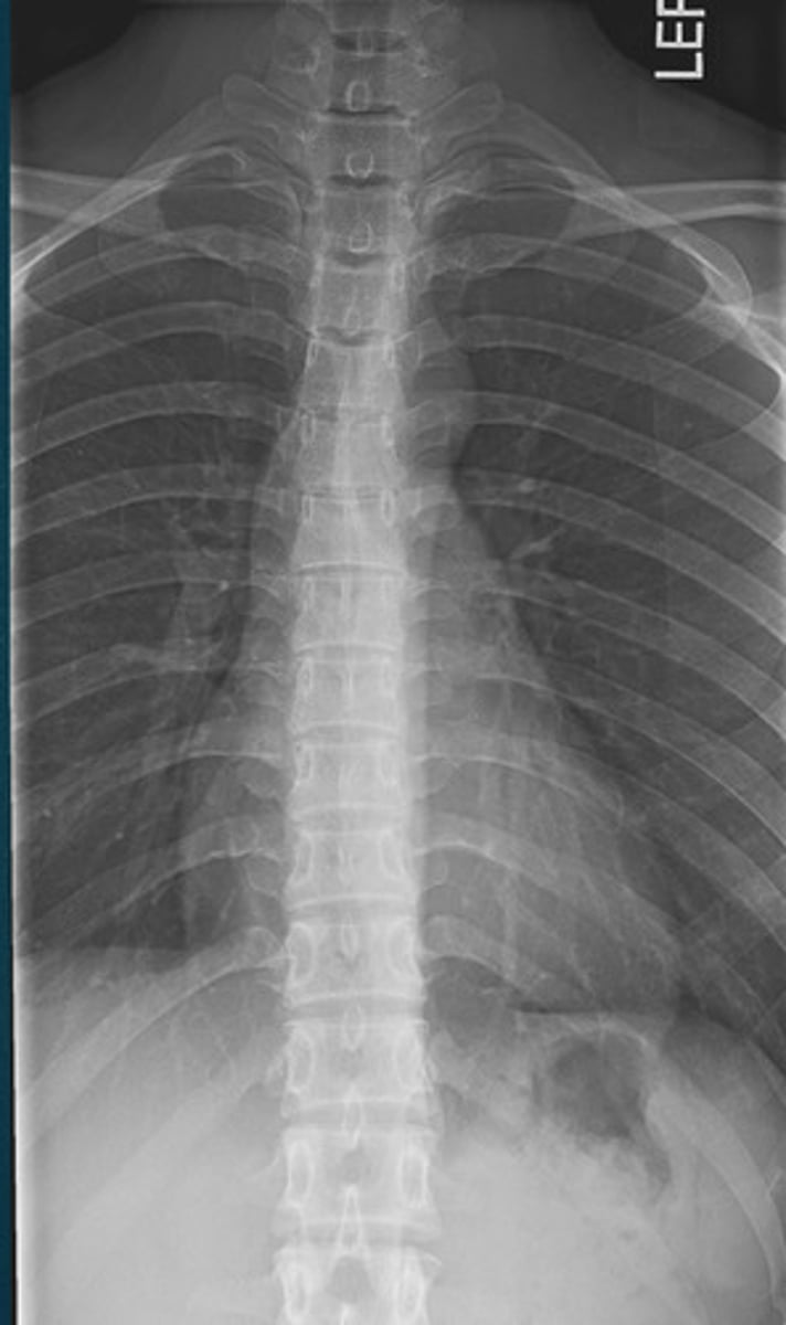
AP Thoracic
What projection view is this?

Lateral Thoracic
What projection view is this?

Hyperkhyphosis
What do we see in this projection?

Cobb's Angle
What line of mensuration is this?

Risser-Ferguson Angle
What line of mensuration is this?

