1/113
Looks like no tags are added yet.
Name | Mastery | Learn | Test | Matching | Spaced | Call with Kai |
|---|
No study sessions yet.
two forms of polarity
1) programmed changes from inside the cell (eg yeast budding) and 2) response to cues from outside the cell (eg yeast conjugation)
integrating
establishing polarity requires _________ signaling and the cytoskeleton
conserved
pathways controlling yeast polarization are ________ in animal/cell motility
types of cell motility
flagellar- or cilia-dependent swimming, actin-dependent migration, amoeboid motion without actin
flagellar- or cilia-dependent swimming
flagella allow the cell to direct and move in certain directions; whip-like appendages of varying lengths, create the propulsive force via an oscillatory beating motion to move swimmers through aqueous media or across surfaces

actin-dependent migration
cells use their actin cortex to support the plasma membrane from within and to deform the plasma membrane during crawling motility; can be based on blebbing or lamellipodium

amoeboid motion without actin
in nematode sperm, the cell uses a major sperm protein in almost the same way that actin is used - polymerization + treadmilling

cell anatomy for actin-dependent migration
The cell has a tail in the back that is dragged forward, baggage in the nucleus, and a lamellipodium that pulls the whole cell forward. Ventral area includes how the cell interacts with the substrate that it crawls on

lamellipodium
cytoskeletal protein actin projection on leading edge of the migrating cell; determine the cell movement direction by protrusive force that arises from the actin network
cells used for motility studies
general: epithelial, mesenchymal
specialized: neurons, immune
discoides (slime mold)
cells follow cAMP gradient (chemotaxis)

chick embryonic heart tissues
in a collagen gel; mix of fibroblasts and cardiac myocytes. cells sense force, pull, and migrate (durotaxis)

mammal fibroblast cells
on a thin deformable silicone substrate; cells stick and pull

mesenchymal cells
stromal cells that have the ability to self-renew and also exhibit multilineage differentiation. Can be isolated from a variety of tissues, such as umbilical cord, endometrial polyps, menses blood, bone marrow, adipose tissue, etc
systems level analysis
breaks the system (cell signaling) down into: set of inputs, set of core processes, and set of outputs
the inputs and outputs are specific to a given situation, while the core processes are shared between different cells and pathways

signals from the outside
chemical, neighbor cells, mechanics, electrical, photo, etc
responses inside the cell
change in cell phenotype, trigger new gene expression, trigger cell movement or shape change, trigger cell cycle, trigger apoptosis, etc
driven by
movements of the cell and material within are _________ the cytoskeleton and associated motor proteins

migratory frog cell
expressing EGFP-CLIP1, a live-cell reporter of microtubule dynamics; looks like kinesin - binds to end of cargo portion of kinesin, and carried to plus end of MT

coordinated
movements of the cells can be _________ and are responsible for building structures and organs. Collectives of cells can be polarized, for example

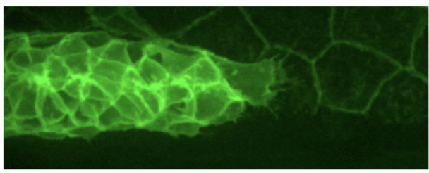
lateral line in fish
migration of epithelial cell cluster produces the sensory ______________ (zebrafish) (plasmamembrane GFP)
senses of ears laid out as a patch of hearing organs down the center of the fish, kicking our sensor packages and connecting to the brain; epithelial cells migrate along the length of the embryo.

yeast as model system
Since the discovery that many yeast genes and protein functions are shared with animals and plants we can learn a great deal about their function in yeast cells and test whether they operate in human cells in the same way. Yeast are cheap, abundant, and reproduce rapidly. In polarity studies, yeast form distinctive polarized structures under defined conditions ('on-demand') and can be synchronized
when yeast are not useful
cells that actually collectively migrate or build organs like lungs → yeast don’t do that
cell shape and locomotion
1) Cell polarization (in yeast cells)
2) RNA localization
3) Plasma membrane protrusion
4) External signals guide cell migration
5) Cell examples: Keratocytes and Neurons
sense cues
cells need to _________ from their environment
organize and polarize
cells need the ability to directionally _____________ their cytoskeleton
physical force
cells need to generate a __________ to move
persistence
cells need __________ to keep “on-track”; going in the same direction they need to be on; high = shortest path from one point to another
coordination of components and processes of cytoskeleton
cell polarization, shape change, and motility involves a deployment of this:
dynamic assembly and disassembly of polymers (noncovalent)
regulation and modification of their structure by associated proteins
actions of motor proteins among the polymers (key to driving in particular direction)

