1/32
Looks like no tags are added yet.
Name | Mastery | Learn | Test | Matching | Spaced | Call with Kai |
|---|
No analytics yet
Send a link to your students to track their progress
tooth
Name the organ

enamel
Name the tissue

dentin
Name the tissue

pulp
Name the tissue

tongue
Name the organ

Parotid Gland
Name the organ

Serous acinus
Name the tissue

Submandibular Gland
Name the organ

Mucus acinus
Name the tissue

Serous acinus
Name the tissue

Sublingual Gland
Name the organ

Mucus Acinus
Name the tissue

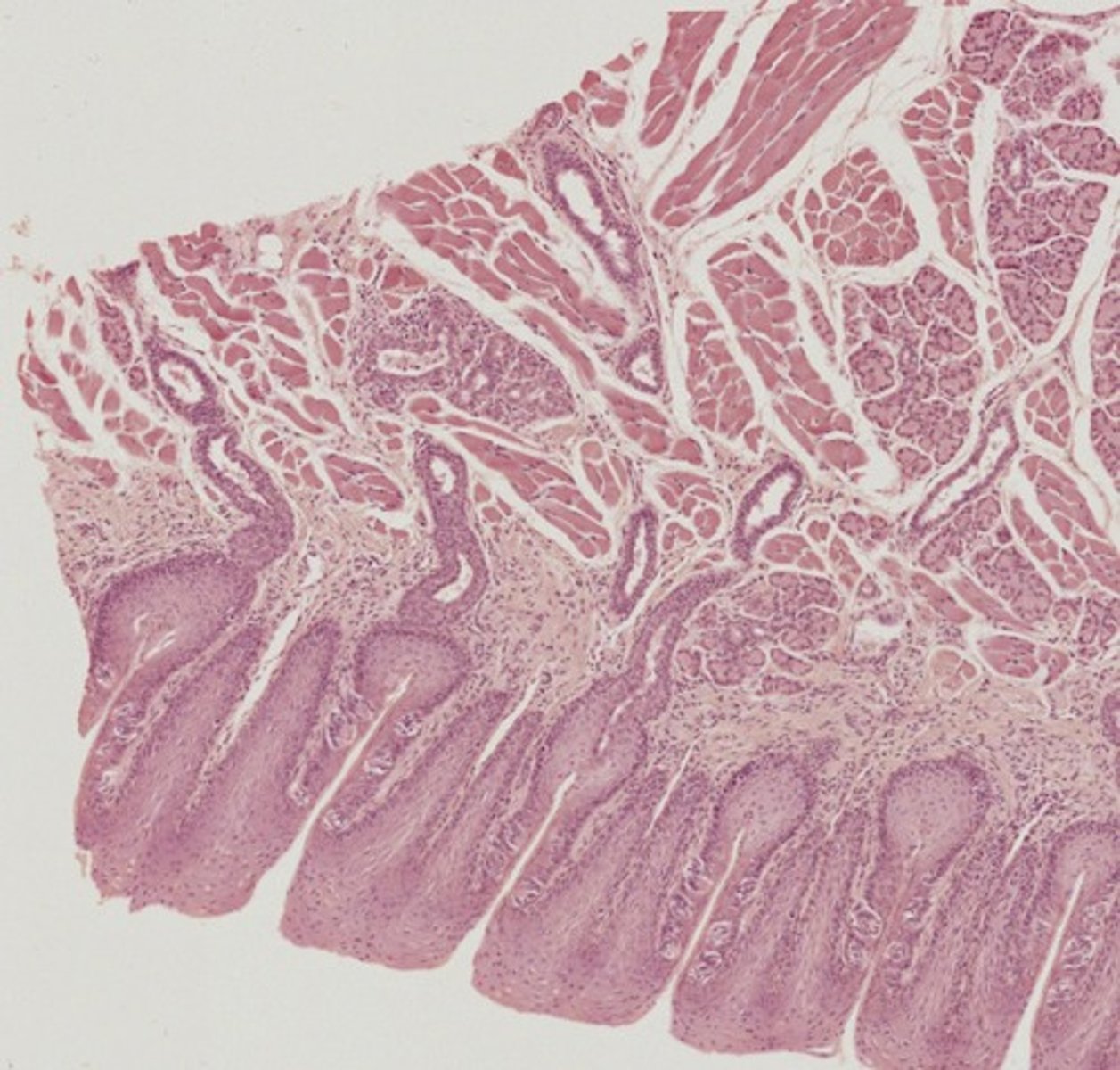
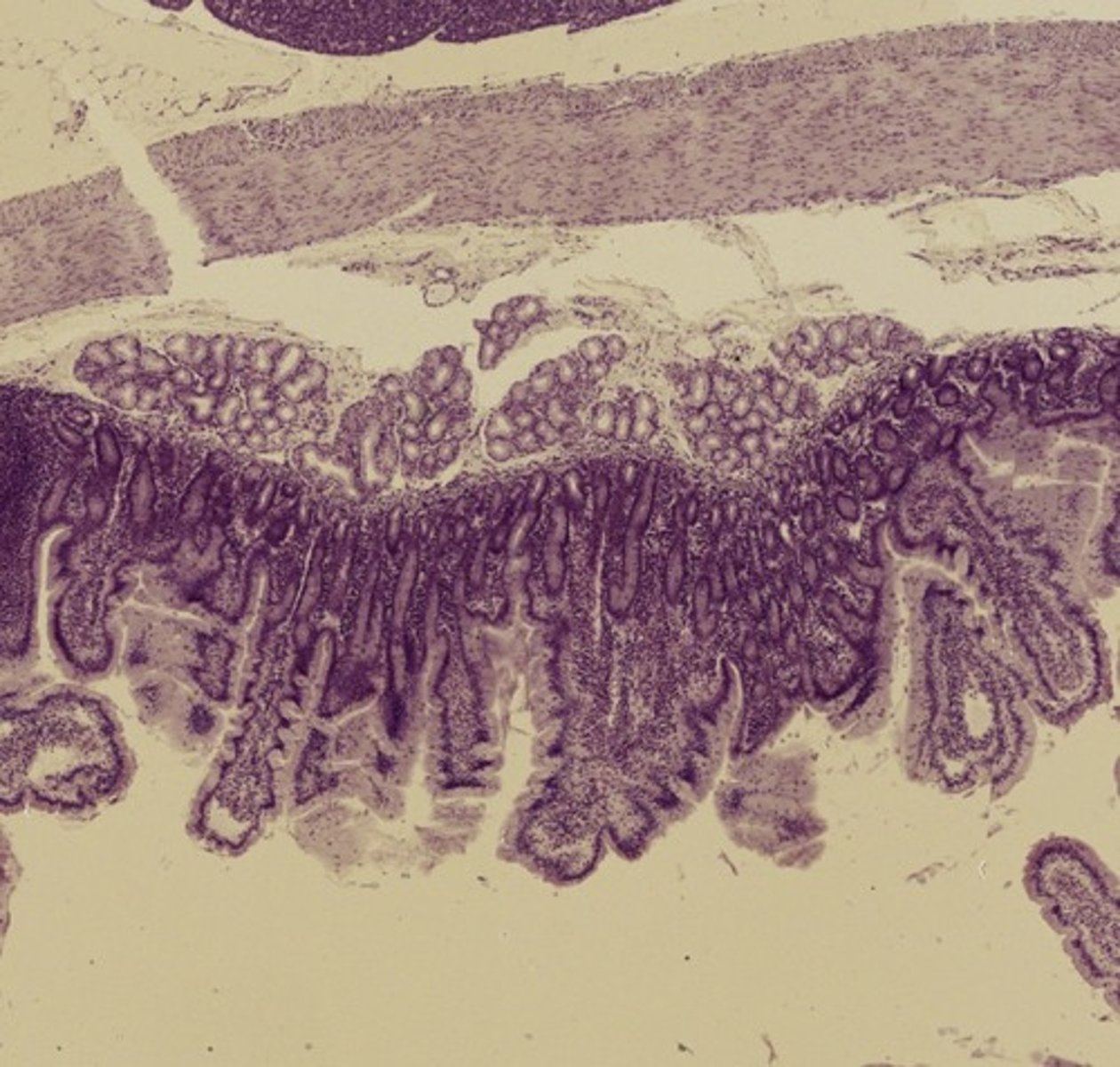
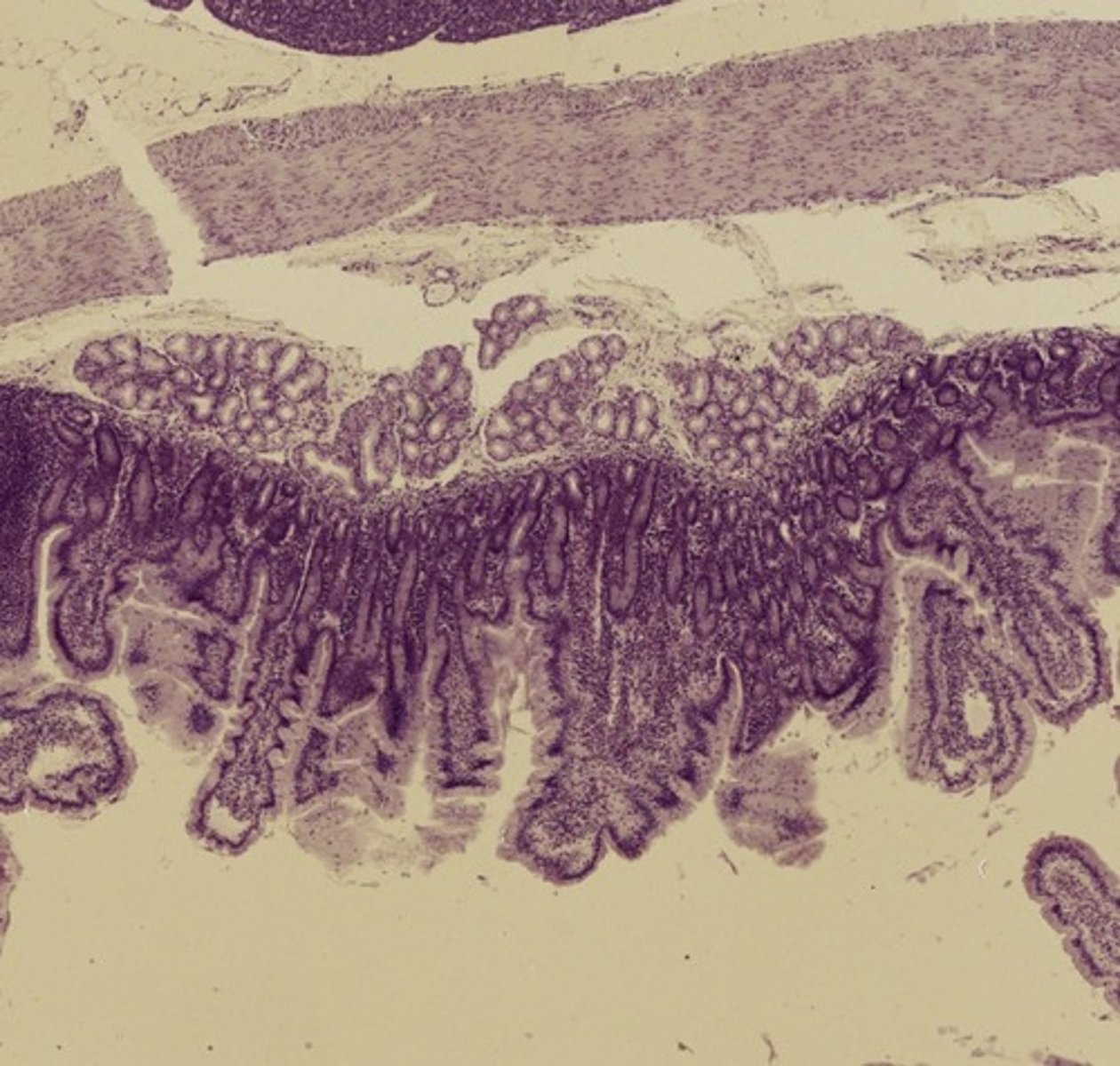
Small Intestine
Name the Organ

