1/29
Looks like no tags are added yet.
Name | Mastery | Learn | Test | Matching | Spaced | Call with Kai |
|---|
No analytics yet
Send a link to your students to track their progress
Fuligo sp
Trollsmör (Myxomycota)

Lycogala sp
Vargmjölk (Myxomycota)

Stemonitis sp
Stiftsvamp, Mikropreparatet visar sporangier med sporer och stödjenätverk, capillitium. (Myxomykota)

Trichia sp
Ullkluba (myxomycota)

Saprolegnia sp
Vattenmögel, Hyfer i princip utan septa. Asexuellt: sporangier med zoosporer. Sexuellt: oogon, anteridie (Oomycota)

Albugo candida
Vitrost, Tvärsnitt genom blad; konidiebildning under epidermis (Oomycota)

Phytophthora sp
Potatismögel, Tvärsnitt genom blad; ur klyvöppningarna växer sporangioforer med sporangier (Oomycota)

Rhizopus, zygosporbildning
Kulmögel (zygomyceter)

Rhizopus hyfer och sporangier med orörliga sporer
Kulmögel, (zygomyceter)

Empusa muscae
Flugmögel, hyfer, konidioforer och konidiespore (zygomyceter)

Taphrina betulina
Häxkvast (ascomycota)

Nectria sp
Gömming, cellulosa nedbrytare (ascomycota)

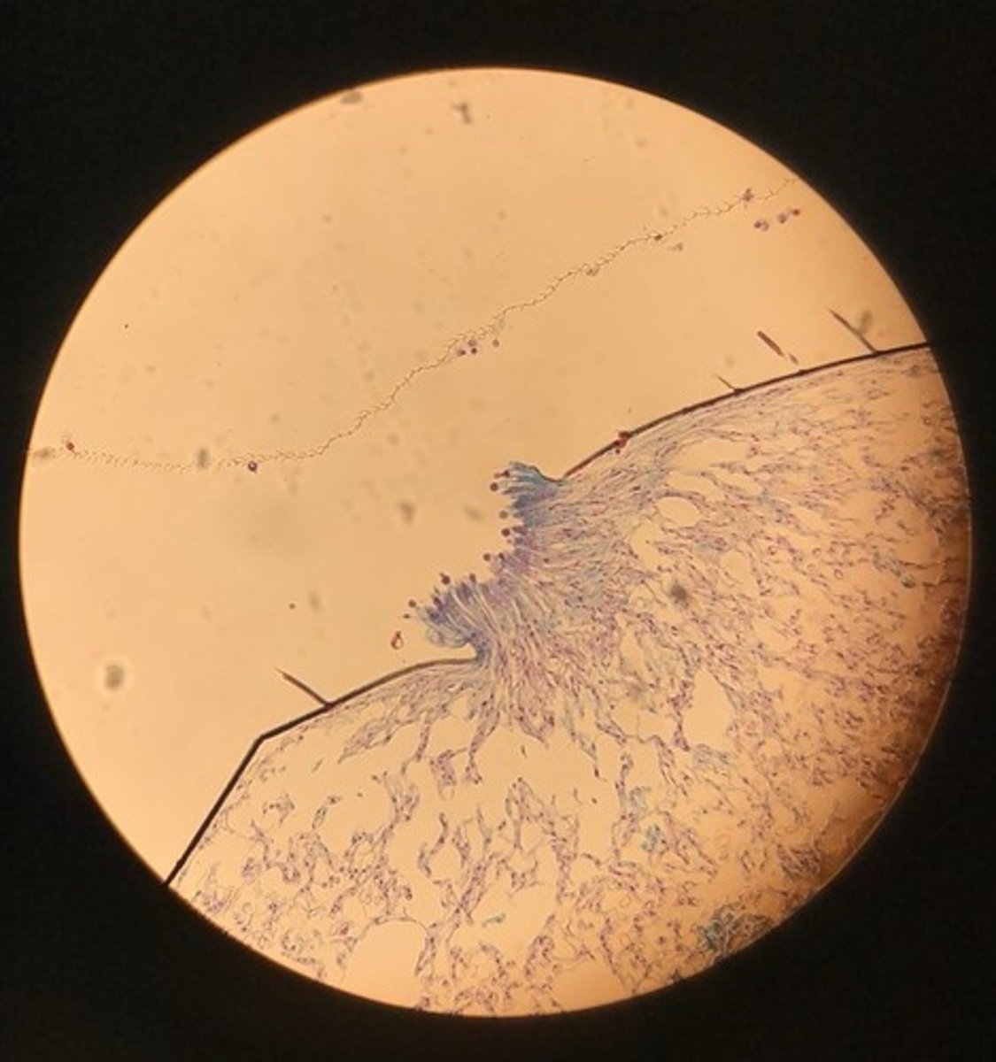
Claviceps purpurea
Mjöldryga, visar ett sädeskorn fullt av hyfer, samt bitvis konidiebildning i ytterkanterna. (ascomycota)

Ordningen Erysiphales
Mjöldagg (ascomycota)

Xylaria sp
Stubbhorn (ascomycota)

Tuber sp
tryffel, mikropreparatet syns ascosporer gömda i hålrum i svampen (ascomycota)

Gyromitra sp
Murklor, Veckat hymenium (ascomycota)

Rhytisma acerinum
Lönnens tjärfläckssvamp (ascomycota)

Chlorociboria sp
Grönskål (ascomycota)

Aspergillus sp
Borstmögel (Konidiala svampar) Hyfer, konidioforer, konidiesporer

Penicillium sp
Penselmögel, Hyfer, konidioforer, konidiesporer (Konidiala svampar)

Armillaria sp
Honungskivling (Basidiomycota), Rhizomorfer: mycelsträngar som växer mellan bark och ved

Geastrum sp
Jordstjärna

Phallus sp
Stinksvamp

Crucibulum sp
Brödkorgsvamp, Hela svampen är att betrakta som en fruktkroppssamling, i vilken det finns fruktkroppar med basidiesporer i

Puccinia graminis, spermogonier (pyknium) ovan, aecier med aeciesporer under
Rostsvamp

Puccinia graminis, uredier och urediesporer
Rostsvamp

Puccinia graminis, telier med teliosporer
Rostsvamp

Ustilago sp
Stinksot

Coprinus
Bläcksvamp, Tvärsnitt genom hatt och fot: lameller/skivor, basidier, basidiesporer