yeast
single cell eukaryote; type of fungus with chitin-cell wall; have complex life cycle with both asexual and sexual reproduction;

budding
yeast cells proliferate as both haploid and diploid via this process

conjugation
one a- and one α-type haploid cell fuse via this process; fuse nuclei
sexual ________ between haploid cells of opposite mating type results in the formation of a diploid zygote

human homologs
Yeast have been an immensely useful eukaryotic cell model to identify protein function.
Most yeast proteins have _________ - so we can use them to understand human protein-protein interactions; can isolate proteins in bulk → creation of networks of interactions

two ways yeast cells can polarize the membrane
conjugation or “shmooing” and cell division or budding
conjugation (shmooing)
During this process each haploid cell secretes a diffusible mating factor. There are two types of cells, one secretes “a” and one secretes “α” mating factor. a-type cells extend a protrusion, e.g. a ‘shmoo’, in response to α-mating factor.

cell division in yeast
asymmetric cell division in yeast!
mother and daughter cells: mother selects a site for new daughter next to old bud scar. Mother directs protein complexes for budding to that site.
Cell cycle, mitosis, and cytokinesis produce daughter
unequal division: same genome but not the same amount of protein in mother vs daughter cell

shmooing
polarized behavior during conjugation. Diffusible mating factor (a or α) (external cue = stimulus) secreted by neighboring yeast cell activates a pathway that triggers the cell to produce a "polarized" response

budding
polarized assembly of a new daughter cell during cell division. Generating a "polarized" response to an internal stimulus.
ash1 mRNA
Example: Differential transport of ________ creates two different cells: mother and daughter. Daughter cell receives ash1 - Mother depleted of ash1, so only the daughter cell expresses the ash1 protein. ash1 cargos carried on actin filaments to cell wall site and transported to one site on the mother cell

neutrophils
immune cells that polarize to track invasive pathogens; the most common type of white blood cell in the body
receptors all around the cell; only at the front of the cell are they bound to chemoattractants that signal + result in actin polymerization; demonstrates internal polarity of signaling in a cell

external stimuli
animal cells often use ___________ (eg chemoattractants) to direct complex responses (eg engulf a pathogen) (assemble cytoskeleton, directs response to signaling)
keratocytes
epidermal cells from fish/amphibian skin; useful model system for studying cell motility since they are big and fast
epithelial cell - large, one of the fastest migrating cells; very persistent, organizes migration through an internal signal (important for healing wounds)

chemotaxis
cells follow gradients of diffusible factors; the movement of microorganisms toward or away from a chemical stimulus, driven by a chemical gradient in their environment
haptotaxis
cells track immobilized molecules (like a trail of breadcrumbs); cues embedded in the environment and attached to a fixed place in the environment
durotaxis
cells follow gradients in substrate stiffness. the tendency of cells to migrate toward stiffer areas
galvanotaxis
cells guided by applied voltage; the directed motion of biological cells or organisms guided by an electric field or current
keratocytes and migration switch
With no external cues, the cell is shaped like a dumpling or crescent and is migratory; with cues, the cell undergoes a change in phenotype (cell shape) and is now non-migratory

migratory keratocytes under microscopy
small number of tagged g-actin (real proteins) physically injected into the cell (easy b/c the cell is big); speckling: individual molecules of f-actin bound into the cytoskeleton and actin forming off the leading edge;
cells so large they allow visualization of biochemistry within a cell

