Medical Imaging (Lecture 1)

0.0(0)
studied byStudied by 0 people
0.0(0)
full-widthCall with Kai
GameKnowt Play
New
learnLearn
examPractice Test
spaced repetitionSpaced Repetition
heart puzzleMatch
flashcardsFlashcards
Card Sorting

1/78

encourage image

There's no tags or description

Looks like no tags are added yet.

Study Analytics
Name
Mastery
Learn
Test
Matching
Spaced

No study sessions yet.

79 Terms

1
New cards

Who founded the X-ray?

Wilhelm Rontgen

2
New cards

Radiographic film before an image is taken is ___________, which is why it appears white on a view box.

Transparent

3
New cards

The more X-rays that reach an area of film, the _________ the area will be.

Darker

4
New cards

If an object is very _________, less X-rays will reach the film, and the object will appear white on the radiograph.

Dense

5
New cards

If an object has very little density, it will appear ____________ on a radiograph.

Black

6
New cards

X-ray

Form of electromagnetic radiation

-Energy of very short wavelength

<p>Form of electromagnetic radiation</p><p>-Energy of very short wavelength</p>
7
New cards

The ___________ the wavelength, the greater its energy & greater ability to penetrate various material.

Shorter

8
New cards

How are X-rays measured?

Electron volts

9
New cards

Briefly describe how X-rays are produced.

X-rays produced when an electron beam hits a metal target

-Beam & target are enclosed in an X-ray tube

-X-ray tube has a special window to allow X-rays to escape through small opening that regulates the size of the beam

-Beam is directed at X-ray film placed behind patient

<p>X-rays produced when an electron beam hits a metal target</p><p>-Beam &amp; target are enclosed in an X-ray tube</p><p>-X-ray tube has a special window to allow X-rays to escape through small opening that regulates the size of the beam</p><p>-Beam is directed at X-ray film placed behind patient</p>
10
New cards

What 2 factors does absorption of X-radiation depend on?

1. Density

2. Atomic weight

11
New cards

The lower an object's atomic weight or density, the more __________ it is on an X-ray.

Transparent

12
New cards

Attenuation

Degree to which x-rays are absorbed/deflected

13
New cards

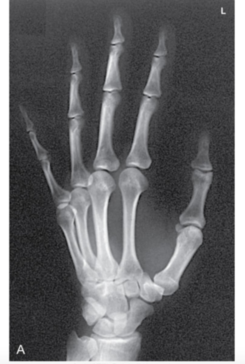
In an x-ray of a hand, the bones _________ more radiation than the surrounding tissue, therefore, they cast heavier "shadows' on the scan.

Attenuate

<p>Attenuate</p>
14
New cards

What color are "shadows" on x-ray film?

White

15
New cards

Where x-rays have reached the film, the film is exposed & turns ___________.

Black

16
New cards

What are the 4 types of radiographic densities?

1. Gas (air)

2. Fat

3. Water

4. Bone

17
New cards

What are some factors that can affect image quality?

1. Thickness of body part

2. Motion

3. Magnification

4. Distortion

18
New cards

How can you overcome a motion artifact when taking an x-ray?

Shorten exposure time

-Use an intensifying screen (found in all film holders)

19
New cards

As an object moves toward the source of the x-ray beam, its shadow becomes ____________.

Larger

20
New cards

When does distortion occur?

When object is not perpendicular to the x-ray beam

21
New cards

Plain films

The most common diagnostic x-ray format

-Chest x-ray, plain films of abdomen, skeletal films

-Variations: fluoroscopy, tomography

22
New cards

Fluoroscopy

Uses an x-ray tube & fluorescent screen

-Used for watching real-time motion

-Used for viewing motion of the heart, diaphragm, esophagus, or abdomen

-Also used for guided placement of GI tubes

-Real time images on x-ray

23
New cards

Contrast exams

Often used with plain films to highlight adjacent structures of similar densities

-Contrast - radiopaque materials in various liquid prep

-Plain films - evaluates GI tract, urinary system, or blood vessels

-Also used with CT/MRI

24
New cards

What are some important considerations before administering contrast to a patient?

