1/17
Looks like no tags are added yet.
Name | Mastery | Learn | Test | Matching | Spaced | Call with Kai |
|---|
No analytics yet
Send a link to your students to track their progress

1
Bronchial tree

2
Alveoli

3
Alveolar sac

4
Alveolar duct

5
Respiratory bronchiole

6
Terminal bronchiole

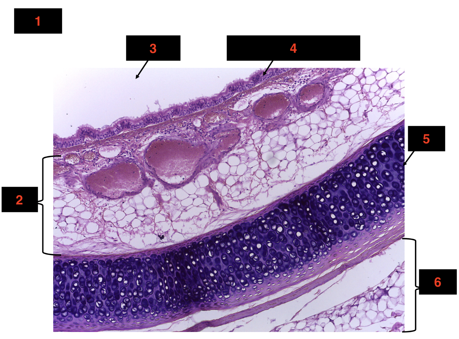
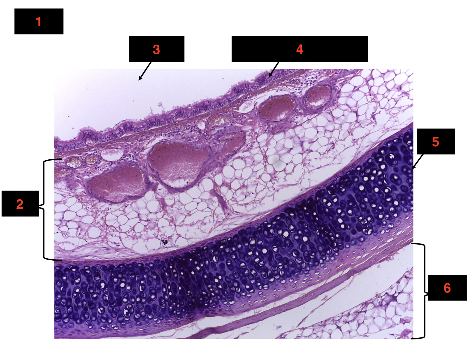
