1/43
Looks like no tags are added yet.
Name | Mastery | Learn | Test | Matching | Spaced | Call with Kai |
|---|
No analytics yet
Send a link to your students to track their progress
Errors in Panoramic radiology mostly related to the steps in acquiring the image:
Have patient remove denture, removable appliance/retainer, jewelry, glasses, coat, hearing aids, etc.
Patient bites on bite stick – proper anterior-posterior position.
Adjust the chin rest/tilt as needed – __________ plane
Position the side guides to keep head secure.
Ask the patient to stand up completely _________.
Neck extended but not slumped forward.
Ask the patient to place tongue in the roof of the mouth and holds still.
Errors in Panoramic radiology mostly related to the steps in acquiring the image:
Have patient remove denture, removable appliance/retainer, jewelry, glasses, coat, hearing aids, etc.
Patient bites on bite stick – proper anterior-posterior position.
Adjust the chin rest/tilt as needed – Frankfort plane
Position the side guides to keep head secure.
Ask the patient to stand up completely straight.
Neck extended but not slumped forward.
Ask the patient to place tongue in the roof of the mouth and holds still.

Image Formation Concepts:
Structures are flattened out and ________ out.
Adjacent areas to the maxilla and mandible are seen.
Midline structure may project as single or __________ images.
Ghost images are formed.
Air spaces are seen.
Soft tissue shadows sometimes seen.
Image Formation Concepts:
Structures are flattened out and spread out.
Adjacent areas to the maxilla and mandible are seen.
Midline structure may project as single or double images.
Ghost images are formed.
Air spaces are seen.
Soft tissue shadows sometimes seen.


Identify The Zones.
Zone 1: Dentition
Zone 2: Nasal Cavity and Maxillary Sinuses
Zone 3: The Mandible
Zone 4: Temporomandibular Joints (TMJs)
Zone 5: Spine and Ramus
Zone 6: Hyoid Bone


What Zone Is This?
Zone 1: Dentition


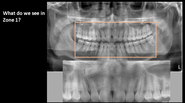
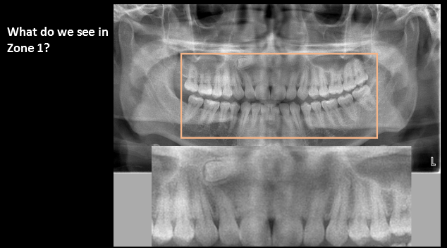
What do we see in Zone 1?
supernumerary teeth/impacted tooth


What Zone Is This?
Zone 2: Nasal Cavity and Maxillary Sinuses


What do we see in Zone 2?


What do we see in Zone 2?


What Zone Is This?
Zone 3: The Mandible


What do we see in Zone 3?


What Zone Is This?
Zone 4: Temporomandibular Joints (TMJs)


What do we see in Zone 4?


What Zone Is This?
Zone 5: Spine and Ramus


What do we see in Zone 5?


What Zone Is This?
Zone 6: Hyoid Bone

What do we see in Zone 6?


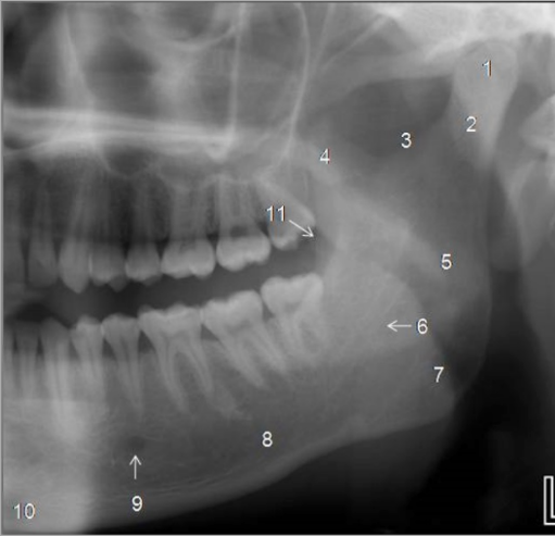
Identify The Structures On The Maxillary, Temporal & Zygomatic Structures.


Identify The Structures On The Mandible.


