1/12
Looks like no tags are added yet.
Name | Mastery | Learn | Test | Matching | Spaced | Call with Kai |
|---|
No analytics yet
Send a link to your students to track their progress

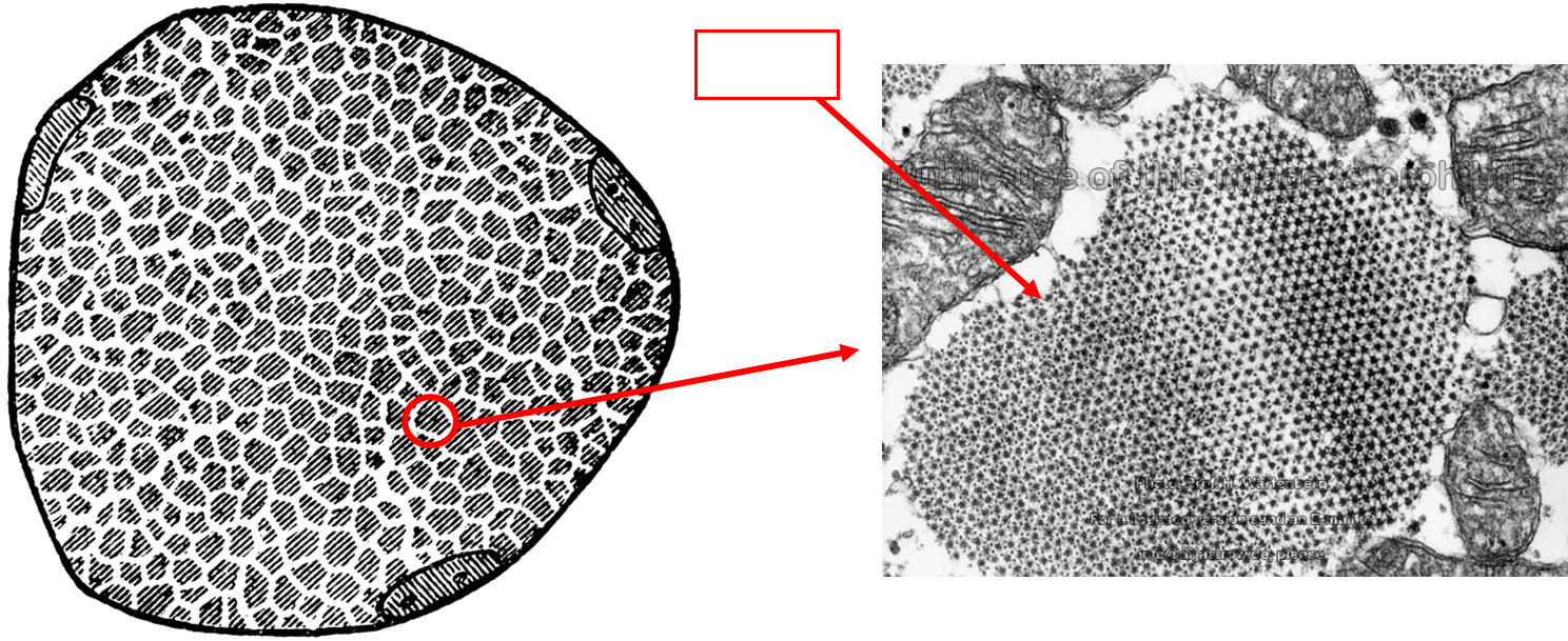
หน้าตัดนี้เรียกว่า
Cohnheim’s field

กล้ามเนื้อชนิดอะไร ประกอบด้วยอะไรบ้าง
Fibroblast
Muscle fiber
Nucleus
Endomysium

กล้ามเนื้อชนิดอะไร ประกอบด้วยอะไรบ้าง
Perimysium
Red muscle
Capillary
Nucleus
White muscle
Endomysium

รูปนี้คืออะไร และประกอบด้วยอะไรบ้าง
Z-line
I-band
Sarcomere
A-band
M-line
ในช่วง Filament contraction period : Sarcomere, I-band, H-zone, A-band แต่ละตัวจะเป็นยังไง
Sarcomere : หดสั้นลง
I-band : หดสั้นลง
H-zone : หดสั้นลง หรือ หายไป
A-band : ไม่เปลี่ยนแปลง

โครงสร้างนี้เรียกว่าอะไร ประกอบด้วยอะไร
“Triad” (1 T-system + 2 terminal cistern(ปลาย SR))
ชนิดของ Skeletal muscle fiber ไหนที่ metabolism แบบไม่ใช้ O2
White muscle (Glycolysis)

กล้ามเนื้ออะไร ประกอบด้วยอะไรบ้าง
Intercalated disc
Fibroblast
Nucleus
Endomysium
กล้ามเนื้อหัวใจไม่มี Perimysium, Epimysium

กล้ามเนื้อหัวใจประกอบด้วยอะไรบ้าง
Desmosome
Mitochondria
Gap junction
Intercalated disc
Sarcomere
Gap junction อยู่ตรงไหน
อยู่ระหว่าง ตามยาวของ intercalated dics 2 อัน
Smooth muscles ใช่อะไรแทน Troponin complex
MLCK
Smooth muscles ใช่อะไรแทน T-tubule

Pinocytotic vesicles (Subsarcolemmal caveolae) ทำหน้าที่ส่งกระแสประสาทไปยัง receptor

Smooth muscle ประกอบด้วยอะไรบ้าง
Pinocytotic vesicles
Gap junction
Dense body