Duodenum
Name the region

Duodenal Glands
Name the structure

Small Intestine
Name the organ

jejunum
Name the region

Small Intestine
Name the Organ

Ileum
Name the region

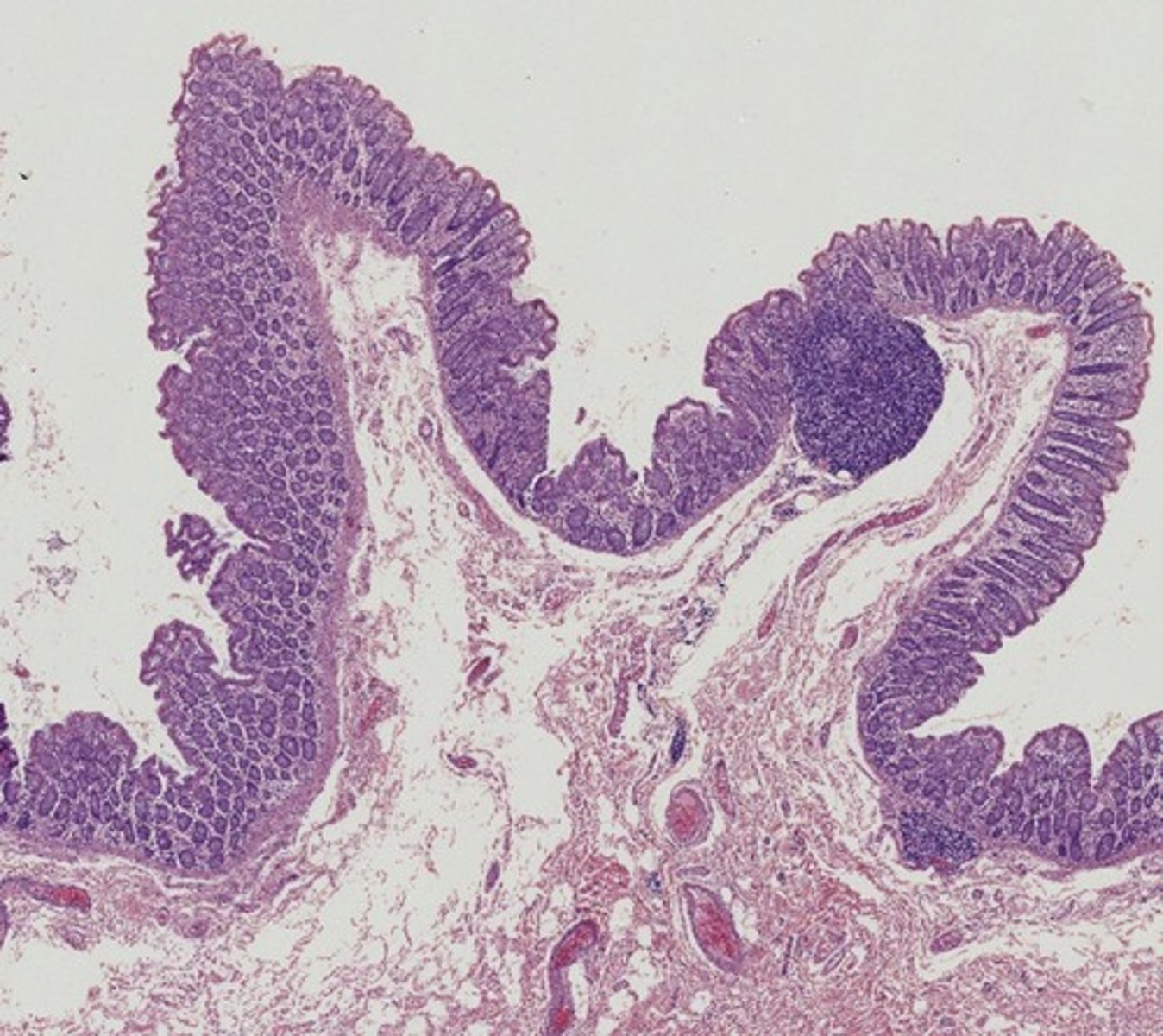
