Medical Imaging: Cardio

0.0(0)
studied byStudied by 0 people
0.0(0)
full-widthCall with Kai
GameKnowt Play
New
learnLearn
examPractice Test
spaced repetitionSpaced Repetition
heart puzzleMatch
flashcardsFlashcards
Card Sorting

1/27

encourage image

There's no tags or description

Looks like no tags are added yet.

Study Analytics
Name
Mastery
Learn
Test
Matching
Spaced

No study sessions yet.

28 Terms

1
New cards

Mild vs moderate vs severe CHF x-ray findings

CXR changes are progressive - initially normal then redistribution of pulmonary vascular pattern and cardiomegaly.

Mild - equal pulmonary vasculature in upper and lower lobes (cephalization)

Moderate - Kerley B lines in lateral basilar regions

Severe - pulmonary edema - bilateral perihilar and basilar alveolar infiltrates

2
New cards

What finding indicates pulm edema in CHF?

kerley a and B lines

<p>kerley a and B lines</p>
3
New cards

What should you order in order to evaluate cardiac fx?

you can order either an

echocardiogram or MUGA scan

4
New cards

Normal EF for older pt. WHen is angiogram indicated?

above 50%. angiogram may be indicated if EF , 35%

<p>above 50%. angiogram may be indicated if EF , 35%</p>
5
New cards

Pros and cons of Echo vs MUGA

ECHO

1. Very close in accuracy to MUGA in evaluating heart function

2. Can evaluate valves, heart size, clots in heart, wall size etc.

3. No radioactivity

4. cheaper

CONS:

-Poor in pts with lung Dz

MUGA

-most accurate in evaluating heart fx

-good for pt w lung dz

CONS

-radioactive

-needles

-$

6
New cards

What is the finding on the back of the card?

coarctation of aorta

<p>coarctation of aorta</p>
7
New cards

Common causes of chamber enlargement

Left ventricular enlargement can be due to chronic HTN (most common), coronary artery disease, aortic stenosis or regurgitation, or ventricular aneurysm.

8
New cards

Best imaging to eval LV hypertrophy

Left ventricular hypertrophy (wall thickening) is best evaluated by echocardiogram.

9
New cards

What is endocarditis? Epidemiology

Endocarditis = infection of the heart valves

Usually occurs in patients with prior valvular disease or drug addiction.

10
New cards

Imaging used to eval endocarditis

Echocardiogram (usually transesophageal)

<p>Echocardiogram (usually transesophageal)</p>
11
New cards

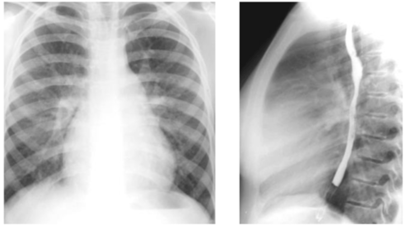
What is the typical appearance of pericardial effusion? Imaging of choice

Pericardial effusion causes an acute marked

enlargement with the heart appearing pendulous and very wide at the base – “water bag appearance.”

echocardiogram is imaging of choice (image here is x-ray)

<p>Pericardial effusion causes an acute marked</p><p>enlargement with the heart appearing pendulous and very wide at the base – “water bag appearance.”</p><p>echocardiogram is imaging of choice (image here is x-ray)</p>
12
New cards

What does epicardial effusion look like on ECG?

area of darkness around heart

<p>area of darkness around heart</p>
13
New cards

What is the most common congenital cardiac deformity in adults?

Atrial septal defect

-blood is going through an additional opening out of the atrium

<p>Atrial septal defect</p><p>-blood is going through an additional opening out of the atrium</p>
14
New cards

X-ray findings with atrial septal defect

-pulmonary artery

enlargement, right atrial and right ventricular enlargement.

-Film shows filling-in of retrosternal space and

increased size of the pulmonary artery.

<p>-pulmonary artery</p><p>enlargement, right atrial and right ventricular enlargement.</p><p>-Film shows filling-in of retrosternal space and</p><p>increased size of the pulmonary artery.</p>
15
New cards

