1/7
each tissue's structure, location, & function
Name | Mastery | Learn | Test | Matching | Spaced | Call with Kai |
|---|
No analytics yet
Send a link to your students to track their progress

simple squamous
single layer of flat cells; found in the lining of air sacs (alveoli) in lungs & blood vessels; helps with diffusion

simple cuboidal
single layer of cube-shaped cells; found in kidney tubules & small glands; helps with secretion

simple columnar
single layer of tall, narrow cells; found in the lining of stomach & intestines; helps with movement of particles

pseudostratified columnar
single layer of cells, some tall & thin; found in the respiratory tract (trachea, bronchi); helps with synthesizing & secreting mucus

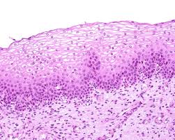
stratified squamous
several layers of cells that are cuboidal & flat; found in the skin surface, mouth, & esophagus; helps with protecting against abrasions

stratified cuboidal
multiple layers of cube-shaped cells; found in the sweat gland ducts & mammary glands; helps with secretion

stratified columnar
multiple layers of tall, thin cells; found in male urethra & large gland ducts (rare); helps with protection & secretion

transitional epithelium
stratified cells that appear cuboidal when not stretched; found in the urinary bladder & ureters; helps with accommodating fluctuations