1/111
Looks like no tags are added yet.
Name | Mastery | Learn | Test | Matching | Spaced | Call with Kai |
|---|
No analytics yet
Send a link to your students to track their progress
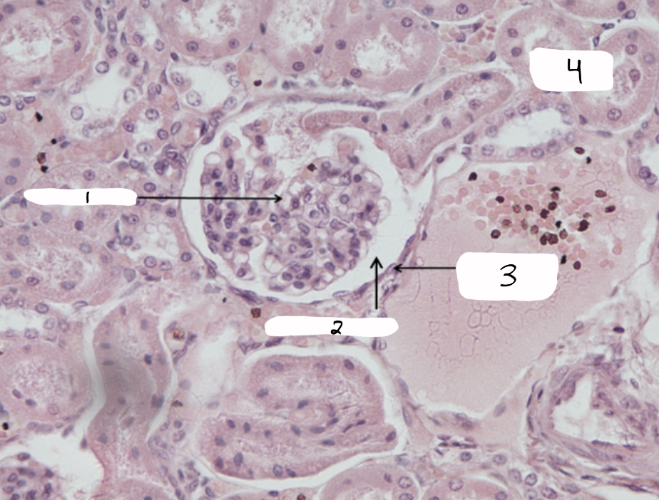
renal cortex
what is this a sample of?

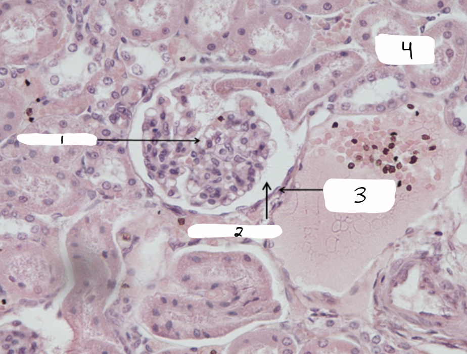
renal corpuscle
what is the arrow pointing to?

glomerulus
what is #1?

capsular space
what is #2?

glomerular capsule
what is #3?

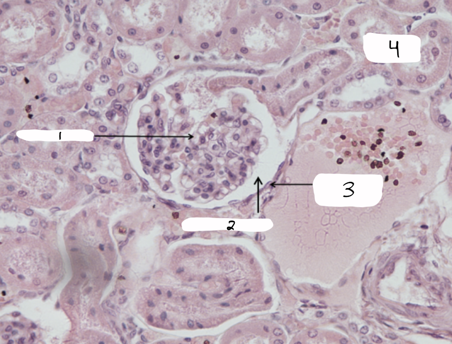
interlobular artery
what is #1?

glomerulus
what is #2?

afferent arteriole
what is #3?

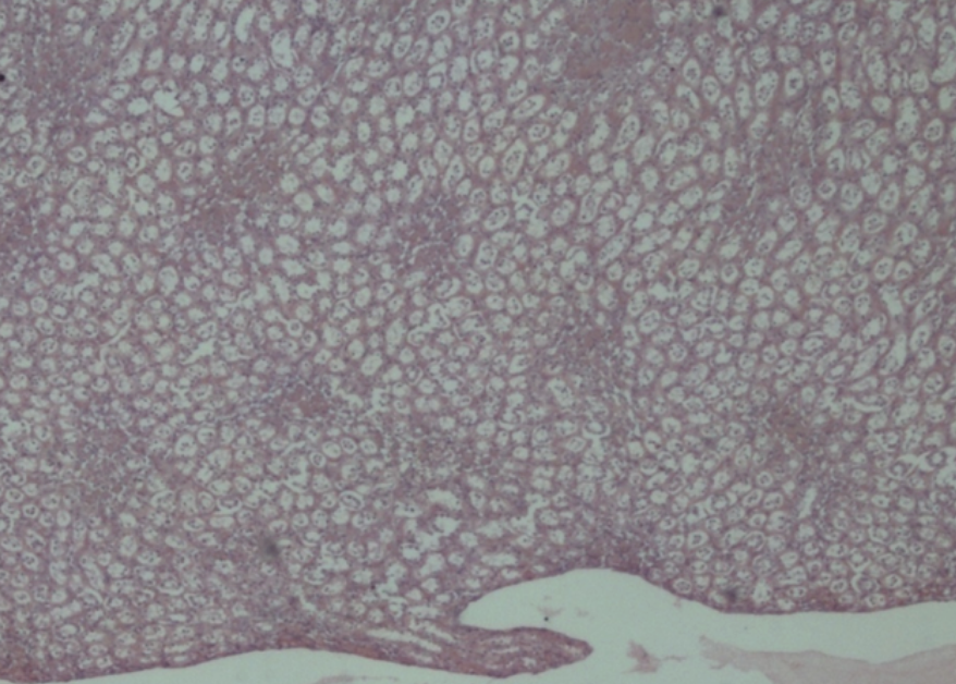
renal medulla
what is this a sample of?

