1/310
Looks like no tags are added yet.
Name | Mastery | Learn | Test | Matching | Spaced | Call with Kai |
|---|
No analytics yet
Send a link to your students to track their progress
What is one method currently being researched to regenerate the heart after cardiovascular disease?
Using cardiac progenitor cells.
What is the function of goblet cells dispersed between epithelial cells?
Goblet cells secrete mucins that protect and lubricates the surface of the epithelium
Where can you find skin stem cells?
The epidermis
Which of the following stem cells are derived from umbilical cord blood and are capable of differentiating into a limited number of cell types?
IPSC’s, Hematopoietic stem cells, Epidermal Stem cells, embryonic stem cells
Hematopoietic stem cells
What are the basic types of tissue in histology?
Connective tissue, Epithelium, Muscle and Nervous tissue
In physiological conditions, what is the less prevalent leukocyte?
Basophils
Is fat tissue important for regeneration?
Yes, because it is a source of MSC’s
In the monitorization of the milieu inside a Bioreactor, what are the main drawbacks of the invasive sensing?
Contamination risk, disruption of culture, and difficulty in calibration
What is the main histopathological characteristic in acute inflammation?
Presence of a heavy infiltration of neutrophils
What are the two vessels that contain valves?
Veins and lymphatic vessels
Where is the lymph node located for use of cancer detection?
It is located near the primary tumor
What stage is the cancer at when the lymph nodes are affected?
Stage III or IV
Which of the following structures belongs to MALT?
Adenoids, Thymus, Spleen, Pater Patches
Pater Patches
What are the fibers of the connective tissue that you can see with a H&E staining?
Elastic and Collagenous
What are the proteins secreted by Adrenal glands?
Cortisol, Adrenalin, Noradrenalin and sexual Hormones
Why is the in vitro stimulation of nasal chondrocytes important?
needed for secretion of functional proteins with an important role in joint lubrication
Where does the negative selection of lymphocytes occur in?
Medulla of the Thymus. Negative selection basically ensures that T-cells are only attacking foreign antigens.
In the mesenchymal tissues with a mechanical function we can distinguish Bone in contrast with cartilage because...
Bone has a higher mineral content than cartilage
Which of the following neoplasia is more aggressive and prone to produce metastasis?
A poorly differentiated tumor

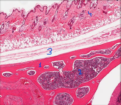
What is each number referring to?
Skeletal Muscle
Cartilage

