1/32
included on exam 3, updated for spring 2026
Name | Mastery | Learn | Test | Matching | Spaced | Call with Kai |
|---|
No analytics yet
Send a link to your students to track their progress
parasites
consume parts (tissues/fluids) of a living prey organism (host)
may be external (ectoparasite) or internal (endoparasite)
may be large (macroparasite) or small (microparasite)
can be pathogens
represent ~50% of the species on earth because:
A) most parasites are specialized for one or a few host spp.
B) most host spp. are attacked by >1 parasite spp.
C) even parasites have parasites (e.g. Lentille virus on amoeba, lentille virus has Sputnik 2 virus, Sputnik 2 has chunks of transpovirons in it)

pathogens
parasites that cause diseases
examples of ectoparasites
tongue-parasitizing isopod on greater weaver fish
eyelash mites
dust mites on hair
many fungi (e.g. trichophyton rubrum, rust fungi)
parasitic plants (2 classifications: holoparasites and hemiparasites; e.g. mistletoe)
holoparasitic plants
ectoparasitic plants that cannot photosynthesize
extract all H2O, minerals, and carbohydrates from host plant xylem and phloem
completely dependent on host (obligate)
e.g. Haustorium, dodder, corpse flower
memory tip: holo rely wholly on their host (sound alike)

hemiparasitic plants
ectoparasitic plants that can photosynthesize
extract H2O, minerals, and some but not all carbohydrates from host plant
may be completely dependent (obligate) or not dependent (facultative) on host
e.g. mistletoe

epiphytes
plants that grow on other plants, but don’t derive nourishment from their anchor plant
aka air plants
NOT PARASITES
e.g. bromeliads, orchids, Spanish moss, resurrection fern

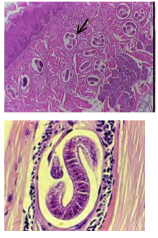
examples of endoparasites
tapeworms
roundworms
nematoda
Plasmodium
tapeworms
intestinal endoparasites of most vertebrates
class Cestoda
highly specialized
specialized attachment organs (hooks and suckers)
no sense organs
no brain or nerve cords
no mouth or gut
absorbs host’s pre-digested nutrients

roundworms
endoparasites in phylum Nematoda
~25k spp. known, likely 20x more in existence
highly abundant (90% of animals on ocean floor, 80% of all individual animals on earth)
ubiquitous (in soil (terrestrial, under fresh and salt water), pole to pole, harsh deserts, deep in the earth, in plant and animal tissues and fluids)
predators, scavengers, and parasites of animals, plants, fungi, bacteria
some are parasites of vertebrates
e.g. Ascaris
Trichinella spp.
a group of nematodes
mammalian and reptilian parasites
cysts live in muscle tissue (hatch when eaten by new host, young worms burrow through intestinal wall and muscles. Sometimes enter CNS)
cause trichinosis
symptoms: cramping, diarrhea, fever
in US, ~12 cases per year (reduced by not allowing the feeding of raw meat to hogs)

guinea worm (Dracunculus medinensis)
endoparasite in phylum Nematoda
1) human ingests copepods with larvae in unfiltered H2O or undercooked fish
2) larvae burrow into stomach lining
3) female emerges from blister into H2O (~10-14 months after ingestion)
4) copepods eat larvae
may become the first non-viral parasite to be eradicated in humans
can host in dogs and other animals (previously thought to only host in humans and copepods)

filaria worms
endoparasites in phylum Nematoda
cause elephantiasis (lymphatic filariasis)
spread mainly by biting insects (e.g. mosquitos and blk flies); infection requires repeated bites over months to years
live in human lymph system usually undetected
some have swelling due to blocked lymph nodes

African eye worm (Loa loa)
endoparasite in phylum Nematoda
causes filariasis in eye
~12-13 million humans infected with larvae
human form is restricted to the rainforest and swamp forest areas of West Africa
contracted through biting insects (deer fly, mango fly)

life cycle of an endoparasite
complex
>1 host
several life stages (may have free-living stages)
e.g. Plasmodium spp. (malaria)
Plasmodium
organism that causes malaria
parasite of mammals, birds, reptiles (5 spp. infect humans, Avian malaria has decimated Hawaiian birds)
~250 million people currently infected, ~500,000-900,000 people die each year
hard to make vaccine since it hides inside cells and constantly changes surface protein
very complex life cycle (sexual and asexual stages, diploid and haploid stages, two or more hosts needed for reproduction)

