CCP - CXR PCE quiz

0.0(0)
studied byStudied by 0 people
0.0(0)
full-widthCall with Kai
learnLearn
examPractice Test
spaced repetitionSpaced Repetition
heart puzzleMatch
flashcardsFlashcards
GameKnowt Play
Card Sorting

1/9

encourage image

There's no tags or description

Looks like no tags are added yet.

Study Analytics
Name
Mastery
Learn
Test
Matching
Spaced
Call with Kai

No study sessions yet.

10 Terms

1
New cards

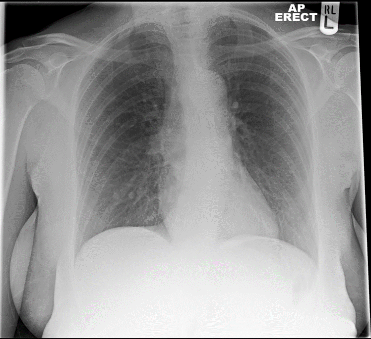
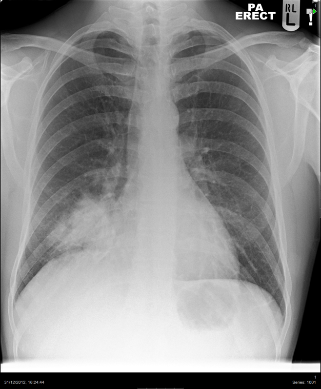
Dull ache on the right side. ?cause

  • Right-sided (1)

  • Pneumothorax in the apex of the right lung (1)

  • The left side is normal (1)

2
New cards

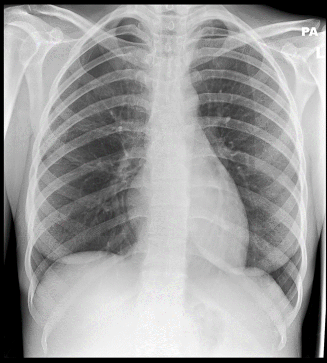
Cough for 3 weeks

Normal (3)

3
New cards

High fever, productive cough. ?ITRL

  • Ill-defined consolidation (1)

  • In the middle lobe of the right lung (1)

  • No other abnormalities (1)

4
New cards

Tachy, CP. ?pulmonary oedema 

  • Normal variant (1) 

  • Congenital dextrocardia / situs invertus (2)

5
New cards

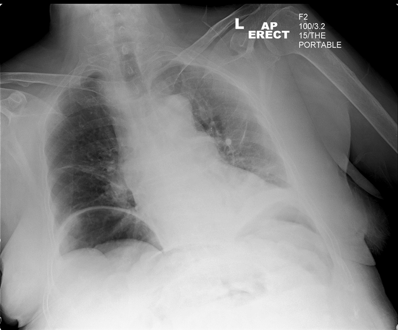
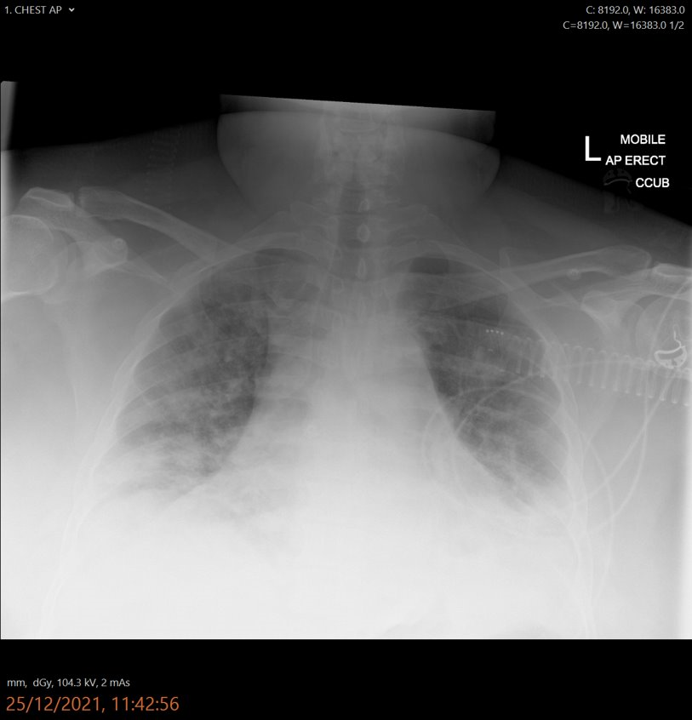
Patient unwell on ward, please do portable

