1/155
Looks like no tags are added yet.
Name | Mastery | Learn | Test | Matching | Spaced | Call with Kai |
|---|
No analytics yet
Send a link to your students to track their progress
- Parotid
- Submandibular
- Sublingual
P S S
what are the 3 major salivary glands
- Palate
- Buccal mucosa
- Floor of mouth
- Labial mucosa
what are the 4 minor salivary glands
100% serous glands
What type of glands are in the parotid gland?
Mostly serous glands
What type of glands are in the submandibular gland?
Mostly mucous glands
What type of glands are in the sublingual gland?
100% mucous glands
What type of glands are on the palate?
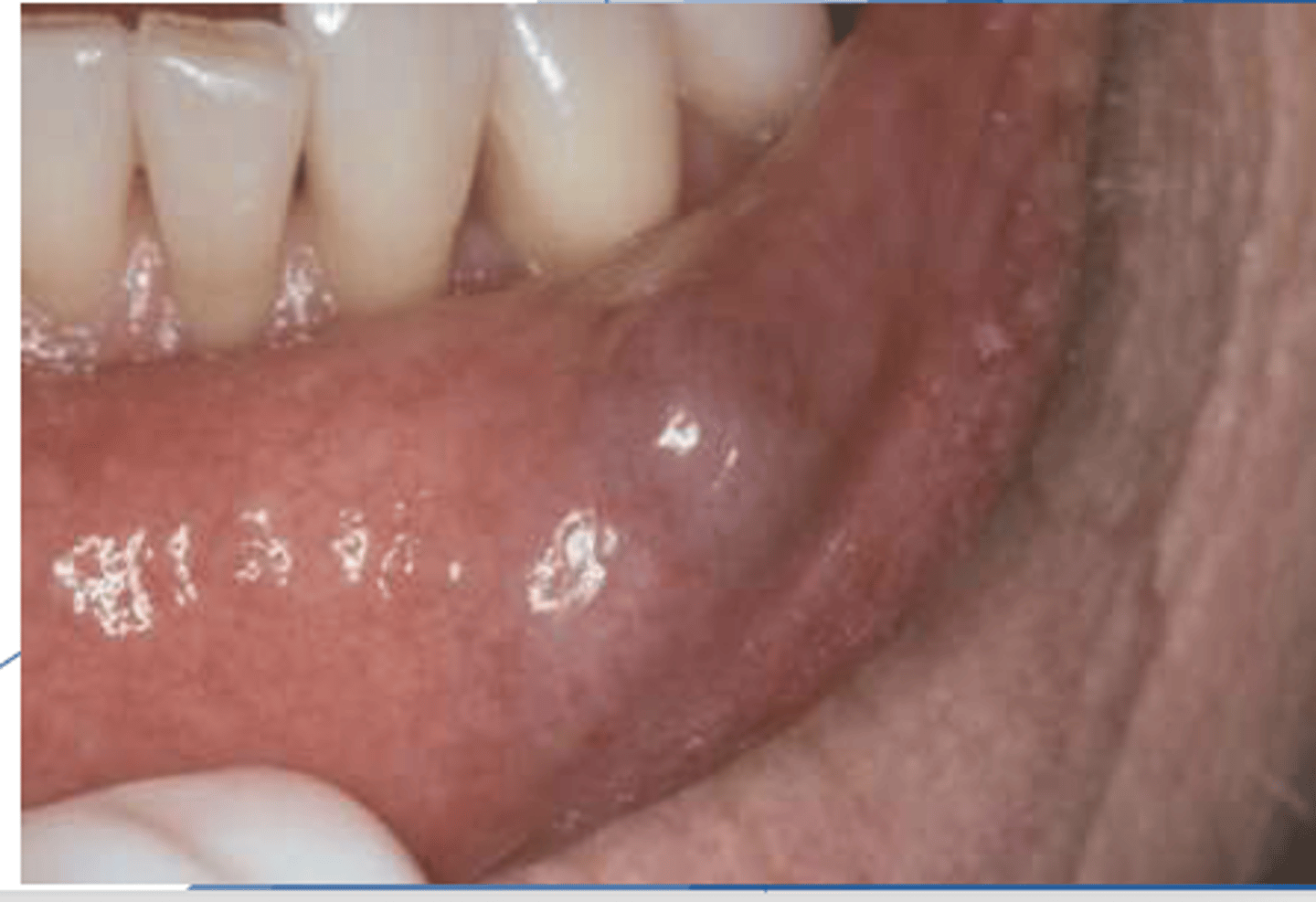
Mucocele
What is the most common reactive salivary gland lesion?
Mucocele
ID the pathology:
- Common reactive salivary gland lesion
- - Traumatized duct spills mucus into adjacent tissues
- Characteristic hx of increasing/decreasing in size
Mucocele
These are clinical features of what pathology?
- Dome-shaped fluctuant vesicle
- Blue or mucosa-colored
- Most common on lower lip
- - May be seen anywhere w/ salivary glands