Allergy to contrast

-Kidney function

25
New cards

Barium

Many forms available - used most in GI studies

26
New cards

Water-soluble agents

Used in urography

27
New cards

Biliary contrast agents

Absorbed in the gut & excreted in bile for biliary studies

28
New cards

MRI enhancement agents

Gadolinium

29
New cards

Oil-soluble agents

For inhalation in bronchograms

30
New cards

GI tract contrast studies

Usually barium sulfate is used (swallowing/instilled through tube)

-Barium swallow: hypopharynx & esophagus

-Upper GI: esophagus, stomach, proximal small bowel

-Small bowel follow through: small bowel

31
New cards

Tomography

X-ray tube & film move synchronously around a focal point

-Objects in focal point remain in focus, other aspects are blurred

-Images are slices of the area scanned

-Useful in evaluating lungs, kidneys, & bony structures

<p>X-ray tube &amp; film move synchronously around a focal point</p><p>-Objects in focal point remain in focus, other aspects are blurred</p><p>-Images are slices of the area scanned</p><p>-Useful in evaluating lungs, kidneys, &amp; bony structures</p>
32
New cards

What are the 2 types of tomography?

1. Computed tomography (CT)

2. Positron emission tomography (PET)

33
New cards

CT indications

Evaluates internal organs, infections, injuries, masses, & suspected tumors

34
New cards

CT disadvantages

More expensive than plain films, often needs IV contrast, & increased exposure to radiation

35
New cards

CT scan

X-ray beam & detector system move in 360 degree arc around the organ

-Fine x-ray beam directed through patient

-Detector system measures amount of radiation passing through patient

-Data analyzed & various shades of gray assigned to radiation levels

<p>X-ray beam &amp; detector system move in 360 degree arc around the organ</p><p>-Fine x-ray beam directed through patient</p><p>-Detector system measures amount of radiation passing through patient</p><p>-Data analyzed &amp; various shades of gray assigned to radiation levels</p>
36
New cards

How is a CT scan read?

As if looking at a patient from feet lying on their back

37
New cards

What are some conditions that require a CT scan with contrast?

Recurrent/persistent pneumonia, abdominal masses, sinus anatomy, pulmonary nodules, lung masses, empyema, PE, soft tissue

38
New cards

What are some conditions that require a CT scan without contrast?

Acute cerebral bleed, cranial/facial fractures, renal stones

39
New cards

Spiral (helical) CT

3D reconstruction of images

<p>3D reconstruction of images </p>
40
New cards

What are some indications for nuclear imaging radionuclide scans?

Evaluate physiology of organs like bone, heart, lungs, thyroid, & kidneys

41
New cards

What's the radioisotope used in nuclear imaging, and what is its half-life?

Technetium-99 (half-life = 6 hours)

**Possible exam question**

42
New cards

True/false: After a nuclear imaging scan, a patient is theoretically not radioactive after 24 hours.

True

43
New cards

Nuclear imaging

Depends on selective uptake of certain compounds by different organs of the body

-Organs are 'labeled' with a radioactive substance of sufficient energy level to allow detection outside the body

-Look for areas with radiation accumulation

<p>Depends on selective uptake of certain compounds by different organs of the body</p><p>-Organs are 'labeled' with a radioactive substance of sufficient energy level to allow detection outside the body</p><p>-Look for areas with radiation accumulation</p>
44
New cards

When should you be cautious of ordering nuclear medicine studies?

On pregnant/lactating women

45
New cards

Bone scan

Looks at the skeletal system

-Radioactive phosphate coupled to technetium-99 (taken up by osteoblast & incorporated into bone --> scanned 3 hours later)

<p>Looks at the skeletal system</p><p>-Radioactive phosphate coupled to technetium-99 (taken up by osteoblast &amp; incorporated into bone --&gt; scanned 3 hours later)</p>
46
New cards

When should you order a bone scan?

