1/37
Looks like no tags are added yet.
Name | Mastery | Learn | Test | Matching | Spaced | Call with Kai |
|---|
No analytics yet
Send a link to your students to track their progress
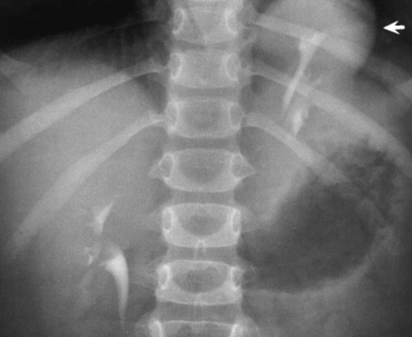
- Renal Agenesis
- Hypertrophic (bigger)
- 2
- What congenital anomaly is the absence of one kidney and ureter?
- How does the kidney that is present appear to compensate for the other not being there?
- How many renal arteries are present in the bottom radiograph?

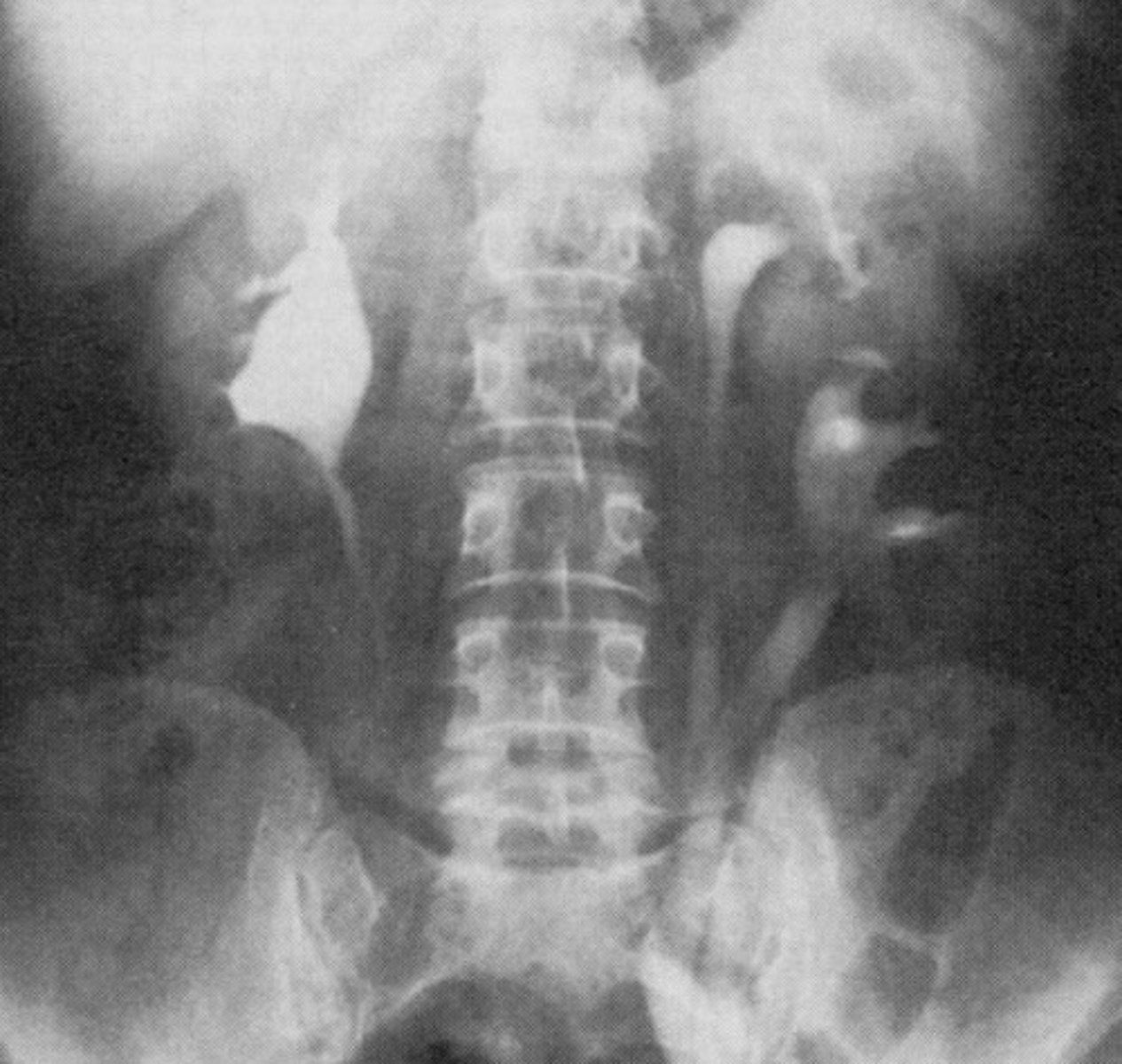
- Hypoplastic Kidney
- Hypertrophic (bigger)
- What congenital anomaly refers to an abnormally small kidney?
- How does the other kidney appear to compensate for the smaller kidney?