Mucocele
Patient presents with a dome-shaped fluctuant vesicle that looks bluish in color on the lower lip. Patient admits to biting lip sometimes. Patient also said that "sometimes the bump gets big and then shrinks again"

Mucocele
ID the pathology:
- Traumatized duct spills mucus into adjacent tissues
- Characteristic history of increasing and decreasing in size

lower lip
What is the most common location for mucocele to present?
Mucocele
ID the pathology:

Mucocele
ID the pathology:

Mucocele
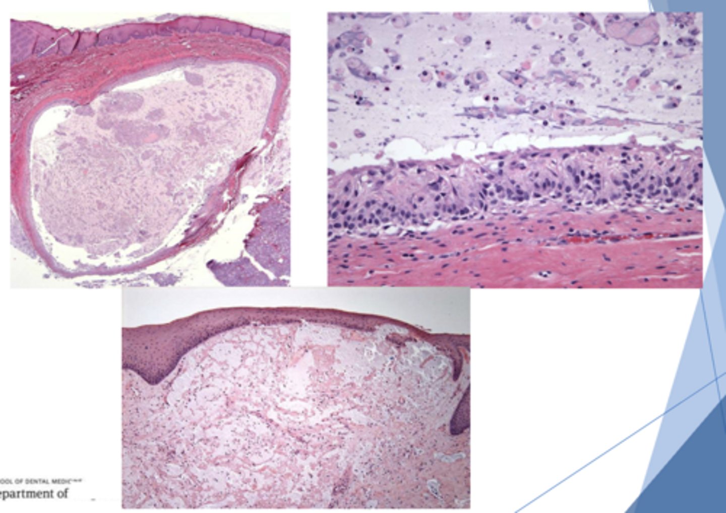
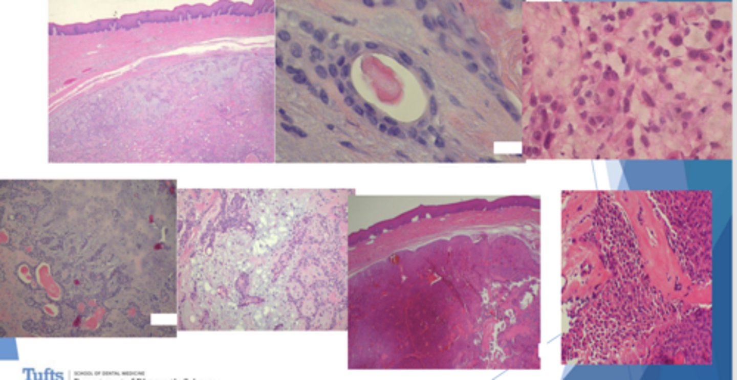
ID the pathology based on the histology findings:
– Spilled mucin surrounded by granulation tissue
– Numerous neutrophils + foamy histiocytes/muciphages
- No epithelial lining