Plasmodium life cycle
mosquito bites human and injects saliva with Plasmodium in stage 1 (sporozoite)
Plasmodium goes inside liver cells, divides asexually, transforms into stage 2 (merozoites) which are released into the blood stream
stage 2 form goes inside RBCs, divides asexually, are released into blood stream every 48-72 hrs, causing fever
most reinvade RBCs, fever subsides; but some transform into nonpathogenic stage 3 (gametocytes)
mosquito bite transfers stage 3 form into mosquito
in mosquito, transform into male and female gametes
in mosquito stomach, male and female gametes combine (fertilization/sexual reproduction) and form zygote
zygote encased in hardened protective capsule (oocyst) divides asexually to produce new stage 1 form
oocyte bursts and releases stage 1 form, which go to mosquito salivary gland

advantages of ectoparasitism
ease of dispersal
safe from host’s immune system
disadvantages of ectoparasitism
vulnerability to natural enemies
exposure to external environment
feeding is more difficult
advantages to endoparasitism
ease of feeding
protected from external environment
safer from natural enemies
disadvantages to endoparasitism
vulnerability to host’s immune system
dispersal is more difficult
parasitoids
organisms that gradually consume tissues of hosts, eventually killing host
combine traits of parasites and predators
most are wasps or flies
typically host-specific
adults are free-living; only females search for host
only attack a particular life stage of one or several related spp.
eggs are laid in, on, or near host
immature life stage develops on or within a single insect host (feeds on body fluids and organs, ultimately kills host, leaves host to pupate or emerges as an adult)
can alter behavior of host
e.g. some humpbacked flies, phorid flies used to control red imported fire ant populations, horse hair worms, lancet liver fluke, ophiocordyceps

humpbacked flies
parasitoids in family Phoridae, order Diptera
~4000 spp.
most occur in tropical regions worldwide
different spp. have highly varied lifestyles (predators, fungus feeders, dung-dwellers, decomposers of animal flesh, plant parasites living between leaf tissue layers, parasitoids)
red imported fire ant
invasive to US from central Brazil
being controlled using 2 spp. of decapitating parasitoid phorid flies
also trying a protozoan and fungus
horse hair worms
parasites of terrestrial and aquatic insects and freshwater crawfish
~320 spp
live in freshwater, leaflitter, and algal mats near edges of streams and ponds
adults have no mouth or functional digestive tract
causes infected insect to go crazy, jump in water and drown
adult then burrows out and is now in water again to lay eggs
lancet liver fluke
infects cattle and occasionally humans
alters behavior of intermediate host to facilitate spread
ophiocordyceps
fungal parasites of ants and other rainforest insects
ascomycete fungi (sac fungi) that includes ~400 described spp, ~140 of which grow on insects
“zombie ant”
host defenses against parasites
immune system
biochemical defenses
examples of host immune system defense against parasites
phagocytosis
antimicrobial peptides
natural killer cells
lymphocytes (memory cells)

examples of host biochemical defense against parasites
vertebrates have transferrin that moves iron from plasma into cells → makes parasite growth in blood very difficult
hemlock is in the diet of caterpillars targeted by parasitic flies, which increases chance of survival and causes development to adult to be faster (hemlock is toxic)

examples of parasite adaptations to circumvent host defenses
e.g. Plasmodium merozoites infect RBCs, which don’t grow and don’t need nutrients, but plasmodium adds channels to RBC surface to transport nutrients to cell. Plasmodium causes RBCs to stick to other cells, preventing movement to spleen when misshapen
e.g. parasitoid wasps laying eggs in Drosophila inject a virus that kills encapsulating cells that would normally cover and kill parasites/eggs

example of extinction caused by parasites
chestnut blight (a fungus) knocked American chestnut abundance from 3 million to ~100 in <30 years
importance: American chestnut once ranged from Maine to Mississippi (~25-30% of all hardwoods in PA)
nuts were very important for wildlife

example of population fluctuations caused by parasites
4-year fluctuations of red grouse populations
possibly due to parasitic nematodes
in a study, parasite removal (via vaccination) reduced fluctuation (but did not completely stop population cycles)

brood parasites
not really true parasites
but do reduce population growth rate (lambda)
lay egg in nest of another animal (usually birds)
brood parasite egg is larger, possibly kicks out other eggs, takes all care and nutrients from mother bird
e.g. cuckoos are brood parasites to wrens, brown-headed cowbirds are brood parasites to eastern phoebes and warblers