- Malrotation
- Distorted
- What congenital anomaly refers to the kidney being rotated?
- How does this pathology appear radiographically?

Ectopic
What refers to an abnormal place or position?
- Pelvic Kidney
- Pelvis
- What congenital anomaly refers to a type of ectopic kidney that is located in the pelvis and has a short ureter?
- When patients need a renal transplant, where are they placed?

Intrathoracic Kidney
What congenital anomaly refers to a type of ectopic kidney that is located above the diaphragm?

Crossed Ectopia
What congenital anomaly occurs when one kidney is located on the wrong side but facing the correct direction?

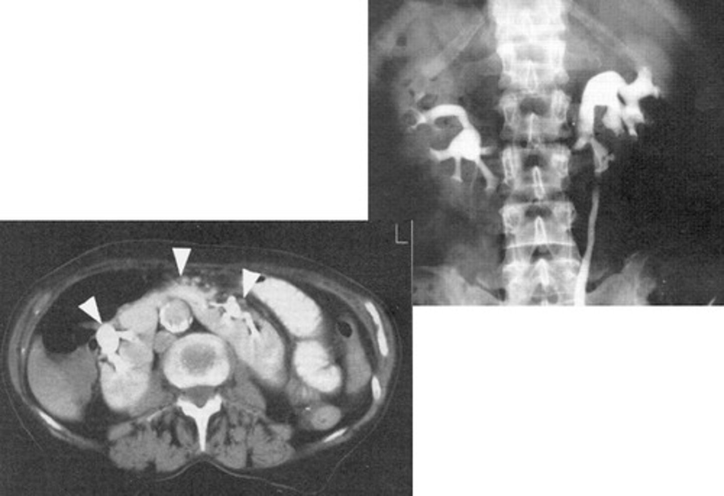
- Horseshoe Kidney
- Kidney stones
- What congenital anomaly occurs when the lower poles of the kidney fail to separate in the fetus and results in a horseshoe-shaped kidney?
- What can patients frequently develop because the ureters are displaced with this pathology?

Bifid Kidney
What congenital anomaly occurs when the kidney has two renal pelvises and two ureters?

Duplication of Kidney
What congenital anomaly occurs when the entire kidney is duplicated?

Nephroptosis
What is the dropping of the kidney 5 cm or greater when the patient stands erect?
- Uteroceles
- "Cobra Head"
- With surgery
- What congenital anomaly refers to the cyst-like dilation of the distal ureter where it enters the trigone of the bladder?
- How does this pathology appear radiographically when the bladder is contrast-filled?
- How is this pathology treated?

- Posterior Urethral Valves
- renal / nephrosis / ureter
- Voiding Cystourethrogram (VCUG)
- What congenital anomaly occurs when the valves in the male urethra does not allow the antegrade (normal) flow of urine?
- Results in _________ damge, hydro_____________, and hydro______________
- What radiographic exam demonstrates this pathology?

- Glomerulonephritis
- Parenchyma
- After bacterial infection
- Streptococci
- What pathology refers to the inflammation of the glomeruli that results in albumin and red blood cells in the urine and oliguria?
- What part of the kidney increases in size?
- When does this pathology usually occur?
- What bacteria commonly cause this pathology?