Mucocele
ID the pathology based on the histology findings:
– Spilled mucin surrounded by granulation tissue
– Numerous neutrophils and foamy histiocytes/muciphages
- No epithelial lining

- May be self-limiting or require local excision
- Adjacent gland should be excised to prevent recurrence
What is the treatment for a mucocele?
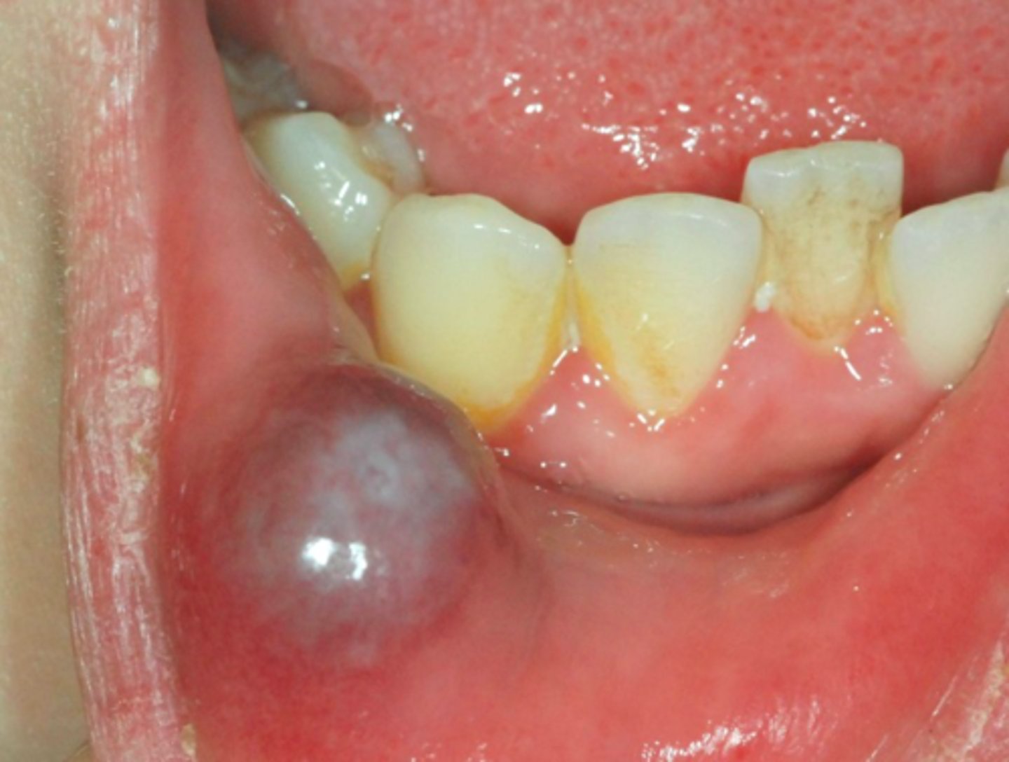
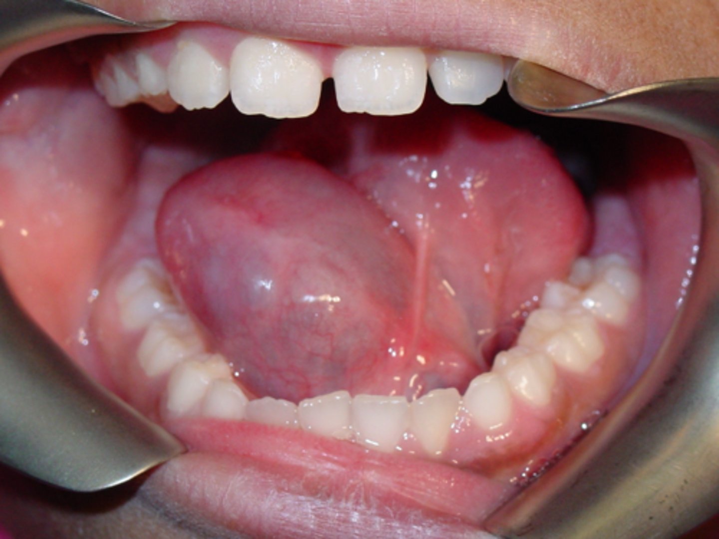
Ranula
A mucocele on floor of mouth is called a ______
sublingual gland
A Ranula is usually associated with what gland?
mylohyoid
A plunging ranula variant dissects through the _______ muscle into neck
Ranula
patient presents with a dome-shaped fluctuant vesicle that looks bluish in color on the floor of the mouth. What is the diagnosis?