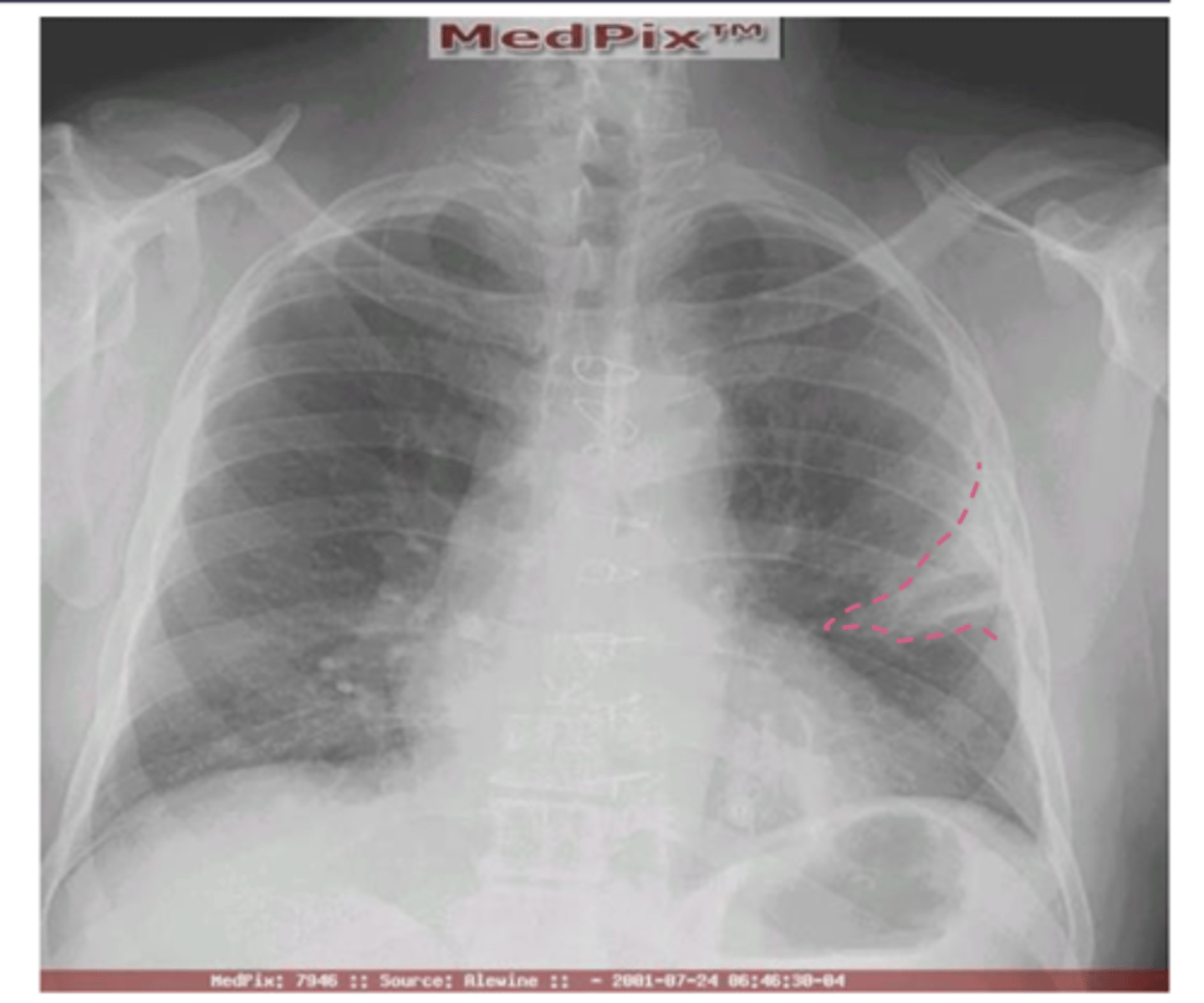
What is hampton's hump?

Wedge shaped pleural based opacity --> indicative of pulmonary embolism

<p>Wedge shaped pleural based opacity --&gt; indicative of pulmonary embolism</p>
16
New cards

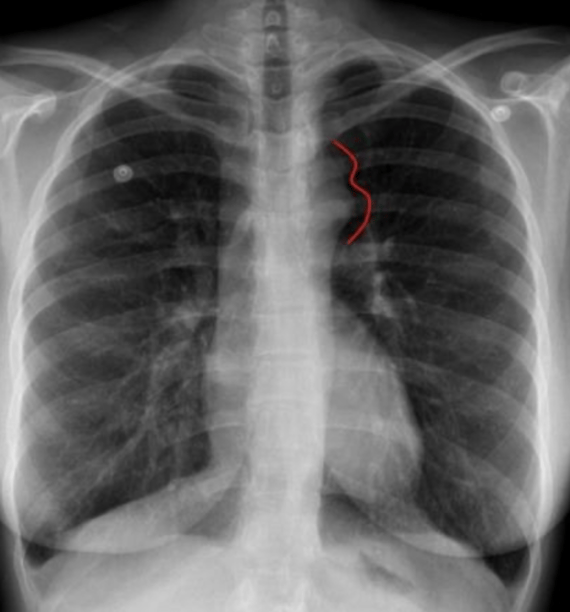
What is westermark's sign? What is it indicative of?