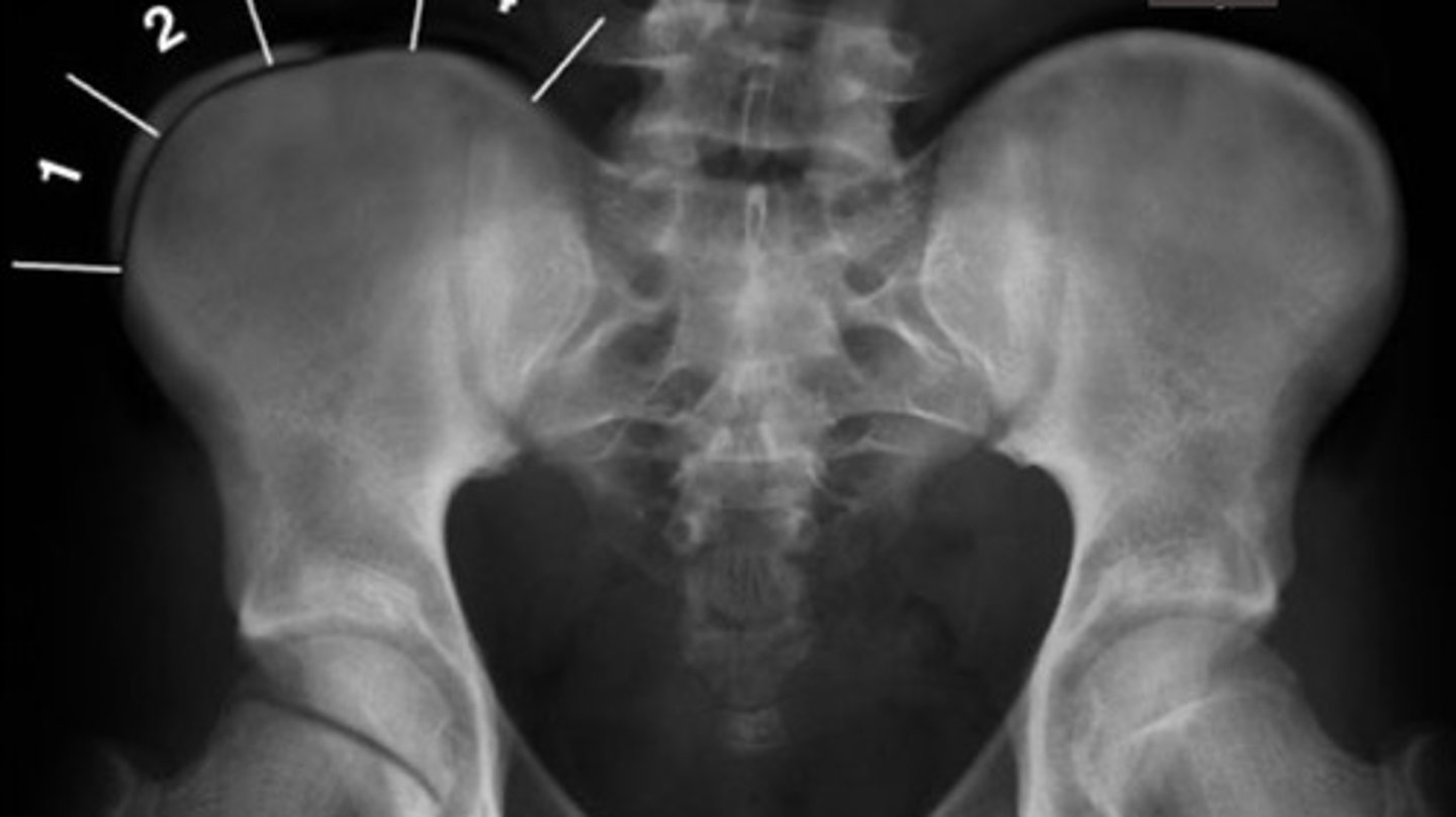
1
What grade Risser sign is this?

3
What grade Risser sign is this?

4
What grade Risser sign is this?

5
What grade Risser sign is this, on the patient's left?

Hemivertebra
What anomaly is this?

Butterfly Vertebra
What anomaly is this?

Pedicle Agenesis "Winking Owl" Sign
What anomaly is this?

Lytic Metastasis
What anomaly is this?

Ununited Secondary Ossification Center
What anomaly is this?

Schmorl's Nodes
What abnormality is this?

Scheurmann's Disease
What abnormality is this?