cofilin
controls actin polymerization; localized just behind actin layer; an actin-binding protein that regulates filament dynamics and depolymerization. Over-expression is observed in various cancers: promotes cancer metastasis by regulating cytoskeletal reorganization, lamellipodium formation and epithelial-to-mesenchymal transition
Motile cells
come in a variety of shapes and use different strategies for mirgation. However, irrespective to these differences, these share a common set of molecular machines for all steps of polarization and movement.
effectors
physical molecules drive shape change or forces (responses inside cell); proteins required for a cell to implement a program of motility
discriminating between
___________ signals and effectors leads to polarized cell migration

pathways; effectors
polarization of signaling _________ AND/OR polarization of physical _______ of movement drive cell motility
PIP3 Localization
usually controls actin polymerization; on plasma membrane; front of cell; part of major signaling pathway that leads to T-cell activation, proliferation, and cell survival

phospho-alpha 4 integrin
post-translational phosphorylation; activated form of proteins; roles in leukocyte adhesion, motility, and extravasation during the inflammatory response. Mediated through the binding of ligands

PTEN localization
inhibitor of PIP3, so it inhibits the localization of PIP3 at the sides of the cell; localizes everywhere except the front of the cell

Rac activity (FRET)
active at the front of the cell; fluorescent resonance energy transfer; same GTPase activated; chemokine activated at the front of the cell, but not the back; related to cell migration

fluorescent resonance energy transfer (FRET)
distance-dependent physical process by which energy is transferred nonradiatively from an excited molecular fluorophore (the donor) to another fluorophore (the acceptor) by means of intermolecular long-range dipole–dipole coupling
G-proteins
universal principles of cell motility: F-actin assembly and myosin contractility is controlled by these.
Rac: active at the front of the cell and Rho: active at the back of the cell; they regulate each other

the role in vivo
We often seek the function of particular gene or protein in terms of their function at different levels. Genetic - cell biological - biochemical.
Genetic mutations and biochemistry can reveal functions but the molecular mechanisms may not match ____________. Consider the puzzling case of profilin through its genetics, cell biology, and biochemistry.
context
The studies at multiple scales are not incorrect, but highlight how operation at one scale can be altered by ___________ such as the presence of other proteins or the localization of the complex to a different place in the cell
profilin
first isolated from the spleen and crystalized with actin monomer in 1977. sequesters actin
From this early work, it appeared that this compound bound ATP-G-Actin and functioned by sequestering it from the plus-end of F-actin. Extended the lag phase and depleted the monomer in the pyrene actin assay - reduced the number of filaments to be produced

contradiction with profilin
However, some experiments combining it with other proteins, such as formin showed dramatically opposite effects. Adding it to the mix dramatically increased polymerization. More work revealed a multiprotein complex where it efficiently delivers ATP- charged G-Actin to the plus-end raising rates of polymerization.
function of profilin
feeds actin subunits to the plus end of the actin like a factory line; with formin, it picks up subunits and physically moves them to the plus end of the actin formation; very fast, very stable, and very strongly polymerized at the plus end
formin
A group of proteins that are involved in the polymerization of actin and associate with the fast-growing end (barbed end) of actin filaments. Rho-GTPases, controlling rearrangements of the actin cytoskeleton
branched F-actin
universal principle of cell motility: assembly of ____________ at the leading edge. Actin polymerization drives the membrane forward. net filament assembly at leading edge and net filament disassembly behind leading edge. At the leading edge, actin is forming in the absence of cofilin

capping proteins
the minus ends of the actin filaments are capped by these such as Arp2/3
pushing cell membrane back
the polymerization of the actin plus ends is doing this; more monomers add and each point of extension pushes further
Arp2/3 complex
minus end binding complex; binds to the side of the actin filament and starts to polymerize its own filament; nucleator; caps minus end, nucleates one way.
nucleates branched actin filaments that provide pushing forces to drive cellular processes such as lamellipodial protrusion and endocytosis
polarity of branched actin network
polymerizing the leading edge of the cell; enough actin to never deplete from the cytoplasm
epithelial
much more locked in place; form sheaths of cells inside and out; organs etc; not all are stationary (keratocytes)