Westermark's sign - the

decreased distal vasculature creating the

appearance of a sharp cut off

*pulmonary embolism

<p>Westermark's sign - the</p><p>decreased distal vasculature creating the</p><p>appearance of a sharp cut off</p><p>*pulmonary embolism</p>
17
New cards

what is the best initial study for suspected pulmonary embolism?

spiral CT with

contrast (CT

Angiography -

CTA)

18
New cards

What imaging/tests can be used to eval coronary artery dz? What does each test look for?

◼ A thallium stress test evaluates the musculature of the

left ventricle during rest and under stress.

◼ The echocardiogram looks for regional wall motion abnormalities – can also be done with stress

◼ Coronary angiography (cardiac cath) is the best study to visualize the coronary arteries but is expensive, invasive and involves a high dose of radiation.

<p>◼ A thallium stress test evaluates the musculature of the</p><p>left ventricle during rest and under stress.</p><p>◼ The echocardiogram looks for regional wall motion abnormalities – can also be done with stress</p><p>◼ Coronary angiography (cardiac cath) is the best study to visualize the coronary arteries but is expensive, invasive and involves a high dose of radiation.</p>
19
New cards

What would an abnormal thallium scan look like?

#1 test for evaluating stress -->.R image indicates void of uptake and dec blood supply

<p>#1 test for evaluating stress --&gt;.R image indicates void of uptake and dec blood supply</p>
20
New cards

What cause sup to 40% of deaths in MVA's?

aortic tears or ruptures

21
New cards

What is the test of choice for initrial eval of aortic tear or rupture?

CT scan

22
New cards

What are the signs of a tear on CT?

◼ Widened mediastinum of more than 8 cm near the aortic arch.

◼ Deviation of the trachea to the right.

◼ Apical pleural density on left due to bleeding above the apical lung.

<p>◼ Widened mediastinum of more than 8 cm near the aortic arch.</p><p>◼ Deviation of the trachea to the right.</p><p>◼ Apical pleural density on left due to bleeding above the apical lung.</p>
23
New cards

What is aortic dissection?

separation of the layers of the aortic walls allowing blood to flow between the layers of the aortic wall. Often associated with aortic

aneurysm.

24
New cards

What is test of choice with aortic dissection?

CT scan with contrast is test of choice

<p>CT scan with contrast is test of choice</p>
25
New cards

What is an aortic aneurysm? What is test of choice? At what point is there risk for rupture?

Dilation of the aorta with or without dissection of the aortic wall.

Widening of aorta greater than 5 cm is at risk for rupture

CT scan with contrast

<p>Dilation of the aorta with or without dissection of the aortic wall.</p><p>Widening of aorta greater than 5 cm is at risk for rupture</p><p>CT scan with contrast</p>
26
New cards

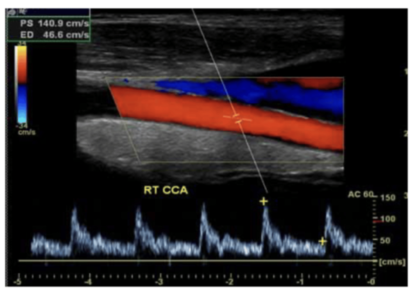
What is the gold standard for evaluating vessels? what is the down side of this testing, and what is used as first line study instead?

contrast angiography - invasive and carries risk of harm to pt

duplex u/s is first line study for vascular dz. can eval anatomy plus direction and magnitude of flow

<p>contrast angiography - invasive and carries risk of harm to pt</p><p>duplex u/s is first line study for vascular dz. can eval anatomy plus direction and magnitude of flow</p>
27
New cards

second line study for peripheral vessels

angiography

<p>angiography</p>
28
New cards

What is initial study of choice for DVT? second line?

duplex u/s of inguinal region, thigh, and popliteal area

second line: contrast venogram

<p>duplex u/s of inguinal region, thigh, and popliteal area</p><p>second line: contrast venogram</p>

Explore top flashcards

Unit 1 Test
Updated 722d ago
flashcards Flashcards (110)
Unit 13 AP Psych
Updated 198d ago
flashcards Flashcards (44)
AP Spanish 1.3 Vocab
Updated 364d ago
flashcards Flashcards (61)
Psych final
Updated 535d ago
flashcards Flashcards (58)
Unit 1 Test
Updated 722d ago
flashcards Flashcards (110)
Unit 13 AP Psych
Updated 198d ago
flashcards Flashcards (44)
AP Spanish 1.3 Vocab
Updated 364d ago
flashcards Flashcards (61)
Psych final
Updated 535d ago
flashcards Flashcards (58)