parotid salivary gland
what is this a sample of?

submandibular salivary gland
what is this a sample of?

sublingual salivary gland
what is this a sample of?

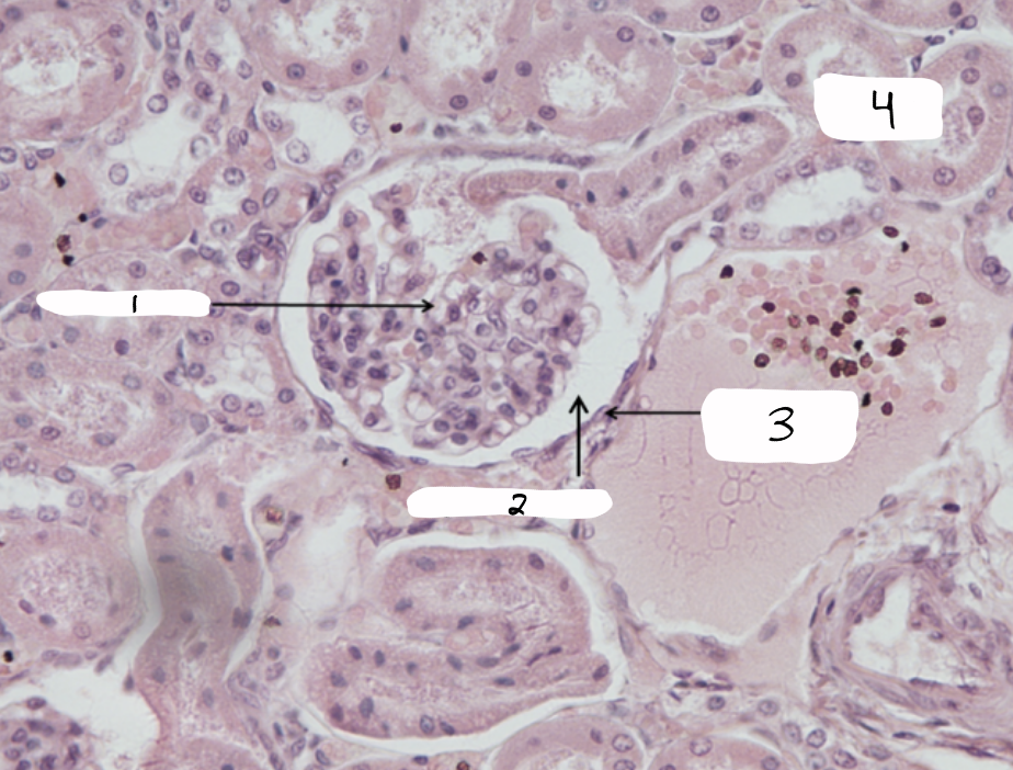
renal corpuscle
what is this a sample of?

renal corpuscle
what is this a sample of?

liver
what is this a sample of?

sinusoid
what is #1?

hepatic macrophages
what is #2?

central vein
what is #3?

hepatocytes
what is #4?