Errors in patient preparation
Errors in patient preparation


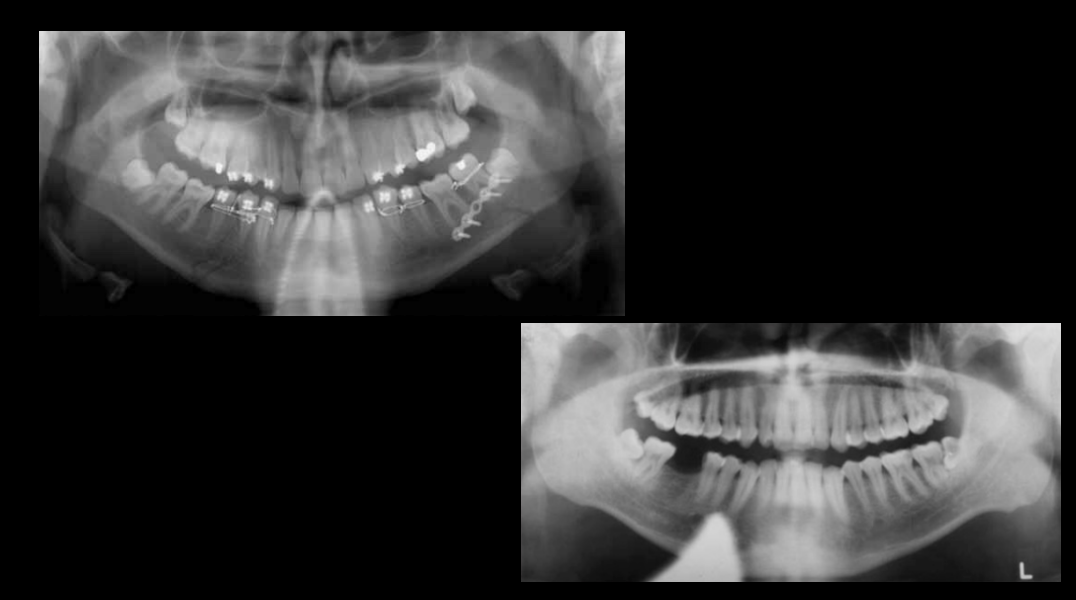
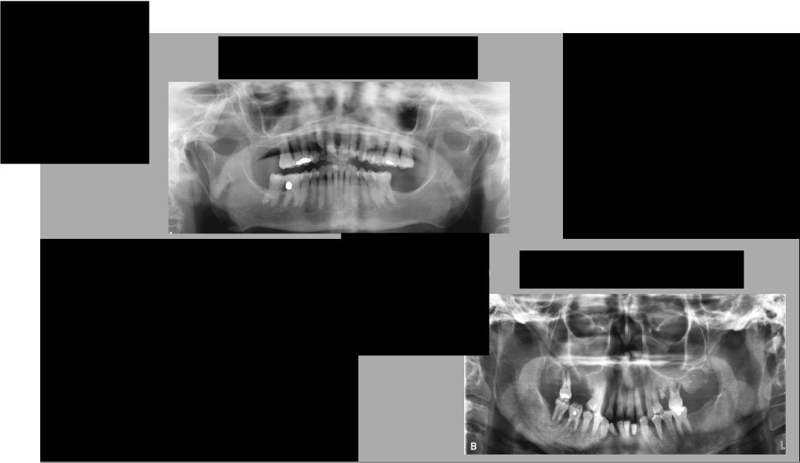
Image 1: Ghost image of a necklace/chain. Also jaw surgery.
Image 2: Lead apron


What error is this?
Error: patient too far foward


What error is this?
Error: patient too far back


What errors are these?


What error is this?
Error: slumped position/vertical spine shadow


What error is this?
Error: improper tongue position
radiolucency: palatoglossal air space b/c tongue was not positioned to the roof of the mouth.