  • Perforation (1)

  • With air seen under right diaphragm (1)

  • Both for 3 marks combined

6
New cards

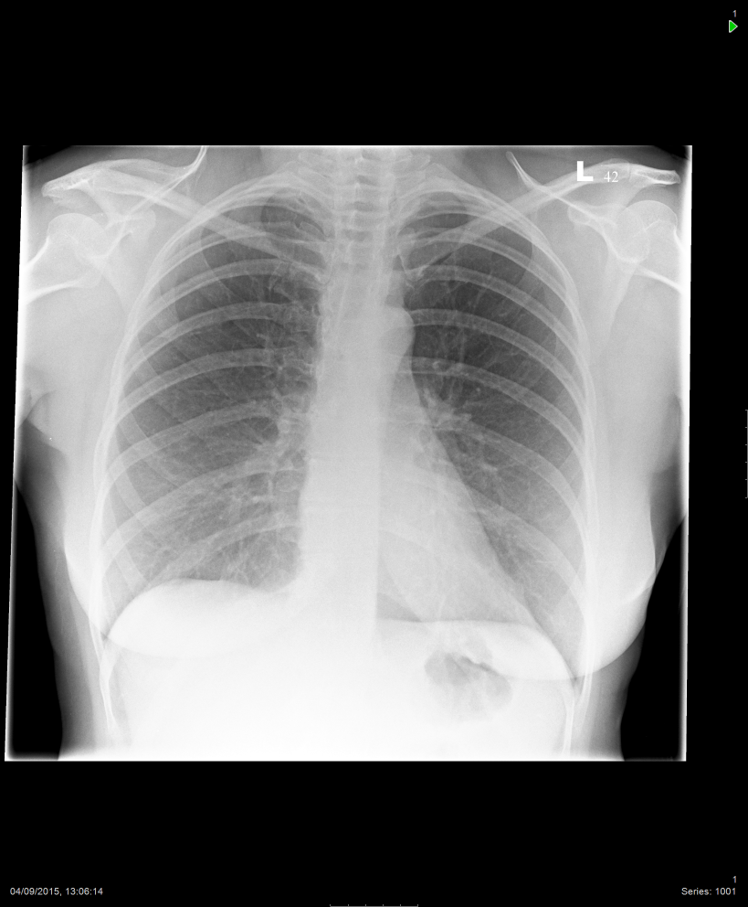
Known bradycardia. Recent changes with SOBOE, ?cardiac cause

  • Normal (2)

  • Azygos lobe (1) in the right upper lobe of lung

7
New cards

Critical care patient. Known covid. ?status of chest

  • Bilateral consolidation (1)

  • Pleural effusions / cardio-megaly (1)

  • Relating to covid (1)