floor of mouth
what is the most common location for a Ranula to present?
Ranula
ID the pathology:

- Ranula
- Salivary duct cyst
- Dermoid/Epidermoid cyst
Patient presents with a large nodule on the floor of the mouth lateral to the midline. What is in your differential diagnosis (3)?
Excisional biopsy with gland
What is the treatment for a ranula?
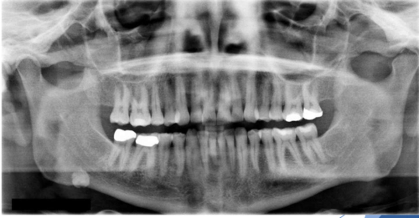
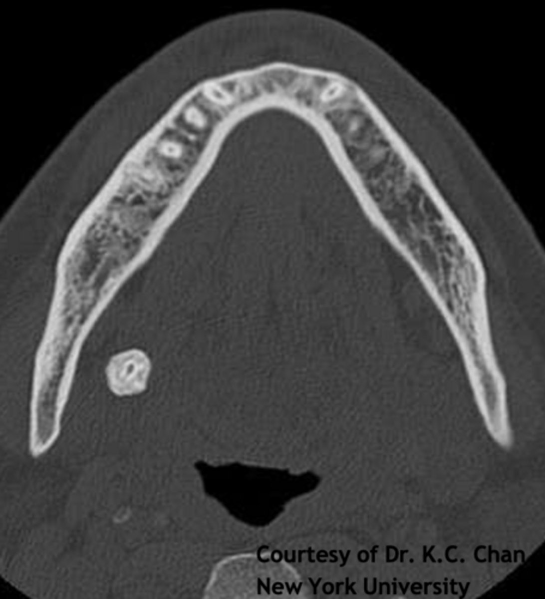
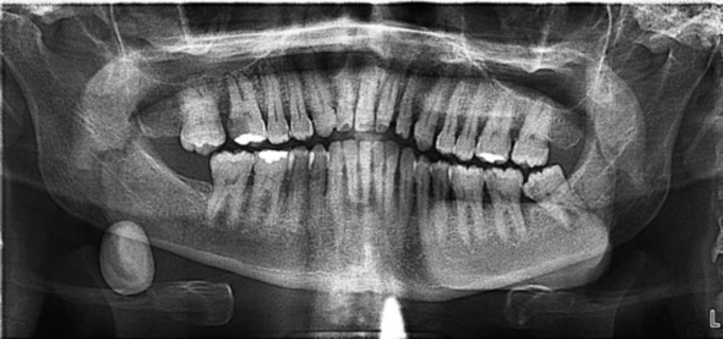
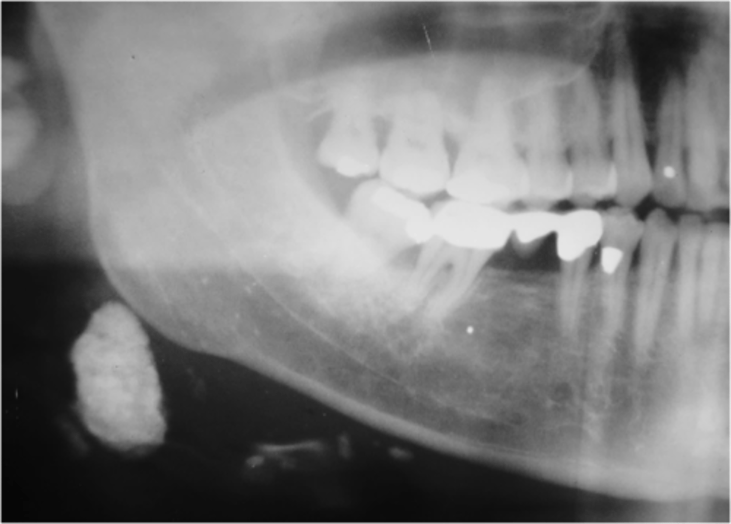
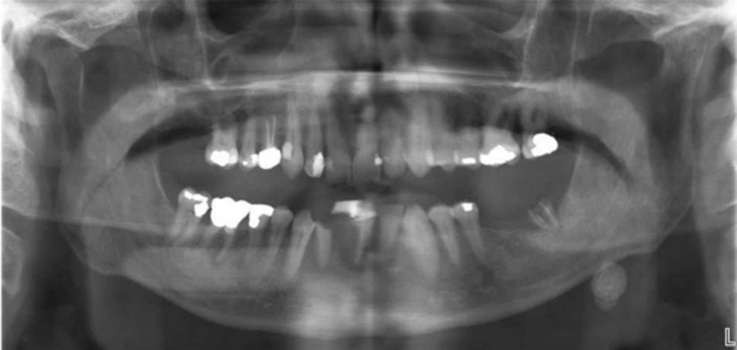
Sialolitiasis
Calcified structures within the salivary duct system lead to ________
Sialolithiasis
Patient present to your office complaining of pain upon salivation. A small firm, non-fluctuant mass is visible on the floor of the mouth lateral to the midline. Radiograph shows a radiopaque mass in the location of interest. What is the diagnosis?

