1/23
Looks like no tags are added yet.
Name | Mastery | Learn | Test | Matching | Spaced | Call with Kai |
|---|
No analytics yet
Send a link to your students to track their progress
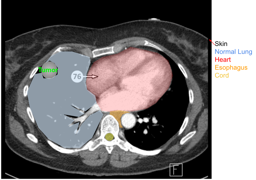
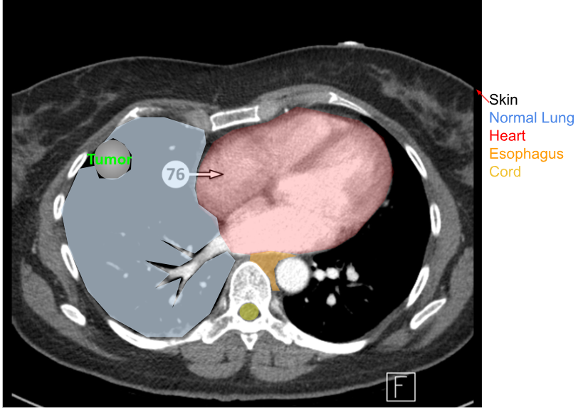
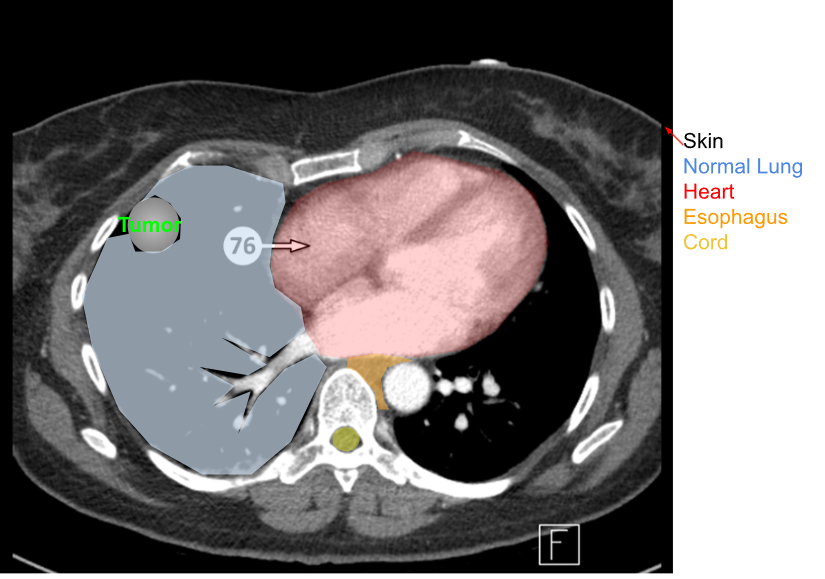
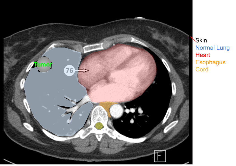
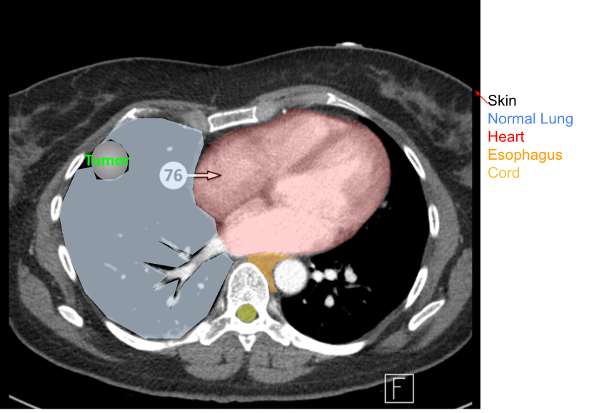
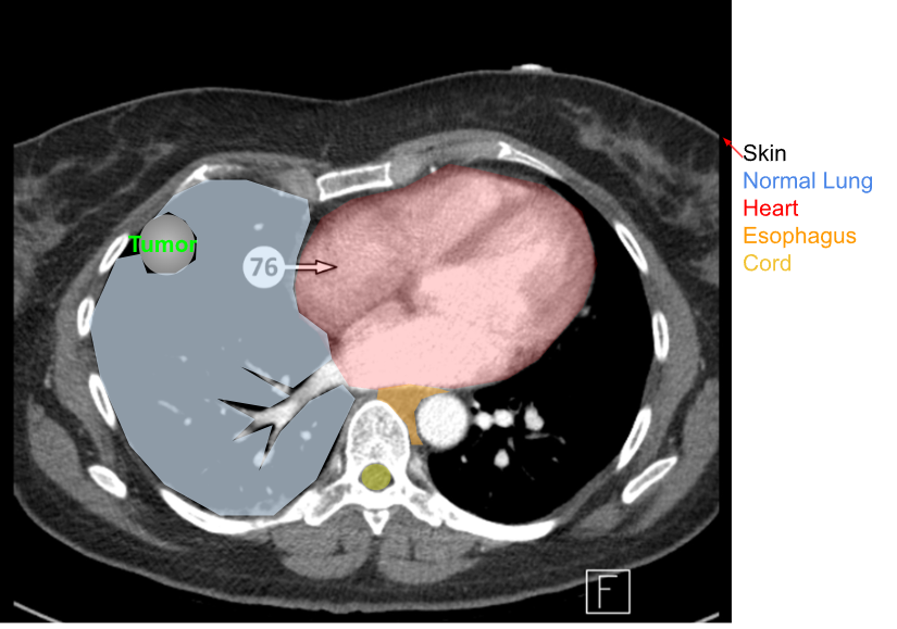
What normal anatomy is involved in a typical lung field? (i.e. normal tissue that also gets irradiated)
normal lung tissue
esophagus
heart
spinal cord
skin

