1/39
Looks like no tags are added yet.
Name | Mastery | Learn | Test | Matching | Spaced | Call with Kai |
|---|
No analytics yet
Send a link to your students to track their progress
Lameness - progressive to NWB
Swelling
Heat
Fever
What are clinical signs of orthopedic infections?
Synovial
Epiphyseal
Physeal
What are three types of orthopedic infections in foals?
Only synovial membrane/fluid is affected
Larger joints like tarsocrural
What is affected in synovial orthopedic infections of foals under 1 week old?
Synovial and subchondral bone affected
Multiple joints affected
Failure of passive transfer
What is affected in epiphyseal orthopedic infections of foals over 1 week old?
Infection of periphery of long bone - can extend to joint
Previous dz history
What is affected in Physeal orthopedic infections of foals?
Joint effusion
No boney abnormality on rads
How can you differentiate synovial orthopedic infections from the others?
Subchondral bone lysis on rads
Joint effusion
How can you differentiate Epiphyseal orthopedic infections from the others?
No joint effusion
Bony lysis,
Widening of growth plates
How can you differentiate Physeal orthopedic infections from the others?
Nothing this is a normal neonatal foal radiograph
What is the problem w/ this radiograph?

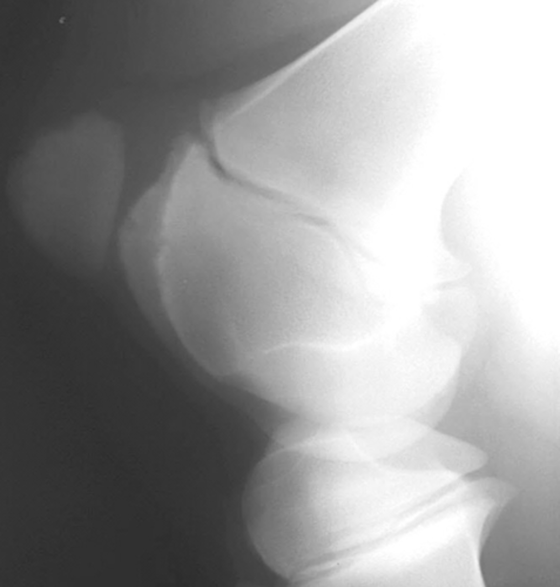
Epiphyseal
Identify the type of infection?

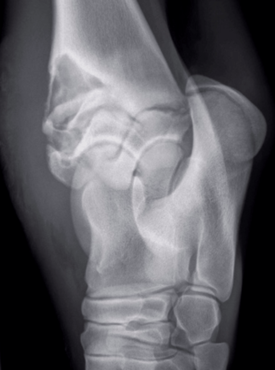
Physeal
Identify the type of infection?

Systemic bw - CBC, Chem, SAA
Radiograph all enlarged joints
How can you dx orthopedic infections in foals?
WBC less than 5000
TP less than 2.0g/dL
SAA 20mg/l - or below
What should normal joint fluid look like?
Culture and sensitivity
What is the gold standard for dx of S and E type orthopedic infections?
Joint effusion/ infection - fibrin and fluid pockets seen
What is the u/s identifying?

Broad spectrum - pen G (Can go to oral after 10days after clinical signs)
Local tx
Banamine
Ulcer prevention - always!!!
How is systemic foal Orthopedic infections Treated?
48hrs after NSAIDS have been d/c
When should you discontinue antibiotics for systemic S and E types of Orthopedic infections?
Culture
Lavage (1-3L)
ABX (IV regional for 3 days, PMMA beads, R-gel)
IA HA
How is local S and E types of orthopedic infections treated?
Culture
ABX (IV regional for 3 days, PMMA beads, R-gel)
How are local type P orthopedic infections treated?
Flush from different angles to get all the fibrin out and make sure no corners are missed
Ex. above and below patella in stifle infection
What should you remember when lavaging a joint?
Tourniquet
Inj ABX slowly into a vein
Leave for 30 mins
Tx vein w/ topical anti-inflammatories and bandage
How is IV regional perfusion?
Antibiotic impregnated beads that are placed in a joint (must be removed)
What is PMMA?
Sx debridement
What tx for types E and P can be done?
Arthroscopy - fibrin likely too hard and needs removed
-potentially leave open to drain
If you are unable to lavage a joint what should you do?
Hip - infection likes to hide
If the joint looks like it is healing but is still lame where should you check?
Umbilical infection - can travel through umbilical vein and travel to liver
What is a common cause of orthopedic infection in foals?
Dissect vein out and attach stump to skin so it can drain and be flushed w/ saline
If the umbilical vein is infected to the liver what should you do?
Puncture wounds/ inj
(Rare hematogonous spread)
When do adults typically get orthopedic infection?
Tenoscopy/ synovectomy
Drain
Poss cut annular ligament
How do you tx a septic tenosynovitis?
Trauma to bone (kick) causing a disruption of blood supply to the cortex leading to necrosis that will form a draining tract to push little bone out
What is a sequestrum?
Chronic non-healing wounds over bones
When should we suspect a sequestrum?
Long term ABX
What is conservative tx for sequestrums?
Sx debridement and removal - make sure its loosened
-Can be done standing
-Debride enter tract
What should be done for more serious sequestrums?
a severe infection of bone, bone marrow, and surrounding soft tissue.
What is osteomyelitis?
Biofilms on plates
Long procedures = more time open
Why can animals get post-op infections?
Will see radiolysis above and below implant
How can you tell there in a bone infection with an implant?
ABX prophylactics
Lavage sx site w/ abx contadini fluids
ABX impregnated materials (PMMA, Plaster of Paris)
How is orthopedic infection prevented when applying sx implants?
Lamness lasting longer than expected
Pain not responding to analgesic
Swelling/ inflammation
Drainage
Fever of unknown origins
How do you dx an orthopedic infection post-op?
Remove and debride in sx
How do you tx an unstable infected implant?
Leave implant and do ABX therapy
How do you tx a stable infected implant?