Peyer's patch
Name the structure

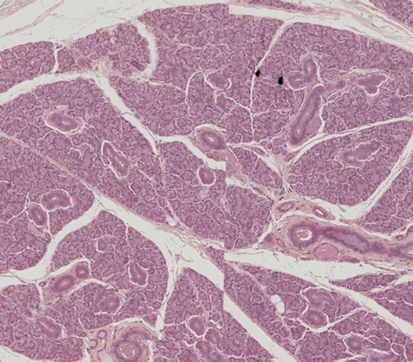
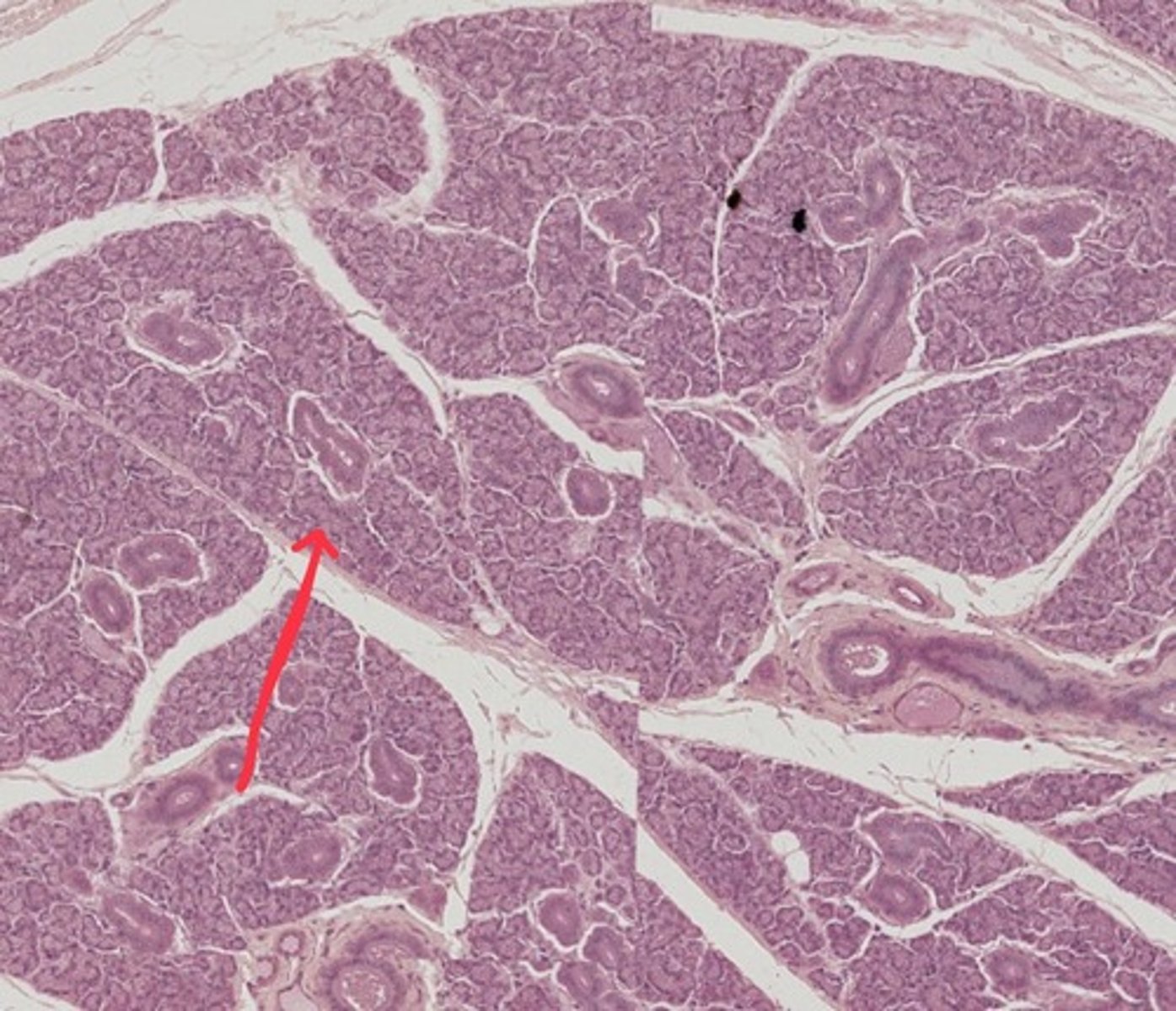
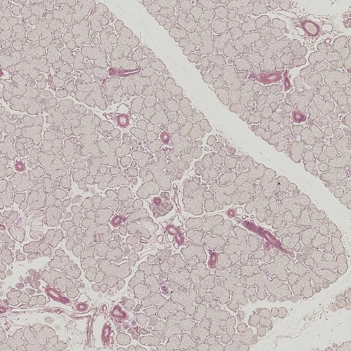
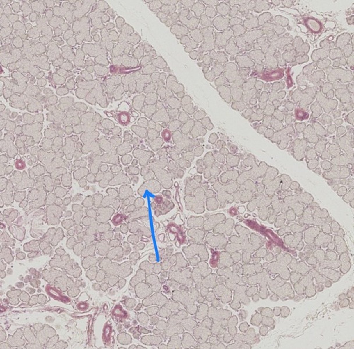
Pancreas
Name the organ