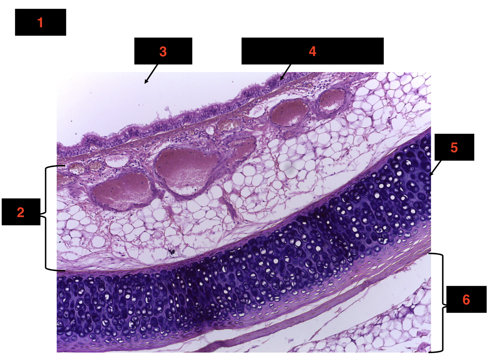
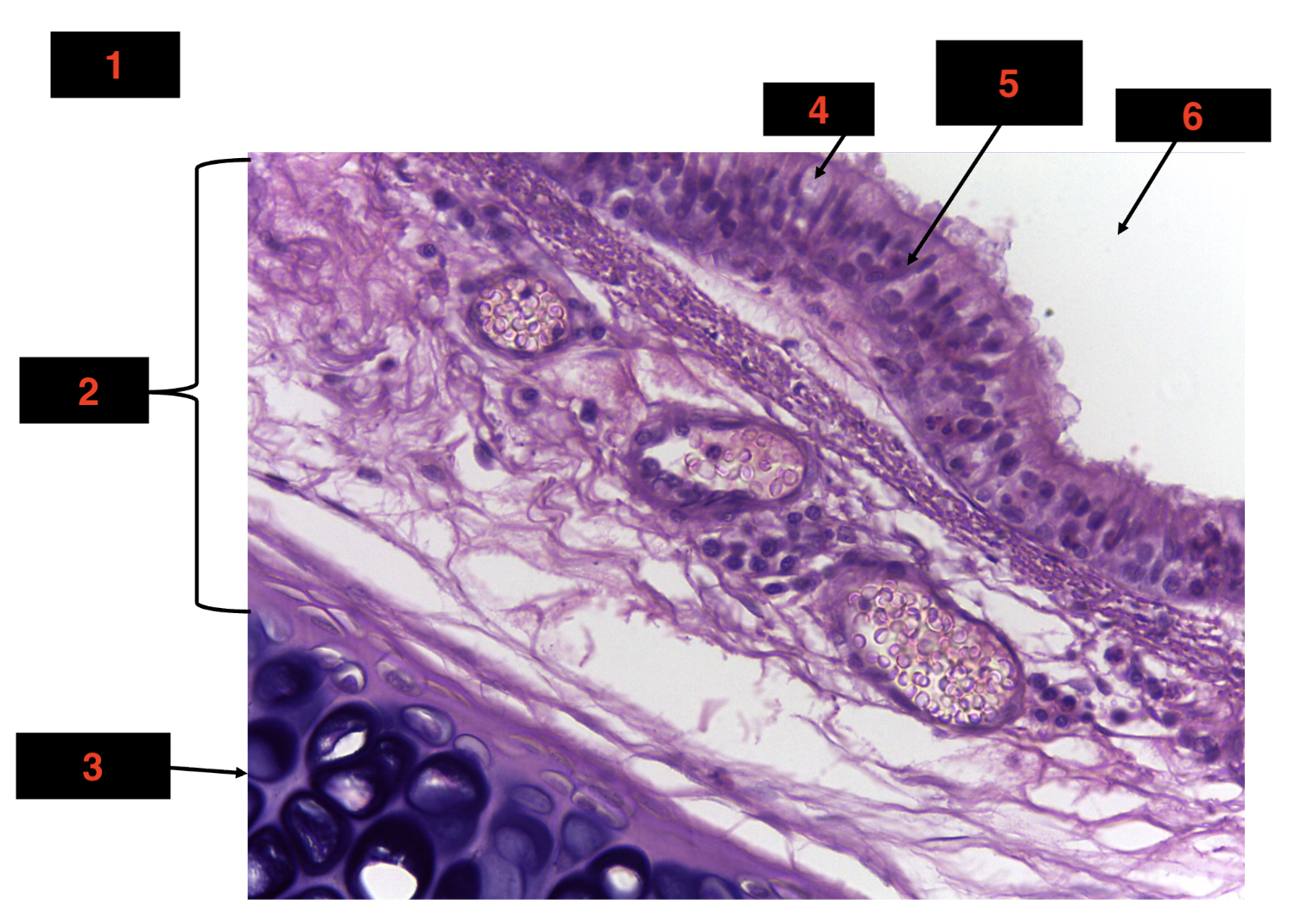
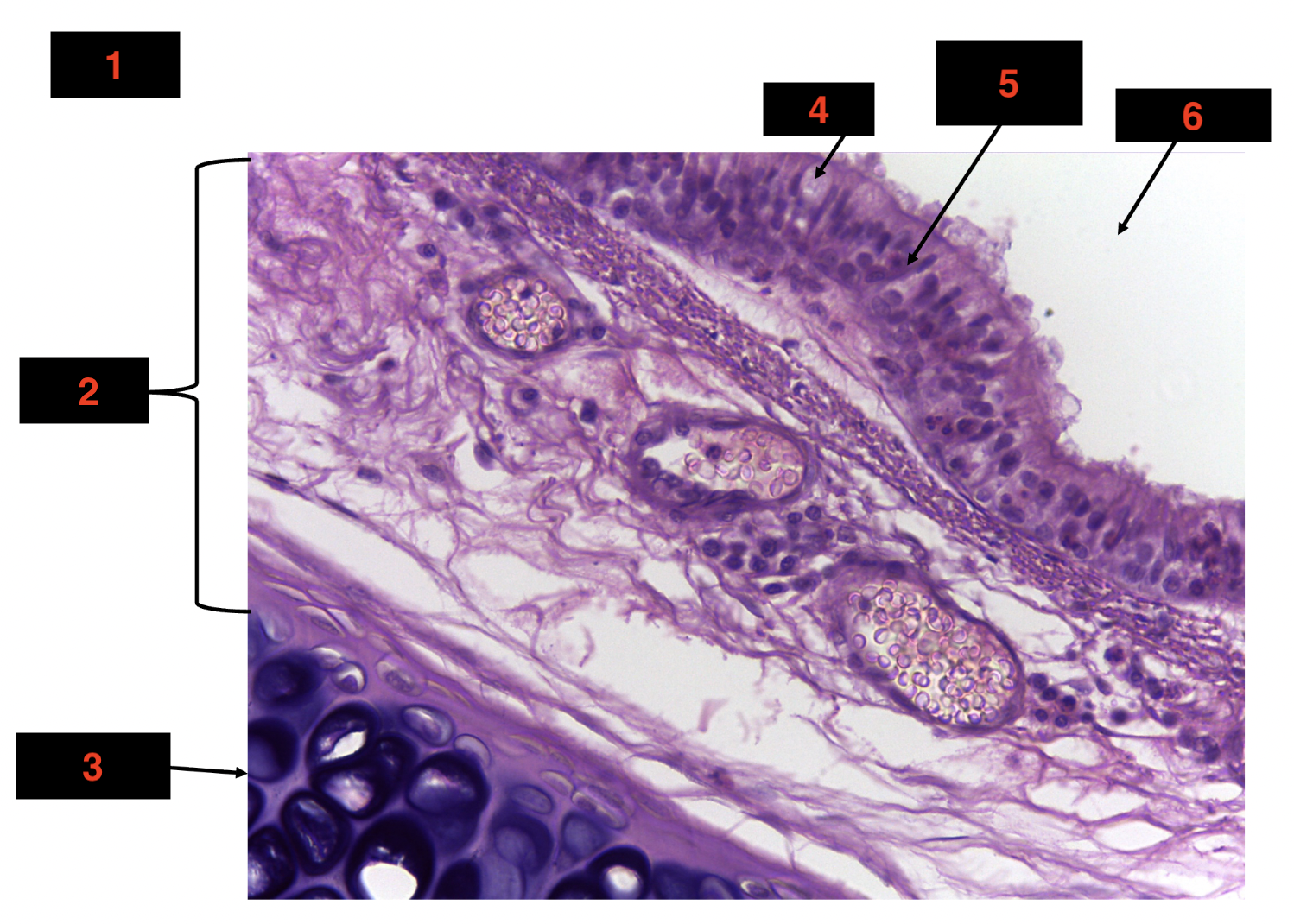
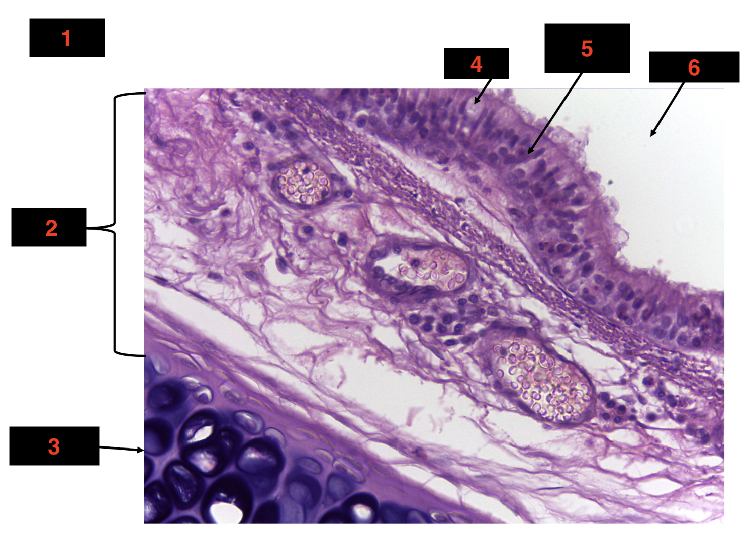
1
Trachea

