1/16
Looks like no tags are added yet.
Name | Mastery | Learn | Test | Matching | Spaced | Call with Kai |
|---|
No analytics yet
Send a link to your students to track their progress

what is this
hypothalamus

what is this
pineal gland

what is the highlighted part
posterior pituitary

what is the highlighted part
anterior pituitary

what is the highlighted part
pituitary gland

what is this?
thyroid colloid

what is this?
parathyroid oxyphil cells

what is this?
parathyroid chief cells

what is this?
parathyroid

what is this?
thyroid

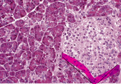
what is this?
pancreas islet of langerhans

blue
adrenal gland cortex

orange
adrenal gland medulla

what is this
gonadal ovaries

what is this
gonadal testes

what is the green
thyroid follicular epithelium