pancreatic acinus
Name the structure/tissue

pancreatic islet
Name the structure/tissue

Colon
Name the organ

Appendix
Name the organ

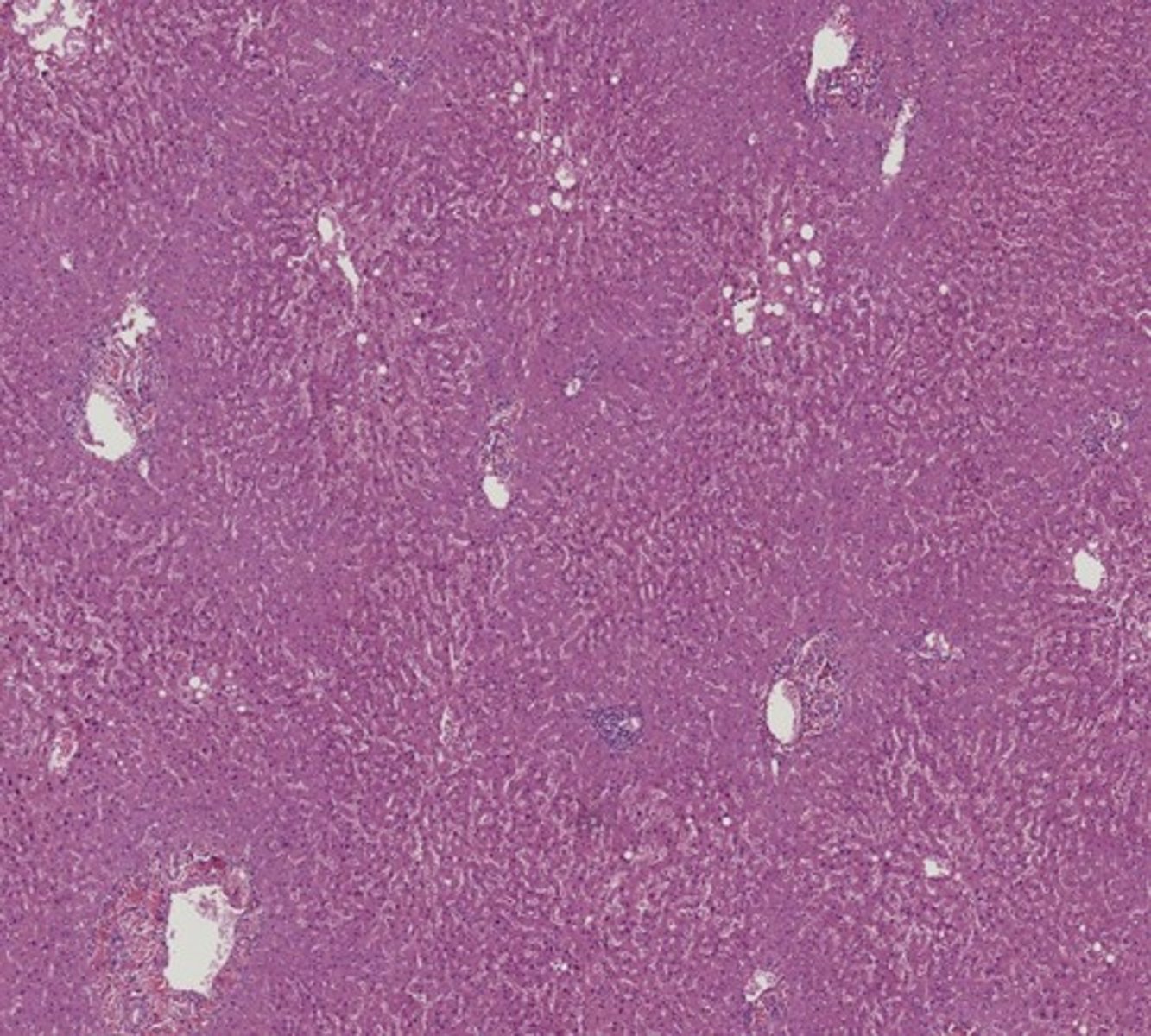
Liver
Name the organ

Central vein
