1/18
Looks like no tags are added yet.
Name | Mastery | Learn | Test | Matching | Spaced | Call with Kai |
|---|
No analytics yet
Send a link to your students to track their progress

Identify the structure labeled with the letter C.
Right lymphatic duct

Identify the structure labeled with the letter A.
right jugular trunk

Identify the structure labeled with the letter E.
left jugular trunk

Identify the structure labeled with the letter A.
Lymphatic collecting vessels

Identify the organ in this image.
thymus

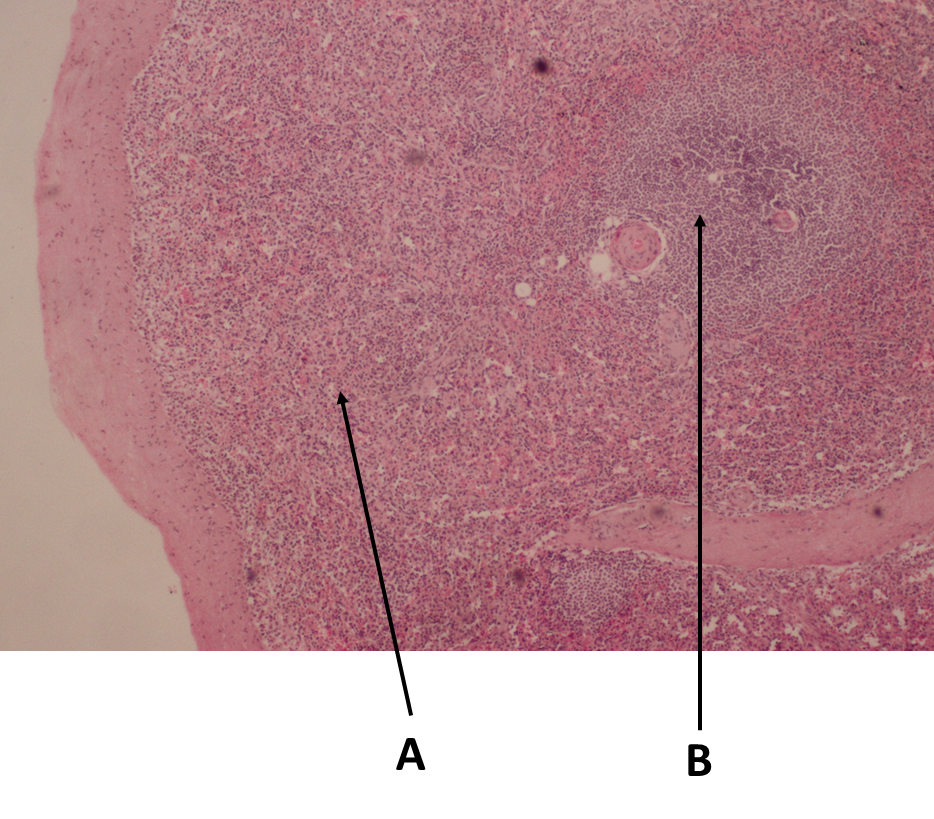
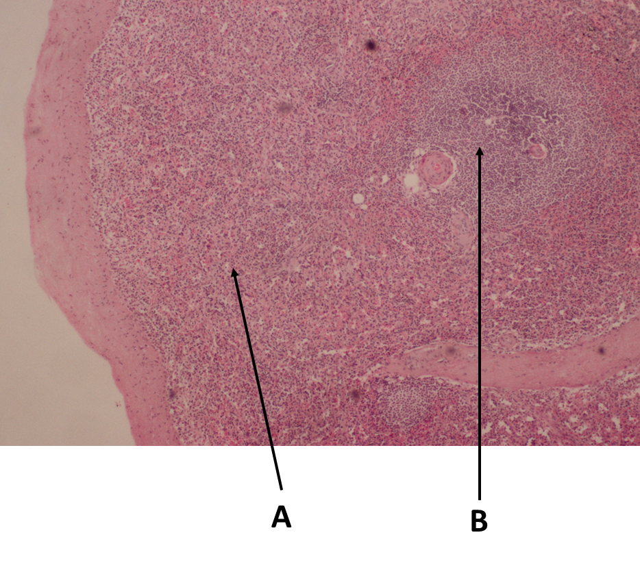
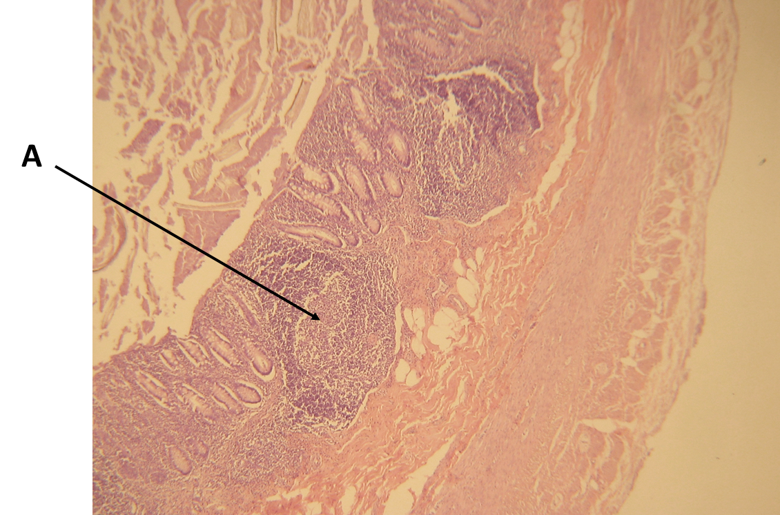
Identify the structure labeled with the letter A
Germinal center

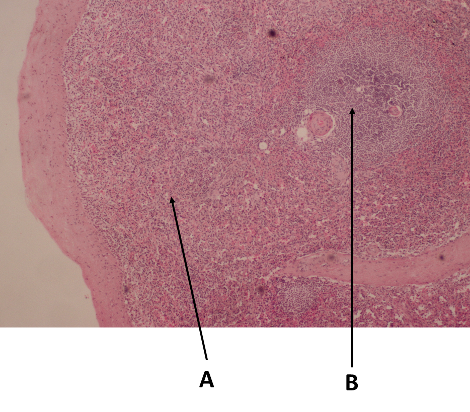
Identify the structure labeled with the letter B.
Follicle

Identify the area labeled with the letter A.
red pulp

Identify the structure labeled with the letter A.
Hassell's corpuscle

Identify the structure labeled with the letter F.
Thoracic duct

Identify the structure labeled with the letter I.
Intestinal trunk

Identify the structure labeled with the letter D.
right lumbar trunk

Identify the structure labeled with the letter B.
right subclavian trunk

Identify the structure labeled with the letter E.
right Cervical lymph nodes

Identify the organ in this image.
spleen

Identify the area labeled with the letter A.
cortex

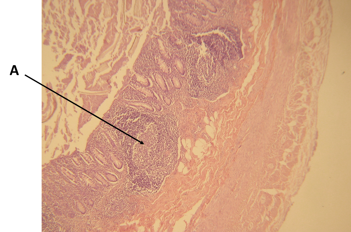
Identify the structure labeled with the letter A.
Peyer's patch

Identify the organ in this image.
Appendix

Identify the area labeled with the letter B.
white pulp