What error is this?
Error: movement


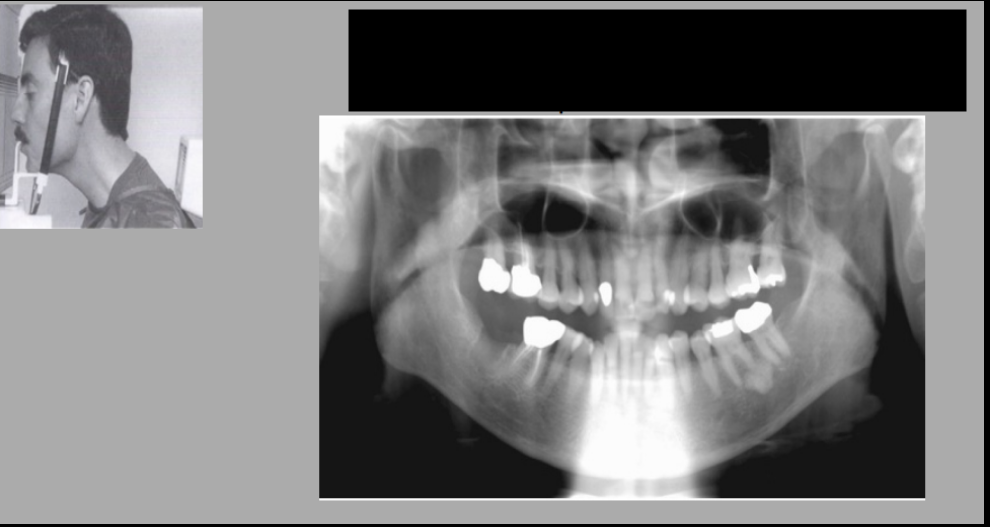
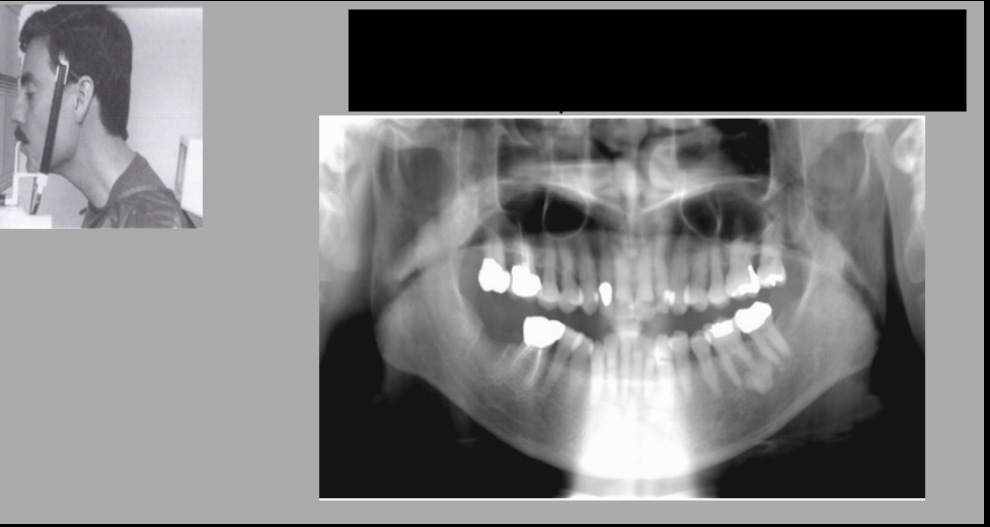
What should you have asked this patient prior to exposing?
Ask patient to remove maxillary partial denture before exposure.


What error (s) do we see here?
A. Head rotated or twisted to right more
B. Head rotated or twisted to the left more
C. Chin too high
D. Chin too low
A. Head rotated or twisted to right more


What error is shown in each photo?