- Pyelonephritis
- Women and children
- Fever, chills, back-pain, dysuria, pyuria
- No
- What refers to kidney and renal pelvis inflammation caused by pyogenic bacteria?
- Who is this kidney infection more common in?
- What are some of the symptoms?
- Is this detected radiographically?
Chronic Pyelonephritis
What refers to kidney and renal pelvis inflammation caused by pyogenic bacteria that results in the clubbing of the calyces and thinning of the parenchyma?

- Emphysematous Pyelonephritis
- Necrosis
- Radiolucent shadows
- CT
- What are the forming bacteria that cause an infection in diabetic patients?
- What can happen to the entire kidney?
- What appears on the kidney radiographically?
- What is the preferred method of diagnosis for this pathology?

- Tuberculosis
- Flecks of calcifications
- Peristalsis
- What bacterial infection spreads throughout the bloodstream and causes ulcerative destruction of the renal tissues and enlarges the calyces?
- What is seen throughout the parenchyma of the kidney?
- What stops happening, due to strictures in the ureters?

- Cystitis
- Women
- Below bladder
- Irregular wall and diminished size of bladder
- What refers to the inflammation of the bladder caused by feces entering the bladder or a nosocomial infection after being catheterized?
- What sex does this commonly occur in?
- When moving a patient, where should their catheter be kept?
- What is seen radiographically, if this infection is causing chronic damage?

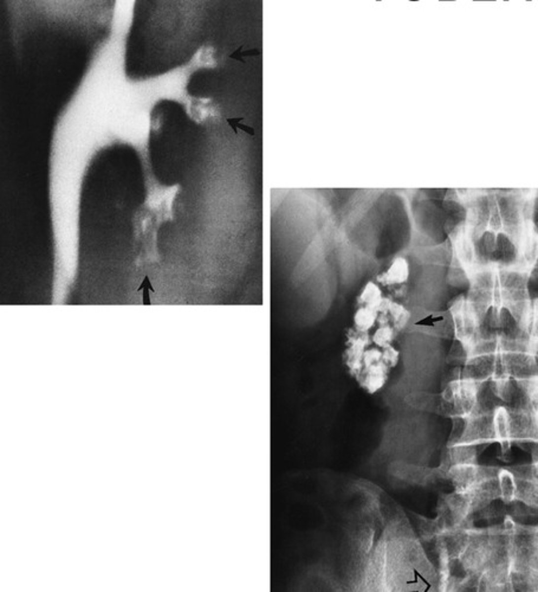
- Renal Calculi (Kidney Stones)
- Calcium
- Uric Acid
- Non-Contrast CT
- IVU
- UVJ and UPJ
- What hard deposits form in the kidneys from minerals and salts in the urine?
- What is 80% of these hard deposits made of that causes them to appear radiopaque on a radiograph?
- What are the other radiolucent hard deposits made of?
- What is the modality of choice for finding these hard deposits?
- What radiographic exam shows points where the ureters are obstructed and filling defects caused by the hard deposits?
- Where do these hard deposits usually obstruct?

Staghorn Calculus
What is a large stone that completely fills the renal pelvis?

- Nephorostomy
- Lithotripsy
- Cytoscopy
- Surgery
Renal Calculi Treatment
- ___________________ tube from outside directly into the kidney
- ____________________
- _________________ with basket stent retrival
- _______________
- Nephrocalcinosis
- Hypervitaminosis and Hyperthyroidism
- What refers to calcium deposits in the renal parenchyma that is caused by disorders that affect the calcium levels in the body?
- What are the disorders that cause this pathology?

Bladder Stones
What occurs in men with obstruction and urinary tract infections (UTI) that varies in size and number?

Bladder Diverticula
What is this pathology?

Reflux
What is this pathology?

- Urinary Tract Obstruction
- Hydroureter and hydronephrosis
- CT, U/S, delayed IVU
- What pathology is caused by a stone, tumor, stricture, enlarged prostate, congenital anomaly, or pregnancy?
- What can happen to the ureters and kidneys?
- What imaging modalities are used to see this pathology?

Hydronephrosis
What is the condition where one or both kidneys become stretched and swollen as the result of a build-up of urine inside them?

- Renal Cyst
- U/S and CT
- What are fluid filled sacs that forms on/in the kindey, displaces the calyces as it grows, may be single/multiple, and vary in size?
- What imaging modalities are used to diagnose this pathology?

