GRISTO Module 3 Anatomy: Postnatal Craniofacial Growth and Development

0.0(0)
Studied by 0 people
call kaiCall Kai
learnLearn
examPractice Test
spaced repetitionSpaced Repetition
heart puzzleMatch
flashcardsFlashcards
GameKnowt Play
Card Sorting

1/45

encourage image

There's no tags or description

Looks like no tags are added yet.

Last updated 5:22 AM on 3/25/26
Name
Mastery
Learn
Test
Matching
Spaced
Call with Kai

No analytics yet

Send a link to your students to track their progress

46 Terms

1
New cards

a. Evaluation of treatment (cephalometrics)

b. When to begin treatment

c. Sex differences

Patterns of growth cessation

2
New cards

a. Etiology of malocclusion/skeletal discrepancies

b. How to use growth to treat patients

Development of variations

3
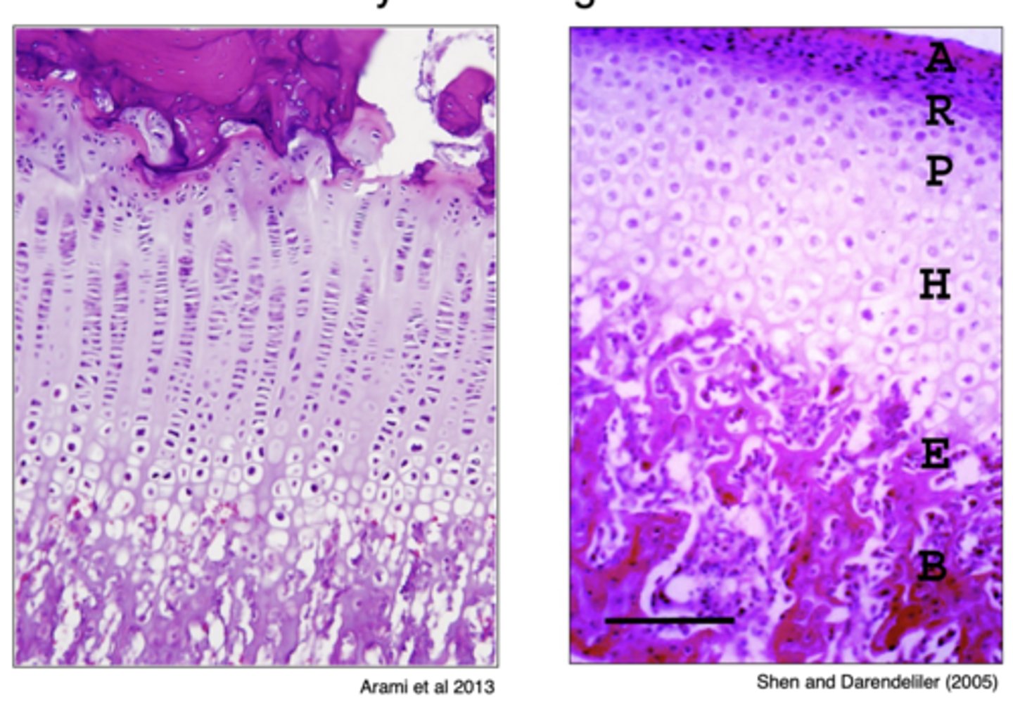
New cards

the cranial base and facial skeleton follow different patterns of growth cessation

A key principle in application is that

4
New cards

~6-8 years, in the mid to late teens-early 20s

The midline cranial base ceases growth ~ ___________ years of age while the facial skeleton ceases growth in the

5
New cards
knowt flashcard image
6
New cards

Serial cephs are superimposed on the developmentally stable cranial base

<p>Serial cephs are superimposed on the developmentally stable cranial base</p>
7
New cards

Endochonrral and intramembranous skeletal elements contribute to the cranial base

<p>Endochonrral and intramembranous skeletal elements contribute to the cranial base</p>
8
New cards

cartilaginous

The midline cranial base is ______ in origin

9
New cards
knowt flashcard image
10
New cards

Exhibits intrinsic growth potential

Drives the growth of other craniofacial regions

Examples: Cranial base cartialges

Growth centers

11
New cards

No intrinsic growth potential

Grows in response to growth centers (accommodative)