Name the structure

Liver sinusoids
Name the structure

Gallbladder
Name the organ

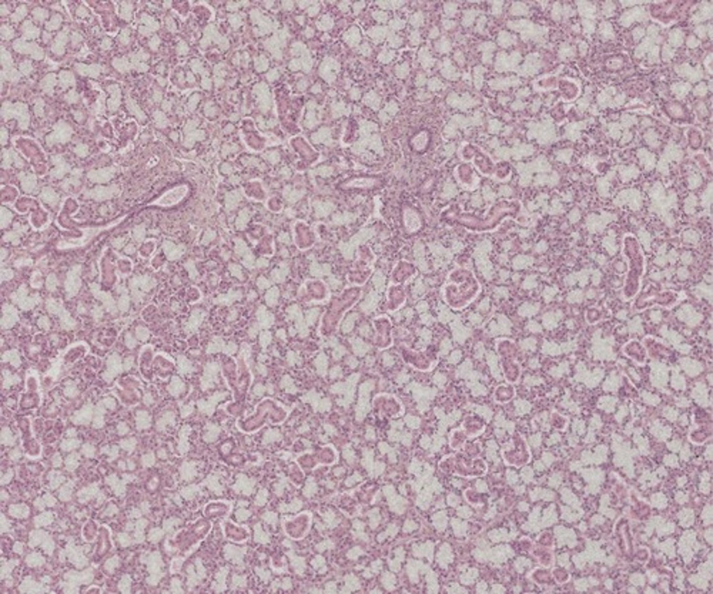
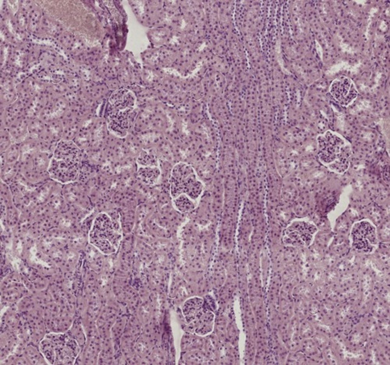
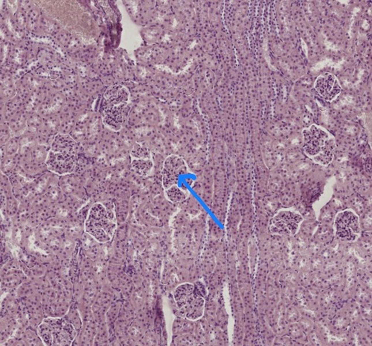
Kidney
Name the organ

