1/22
This set of flashcards covers critical concepts related to cellular adaptation, degeneration, and death, focusing on amyloidosis, calcification types, necrosis, and apoptosis.
Name | Mastery | Learn | Test | Matching | Spaced | Call with Kai |
|---|
No analytics yet
Send a link to your students to track their progress
What is necrosis?
Necrosis = irreversible cell death characterized by:
Denaturation of cellular proteins
Damage to cell membranes
Leakage of cellular contents
Often associated with inflammation
Why is necrosis irreversible?
Inability to reverse mitochondrial dysfunction → ATP depletion
Irreversible damage to cell membranes
What type of necrosis commonly occurs in the pancreas?
Autolysis
Pancreatic cells release digestive enzymes
Enzymes digest their own tissue
Leads to auto-digestion of pancreatic tissue
What type of necrosis commonly occurs in body cells apart from pancreas?
Heterolysis
Digestion of dead cells by enzymes from inflammatory cells, especially neutrophils and macrophages
What processes occur after cell membrane damage in necrosis?
Protein denaturation
↑ intracellular Ca²⁺ → Activates proteases → Protein denature
Inflammation
Release of damage-associated molecular patterns (DAMPs)
Enzymatic digestion
Necrotic cells broken down by enzymes
What are the cellular changes or morphological features in necrosis?
Increased cellular eosinophilia
Nuclear shrinkage
Fragmentation of nucleus
Loss of nuclear basophilia = Loss of nuclear staining
Pale tan discolouration
Name the types of necrosis.
Coagulative necrosis
Lytic necrosis
Caseous necrosis
Liquefactive necrosis
Gangrenous necrosis
Fibrinoid necrosis
Steatonecrosis = Necrosis of adipose tissue

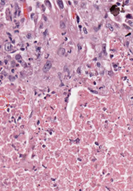
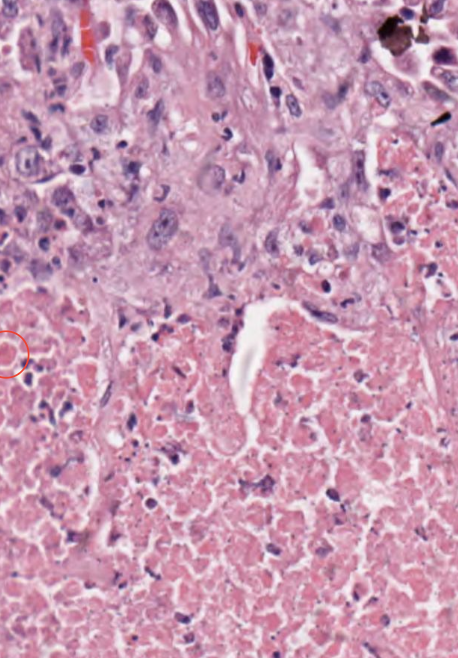
What types of necrosis are shown in this picture? What are the clinical features of this type of necrosis?
Coagulative necrosis
Dominant feature: protein denaturation
Characteristics:
Cell borders remain visible
Cellular architecture preserved
Under what circumstances does this type of necrosis usually occur?
Ischemia except brain tissue

What types of necrosis are shown in this picture? What are the clinical features of this type of necrosis?
Lytic necrosis
Dominant feature: enzymatic digestion
Characteristics:
Loss of cell borders
Under what circumstances does this type of necrosis usually occur?
Neutrophil-rich inflammation e.g. bacteria
What is caseous necrosis? Under what circumstances does caseous necrosis usually occur?
Subtype of lytic necrosis
Characteristics:
Cheese-like appearance
Associated with granulomatous inflammation
What is liquefactive necrosis? Under what circumstances does liquefactive necrosis usually occur?
Subtype of lytic necrosis
Characteristics:
Formation of fluid-filled lesion
End stages of necrosis in brain
What is steatonecrosis ?
Necrosis of adipose tissue
What is the morphology of steatonecrosis?
Somewhat in between a coagulative and lytic necrosis
No nuclei with well defined cell borders
Basophilic = Mineral, including calcium or nucleic acid deposition
What is gangrenous necrosis? Under what circumstances does gangrenous necrosis usually occur?
Subtype of lytic necrosis
Characteristics:
Occurs in distal limbs or dependent organs
Can be dry gangrene (mainly vascular damage) or wet gangrene (bacterial proliferation)
What is fibrinoid necrosis? Under what circumstances does fibrinoid necrosis usually occur?
Specific type of lytic necrosis
Characteristic:
Occurs in vessels during vascular damage or vasculitis
Accumulation of fibrin, blood proteins and immunocomplexes
What is apoptosis?
Regulated (programmed) cell death
Which enzyme mediate the process of apoptosis?
Caspases
Aspartic acid is one specific amino acid → Caspases are enzymes that recognise aspartic acid in a protein chain → They cleave the peptide bond immediately after the aspartic acid residue
What are the physiological roles of apoptosis (homeostasis)?
Embryogenesis – shapes tissues/organs by removing unnecessary cells
Cell turnover in proliferating tissues – e.g., intestinal epithelium
Tumor suppression – eliminates potentially malignant cells
Immune system maturation – removes excess or self-reactive lymphocytes
What are the causes of apoptosis?
Normal homeostasis (No inflammation)
Intrinsic:
DNA damage
Accumulation of misfolded proteins
Extrinsic:
Pathogen infection via cytotoxic T cells
TNF-1 receptor (death domain)
What is the morphology of apoptosis?
Cellular shrinkage and eosinophilia
Chromatin condensation
Formation of apoptotic bodies → Engulfed by macrophages
What distinguishes apoptosis from necrosis?
Apoptosis is a regulated form of cell death that avoids inflammation, while necrosis often triggers inflammation due to cell lysis.