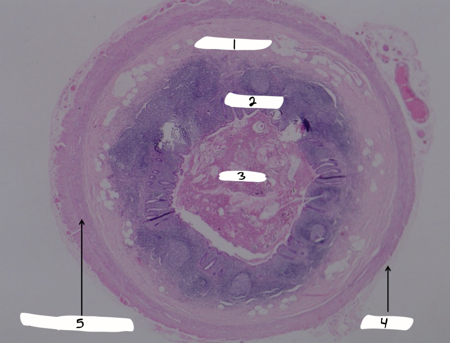
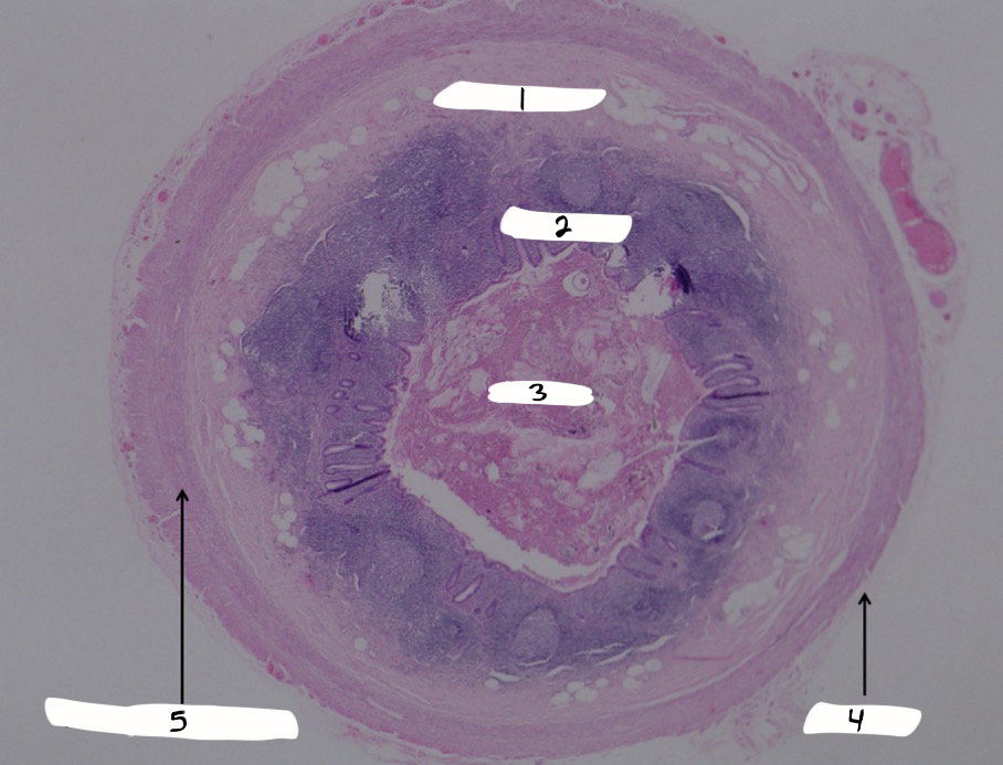
appendix
what is this a sample of?

submucosa
what is #1?

mucosa
what is #2?

lumen
what is #3?

serosa
what is #4?

muscularis externa
what is #5?

colon
what is this a sample of?

submucosa
what is #1?

mucous glands
what is #2?

lumen
what is #3?

mucosa
what is #4?

small intestine
what is this a sample of?

mucosa
what is #1?

villus
what is #2?

lumen
what is #3?

stomach
what is this a sample of?

gastric pit
what is #1?

mucous cells
what is #2?

parietal cells
what is #3?

chief cells
what is #4?

adrenal gland
what is this a sample of?

cortex of adrenal gland
what is outlined?

medulla of adrenal gland
what is outlined?

thymus
what is this a sample of?

cortex of thymus
what is outlined?

medulla of thymus
what is outlined?

thyroid gland
what is outlined?

parathyroid gland
what is outlined?

parafollicular cells of thyroid gland
what is outlined?

thyroid follicle
what is outlined?

posterior lobe of pituitary gland
what is outlined?

anterior lobe of pituitary gland
what is outlined?

pituitary gland
what is this a sample of?

pineal gland
what is this a sample of?

thyroid and parathyroid glands
what is this a sample of?

