1/45
Looks like no tags are added yet.
Name | Mastery | Learn | Test | Matching | Spaced | Call with Kai |
|---|
No analytics yet
Send a link to your students to track their progress
a. Evaluation of treatment (cephalometrics)
b. When to begin treatment
c. Sex differences
Patterns of growth cessation
a. Etiology of malocclusion/skeletal discrepancies
b. How to use growth to treat patients
Development of variations
the cranial base and facial skeleton follow different patterns of growth cessation
A key principle in application is that
~6-8 years, in the mid to late teens-early 20s
The midline cranial base ceases growth ~ ___________ years of age while the facial skeleton ceases growth in the

Serial cephs are superimposed on the developmentally stable cranial base

Endochonrral and intramembranous skeletal elements contribute to the cranial base

cartilaginous
The midline cranial base is ______ in origin

Exhibits intrinsic growth potential
Drives the growth of other craniofacial regions
Examples: Cranial base cartialges
Growth centers
No intrinsic growth potential
Grows in response to growth centers (accommodative)
Examples
- craniofacial sutures
- Periosteal surfaces
Growth sites
different times
Fusion of cranial base sunchondroses occurs at
~12 years
Spheno-occipital synchondrosis (SOS) fuses
before birth
Mid-sphenoid synchondrosis (MSS) fuses
~6-8 years
Spheno-ethmoidal synchondrosis (SES) fuses
A. SES
B. MSS
C. SOS

variable part of the face
Within and among populations, anterior vertical facial dimensions are the most
primarily in the vertical dimension
Compared to other mammals, humans have faces that grow
disproportionally
Vertical dimensions increase ______________ relative to length and width dimensions

Face just keeps growing bro

cessation of neurocranial growth
The facial skeleton continues to grow long after the

patterns of integration among different cranial regions
To understand how variations develop we must know
Neurocranium
A. Cranial base
B. Cranial vault
Viscerocranium
A. Orbital region
B. Nasal region
C. Masticatory region

A. Cranial vault
B. Cranial base

A. Orbital region
B. Nasal region
C. Masticatory region

1. the facial skeleton and cranial base are tightly integrated structures
2. Changes in the cranial base result in changes in the facial skeleton
The unique pattern of facial growth in humans is tied to anatomical differences in the cranial base
facial skeleton
The influence of the cranial base is also reflected in patterns of growth cessation in the

superior-inferior
The cranial base establishes a ____________________ gradient of growth cessation

males and females
The timing of growth cessation varies between

vertical growth of the face
Multiple developmental dynamics differentially contribute to
mandibular/alveolar growth
Differences between hyper and hypo-divergent individuals are due to
different patterns of mandibular condylar cartilage growth
Variation in the lower face is affected by
different patterns of mandibular rotation
Variation in condylar cartilage growth results in
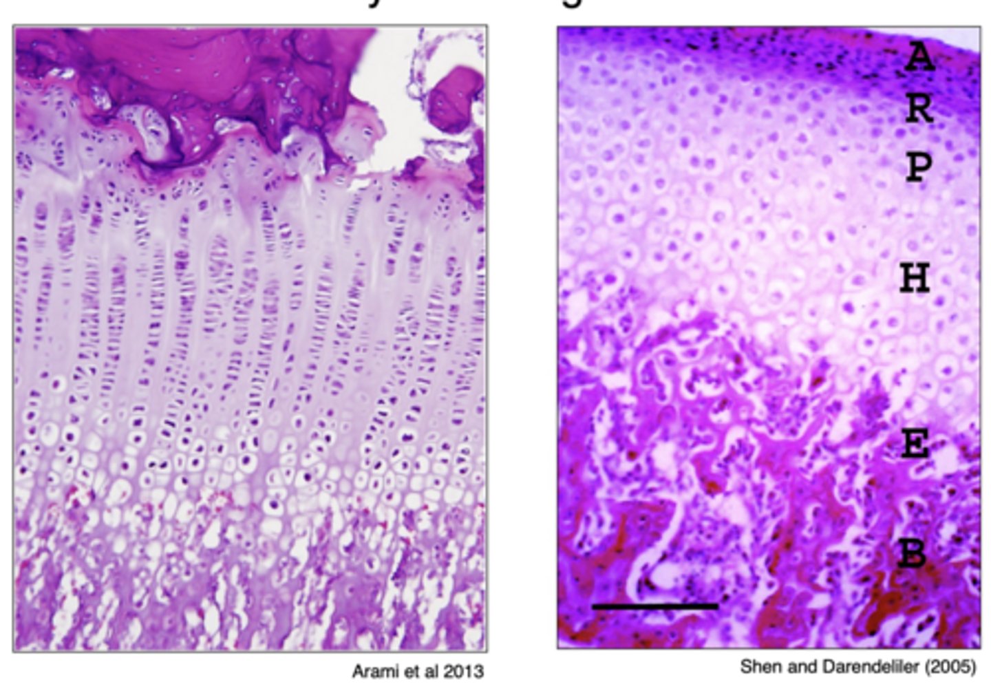
different condylar cartilage does this shit

condylar cartilage (on the right)
- not in a columnar arrangement thus can grow in different directions
The potential for different patterns of mandibular rotation is evident in the

alveolar bone
Mandibular rotation produces compensatory changes in

patterns of mandibular rotation
Variation in respiratory function affects

patterns of mandibular rotation
Variation in masticatory function affects

the same craniofacial phenotypes
Different functional dynamics can produce