What is each number circling?
Collagen Fibers
Elastin Fibers

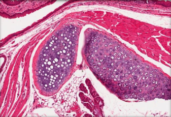
What is the purple structure?
Cartilage

Name the structure each number is surrounding.
Compact Bone
Bone Marrow
Loose connective tissue
Dense Connective Tissue
What are condroclasts?
Chondroclasts are cells that break down cartilage tissue during the process of cartilage resorption. They play a crucial role in bone development and remodeling.
What are the conditions that you can perform with an autoclave to obtain sterile material?
To obtain sterile material using an autoclave:
High temperature (121-134°C)
High pressure (15-30 psi)
Adequate time (15-30 minutes)
Proper steam saturation.
What are the characteristics of a primary cell culture?
Primary cell cultures are directly derived from living tissue, have limited lifespan, maintain original characteristics, and are used for short-term experiments.
What are adult stem cells and how do they divide?
Adult stem cells are undifferentiated cells found in tissues and organs. They can divide asymmetrically to produce one stem cell and one specialized cell, or symmetrically to produce two stem cells.
What is the main function of oligodendroglia?
Insulate and provide support to nerve fibers in the central nervous system by forming myelin sheaths around axons.
What are glia that are present in nervous ganglia called?
Satellite cells
What is cardiac muscle composed of?
Cardiac muscle is composed of striated muscle tissue found in the heart, responsible for pumping blood throughout the body, joined by gap junctions and desmosomes
Where does the secretion in the interior of the cell accumulate?
Intracellular secretion accumulates in the acinar glands
What can the thyroid gland be classified as?
Endocrine gland and alveolar located in the neck that produces hormones to regulate metabolism and other bodily functions.
What is the connective tissue that covers muscle called?
Epimysium: Connective tissue surrounding muscles, providing support and protection.
What type of bioreactor would you use for tissue engineering of epithelial organoids?
Perfusion bioreactor
What is the main disadvantage of using CFD simulations in bioreactors for tissue engineering?
The simulations require a high level of technical expertise and can be time-consuming to set up and run
What is perfusion in cell culture?
A method of growing cells in a bioreactor using a continuous flow of medium
What is an example of a non-mechanical factor that can be controlled in a bioreactor?
Oxygen concentration
What is the primary benefit of using CFD simulations in bioreactors for tissue engineering?
To increase the efficiency of nutrient delivery and waste removal within the bioreactor.
What are epidermal stem cells?
Epidermal stem cells are undifferentiated cells in the skin responsible for regenerating and maintaining the epidermis. They differentiate into a more limited number of cell types and are found in adult tissue.
What factors contribute to the increased complexity of regenerating solid organs using tissue engineering methods?
Multiple tissues and/or multiple cellular types
Connective tissue and epithelial tissue intermixed
Specialized vascular system & innervation
What is the purpose of mechanical stimulation in tissue engineering?
To improve tissue organization

What indicates the blue and red color for this stain?
Red is muscle and blue is connective tissue

