Appendicular Skeleton

0.0(0)
studied byStudied by 0 people
full-widthCall with Kai
GameKnowt Play
learnLearn
examPractice Test
spaced repetitionSpaced Repetition
heart puzzleMatch
flashcardsFlashcards
Card Sorting

1/154

encourage image

There's no tags or description

Looks like no tags are added yet.

Study Analytics
Name
Mastery
Learn
Test
Matching
Spaced

No study sessions yet.

155 Terms

1
New cards

Clavicle

Articulates with sternum at sternoclavicular joint

<p>Articulates with sternum at sternoclavicular joint</p>
2
New cards

Acromial end of clavicle (acromion)

Articulates with clavicle

<p>Articulates with clavicle</p>
3
New cards

Sternal end of clavicle

Articulates with the manubrium of the sternum at the sternoclavicular joint

<p>Articulates with the manubrium of the sternum at the sternoclavicular joint</p>
4
New cards

Scapula

Connects with the humerus and clavicle

<p>Connects with the humerus and clavicle</p>
5
New cards

Acromial process of scapula (acromion)

Articulates with clavicle

<p>Articulates with clavicle</p>
6
New cards

Coracoid process of scapula

Attachment for muscle

<p>Attachment for muscle</p>
7
New cards

Spine of scapula

Attachment for muscle

<p>Attachment for muscle</p>
8
New cards
<p>Glenoid fossa of scapula</p>

Glenoid fossa of scapula

Shallow cavity that articulates with the head of the humerus.

<p>Shallow cavity that articulates with the head of the humerus. </p>
9
New cards
<p>Subscapular fossa</p>

Subscapular fossa

Provides attachment for the subscapular muscle

<p>Provides attachment for the subscapular muscle</p>
10
New cards

Supraspinous fossa

Depression superior to scapular spine, provides attachment for muscle

<p>Depression superior to scapular spine, provides attachment for muscle</p>
11
New cards

Infraspinous fossa

Depression inferior to scapular spine, provides attachment for muscle

<p>Depression inferior to scapular spine, provides attachment for muscle</p>
12
New cards
<p>Lateral (axillary) border of scapula</p>

Lateral (axillary) border of scapula

The edge of the scapula that faces the lateral aspect of the body, provides attachment for muscle

<p>The edge of the scapula that faces the lateral aspect of the body, provides attachment for muscle </p>
13
New cards
<p>Medial (vertebral) border of scapula</p>

Medial (vertebral) border of scapula

The edge of the scapula that faces the vertebral aspect of the body, provides attachment for muscle

<p>The edge of the scapula that faces the vertebral aspect of the body, provides attachment for muscle</p>
14
New cards
<p>Superior border of scapula</p>

Superior border of scapula

The edge of the scapula that faces the head of the body, provides attachment for muscle

<p>The edge of the scapula that faces the head of the body, provides attachment for muscle</p>
15
New cards
<p>Inferior angle of scapula</p>

Inferior angle of scapula

Junction of medial and lateral scapular borders

<p>Junction of medial and lateral scapular borders</p>
16
New cards
<p>Superior angle of scapula</p>

Superior angle of scapula

Junction of superior and medial scapular borders

<p>Junction of superior and medial scapular borders</p>
17
New cards

Right humerus

Which side bone is this?

<p>Which side bone is this?</p>
18
New cards

Left humerus

Which side bone is this?

<p>Which side bone is this?</p>
19
New cards

Humerus 

Long bone of upper limb

<p>Long bone of upper limb</p>
20
New cards
<p>Head of humerus</p>

Head of humerus

Articulates with glenoid cavity of scapula to form glenohumeral joint

<p>Articulates with glenoid cavity of scapula to form glenohumeral joint </p>
21
New cards

Anatomical neck of humerus

Separates head from greater and lesser tubercles

<p>Separates head from greater and lesser tubercles</p>
22
New cards

Surgical neck of humerus

Attachment for muscles

<p>Attachment for muscles</p>
23
New cards
<p>Greater tubercle of humerus&nbsp;</p>