Sialolithiasis
ID the pathology:
Swelling in wharton's duct

Sialolithiasis
ID the pathology during surgery:

Sialolithiasis
ID the pathology:
Associated with pain upon salivation

Sialolithiasis
What pathology is associated with pain upon salivation?
submandibular gland
80% of Sialolithiasis are associated with what gland?
Radiopaque mass
What is the radiographic features of a
Sialolithiasis?
Sialolithiasis
ID the pathology:

Sialolithiasis
ID the pathology:

Sialolithiasis
ID the pathology:

Sialolithiasis
ID the pathology:

Sialolithiasis
ID the pathology:

Sialolithiasis
ID the pathology based on the histology findings:
- Laminated calcified structure with central nidus

- Milking stone toward duct orifice
- Sialologues
- Surgical removal
- Lithotripsy
What is the treatment for Sialolithiasis (4)?
Necrotizing Sialometaplasia
Patient presents with single ulceration on the hard palatal mucosa. Patient claims it "used to be red and swollen, now it's like a crater". Histo path report reveals Acinar necrosis with preservation of lobular architecture, squamous metaplasia and Pseudoepitheliomatous hyperplasia. What is the diagnosis?

Necrotizing Sialometaplasia
ID the pathology:
- Rare inflammatory, destructive condition of salivary glands
- Mimics malignancy clinically AND microscopically
- - Early swelling and erythema
- - Later ulceration
- Related to ischemia?
necrotizing sialometaplasia
ID the pathology:
- Male predilection
- Initial swelling, then crater-like ulcer develops
- Rare destruction of palatal bone
hard palatal mucosa (75%)
The most common location for Necrotizing Sialometaplasia to present is the ______
Necrotizing Sialometaplasia
ID the pathology:

Necrotizing Sialometaplasia
ID the pathology:

Necrotizing Sialometaplasia
ID the pathology:

Necrotizing Sialometaplasia
ID the pathology based on the histology findings:
- Acinar necrosis with preservation of lobular architecture
- Squamous metaplasia
- Pseudoepitheliomatous hyperplasia

- Biopsy necessary to confirm diagnosis
- Resolves without treatment in 5-6 weeks
What is the treatment for Necrotizing Sialometaplasia?
Sjögren Syndrome
ID the pathology:
- Chronic, systemic, autoimmune disorder
~ 0.5% of population
- Affects salivary glands and lacrimal glands
Primary Sjögren (Sicca) syndrome
What form of an autoimmune disorder only causes dry eyes and dry mouth?
Secondary Sjögren syndrome
What form of an autoimmune disorder causes...
- Dry eyes
- Dry mouth
- Rheumatoid arthritis (15%)
- Systemic lupus erythematosus (30%)
- Rheumatoid arthritis
- Systemic lupus erythematosus
Along with dry eyes and dry mouth, Secondary Sjögren syndrome is associated with what other conditions?
9:1
Sjögren Syndrome has a __:1 female predilection
lymphoma
patients with Sjögren Syndrome have a 20-fold increased risk of developing ______
parotid gland (33-50%)
Sjögren Syndrome is associated with bilateral swelling of which gland?

- Xerostomia
- Dysphagia
- Cervical caries
- Fissured tongue with atrophy of papillae
- Secondary candidiasis
5 oral symptoms of Sjögren Syndrome
Sjögren Syndrome
Patient presents to your office complaining of xerostomia and dysphagia. Patient admits that they also experience dry eyes. Patient also has numerous cervical caries, fissured tongue with atrophy of papillae, and a minor case of secondary candidiasis. Upon physical examination, you notice bilateral swelling of the parotid glands. Lab work up shows elevated IgG, positive rheumatoid factor (RF) and Antinuclear antibodies (ANA). What is the diagnosis?

Sjögren Syndrome
What pathology is associated with...
- Elevated IgG, ESR
- Positive rheumatoid factor (RF)
- Antinuclear antibodies (ANA):
- - Anti SS-A (anti-Ro)
- - Anti SS-B (anti-La)
Schirmer test
What test is this used to diagnose Sjögren Syndrome:
- < 5mm wetting of filter paper in 5 minutes suggestive of diagnosis
Sjögren Syndrome
These are ocular signs of what condition?
- Dry eyes >3 months
- Foreign body sensation
- Tear substitutes used >3 times/day
- Schirmer test w/o anesthesia 5mm in 5 minutes
- Rose Bengal or other score
Sjögren Syndrome
These are oral signs of what condition?
- Feeling of dry mouth
- Recurrent swollen salivary glands
- Liquids needed to aid swallowing
- Abnormal scintigraphy
- Abnormal parotid sialography
- Abnormal sialometry (UWS <.50.1 mL/15 min)
Anti-SS-A or anti-SS-B antibodies
What antibodies are present with Sjögren Syndrome?
Labial salivary gland biopsy
What test is this used to diagnose Sjögren Syndrome:
- Focus score >1 supports diagnosis
- - Greater than 50 lymphocytes in 4 mm square of normal salivary gland tissue