What is the organ/tissue shown in this picture?
The Heart

What is the correct stain in this picture?
Masson’s Trichome

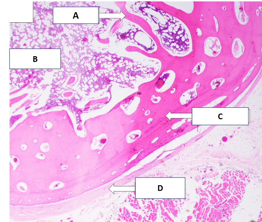
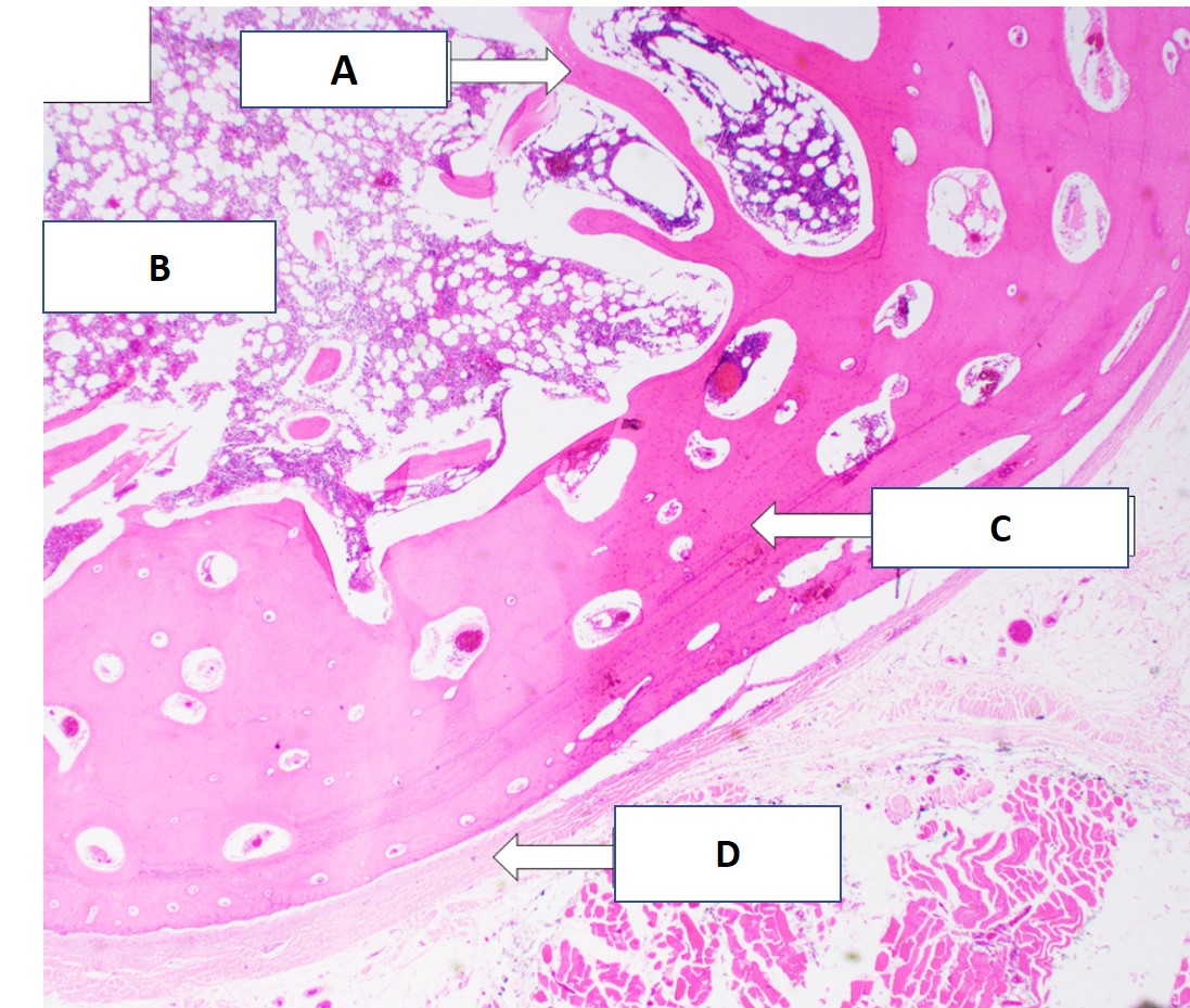
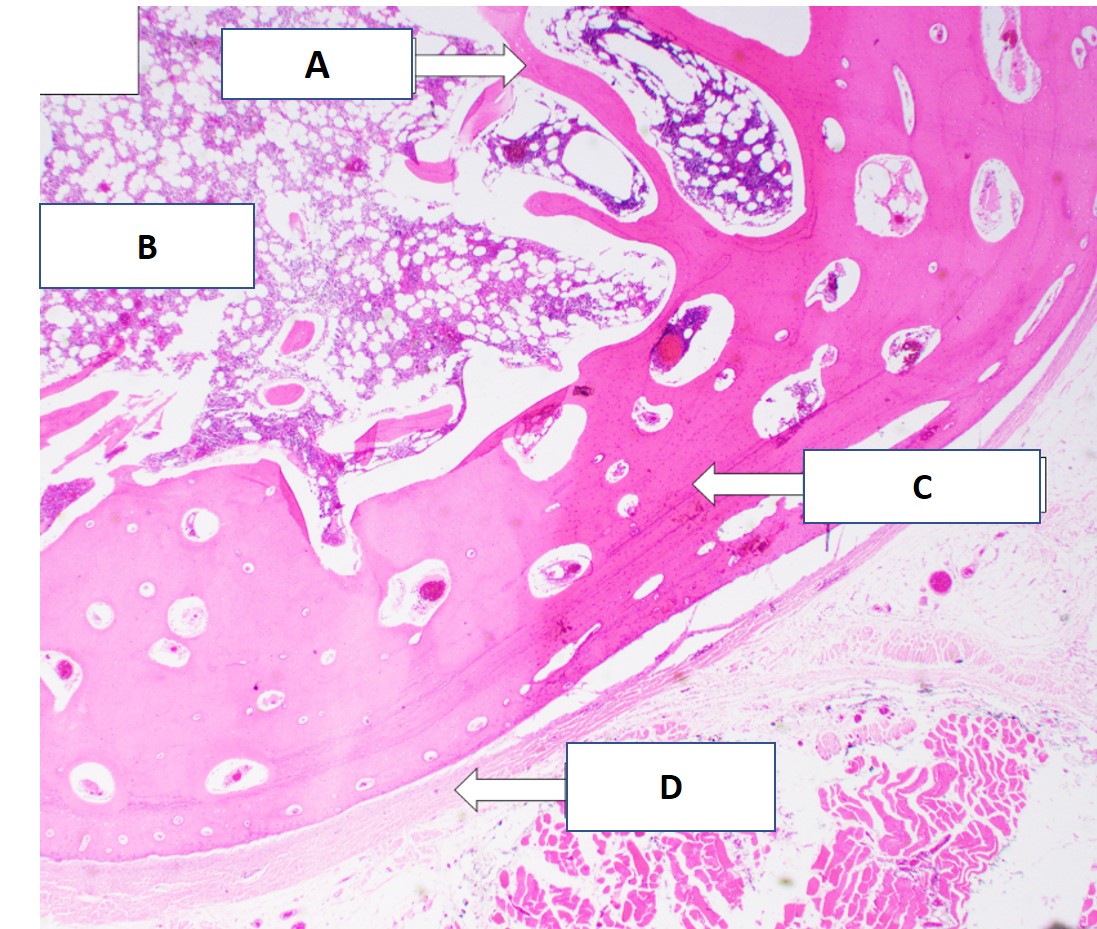
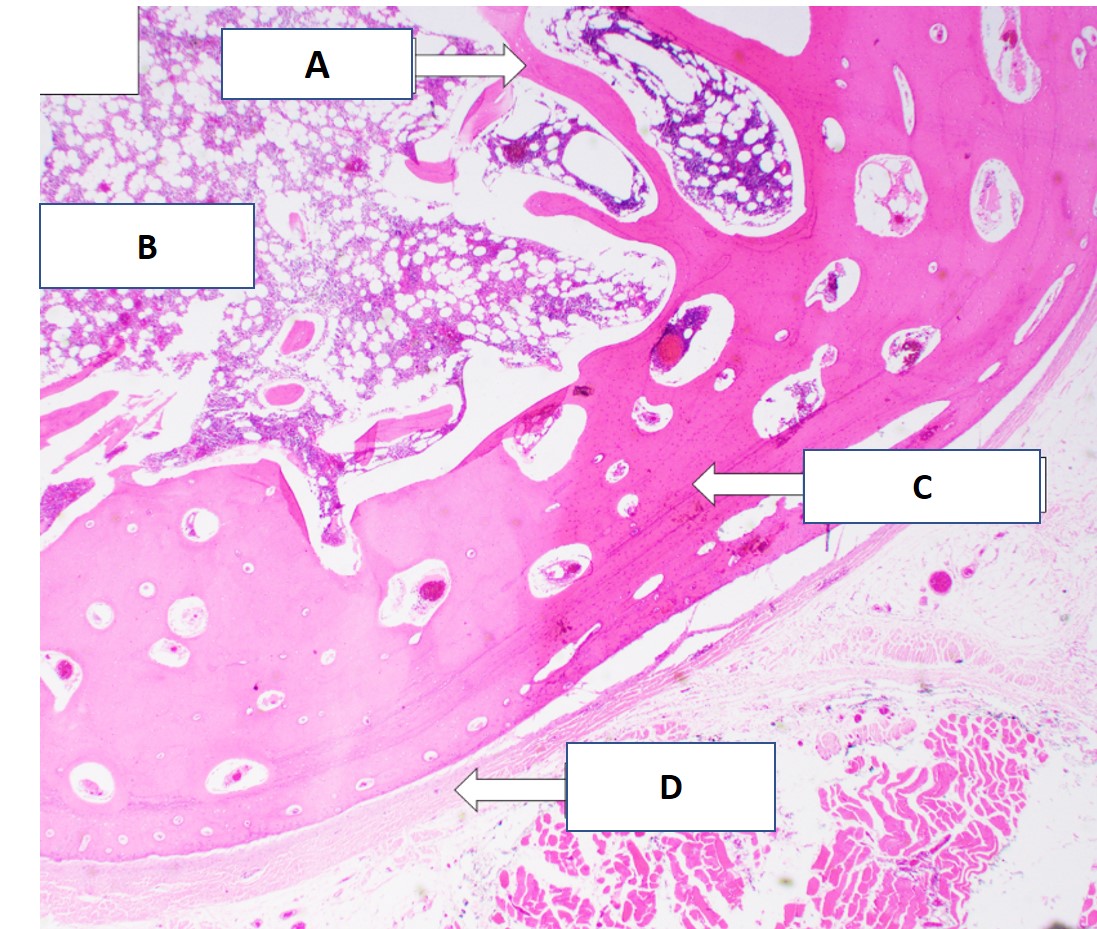
What is the structure in D?
Periosteum and Proper connective tissur