Greater tubercle of humerus 

Provides attachment for muscles (prominent posterior and lateral projections)

<p>Provides attachment for muscles (prominent posterior and lateral projections)</p>
24
New cards
<p>Lesser tubercle of humerus&nbsp;</p>

Lesser tubercle of humerus 

Provides attachment for muscle (prominent anterior projection)

<p>Provides attachment for muscle (prominent anterior projection)</p>
25
New cards
<p>Intertubercular groove (sulcus)</p>

Intertubercular groove (sulcus)

Provides attachment for muscle (prominent groove between greater and lesser tubercles)

<p>Provides attachment for muscle (prominent groove between greater and lesser tubercles)</p>
26
New cards

Deltoid tuberosity

Provides attachment for muscle (roughened area between midshaft on anterolateral surface)

<p>Provides attachment for muscle (roughened area between midshaft on anterolateral surface)</p>
27
New cards
<p>Lateral epicondyle of humerus</p>

Lateral epicondyle of humerus

Provide attachment for hand extensor muscles (lateral projection near elbow)

<p>Provide attachment for hand extensor muscles (lateral projection near elbow)</p>
28
New cards
<p>Medial epicondyle of humerus</p>

Medial epicondyle of humerus

Provides attachment for hand flexor muscles (medial subcutaneous projection near elbow)

<p>Provides attachment for hand flexor muscles (medial subcutaneous projection near elbow)</p>
29
New cards
<p>Capitulum of humerus </p>

Capitulum of humerus

Articulates with head of radius (dome-shaped surface lateral to trochlea)

<p>Articulates with head of radius (dome-shaped surface lateral to trochlea)</p>
30
New cards
<p>Trochlea of humerus  </p>

Trochlea of humerus

Articulates with trochlear notch of ulna

<p>Articulates with trochlear notch of ulna </p>
31
New cards
<p>Coronoid fossa of humerus</p>

Coronoid fossa of humerus

Allows full flexion of the elbow joint

<p>Allows full flexion of the elbow joint</p>
32
New cards

Olecranon fossa of humerus

Allows full flexion of the elbow joint

<p>Allows full flexion of the elbow joint</p>
33
New cards
<p>Radius</p>

Radius

Long thin bone in the forearm

<p>Long thin bone in the forearm</p>
34
New cards
<p>Head of radius</p>

Head of radius

Articulates with capitulum of humerus and radial notch of ulna

<p>Articulates with capitulum of humerus and radial notch of ulna</p>
35
New cards
<p>Neck of radius</p>

Neck of radius

Connects head of radius to the shaft

<p>Connects head of radius to the shaft</p>
36
New cards
<p>Radial tuberosity (tubercle)</p>

Radial tuberosity (tubercle)

Provides attachment for muscles (roughened projection)

<p>Provides attachment for muscles (roughened projection)</p>
37
New cards
<p>Radial styloid process</p>

Radial styloid process

Provides attachment for muscles (pointed distal projection)

<p>Provides attachment for muscles (pointed distal projection)</p>
38
New cards
<p>Ulna</p>

Ulna

Long thin bone of the forearm

<p>Long thin bone of the forearm</p>
39
New cards
<p>Head of ulna</p>

Head of ulna

Articulates distally with radius and carpal bones

<p>Articulates distally with radius and carpal bones</p>
40
New cards
<p>Olecranon process of ulna</p>

Olecranon process of ulna

Provides attachment for muscle

<p>Provides attachment for muscle</p>
41
New cards
<p>Coronoid process of ulna</p>

Coronoid process of ulna

Stabilizes elbow joint, provides attachment for muscle

<p>Stabilizes elbow joint, provides attachment for muscle</p>
42
New cards
<p>Trochlear notch of ulna</p>

Trochlear notch of ulna

Articulates with the humerus, and stabilizes elbow joint

<p>Articulates with the humerus, and stabilizes elbow joint</p>
43
New cards
<p>Styloid process of ulna</p>