8
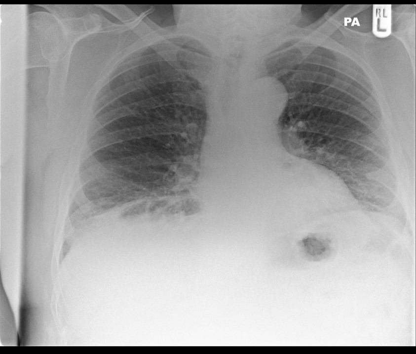
New cards

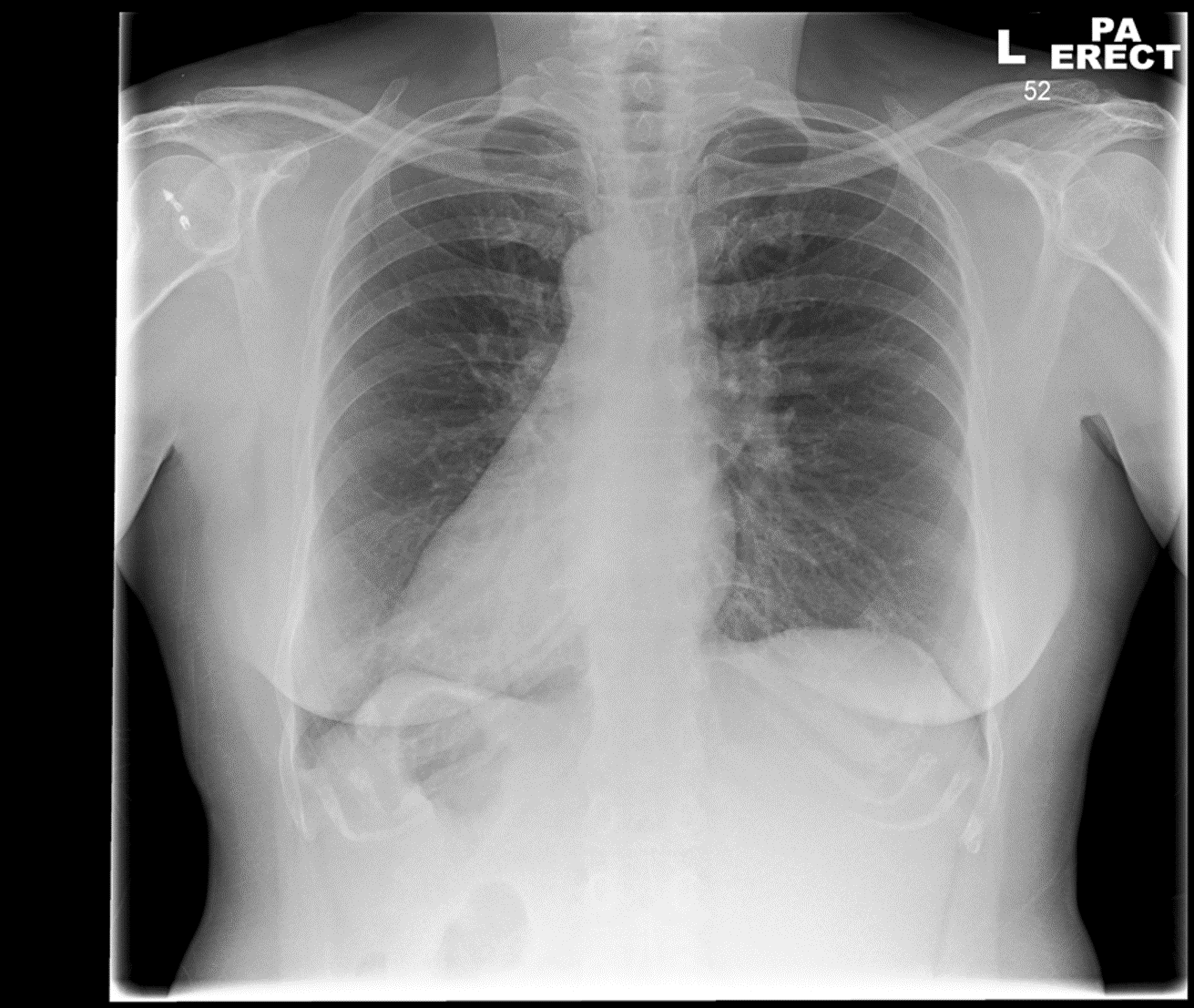
RTC. Passenger. ?pneumothorax

Normal (3)

9
New cards

Abdominal pain. ?perf

  • Normal (3)

  • Red herring: air under diaphragm is due to poor inspiratory effort with small bowel visible under diaphragm

10
New cards

ITU pt. Post intubation. ?placement

  • ETT is in the right main bronchus (1)

  • Complete white-out of left lung (1)

  • Right side is normal (1)