Examples

- craniofacial sutures

- Periosteal surfaces

Growth sites

12
New cards

different times

Fusion of cranial base sunchondroses occurs at

13
New cards

~12 years

Spheno-occipital synchondrosis (SOS) fuses

14
New cards

before birth

Mid-sphenoid synchondrosis (MSS) fuses

15
New cards

~6-8 years

Spheno-ethmoidal synchondrosis (SES) fuses

16
New cards

A. SES

B. MSS

C. SOS

knowt flashcard image
17
New cards

variable part of the face

Within and among populations, anterior vertical facial dimensions are the most

18
New cards

primarily in the vertical dimension

Compared to other mammals, humans have faces that grow

19
New cards

disproportionally

Vertical dimensions increase ______________ relative to length and width dimensions

20
New cards
knowt flashcard image
21
New cards

Face just keeps growing bro

knowt flashcard image
22
New cards

cessation of neurocranial growth

The facial skeleton continues to grow long after the

<p>The facial skeleton continues to grow long after the</p>
23
New cards

patterns of integration among different cranial regions

To understand how variations develop we must know

24
New cards

Neurocranium

A. Cranial base

B. Cranial vault

Viscerocranium

A. Orbital region

B. Nasal region

C. Masticatory region

knowt flashcard image
25
New cards

A. Cranial vault

B. Cranial base

knowt flashcard image
26
New cards

A. Orbital region

B. Nasal region

C. Masticatory region

knowt flashcard image
27
New cards

1. the facial skeleton and cranial base are tightly integrated structures

2. Changes in the cranial base result in changes in the facial skeleton

The unique pattern of facial growth in humans is tied to anatomical differences in the cranial base

28
New cards

facial skeleton

The influence of the cranial base is also reflected in patterns of growth cessation in the

29
New cards
knowt flashcard image
30
New cards

superior-inferior

The cranial base establishes a ____________________ gradient of growth cessation

31
New cards
knowt flashcard image
32
New cards

males and females

The timing of growth cessation varies between

33
New cards
knowt flashcard image
34
New cards

vertical growth of the face

Multiple developmental dynamics differentially contribute to

35
New cards

mandibular/alveolar growth

Differences between hyper and hypo-divergent individuals are due to

36
New cards

different patterns of mandibular condylar cartilage growth

Variation in the lower face is affected by

37
New cards

different patterns of mandibular rotation

Variation in condylar cartilage growth results in

38
New cards

different condylar cartilage does this shit

knowt flashcard image
39
New cards

condylar cartilage (on the right)

- not in a columnar arrangement thus can grow in different directions

The potential for different patterns of mandibular rotation is evident in the

<p>The potential for different patterns of mandibular rotation is evident in the</p>
40
New cards

alveolar bone

Mandibular rotation produces compensatory changes in

<p>Mandibular rotation produces compensatory changes in</p>
41
New cards

patterns of mandibular rotation

Variation in respiratory function affects

42
New cards
knowt flashcard image
43
New cards

patterns of mandibular rotation

Variation in masticatory function affects

44
New cards
knowt flashcard image
45
New cards

the same craniofacial phenotypes

Different functional dynamics can produce

46
New cards
knowt flashcard image

Explore top notes

note
NOUNS
Updated 1100d ago
0.0(0)
note
AP Physics 1: Ultimate Guide
Updated 693d ago
0.0(0)
note
CELLULAR RESPIRATION
Updated 1728d ago
0.0(0)
note
Chemistry
Updated 279d ago
0.0(0)
note
Chapter 23- Alkenes
Updated 1278d ago
0.0(0)
note
Chapter 5: Foundations: History
Updated 1082d ago
0.0(0)
note
NOUNS
Updated 1100d ago
0.0(0)
note
AP Physics 1: Ultimate Guide
Updated 693d ago
0.0(0)
note
CELLULAR RESPIRATION
Updated 1728d ago
0.0(0)
note
Chemistry
Updated 279d ago
0.0(0)
note
Chapter 23- Alkenes
Updated 1278d ago
0.0(0)
note
Chapter 5: Foundations: History
Updated 1082d ago
0.0(0)

Explore top flashcards