1/35
Looks like no tags are added yet.
Name | Mastery | Learn | Test | Matching | Spaced | Call with Kai |
|---|
No analytics yet
Send a link to your students to track their progress
ACUTE APICAL INFLAMMATION
First structure that will be affected is the apical periodontal ligament
ACUTE APICAL ABSCESS
Accumulation of pus in apical periodontal membrane
Tooth is very sore and continuous pulsating pain, slightly extruded from its socket
Apical abscess
Filled with neutrophils: they are the “hallmark” of acute inflammation
Percussion
test for the integrity of the supporting structure
CHRONIC APICAL PERIODONTITIS (CAP)
Chronic conditions are reactions to a long-standing irritation (dental caries, necrosis, pulpitis) with more or less successful attempts to repair
Low Virulence of the Bacteria
High Body Resistance
Presence of Drainage
FACTORS THAT CAN BRING ABOUT CHRONIC CONDITIONS
Dental Granuloma
Radicular Cyst
Chronic Periapical Abscess
TYPES OF CHRONIC APICAL PERIODONTITIS (CAP)
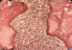
PERIAPICAL GRANULOMA
Localized mass of chronic granulation tissue formed in response to a mild irritation or infection
PERIAPICAL/RADICULAR CYST
Part two of periapical granuloma
Considered as a TRUE CYST because it consists of a pathological cavity lined by epithelium and is often-fluid filled
RCT
Extraction
Enucleation
Marsupialization
Apicoectomy
TREATMENT FOR CAP
Enucleation
Surgical procedure that completely removes the lesion
Marsupialization
Creating a surgical winding keeping it open until the lesion shrinks
Apicoectomy
Cutting the apical third/apex of the tooth
Gumboil
Other term is PARULIS
Accumulation of pus in the gingival tissue. May be periodontal or pulpal

Fistula
The result of an abscess burrowing its way towards the surface in an attempt to drain itself
Follows the path of least resistance through bone (basal bone) and soft tissue
Palatal Abscess
Abscess related to the palatal root of maxillary molars
Sinusitis
Abscess related to posterior maxillary teeth are very close to the floor of the maxillary sinus à pus discharge into the sinus leading to
OSTEOMYELITIS
Inflammation/infection of medullary portion of the bone induced by pyogenic microorganisms
Sequestrum
pieces of dead bone
Involucrum
zone of granulation tissue separating dead bone from normal bone
SUBACUTE OSTEOMYELITIS
Condition somewhat in between acute and chronic osteomyelitis with relatively moderate symptoms
Transitional stage within the time frame of AO corresponding to the 3rd and 4th week after onset of symptoms
Number of Pathogens
Virulence of pathogens
Local and Systemic Host Immunity
Local tissue perfusion
PRIMARY FACTORS IN THE ESTABLISHMENT OF OSTEOMYELITIS
CHRONIC OSTEOMYELITIS
Between the two chunks of bone are many lymphocytes and plasma cells (chronic inflammation)

CHRONIC FOCAL SCLEROSING OSTEOMYELITIS
AKA condensing osteitis
Occurs exclusively in young people
Mandibular 1st molar with large caries

CHRONIC DIFFUSE SCLEROSING OSTEOMYELITIS
Portal of entry is through diffuse periodontal disease
Occurs mostly in older people
GARRE’S OSTEOMYELITIS
Focal overgrowth of the outer surface of the bone cortex
Radiograph: onion-skin appearance
CELLULITIS
Also known as phlegmon
Diffuse inflammation of soft tissue
may become facial abscess with pointing
20-minute warm compress
UNDER CELLULITIS

LUDWIG’S ANGINA
Described by Frederick Wilhelm Von Ludwig (1963)
Topazian: bilateral cellulitis of the submandibular, sublingual, and submental areas
Archer: acute, rapid, septic, diffused inflammation induration, wooden hardness, bilateral swelling of the floor of the mouth and neck
Bilateral swelling of the submandibular, sublingual, and submental spaces
CAVERNOUS SINUS THROMBOSIS
Formation of thrombus in the cavernous sinus or its communicating branches
Usually affects the maxillary canine
Submandibular
Sublingual
Submental
Bilateral swelling, 3 spaces sakop ng Ludwig’s Angina
Doughy to indurated
Texture to palpation of Cellulitis
None
Presence of pus of cellulitis?
Fluctuant
Texture to palpation of Abscess
Yes
Presence of pus of abscess?
Parulis
Other term for GUMBOIL