Styloid process of ulna

Provides attachment for muscle, stabilizes wrist

<p>Provides attachment for muscle, stabilizes wrist</p>
44
New cards
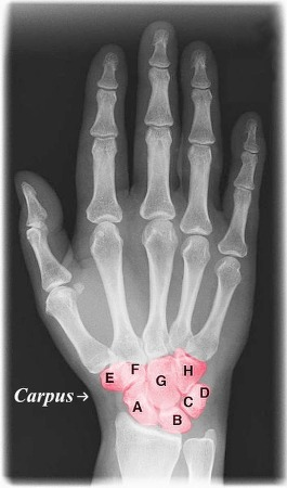
<p>Carpals</p>

Carpals

Form wrist joint with radius and ulna

<p>Form wrist joint with radius and ulna</p>
45
New cards

Scaphoid

Largest bone, attachment to forearm

<p>Largest bone, attachment to forearm</p>
46
New cards

Lunate

Wrist movement and stability, attachment to forearm

<p>Wrist movement and stability, attachment to forearm</p>
47
New cards

Triquetrum

Wrist movement and stability

<p>Wrist movement and stability</p>
48
New cards

Pisiform

Acts as a pulley for tendon leverage

<p>Acts as a pulley for tendon leverage</p>
49
New cards

Trapezium

Thumb range of motion

<p>Thumb range of motion </p>
50
New cards

Trapezoid

Wrist movement and stability

<p>Wrist movement and stability</p>
51
New cards

Capitate

Wrist movement and stability

<p>Wrist movement and stability</p>
52
New cards

Hamate

Wrist movement and stability,

<p>Wrist movement and stability,</p>
53
New cards

Metacarpal 1

knowt flashcard image
54
New cards

Metacarpal 2

knowt flashcard image
55
New cards

Metacarpal 3

knowt flashcard image
56
New cards

Metacarpal 4

knowt flashcard image
57
New cards

Metacarpal 5

knowt flashcard image
58
New cards

Phalange 1

Enable finger movement

<p>Enable finger movement</p>
59
New cards

Phalange 2

Enable finger movement

<p>Enable finger movement</p>
60
New cards

Phalange 3

Enable finger movement

<p>Enable finger movement</p>
61
New cards

Phalange 4

Enable finger movement

<p>Enable finger movement</p>
62
New cards

Phalange 5

Enable finger movement

<p>Enable finger movement</p>
63
New cards

Proximal phalanges

Articulate with metacarpals, allow movement

<p>Articulate with metacarpals, allow movement</p>
64
New cards

Medial phalanges

Allow flexion and extension of fingers

<p>Allow flexion and extension of fingers</p>
65
New cards

Distal phalanges

Allow flexion and extension of fingers

<p>Allow flexion and extension of fingers</p>
66
New cards

Right hand

Which hand is this?

<p>Which hand is this?</p>
67
New cards

Left hand

Which hand is this?

<p>Which hand is this?</p>
68
New cards

Coxal bone (hip bone)

Ilium

69
New cards

Iliac crest

70
New cards

Iliac fossa

71
New cards

Greater sciatic notch of ilium

72
New cards

Ischium

73
New cards

Ischial tuberosity

74
New cards

Pubis

75
New cards

Acetabulum

76
New cards

Pubic symphysis

77
New cards

Femur

78
New cards

RIght femur

Which side bone is this?

79
New cards

Left femur

Which side bone is this?

80
New cards

Head of femur

81
New cards

Neck of femur

82
New cards

Greater trochanter of femur

83
New cards

Lesser trochanter of femur

84
New cards

Medial condyle of femur

85
New cards

Lateral condyle of femur

86
New cards

Medial epicondyle of femur

87
New cards

Lateral epicondyle of femur

88
New cards

Patella

89
New cards

Tibia

90
New cards

Tibial tuberosity

91
New cards

Medial condyle of tibia

92
New cards

Lateral condyle of tibia

93
New cards

Medial malleolus

94
New cards

Anterior aspect of tibia (anterior border)

95
New cards

Fibula

96
New cards

Head of fibula

97
New cards

Lateral malleolus

98
New cards

Tarsals

99
New cards

Talus

100
New cards

Calcaneus

Explore top flashcards