- Polycystic Renal Disease
- 1/3
- 10%
- 30 years
- No
- "Swiss Cheese"
- What is the inherited disorder in which multiple cysts cause lobulated kidney enlargements and renal impairment?
- How many patients develop liver cysts?
- What percent of patients develop a berry (brain) aneurysm?
- How long can patients be asymptomatic for?
- Is this disorder curable?
- How does this disorder appear radiographically?

Infantile Polycystic Kidneys
What type of renal cyst is congenital?

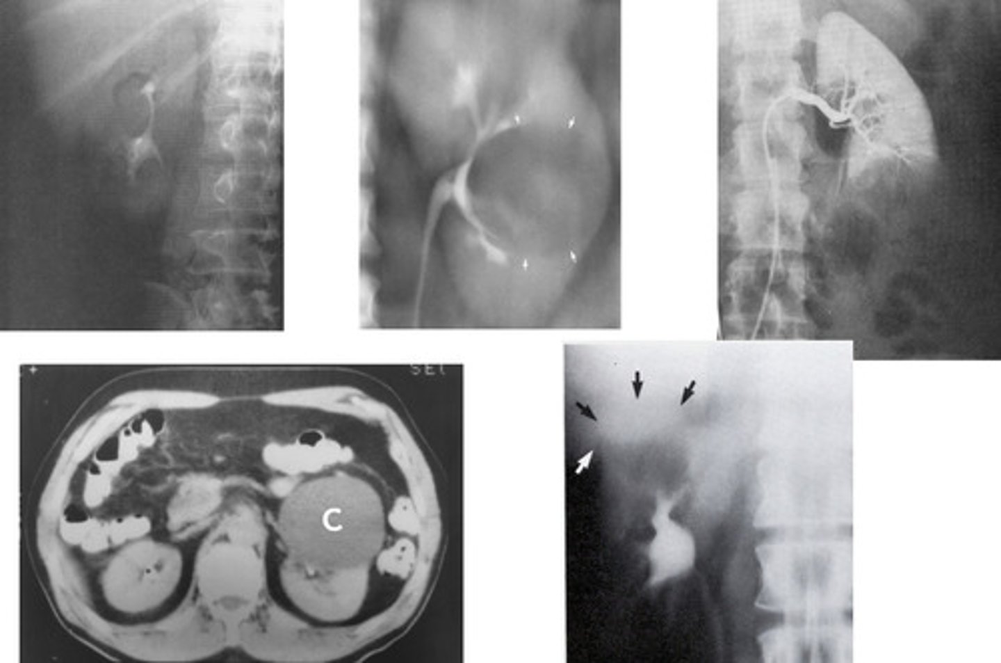
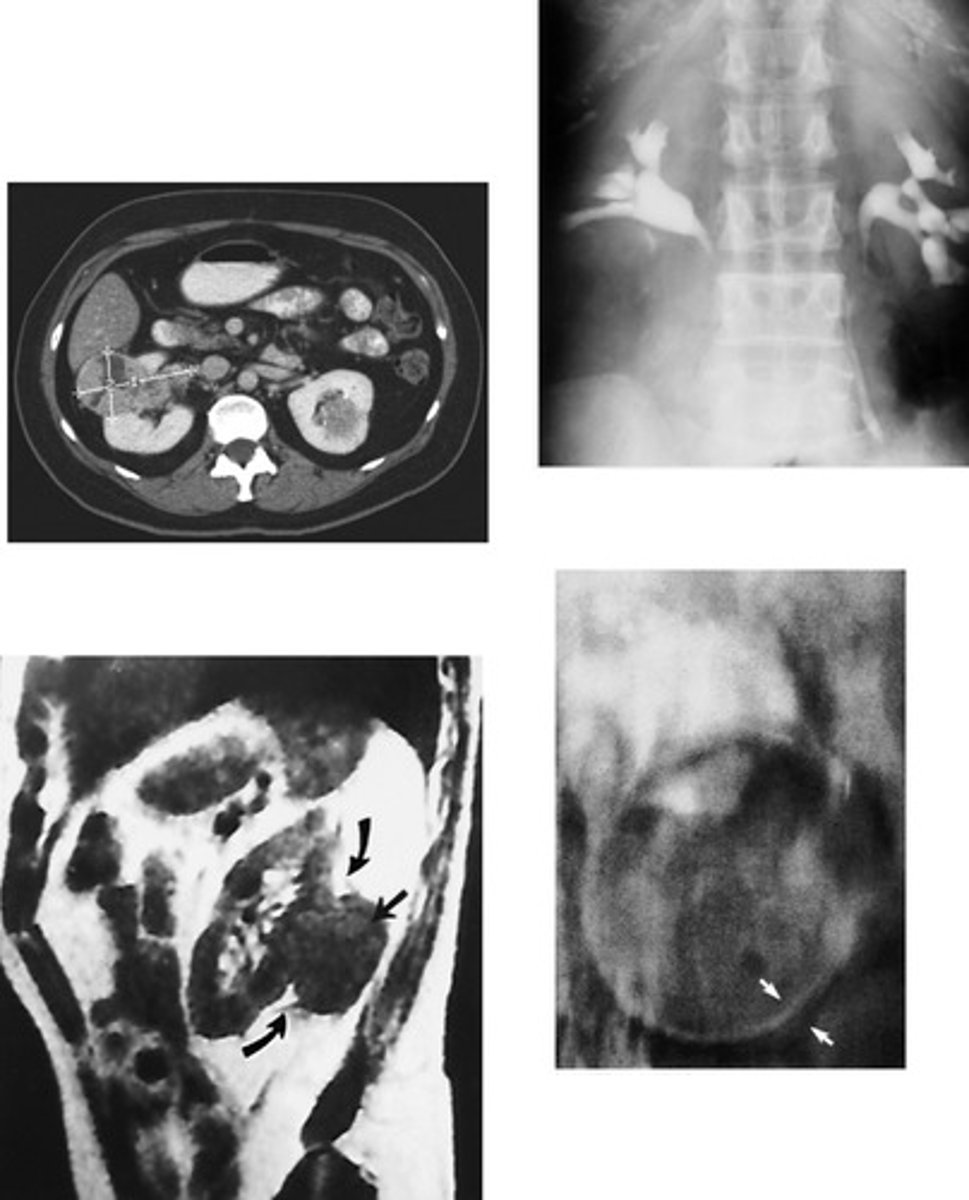
- Renal Cell Carcinoma
- Over 40 years
- Hematuria
- It's malignant (90% chance)
- Calyces and walls
- CT and MRI
- Nephrectomy and 40%
- What is the most common type of renal neoplasm in adults?
- What age range does this affect?
- What is the most common symptom associated with this pathology?
- If there is calcification within the mass, what does this indicate?
- What part of the kidney becomes distorted and irregular?
- What imaging modalities demonstrate metastasis?
- What is the most common treatment of this pathology and what is the survival rate after this treatment?

- Wilms Tumor / Nephroblastoma
- Infants and children
- What type of renal neoplasm arises from the embryonic renal tissue that distorts the calyces and creates a vine like blood supply?
- This is the most common abdominal neoplasm in who?

- Neuroblastoma
- second / children
- What type of abdominal neoplasm arises from the adrenal gland (endocrine system) and pushes down on the kidney?
- This is the _________ most common abdominal neoplasm in whom?

- Bladder Carcinoma
- Smoking
- Males over 50 years
- Cystoscopy
- CT and MRI
- What type of cancer causes fingerlike projections into the bladder wall?
- What is this cancer associated with?
- What sex and age does this cancer affect?
- What is the best method of diagnosis?
- What imaging modalities determine the extent of this cancer?

Renal Hypertension
What can be caused by stenosis (narrowing) in the renal arteries?

- Acute Renal Failure
- U/S
- IVU
- What is the rapid and severe deterioration of kidney function caused by necrosis due to ischemia and toxic injury?
- What is the imaging modality of choice to evaluate the kidneys?
- What radiographic exam will show bilateral renal enlargement and a prolonged nephron state?

- Chronic Renal Failure
- Dialysis or renal transport
- What is the slow and irreversible deterioration of kidney function?
- What are the treatment options?