2
Submucosa

3
Lumen of trachea

4
Pseudostratified ciliated columnar epithelium

5
Hyaline cartilage

6
Adventitia

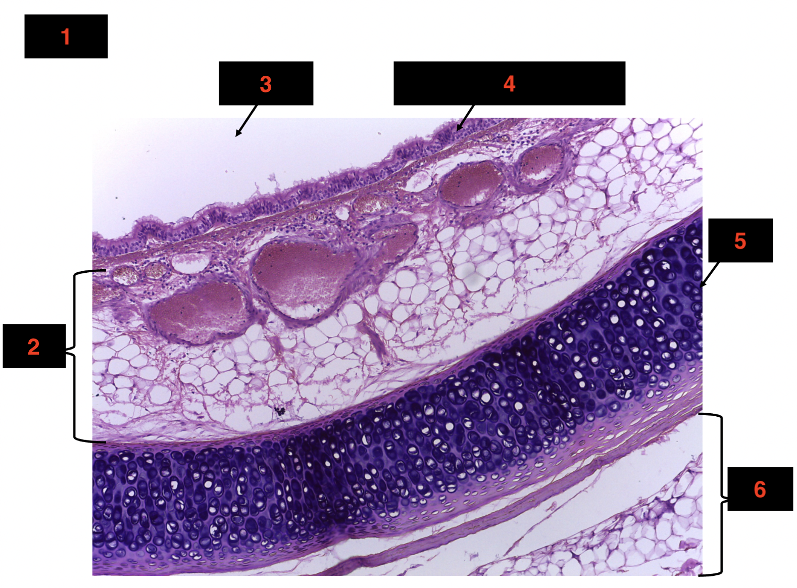
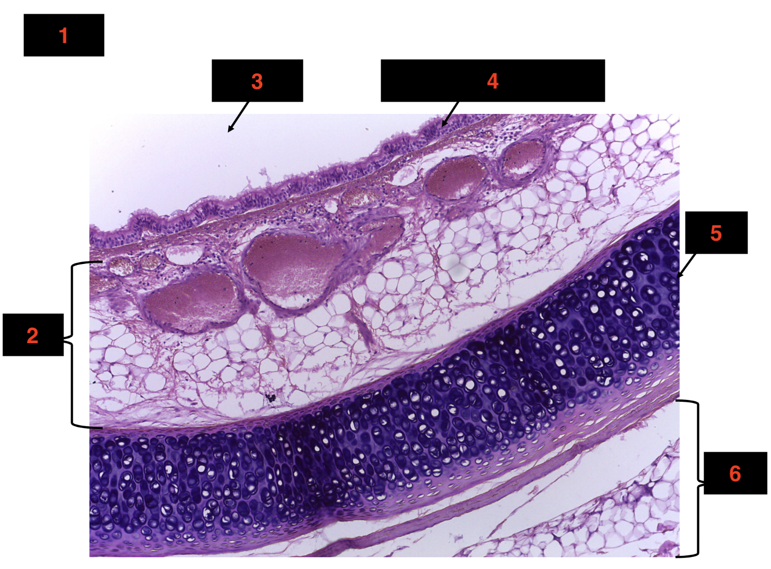
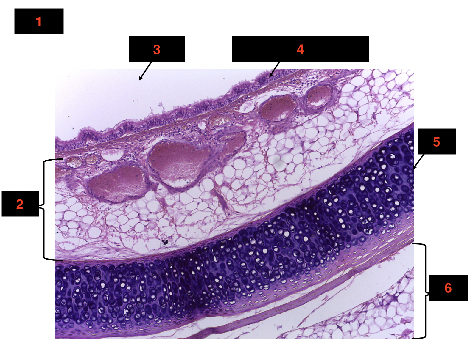