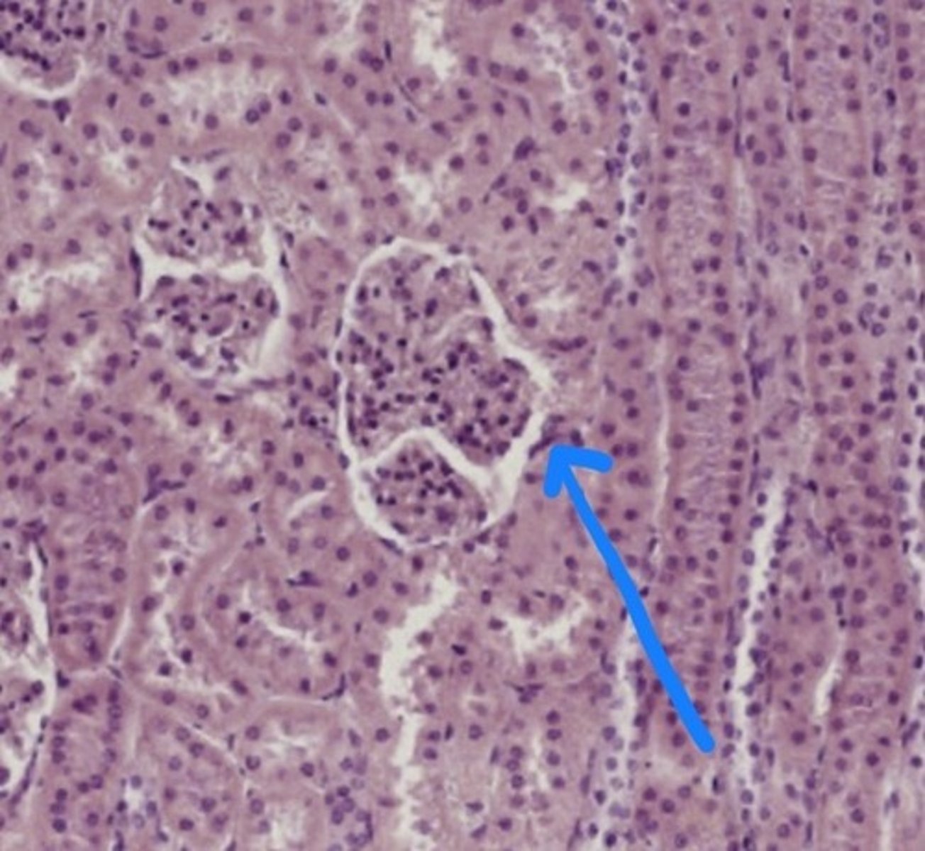
Bowman's Capsule
Name the structure

Capsular Space
Name the structure

Glomerulus
Name the structure