thymus
what is this a sample of?

thyroid gland
what is this a sample of?

perichondrium of trachea
what is outlined?

cartilage of trachea
what is outlined?

submucosa of trachea
what is outlined?

mucosa of trachea
what is outlined?

alveolus of lung
what is outlined?

bronchioles of lung
what is outlined?

alveolus of lung
what is outlined?

blood vessel
what is outlined?

bronchiole of lung
what is outlined?

red pulp of spleen
what is outlined?

white pulp of spleen
what is outlined?

medulla of lymph node
what is outlined?

cortex of lymph node
what is outlined?

follicle no germinal center
what is outlined?

follicle germinal center
what is outlined?

blood vessels
what is this a sample of?

artery
what is #1?

vein
what is #2?

lumen
what is #3?

tunica intima
what is #4?

tunica media
what is #5?

tunica externa
what is #6?

pulp
what is #1?

odontoblasts
what is #2?

dentin
what is #3?

enamel
what is #4?

ameloblasts
what is #5?

developing tooth
what is this a sample of?

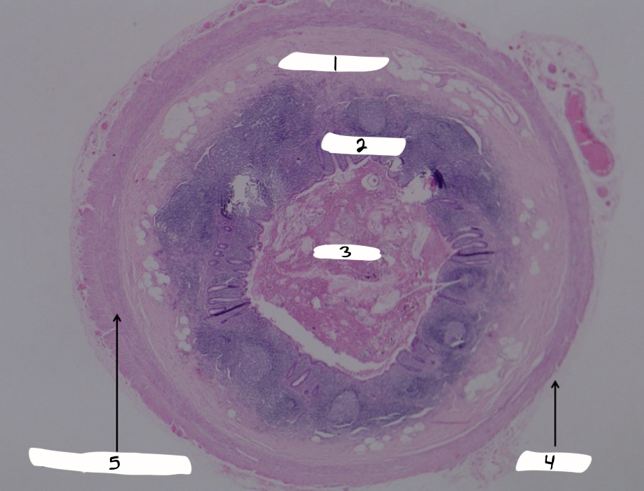
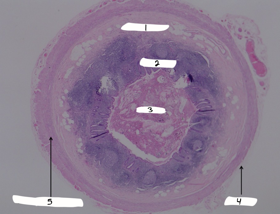
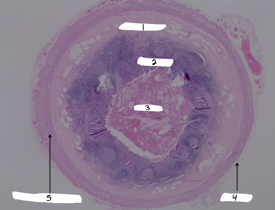
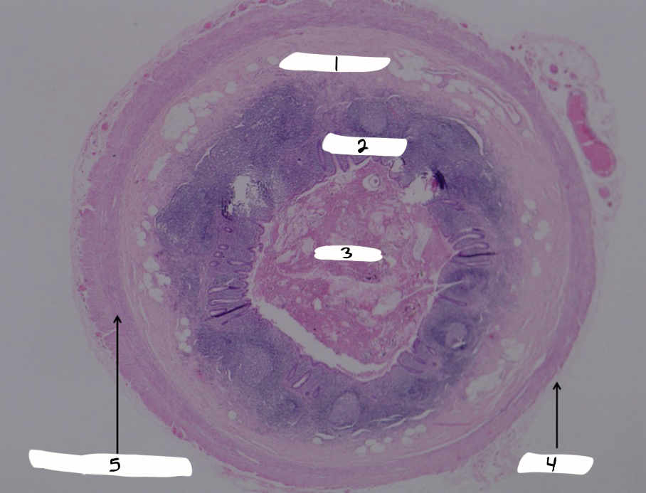
lumen
what is #1?

mucosa
what is #2?

submucosa
what is #3?

muscularis externa
what is #4?

esophagus
what is this a sample of?

veins
what is #1?

arteries
what is #2?

trachea
what is this a sample of?

lung
what is this a sample of?

lymph node
what is this a sample of?

spleen
what is this a sample of?

small intestine
what is this a sample of?

blood vessels
what is #1?

connective tissue
what is #2?

peyers patches
what is #3?

epithelium of small intestine
what is #4?
