CW Doppler and Duplex Scanning

0.0(0)
studied byStudied by 0 people
0.0(0)
full-widthCall with Kai
GameKnowt Play
New
learnLearn
examPractice Test
spaced repetitionSpaced Repetition
heart puzzleMatch
flashcardsFlashcards
Card Sorting

1/51

encourage image

There's no tags or description

Looks like no tags are added yet.

Study Analytics
Name
Mastery
Learn
Test
Matching
Spaced

No study sessions yet.

52 Terms

1
New cards

CW Doppler capabilities

evaluate for obstruction and venous incompetence

2
New cards

CW Doppler limitations

fixed sample volume, no anatomic image, no range resolution, difficult to differentiate deep venous obstruction vs extrinsic compression

3
New cards

CW Doppler physics principles

2 crystals, 5 Mhz, 45-60 degree angles

4
New cards

looking for CW Doppler signal

find the arterial signal and angle medially

5
New cards

reverse trendelenburg

position where pt legs are below the heart level

6
New cards

spontaneous flow should be present in the extremities without augmentation, except for

tibials, GSV, radial/ulnar

7
New cards

continuous flow patterns in extremities can be consistent with

proximal venous obstruction or shallow respirations

8
New cards

absence of augmentation with distal compression indicates _______, if venous reflux occurs, this indicates ______

obstruction, incompetent valves

9
New cards

venous reflux

a condition where blood flows backward in the veins, instead of upwards towards the heart

10
New cards

with prox compression or _____, venous flow should ____

valsalva, halt

11
New cards

if augmentation happens with valsalva/______, this indicates _____

prox compression, venous reflux

12
New cards

once prox compressions are______, signal should _____. If not, this indicates obstuction

released, augment

13
New cards

causes pulsatile flow in subclavian vein

proximity to heart

14
New cards

can cause pulsatile flow in the lower extremities

fluid overload, chronic venous insufficiency, or increased venous pressure

15
New cards

can result in increased venous pressure

a heart problem, like CHF

16
New cards

venous flow is related to _____ and can also be affected by _____

arterial peripheral resistance, venomotor tone

17
New cards

vasodilation of veins flow

continuous flow with less respiratory variations

18
New cards

vasocontriction of veins flow

decreased venous flow signals

19
New cards

false positive causes

extrinsic compression, peripheral arterial disease, improper doppler angle or probe pressure

20
New cards

peripheral arterial disease leads to

decreased venous filling

21
New cards

COPD leads to an elevated _____ which alters pressure gradients and reduces _____

central nervous venous pressure, venous flow patterns

22
New cards

CW Doppler false negative causes

partial thrombosis, collateral development, duplicate deep veins

23
New cards

Duplex false negative causes

technically limited, prox obstruction (iliacs)

24
New cards

Duplex scanning limitations

edema, recent surgery, obesity

25
New cards

duplex scanning abd/pelvic capabilities

portal hypertension, venous thrombus, extrinsic vs intrinsic, assess shunts, eval liver disease

26
New cards

automatic cuff inflator for FV eval

cuff at thigh, 80 mmHg

27
New cards

automatic cuff inflator for pop eval

cuff at calf, 100 mmHg

28
New cards

automatic cuff inflator for PTV eval

cuff at transmetatarsal, 120 mmHg

29
New cards

<0.5 s

normal flow reversal

30
New cards

0.5-1.0 s

abnormal flow reversal

31
New cards

color flow imaging reveals venous reflux as a _____ during ____

directional shift, valsalva

32
New cards

subclavian and innominate are difficult to ______, and along with IJV have _____ waveforms

compress, pulsatile

33
New cards

dilated IVC size

>2 cm

34
New cards

can cause dilated IVC and pulsatile MPV

cardiac failure, and fluid overload

35
New cards

acute thrombus

not fully compressible, low-level echoes, dilated vein, rouleau formation

36
New cards

if flow is not spontaneous at CFV, FV, or POP V

obstruction distal to or at site

37
New cards

continuous flow instead of phasic in CFV, FV, and POP V

prox obstruction

38
New cards

no augment with distal comp at CFV, FV, and POP V

obstruction between imaging and comp or slightly more prox

39
New cards

no augment with prox release in CFV, FV, POP V

prox obstruction

40
New cards

forms subclavian vein

cephalic and axillary

41
New cards

forms the innominate vein

subclavian and IJV

42
New cards

forms the axillary vein

basilic and brachial

43
New cards

forms brachial vein

radial and ulnar

44
New cards

thrombus _____ over time and leaves a ____ wall

retracts, thickened

45
New cards

miscellaneous findings

edema, lymph node, muscle tear, nerve, sarcoma, venous aneuryysm

46
New cards

budd chiari

results from hepatic vein occlusion and presents with hepatomegaly, abdominal pain, and ascites onset

47
New cards

perforator vein incompetence

more often associated with reflux in the superficial veins

48
New cards

perforator size >3.5 mm

reflux present 90% of the time

49
New cards

stasis changes at the ankle

most obviously affected area lies directly above an incompetent perforator

50
New cards
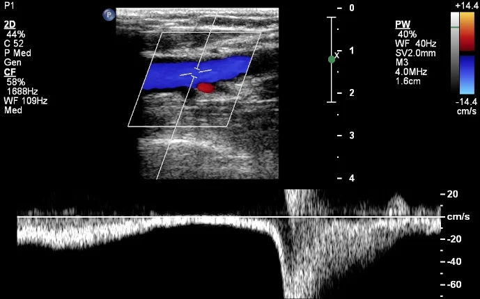
<p>what is being shown in this image?</p>

what is being shown in this image?

venous reflux

51
New cards
<p>what is being shown in this image?</p>

what is being shown in this image?

normal finding

52
New cards
<p>what is being shown in this image?</p>

what is being shown in this image?

proximal obstruction

Explore top flashcards