Part 1: Effects on Normal Lung

Lung density is (less/more) than other tissues
Less, cuz it has a lot of air
Because lung density is less than other tissues, then we need to irradiate the lungs with (lower/ higher) dose, and by how much (less/more)?
15-20% higher dose
(less dense tissue. absorbs less so higher dose needed)
What are the 4 side effects to normal lung tissue
Radiation Pneumonitis
Lung Fibrosis
Chronic, dry, non-productive cough
Dyspnea

What is the major complication of lung irradiation:
Radiation pneumonitis
What is the second leading major complication of lung irradiation?
Lung Fibrosis
What is the most serious side effect of lung irradiation?
(Radiation) Transverse Myelitis
Radiation pneumonitis, typically happens ____ after tx is done
Lung fibrosis, typically happens ___ after tx is done
1-3 months
2-4 months
(so 1-3 months for lungs to get irritated & 2-4 months for lungs to get scars)
term. Dyspnea
SOB, difficulty breathing
Tolerance Doses for lung:
Whole Lung
Partial Lung
Whole Lung: 1750
Partial Lung: 4500
Part 2: Effects on Esophagus

What are the 2 side effects to the esophagus & at what doses do they begin
esophagitis; begins ~ 25 Gy
dysphagia; begins ~ 30 Gy
Part 3: Effects on the spinal cord

What is the effects to the spinal cord
RTM
What does RTM stand for
Radiation Transverse Myelitis
(inflammation of spinal cord)
RTM can result in
Paralysis
Tolerance Doses for spinal cord:
Whole cord
Partial cord
Whole cord: 5000 cGy
Partial cord: 4700 cGy
Part 4: Cardiac Effects

What are the 2 cardiac effects? (term and def)
Pericarditis: inflammation of the pericardium
Pancarditis: inflammation of the entire heart
When does pericarditis happen?
When 60% or more of the heart is tx to 45 Gy or above
Part 5: Skin effects

What skin area should be monitored when radiating lung tissue?
Back of trapezius area (upper back + neck)

When treating lung, how often should skin be assessed and by who?
Daily by RTT