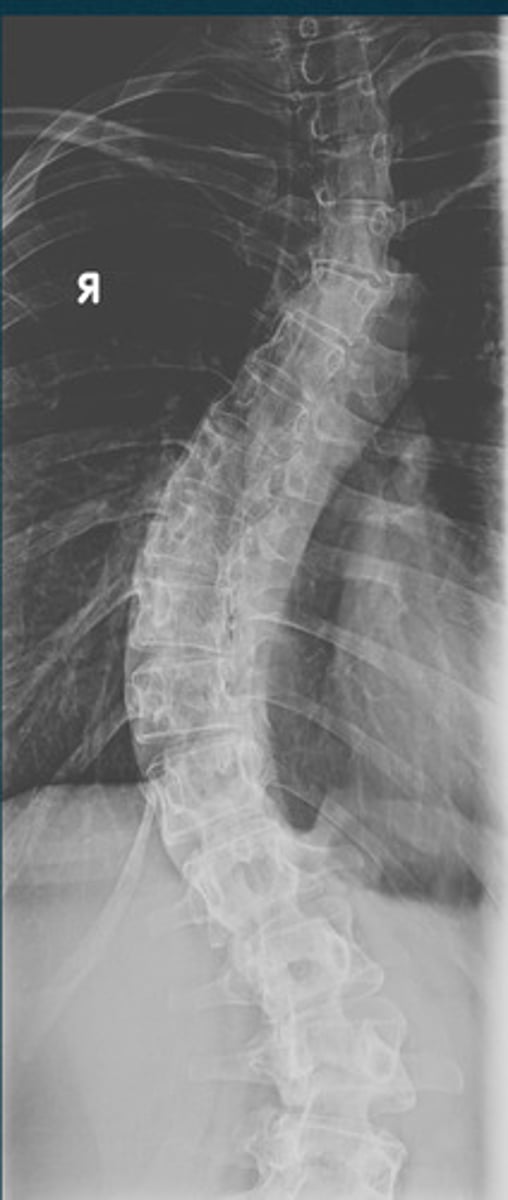
Idiopathic Scoliosis
What type of scoliosis is this?

Congenital Scoliosis
What type of scoliosis is this?

Tumor Associated Scoliosis
What type of scoliosis is this?

Pectus Excavatum
What type of abnormality is this?

AP Lumbar
What projection view is this?

Lateral Lumbar
What projection view is this?

Lateral Oblique
What projection view is this?

Modified Fergson
What projection view is this?

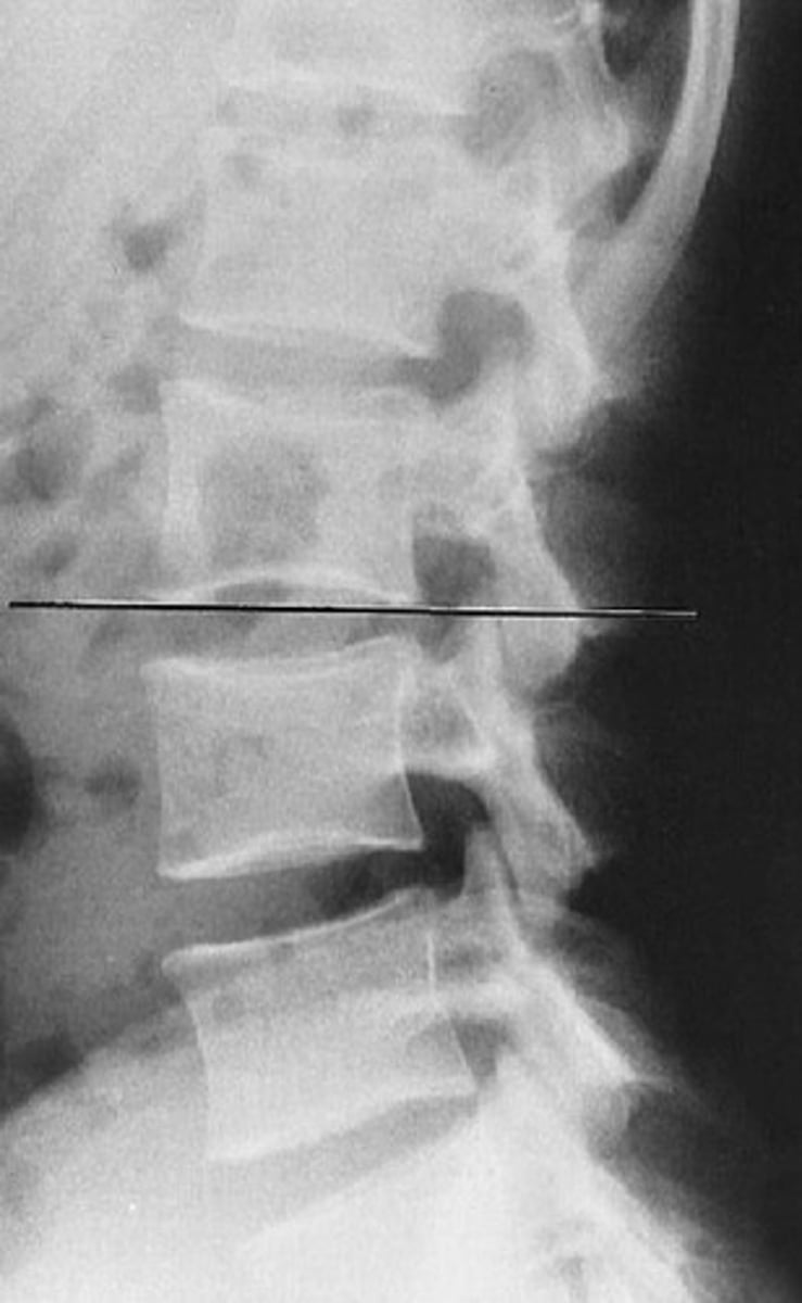
Lateral Lumbosacral Spot
What projection view is this?