Bone metastasis, osteomyelitis, trauma/fractures, metabolic bone diseases, avascular necrosis, arthritic disease

47
New cards

PET scan

Measures important body functions, like blood flow, O2 use, & glucose metabolism

-Used to evaluate tumors & cancers, myocardial function, & brain function

<p>Measures important body functions, like blood flow, O2 use, &amp; glucose metabolism</p><p>-Used to evaluate tumors &amp; cancers, myocardial function, &amp; brain function</p>
48
New cards

True/false: A PET scan can be used alone or in conjunction with a CT scan.

True

49
New cards

When should you order a tagged RBC study?

For an occult bleed

50
New cards

Tagged RBC study

Tag RBCs with Tc99m-pertechnetate

-Once inside the cell, the isotope is reduced & cannot diffuse back out

<p>Tag RBCs with Tc99m-pertechnetate</p><p>-Once inside the cell, the isotope is reduced &amp; cannot diffuse back out</p>
51
New cards

Thyroid scan

Used for any suspicion of thyroid disease (hypo/hyper)

-I131 injected --> active thyroid tissue takes up iodine & scan determines activity

<p>Used for any suspicion of thyroid disease (hypo/hyper)</p><p>-I131 injected --&gt; active thyroid tissue takes up iodine &amp; scan determines activity</p>
52
New cards

What's an important consideration before ordering a thyroid scan on a patient?

They must not have done a CT scan with (iodine) contrast within the past 8 weeks!

53
New cards

Cold thyroid nodules

Areas of decreased function --> more likely to be cancerous!

-No iodine uptake in a thyroid scan

<p>Areas of decreased function --&gt; more likely to be cancerous!</p><p>-No iodine uptake in a thyroid scan</p>
54
New cards

Hot thyroid nodules

Increased uptake --> sign of Graves/toxic multinodular goiter

<p>Increased uptake --&gt; sign of Graves/toxic multinodular goiter</p>
55
New cards

When would you order a renal scan?

ARF, agenesis, congenital anomalies, decreased kidney function, ectopic kidney, HTN, obstruction, ureteral reflux

56
New cards

Renal scan

Kidney absorbs 99m-Tc & is cleared by filtration

<p>Kidney absorbs 99m-Tc &amp; is cleared by filtration</p>
57
New cards

Thallium stress test

Used to assess regional blood flow of coronary arteries (blood supply to heart muscle)

-Inject thallium (K+ analog); exercise vs. rest

-Stop BB & CCB for 72 hours

-No caffeine/nitrates for 24 hours

-Used to assess atypical CP, known CAD, extent of infarction

<p>Used to assess regional blood flow of coronary arteries (blood supply to heart muscle)</p><p>-Inject thallium (K+ analog); exercise vs. rest</p><p>-Stop BB &amp; CCB for 72 hours</p><p>-No caffeine/nitrates for 24 hours</p><p>-Used to assess atypical CP, known CAD, extent of infarction</p>
58
New cards

Ventilation/perfusion scan

Used to evaluate PE, R to L shunt, lung function before surgery

-Uses argon gas --> ventilation

-Tags RBCs --> perfusion

<p>Used to evaluate PE, R to L shunt, lung function before surgery</p><p>-Uses argon gas --&gt; ventilation</p><p>-Tags RBCs --&gt; perfusion</p>
59
New cards

Gastric emptying study

Suspected delayed gastric emptying

-Radioactive labeled food (eggs)

-Delayed if > 50% of food remains in stomach after 2 hours

<p>Suspected delayed gastric emptying</p><p>-Radioactive labeled food (eggs)</p><p>-Delayed if &gt; 50% of food remains in stomach after 2 hours</p>
60
New cards

Hepatobiliary scan

Used to view gallbladder & bile ducts

-Fast for 4 hours

-Inject HIDA (hepatobiliary iminodiacetic acid)

<p>Used to view gallbladder &amp; bile ducts</p><p>-Fast for 4 hours</p><p>-Inject HIDA (hepatobiliary iminodiacetic acid)</p>
61
New cards

Multiple gated acquisition scan (MUGA)

Radioactive substance "tags" or "labels" the RBCs & a gamma ray camera takes pics of the heart as the tagged RBCs circulate

-Looks at flow in the heart (how effective is the pump)

<p>Radioactive substance "tags" or "labels" the RBCs &amp; a gamma ray camera takes pics of the heart as the tagged RBCs circulate</p><p>-Looks at flow in the heart (how effective is the pump)</p>
62
New cards

What are MRI's used for?

