1/20
Looks like no tags are added yet.
Name | Mastery | Learn | Test | Matching | Spaced | Call with Kai |
|---|
No analytics yet
Send a link to your students to track their progress

Simple
single layer

stratified
more than one layer

squamous- thin disc shapes

cuboidal- as wide as is tall, central nucleus

columnar- taller than is wide, elongated nucleus

thin flat, single layered cells
simple squamous epithelia

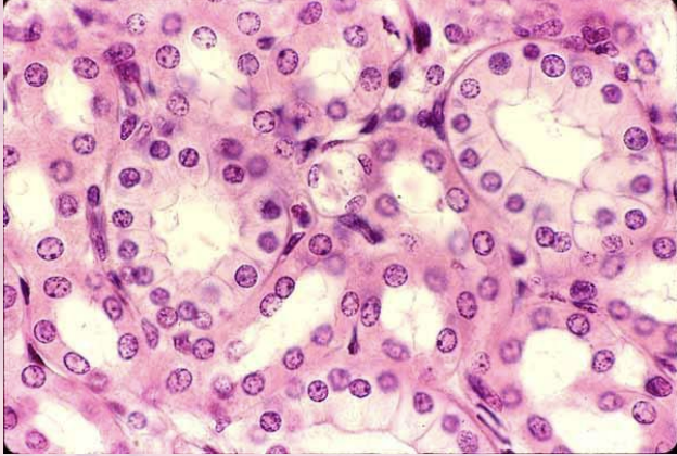
single layer, cube-shaped with single central nucleus
simple cuboidal

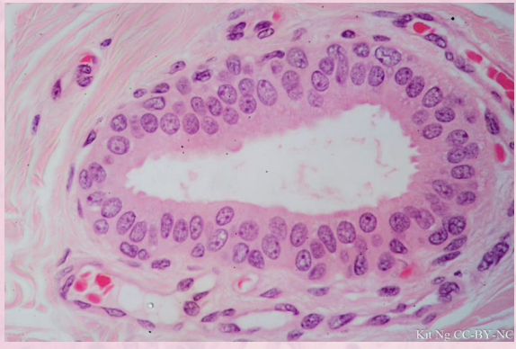
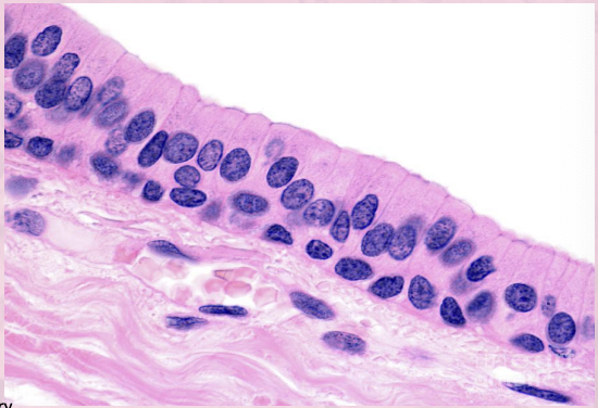
taller than they are wide, single layered, may be ciliated
simple columnar epithelia

simple and pseudostratified columnar epithelia
heterogenous epithelia

multiple stacked layers of cells
stratified squamous epithelia

can be found in certain glands and ducts
stratified cuboidal

multiple layered stacked cells found in areas needing protection and secretion
stratified columnar epithelia

cuboidal epithelial cells with umbrella shaped apical surfaces usually in urinary system
transitional epithelia

water fluids like sweat and mucin in areas that dont grow hair ( palms, soles and foreheads)
merocrine (eccrine) gland

sweat released from more personal areas (armpit and groin)
apocrine glands (smelly gland)

accumulates secretions (oil) and ruptures
holocrine glands

watery, enzyme rich secretions
serous glands

watery secretions in rich gycoprotein mucin
mucous gland

serous and mucous secretions
mixed (seromucous) exocrine glands

what cells are in the apical layer
squamous

what cells are in the basal layer
columnar or cuboidal