1/45
Looks like no tags are added yet.
Name | Mastery | Learn | Test | Matching | Spaced | Call with Kai |
|---|
No analytics yet
Send a link to your students to track their progress

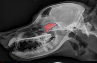
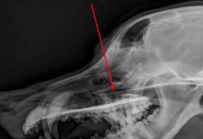
ID.
Frontal Sinus

ID
Zygomatic Arch

ID
Maxillary Bone

ID
Mandible

ID.
Tympanic Bulla

ID.
Horizontal Ear Canal

ID
Occipital Condyles

ID.
Temporomandibular Joint

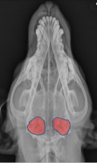
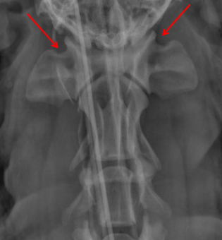
ID radiographic view
VD

ID.
Mandible

ID Radiographic View
Lateral

ID
Maxilla

ID
Zygomatic Bone

ID
Orbital Margin

ID
Coronoid Process of Mandible

ID Radiographic View
Open Mouth VD view of Nasal Cavity

ID
Ethmoid Turbinates

ID
Maxillary Turbinates

ID
VOmer Bone

ID
Palantine Foramen

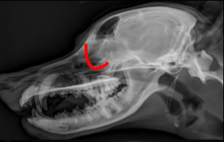
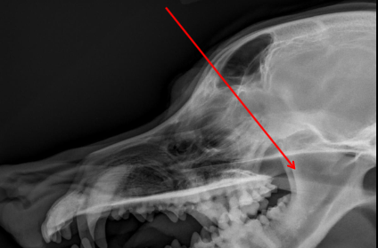
ID Radiographic View
Frontal Sinus View

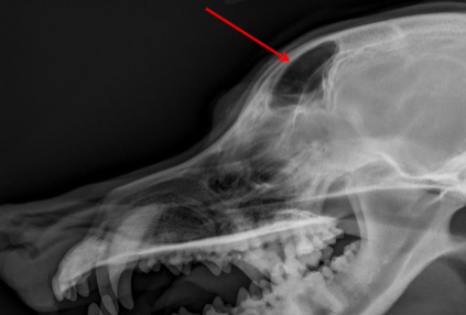
ID
Frontal Sinus

ID
Frontal Sinus

ID
Ethmoid Turbinates

ID
Maxillary Turbinates

ID
Nasopharynx

ID
Maxillary Recess
What is the normal dental formula for a dog?
2x (I3/3, C1/1, P4/4, M2/3)
What is the normal dental formula for a cat?
2x (I3/3, C1/1, P3/2, M1/1)
What is the black line surrounding a tooth root called?
Periodontal Membrane
What is the white line just outside of the periodontal ligament called?
Lamina dura
What vertebrae is referred to as anticlinal?
T11
What surface of the vertebral bodies does the ribs articulate with?
Cranial aspect
Which is the largest cervical vertebrae?
C7

ID
Caudal Articular Process

ID
Cranial Articular Process

ID
Transverse Foramina

ID
Alar Notch

ID
Lateral Vertebral Foramen

ID
Alveolar Crest

ID
Lamina Dura

ID
Periodontal Membrane

ID
Cranial Costal Fovea
What ligament runs between the rib heads?
Intercapital Ligament

ID
Accessory Process
What is the attachment site of the crura of the diaphragm?
L3 and L4