1/20
Looks like no tags are added yet.
Name | Mastery | Learn | Test | Matching | Spaced | Call with Kai |
|---|
No analytics yet
Send a link to your students to track their progress
Moss — archegonial head
Egg cell, venter, stalk, neck, paraphyses (sterile hair), archegonia

Moss — Antheridial Head
Antheridia, spermatogenus tissue (n), paraphyses (n)sterile hairs

moss — sporophyte
Peristome teeth, operculum

moss — sporophyte
Sets stalk, spores, columella

Moss Protonema
Grows from moss spores

Fern sorus
Leaf, 2n sporangium, spores, annulus, insidious (2n)

Fern Gametophyte
Archegonia, antheridia, rhizoids

Brown Algae — Laminaria
Sporangia, spores, paraphyses

Brown Algae— Dinoflagellates
Nucleus, girdle

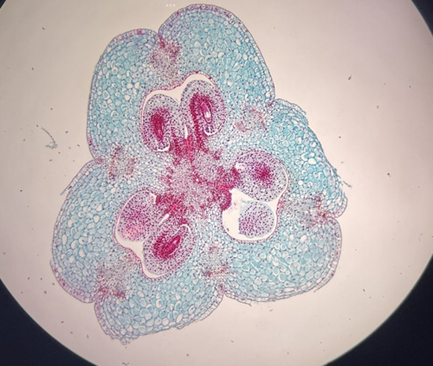
Pinus Pollen Cone
Microsporangium, pollen grains, mircorsporophyl

Pinus Seed
Ovuliferous scale, ovule (2n), sterile bracket

Pollen grain
Nucleus (n), generative cell, tube cell, tube cell nucleus, wings

Ovule (2n), megasporangium, megaspore

Angiosperm — lily ovary
One carpel, Locule, ovule, female embryo sac (gametophyte 2n), placenta

Ovary wall, locule, Furniculys, ovule, embryo sac, microphyle, placenta

Angiosperm — pollen grain
Tube cell, pollen tube nucleus, generative cell, generative cell nucleus

Angiosperm — Lily Anther
Anther (2n), pollen sac microsporangium, pollen grain (n)


Green Algae — Spirogyra conjugation
Movement of gamete
Zygote, empty cell, tube formation, chloroplast
What is happening here?

Green Algae — Oedegonium
Oogonium, Egg cell, antheridia, fertilization pore

Still learning (18)
You've started learning these terms. Keep it up!