What is the structure in C?
Collagen I and Compact Bone

What is the tissue structure in B?
Bone marrow and blood precursor

What is the tissue structure in A?
Trabeculae. They’re small, bony columns or plates found in spongy bone tissue. They help provide structural support and strength while maintaining bone density.
What are syncytium?
Syncytium are multinucleated cells formed by the fusion of individual cells, commonly found in certain tissues like skeletal muscle and placenta (i.e. Canaliculli and Lacuna

What is the structure pointing in C?
Lacuna

What is the structure pointing to in B?
Canaliculli

What is the structure pointing to in A?
Harvesian Channel
What are the specializations on the apical surface of intestinal epithelial cells called?
Microvilli

What is this structure located in the kidney?
Glomerulus. Part of the nephron in the kidney responsible for filtering blood to form urine. It consists of a network of capillaries surrounded by Bowman's capsule.
What is the lymphatic organ that become atrophic with aging?
Thymus
What type of secretion is found in mammary glands?
Apocrine
What type of glands are attached to the hair follicle?
Sebaceous glands
If a patient allergic to seafood goes to Santiago de Compostela and eat a pie mainly made with crabs, prawns and lobsters: Which blood population will increase?
Eosinophils
What are hemidesmosomes?
Connect intermediate filaments to integrins for cell adhesion in the basal part of the cell
What is the particular staining developed by Santiago Ramon y Cajal for staining nervous tissue?
Silver Staining
Identify key features of lymphatic vessels that differentiate them from capillaries?
Lymphatic vessels are closed-ended vessels formed by simple squamous epithelia without a basement membrane, whereas capillaries have a BM,
Lymphatic vessels are thinner and more permeable than capillaries, allowing for the easy movement of fluid and cells. ,
Lymphatic vessels play a crucial role in maintaining fluid balance and immune function.,
Lymphatic ducts, which are larger lymphatic vessels, have a poorly developed muscle layer and adventitia compared to capillaries.
What are the main characteristics of cardiac myocytes (cells)?
Striated, Unnucleated, branched, connected by intercalated discs, high mitochondrial content
What always happens after a muscle tissue injury or damage?
Inflammation
If we are interested in regenerate fibrous joints that perform a perfect mechanical function, these have to be made of what?
Simple dense CT
What are the advantages of iPS over ESC?
1. No need to use a human embryo.
2. It allows for the creation of cell lines that are genetically customized to a patient... no immune rejection.
What is a key advantage of bioengineered skin in comparison to traditional skin grafts for treating burn injuries?
Bioengineered skin can be customized to match the patient’s specific needs and promote faster healing.
What staining technique is commonly used to observe blood smears microscopically?
Wright’s staining
What technique softens the bone for easier cutting with minimal damage to surrounding tissues?
Decalcification
What are the advantages of a determined stem cell?
1) Easily isolated
2) Not tumorgenic
3) Limited in division potential
4) Precedents in current therapy
What is histology?
study of tissues
What is a tendon in histology?
single tissue organ homogenously oriented

What is skin?
Epithelial and dense connective tissue separated in different zones. Blood vessels are provided.