Lumbar Lordosis
What line of mensuration is this?

Lumbar Disc Angles
What line of mensuration is this?

Lumbar Gravity Line
What line of mensuration is this?

Sacral Base Angle
What line of mensuration is this?

Ullman's Line
What line of mensuration is this?

Hadley's S Curve
What line of mensuration is this?

McNabb's Line
What line of mensuration is this?

Coronal Canal Dimension
What line of mensuration is this?

Meyerding's Method
What line of mensuration is this?

Oppenheimer Ossicle
What anomaly is this?

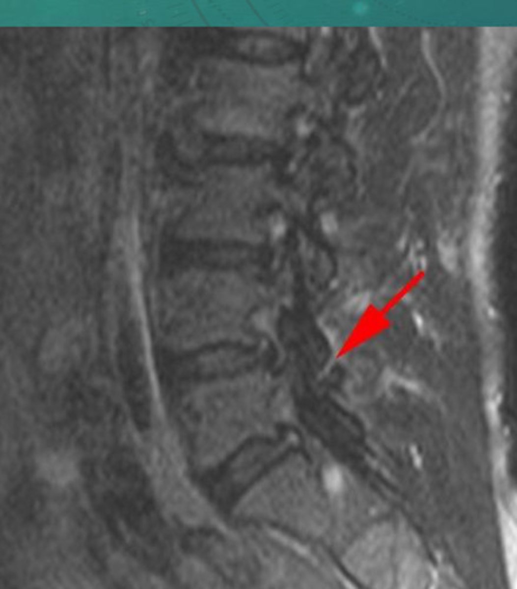
Lumbosacral Transitional Segments
What anomaly is this?

Nuclear Impression
What anomaly is this?

Lumbar Ribs
What anomaly do we see here?

Knife-Clasp Deformity
What anomaly are we looking at here?

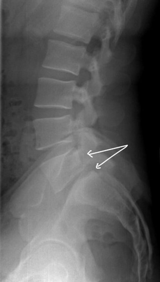
Spondylolytic Spondylolisthesis of L5
What type of spondy is this?

Degenerative Spondylolisthesis of L5
What type of spondy is this?

Dysplastic Spondylolisthesis
This type of spondylolisthesis is associated with lucency on x-ray. What type of spondy is this?

Traumatic Spondylolisthesis of C2
What type of spondy is this?

Inverted Napoleon Hat Sign
This image was flipped upside down to depict what abnormality?