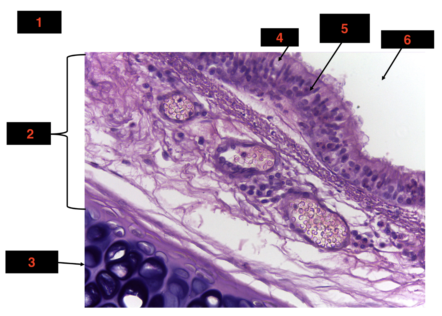
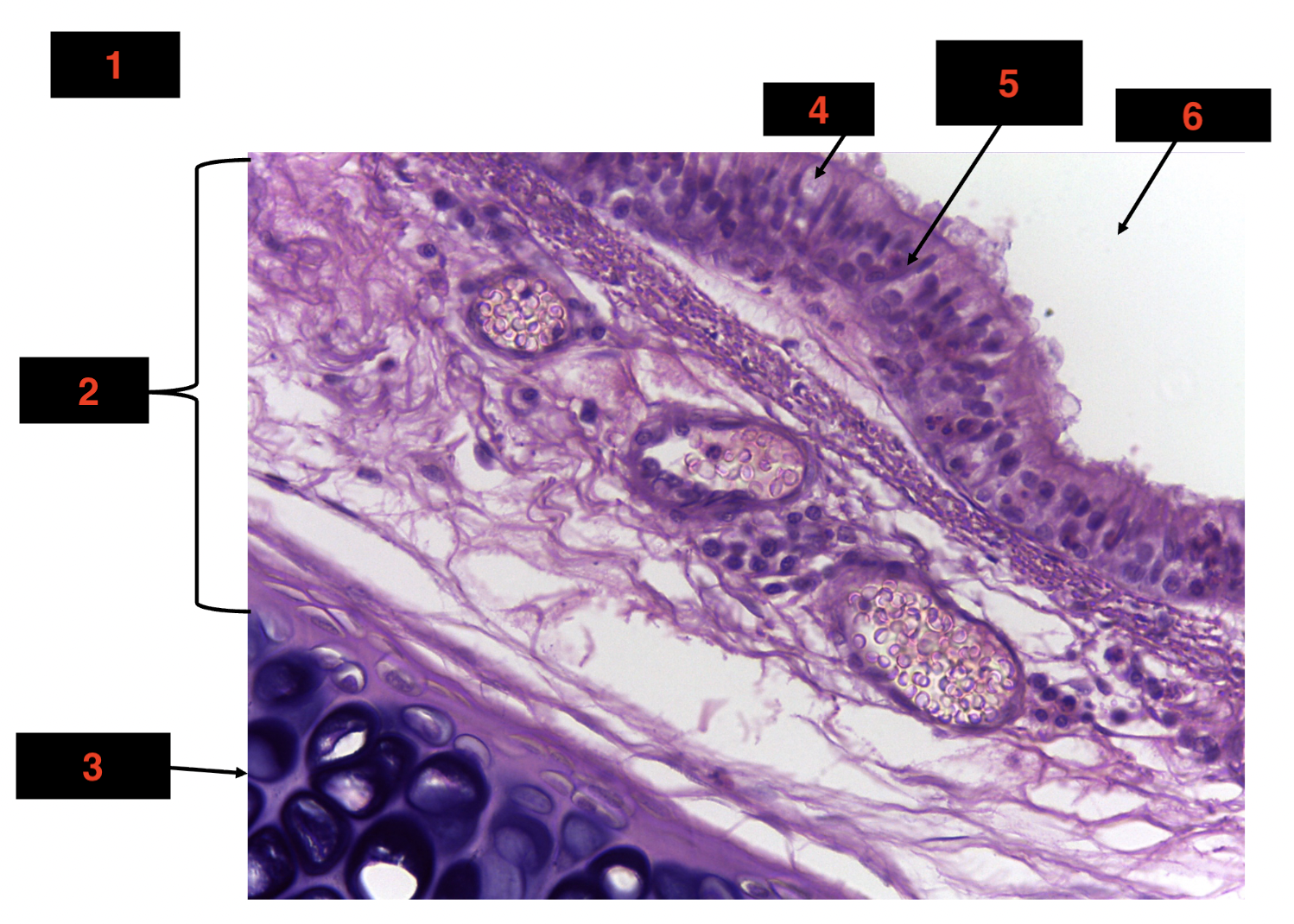
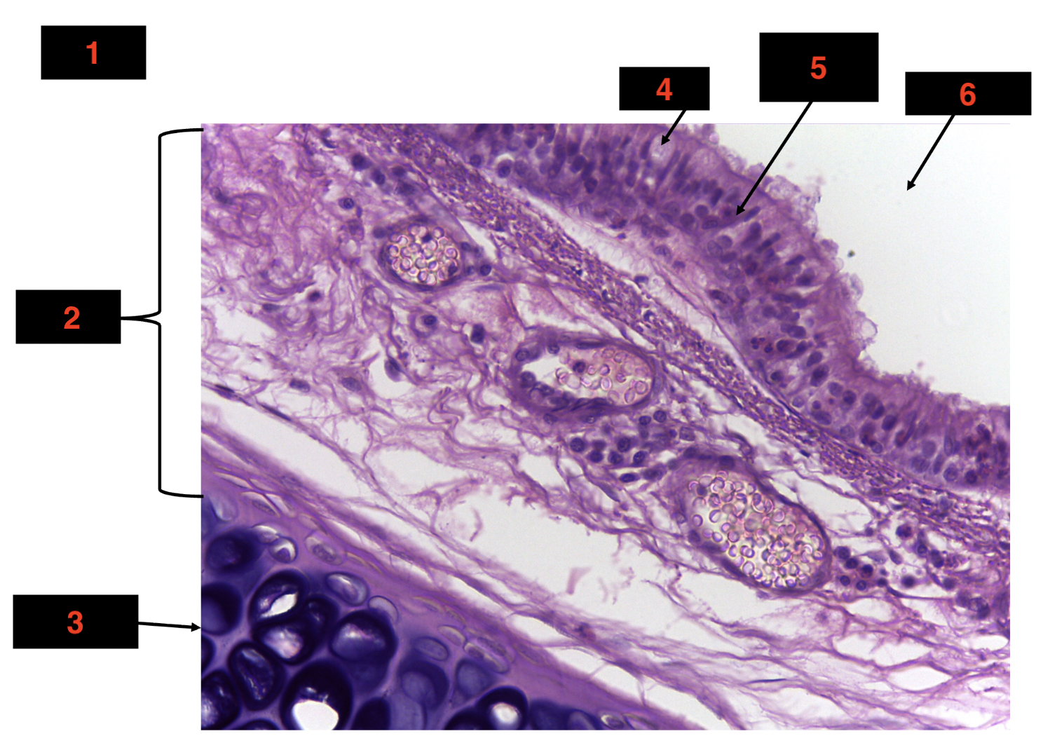
1
Trachea

2
Submucosa

3
Hyaline cartilage

4
Goblet cell

5
Pseudostratified ciliated columnar epithelium

6
Lumen of trachea