apical
epithelial cell layer facing the outside; the surface of epithelial cells that face a lumen, cavity, or external environment. Frequently features microvilli, cilia, or other structures that facilitate capabilities including absorption, secretion, or sensation
basal
layer of the epithelium that faces the inside of the body and binds to the extracellular matrix; located between the basement membrane and the remainder of the epithelium, effectively functioning as an anchor for the epithelial layer
mesenchymal
the trailing edge is trying to dissemble stuff so it can be at the front of the cell; the leading edge of the cell includes the lamellepodia and is where actin filament growth occurs; includes migratory cells

actin in neurons
cell cortex and allows extension and growth via “growth cone”
microtubules in neurons
oriented assembly in axon to deliver vesicles to synapse
intermediate filaments in neurons
Neurofilaments hold the axon together into compact structure
neurons
send out processes to connect; dendrites are short and receive signals; axons are long and transmit signals
longest cell
neurons are the ___________; axon connects from base of spine to big toe. Takes 1 day to deliver a vesicle with kinesin (return trip with dynein)
polarity of neurons
dictated by microtubule networks!
in the dendrites, there is a mixed polarity of microtubules. In the axon, the minus ends of MTs are pointed at the nucleus in the centrosome. There are some MTs that are free in the axon and dendrites, not having their minus ends in the centrosome. In the axon, all minus ends are polarized toward the cell but not all are capped.

growth cones
neurons connect to other cells by sending out _________, leaving axons or dendrites to connect to the neuron cell body left behind. Migrate according to -tropic cues (ie chemo-tropic not -taxis)
large actin-supported extension of a developing or regenerating neurite seeking its synaptic target. regulates neuron movement + polymerization

diverse connections; same place
incredibly ____________ start from the ________, but growth cones migrate to different locations.
filopodia explore micro-environment; cells bind and modify diverse signals; at target, form finer structures such as synapses, bouttons, etc; connect source and target cells

self-assembled
complex multicell structures are _________ using basics of cell migration machinery coordinated with cues from the local microenvironment… then need to be maintained.

substrate in metabolism
chemical used in a reaction
substrate in cell migration
the surface used by the cell to adhere and exert force
growth cones in neurons
A neuron can have many, many growth cones that move to find targets like other neurons or muscles. A single growth cone is to a neuron as a leading edge is to a migrating cell.
duty cycle
steps a cell takes as it moves along - can be simultaneous
protrusion → attachment → retraction
permissive factor
factors that are a prerequisite for any movement; activate a cell prior to its polarization and movement
instructive cue
cues that are required for directional movement but not movement itself; provides polarity within a cell that is already prepared for directed movements; can act on permissive factors now that they receive these
steps of the duty cycle
For cell migration:
Before migrating, the cell must POLARIZE!
Directed polymerization of f-actin
Attachment of the leading edge to the substratum
Contractility at near pulls cell forward and rear detaches
Repeats if the signal persists

experimental tests
found via affinity chromatography, and knock-out, widespread over-expression, perturb or relocate gradient of signaling “cue”
knock-out
does not distinguish whether permissive or instructive; tells you something is required
widespread over expression
eliminates the possible gradient of an instruction; works for chemotactic cues; helps determines if something is instructive
perturb or relocate gradient of signaling cue
changes the direction of cell movements; as a cell is migrating toward a source, move the factor being tested to another place; ex: puffing microneedle
calyculin A
a way to test the duty cycle of cell migration: drug that activates myosin II; turns on contractility; turns a stationary cell into a migrating cell (alternative phenotype change); turns the side of the cell into the rear of a migratory cell

phenotypic change of keratocytes
a way to test the duty cycle of cell migration; stationary → migratory with polymerization at the front; responding to external cues

force production.
Protrusion of membrane lamellipodia or filopodia requires

myosin interactions with actin filaments
Translocation of the cell body forward, once the membrane protrusion has become adherent to the substratum, may occur by ...
disruption
Detachment of the cell rear involves ________ of cell–substratum attachments.
less than
Here, the magnitude of traction is ______ the contraction force