What is the bladder?
Consists of epithelium, connective tissue, and smooth muscle.

What is the small and large intestine in histology?
The connective tissue has 2 sections: mucosa and submucosa divided by muscularis mucosae. There are only villi in the small intestine.

How do you diagnose cancer?
Radiology, clinical diagnosis, or laboratory methods such as biopsy.
How do you characterize cancer?
histologic diagnosis, grading and staging.
What is a histologic diagnosis?
Obtained by biopsy, usually with a needle or cylindrical core.
What is the difference between grading and staging of a tumor?
The stage of a cancer describes the size of a tumor and how far it has spread from where it originated. The grade describes the appearance of the cancerous cells.
What are the special techniques for determining the cancer stage?
Immunohistochemistry, gene expression signatures, estrogen receptor
What 3 things do you need to regenerate tissue?
Cells, Scaffold, Cell Signals
What is the Hayflick limit?
The number of times a normal human cell population will divide until cell division stops.
What is confluency?
the percentage of the surface of a culture dish that is covered by adherent cells
Why are microscopes used to view cell cultures inverted?
Due to thickness of the cell culture vessels
What is the main function of a laminar flow cabinet?
Minimize possible contamination of cell culture and to protect user from possible contamination
What are the main phases of growth of a primary crop?
Lag, exponential, confluence and death.
When is the right time to make a pass?
When the crop reaches confluence or is exhausted
What are Cell Lines?
cells derived from primary cultures that tend to proliferate indefinitely
What is a cell subculture?
You start with a confluent monolayer, and then wash it with PBS. The cells are then incubated and detach. They can then be resuspended in fresh medium for counting.
Why are antibiotics added to the culture medium?
To prevent growth of microorganisms that are common contaminants in eukaryotic cell culture
What is a primary culture?
when cells are obtained directly from the organism or biopsy
What are the 3D cues for angiogenesis? What provokes the signal?
Mechanical cues, topological cues, cell to cell adhesion, soluble and ECM- bound cues. Pericytes promote angiogenesis, and Neurovascular unit (NVU) has a very important role, because they secrete signals to promote the capillary to grow or to create new blood vessels.
What is a 3D culture?
culture environment that allows cells to grow and interact with surrounding extracellular framework in three dimensions
Explain the types of 3D cultures.
1. Scaffold- Free Platform: forms a spheroid and mostly used in research of cancer and stem cells
2. Scaffold: combines matrix with the cells
3. Gels/Hydrogels: Type of scaffold, can be animal sourced natural ECM or synthetic gels. Important findings in skin and cancer research.
What are the differences between 3D and 2D cultures?
3D cultures have different cell types, mechanisms of transportation, complex interactions with matrix, and are more similar to in vivo studies.
What are 5 reasons for 3D cell culture in cancer?
1) Alters proliferation and cell morphology
2) Reveals a more realistic drug response
3) Captures phenotypic heterogeneity
4) Changes gene expression and cell behavior
5) Mimics tumor microenvironment
What are pluripotent cells?
Cells that continue to have unlimited differentiation potential and can grow into different kinds of tissues
What are some methods for culturing pluripotent cells?
1) Generating Embryoid Bodies
2) Bioprinting
What is a bioreactor?
A device that attempts to stimulate a physiological environment in order to promote ex vivo cell or tissue growth
What is a bioreactor's main function?
1) Acts as a container that gives sterility
2) Introduce liquids and gases
3) Removes waste
4) Control the physical environment
What are the benefits of a bioreactor culture in tissue maturation?
1) Controlled culture conditions
2) Automated sampling
3) Standardization
4) Physiological Stimuli