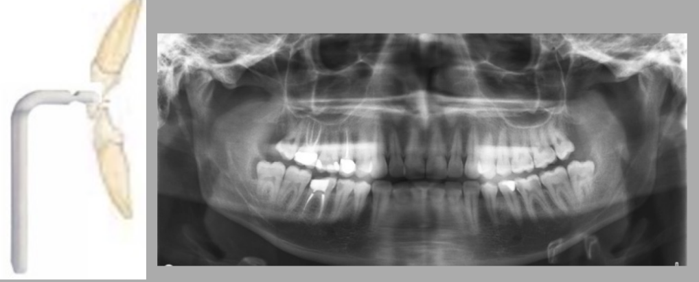
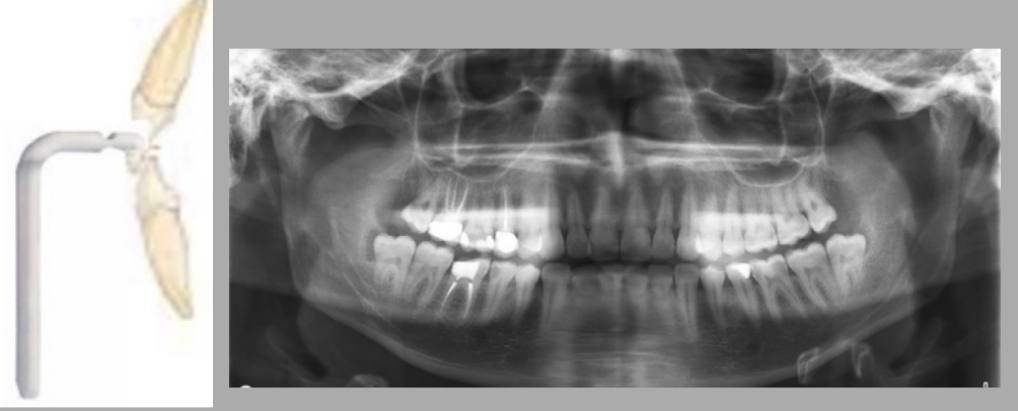
Which error is most significant in the way the patient was positioned?
A. Head is turned too much to right
B. Head too far back
C. Head too far forward
D. Head turned to the right too much
C. Head too far forward


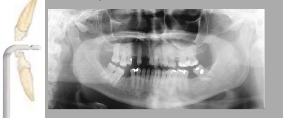
What is the most prominent error depicted in positioning of the patient by the radiographer?
A. Chin a bit too far down
B. Chin a bit too high up
C. Head too far forward
D. Head too far back
B. Chin a bit too high up


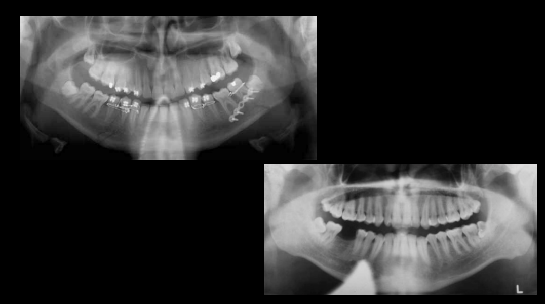
Name the errors
Palatoglossal space
earring ghost image


What errors do we see?
A. Chin too high and forward
B. Pt. is laughing
C. Chin too low and head too far back
D. Chin too low and head is too far forward
D. Chin too low and head is too far forward


What caused this?
A. Pt. moved
B. Pt. head slumped forward
C. Pt. has thyroid collar on
D. Pt. has a mandibular fracture
B. Pt. head slumped forward


What is the most obvious error and how do we correct it?
A. We see palatoglossal air space; tongue needs to be up
B. Pt. has developed a very large cyst over time; needs biopsy
C. Pt. has significant resorption of all maxillary teeth; needs extractions
A. We see palatoglossal air space; tongue needs to be up


What errors can you see?


What is the issue with this image?
A. Head too forward
B. Pt. has multiple fractures of jaw
C. Patient motion; talking during exposure
C. Patient motion; talking during exposure


What is the most likely cause?
A. Pano hit pt. shoulder and dragged
B. Pt. started talking
C. Pt. had surgery to right side of face
D. Pt. has surgery on left side of face
A. Pano hit pt. shoulder and dragged


What is this?
A. Lead apron/thyroid collar too high and bunched up in the back
B. Static electricity
C. Head movement
D. Pt was vomiting during exposure
A. Lead apron/thyroid collar too high and bunched up in the back


What do we see?
Earring ghost artifacts and a necklace


What do we see here?
Glasses


What is the yellow arrow pointing to?


What are the arrows pointing to?
Ghost image of mandible


Pano. hit shoulder and dragged
Must check for shoulder clearance; walk around the patient, look from each side.
