1/32
Looks like no tags are added yet.
Name | Mastery | Learn | Test | Matching | Spaced | Call with Kai |
|---|
No analytics yet
Send a link to your students to track their progress
Exposure and Technique errors
Incorrect film placement
Incorrect angulation
Incorrect positioning of PID
Incorrect exposure factors
Miscellaneous
Incorrect film placement can cause ?
Apical cut-off
Crown cut-off
Film too mesial
Film too distal
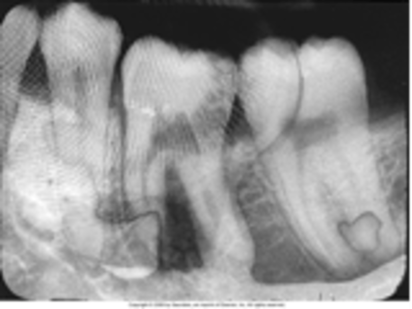
Overlapping
Slanted occlusal plane
Apical cut-off

Crown cut-off

Overlapping

Slanted Occlusal plane

Incorrect angulation errors?
elongation
foreshortening
overlapping
Incorrect PID postioning error can cause this
Cone cutting
Incorrect exposure factors cause these errors
Unexposed film
Underexposed film
Overexposed film
Miscellaneous errors
Film bending
Film creasing
Blurred image
Reverse film-herringbone
Film bend

Film crease

Processing errors are caused by
Incorrect technique
Contamination with chemicals
Improper film handling
Processing errors
Overdeveloped image
Underdevloped image
Developer spots
Fixer spots
yellow/brown color
developer cut off
fixer cut off
overlapped films
air bubbles
finger nail
fingerprints
static elecricity
scratches
light leak
fogged film
black streaks
saliva leak
reticulation
Reticulation
When film is subjected to a sudden temperature change between the developer and the water. Appears as cracked film

Developer contamination

Fixer contamination

Fixer cut off
A straght black border, film not completely immersed in fixer.

Developer cut off
A straight white border due to underdeveloped portion. Film not completely immersed in developer.

What do yellow-brown stains on the film result from?
use of exhausted developer
insufficient fixer time
insufficient rinsing
what type of error is overlapped films? & how do they appear?
film handling error
appear as white or dark areas where the overlap occured
film air bubbles
occur when air is trapped on the film surface after the film is placed in the processing solution

fingerprint artifact

scratched film
occurs when the soft emulsion is removed from the film base by a sharp object such as a film clip

fogged film
occurs from improper safelight & light leaks
improper film storage
outdated films
contaminated processing solutions

how does static electricity occur?
opening a film packet quickly
low humidity
opening a film packet before touching another object, such as the film processer on counter top in a carpeted office
how does static electricity appear on film?
black branching lines
fingernail artifact error
when film emulsion is damaged by the operators fingernail
appears as a black crescent shape mark

overdeveloped film

underdeveloped film

Underexposed film

Overexposed film

reverse film