- Symptomatic therapy
- Sialogogues
- Anti-rheumatic agents
- Biological agents
What is the treatment for Sjögren Syndrome?
true
t/f: for salivary gland tumors, malignancies mimic benign tumors both clinically and/or histologically
- Palate
- Upper lip
- Buccal mucosa
P U B
what oral cavity locations are most common sites for minor gland tumors?
Smaller major glands
Where are salivary gland neoplasms more likely: Smaller or larger major glands?
parotid gland
About 64-80% of salivary tumors are in the _____________, but only about 15-32% are malignant
submandibular gland
About 10% of salivary tumors are in the _____________, and about 45% are malignant
sublingual gland
About 1% of salivary tumors are in the _____________, and about 90% of them are malignant
minor glands
About 9-23% of salivary tumors are in the _____________, and about 50% of them are malignant
Asymptomatic swelling
What is the most common presentation of salivary gland tumors?
false, does not indicate malignancy
T/F: For Salivary Gland Tumors, pain is indicative of malignancy
true
t/f: for Salivary Gland Tumors, paresthesia is indicative of malignancy
lower lip
In minor gland tumors, _______ tumors are rare but 50-90% malignant
Paresthesia
what clinical presentation of salivary gland tumors suggests poor prognosis/malignancy?
true
t/f: for salivary gland tumors, paresthesia suggests poor prognosis
Salivary gland neoplasms
ID the pathology:
- Growth rate usually slow
- Size variable
- Increased incidence post irradiation and with breast cancers
Benign Salivary Gland Neoplasms
What are all of the following?
- Pleomorphic Adenoma
- Canalicular Adenoma
- Basal Cell Adenoma
- Papillary Cystadenoma Lymphomatosum
- Oncocytoma
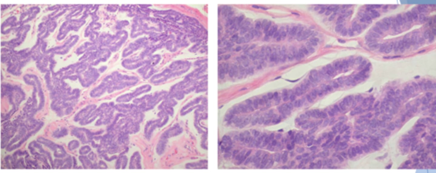
Pleomorphic Adenoma
What is the most common salivary gland tumor?
pleomorphic adenoma
ID the pathology:
- Asymptomatic
- Slow growing but great size potential
- Firm slowing
- May undergo maligant transformation
- Average duration until dx = 6 yrs
Pleomorphic Adenoma
ID the pathology:

Pleomorphic Adenoma
ID the pathology:

Pleomorphic Adenoma
Patient presents with firm swelling on the palatal mucosa. Patient is asymptomatic. Patient says they noticed the growth, but didn't realize it had gotten so big because it took a while to grow. Histopath report shows well-circumscribed/encapsulated, Double-layered ducts and Plasmacytoid cells. What is the diagnosis?

Pleomorphic Adenoma
What common salivary gland tumor is at risk of undergoing malignant transformation?

Pleomorphic Adenoma
ID the pathology based on the histology findings:
- Usually well-circumscribed if not encapsulated
- Double-layered ducts
- Plasmacytoid cells

Surgical excision
What is the treatment for Pleomorphic Adenoma?
false, small
T/F: Pleomorphic adenoma has a large risk of malignant transformation
Monomorphic Adenoma
ID the pathology:
- Term previously used to describe benign salivary gland tumors with similar histopathology
- - Canalicular Adenoma
- - Basal Cell Adenoma
Canalicular Adenoma
ID the pathology:
- 75% located on upper lip
- Female predilection 2:1
- Average age = 65; wide range (4th-9th decade)
upper lip
What is the most common location for a Canalicular Adenoma to present (75%)?

Canalicular Adenoma
ID the pathology based on the histology findings:
- Encapsulated or well-circumscribed
- Parallel cords of single cuboidal cells
- Forming double row "canals" with central lumina

parotid gland
What is the most common location for a Basal Cell Adenoma to present?
female
Basal Cell Adenomas have a ______ gender predilection
Basal cell adenoma
ID the pathology:
- Average age ~ 60 with range 3rd-9th decades
- More common in females
- Asymptomatic swelling
- Usually < 3 cm
- - Most common site is parotid gland
- Surgical excision
- Recurrences rare
(Basal cell adenocarcinoma may arise de novo, but some represent transformation of benign tumors)
What is the treatment for basal cell adenoma?
Warthin Tumor
ID the pathology
- Papillary cystadenoma lymphomatosum
male
Warthin Tumors have a ______ gender predilection
Warthin Tumor
What salivary tumor is associated with cigarette smoking?