1/9
Looks like no tags are added yet.
Name | Mastery | Learn | Test | Matching | Spaced | Call with Kai |
|---|
No analytics yet
Send a link to your students to track their progress
Nondisjunction
An error in meiosis or mitosis in which members of a pair of homologous chromosomes or a pair of sister chromatids fail to separate properly from each other; results in the production of zygotes with abnormal chromosome numbers

Monosomy
A chromosomal abnormality consisting of the absence of one chromosome from the normal diploid number

Trisomy
A chromosomal abnormality consisting of an extra copy of a chromosome from the normal diploid number, causes developmental abnormalities

Amniocentesis
A technique of prenatal diagnosis in which amniotic fluid, obtained by aspiration from a needle inserted into the uterus, is analyzed to detect certain genetic and congenital defects in the fetus

Karyotyping
A process in which metaphase chromosomes are stained, ordered, and numbered according to size, arm-length ratio, and banding pattern; used to detect genetic abnormalities; can be performed on a sample of blood, bone marrow, amniotic fluid, or placental tissue

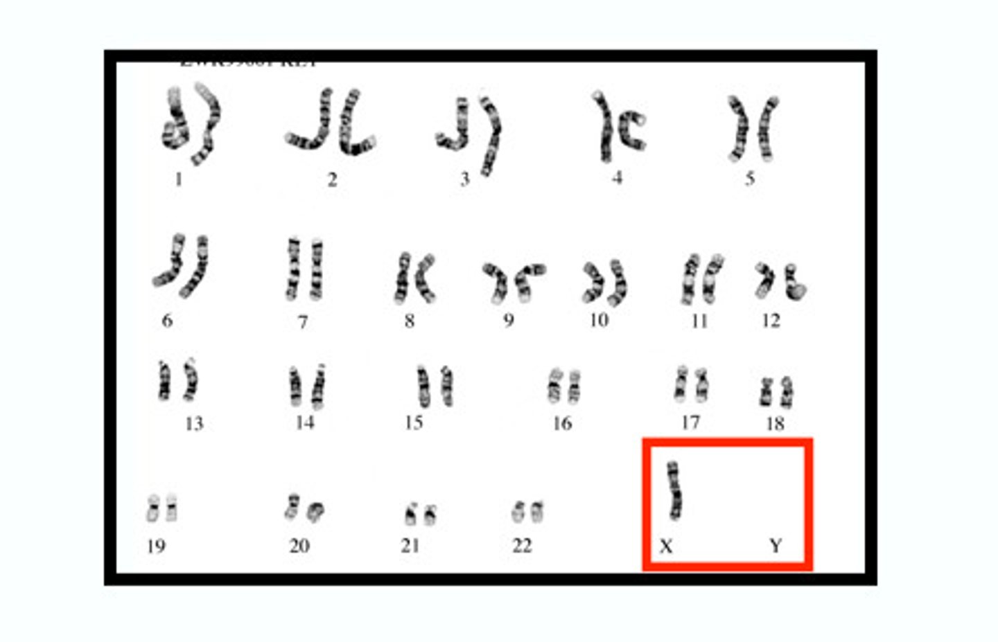
Human Karyotype
Diploid cells in humans have 23 sets of homologous chromosomes; each homologous set is made up of 2 homologues; sets 1-22 are autosomes and determine most of the traits; set 23 consists of the sex chromosomes

Down's Syndrome (Trisomy 21)
One of most common genetic disorder caused by chromosomal abnormality; babies born with three copies of chromosome 21; 90% cases the extra chromosome comes from the egg; affects 1 out of every 800 - 1000 babies born; occurs more frequently in women older than 35; symptoms include flat face, small broad nose, abnormal ears, large tongue, upward slanting eyes with small folds; increased risk of developing respiratory infections, gastro-intestinal obstructions, leukemia, heart defects, moderate to severe mental retardation; decreased life expectancy → only ½ live to 50

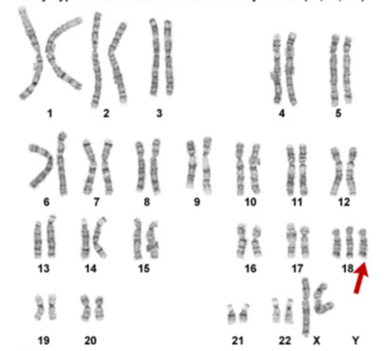
Edward's Syndrome (Trisomy 18)
A genetic disorder in which three copies of chromosome 18 are inherited; affects 1 out of every 5000 live-born infants; only 5- 10% of children with syndrome live past the first year; more common in pregnancy but most die before birth; 3x more common in girls than boys; Associated with abnormalities in many parts of the body; babies that survive have severe intellectual disabilities; experience slow growth before birth, low birth weight, heart defects; symptoms also include small abnormal shaped head, a small jaw and mouth, clenched fists with overlapping fingers

Turner's Syndrome (Monosomy 23 - X)
A genetic disorder in which females have a missing or incomplete X chromosome; the missing genes affected are involved in growth and development; affects 1 out of 2000-2500 female babies born; 75-80% cases the single X comes from the egg and and the sperm is missing the X chromosome; females affected are shorter than normal with an average height 4' 8"; arms are turned out slightly at elbow, receding lower jaw and short webbed neck; experience swelling of hands and feet, heart and kidney defects, high blood pressure, infertility

Klinefelter's Syndrome (Trisomy 23 - XXY)
One of most common genetic disorders; male babies are born with an extra X chromosome but typically no symptoms are apparent until puberty; referred to as trisomy 23 (XXY); affects 1 out of every 500 - 1000 males; the extra X chromosome primarily affects the testes, which produce sperm and the male hormone testosterone; lack of testosterone prevents males from exhibiting secondary sex characteristics like facial and body hair and most are sterile; individuals affected are often less muscular, may have learning disabilities; often treated with hormone replacement therapy