Looks at soft tissues, organs, & CNS

63
New cards

What type of contrast is used in MRI's?

Gadolinium

64
New cards

List some advantages of MRI's.

No ionizing radiation, non-invasive, & produces detailed images

65
New cards

List some disadvantages of MRI's.

Artifact (patient motion), no ferrous objects near the magnet, expensive, much slower than a CT

66
New cards

MRI mechanism

Apply a magnetic field to the body (aligns atoms)

-When atoms are released, radio waves are generated

-Frequency depends on type of tissue

67
New cards

MRI T1 images

Fat is white

Water is dark

<p>Fat is white </p><p>Water is dark</p>
68
New cards

MRI T2 images

Fat is dark

Water is white

<p>Fat is dark</p><p>Water is white</p>
69
New cards

MRI flair images

Similar to T2, but CSF is dark

<p>Similar to T2, but CSF is dark</p>
70
New cards

True/false: Bone is well visualized on MRI's.

False

71
New cards

Nephrogenic systemic fibrosis

Risk of receiving MRI contrast

-Pt develops large areas of indurated skin with fibrotic nodules & plaques (similar to scleroderma)

-Gadolinium found in tissue samples (can be deposited in almost any tissue in the body)

<p>Risk of receiving MRI contrast</p><p>-Pt develops large areas of indurated skin with fibrotic nodules &amp; plaques (similar to scleroderma)</p><p>-Gadolinium found in tissue samples (can be deposited in almost any tissue in the body)</p>
72
New cards

NSF pathophysiology

Related to exposure of patients with renal insufficiency to gadolinium in imaging studies

-Mechanism unknown

-Pt could become wheelchair-bound because of contractures

73
New cards

What are diagnostic ultrasounds used for?

View organs & evaluate motion (cardiology, OBGYN, GI, & vascular medicine)

74
New cards

Diagnostic ultrasound

Echoes of the US beam bounce off interfaces between tissues with different acoustic properties

-Sends high-frequency sound into patient & assesses strength & time of returning echoes

-Echoes caused by changes in density

<p>Echoes of the US beam bounce off interfaces between tissues with different acoustic properties</p><p>-Sends high-frequency sound into patient &amp; assesses strength &amp; time of returning echoes</p><p>-Echoes caused by changes in density</p>
75
New cards

What are ultrasounds used for?

Obstetrics, cardiology, vascular, abdominal

76
New cards

US advantages

Inexpensive, non-invasive, no radiation

77
New cards

US limitations

Quality is technician-dependent

-Pt body habitus

78
New cards

Ultrasounds can also be used for procedure guidance. Give 2 examples of US-guided procedures.

1. Thoracentesis

2. Biopsy (needle placement)

79
New cards

What's an echocardiogram used to evaluate?

Valves, pericardial fluid, pressures, wall motion, ejection fraction, & masses

<p>Valves, pericardial fluid, pressures, wall motion, ejection fraction, &amp; masses</p>

Explore top flashcards

Unit 1 Test
Updated 722d ago
flashcards Flashcards (110)
Unit 13 AP Psych
Updated 198d ago
flashcards Flashcards (44)
AP Spanish 1.3 Vocab
Updated 364d ago
flashcards Flashcards (61)
Psych final
Updated 535d ago
flashcards Flashcards (58)
Unit 1 Test
Updated 722d ago
flashcards Flashcards (110)
Unit 13 AP Psych
Updated 198d ago
flashcards Flashcards (44)
AP Spanish 1.3 Vocab
Updated 364d ago
flashcards Flashcards (61)
Psych final
Updated 535d ago
flashcards Flashcards (58)