1/119
Looks like no tags are added yet.
Name | Mastery | Learn | Test | Matching | Spaced | Call with Kai |
|---|
No analytics yet
Send a link to your students to track their progress
Alveolar type II cells
**respiratory distress syndrome
A 26-week gestational age female is born via cesarean section and subsequently develops cyanosis with tachypnea, expiratory grunting, nasal flaring, and intercostal retractions. Which of the following cells is responsible for the pathophysiology of this condition?
AAlveolar eosinophils
BAlveolar macrophages
CAlveolar type I cells
DAlveolar type II cells
viral meningitis
A 4-year-old child with no significant medical history presents to the emergency department with his parents due to fever, stiff neck, and headache for 1 day. Vital signs include a heart rate of 120 bpm, respiratory rate of 27/minute, oxygen saturation of 99% on room air, and temperature of 102.5°F. Physical examination reveals a regular cardiac rate and rhythm, normal breath sounds without signs of respiratory distress on lung auscultation, and no abdominal tenderness to palpation. No mental status changes or neurological abnormalities are observed. It is noted that when the child attempts passive flexion of the neck while in the supine position, he flexes the lower extremities. Lumbar puncture is performed, and the cerebrospinal fluid results show a white blood cell count of 300 cells/microL with a mononuclear dominance, glucose of 45 mg/dL, and protein of 60 mg/dL. What is the most likely diagnosis?
AAutoimmune encephalitis
BBacterial meningitis
CViral encephalitis
DViral meningitis
Prescribe desmopressin
**Nocturnal enuresis
An 8-year-old boy presents to the clinic with his parents to discuss nighttime bed-wetting. The patient has been wetting the bed at least 4 nights per week since he was toilet-trained at age 4. Per his parents, the patient does not have daytime accidents and does not report any pain while voiding. He has daily bowel movements without symptoms of constipation. The patient has tried limiting fluids at least 2 hours before bedtime in addition to double voiding prior to sleep. He has a sleepaway camp this summer that he is excited to attend, but he is nervous about wetting the bed while at camp. His vital signs are a blood pressure of 100/60 mm Hg, a heart rate of 80 bpm, a respiratory rate of 16 breaths per minute, an oxygen saturation of 99%, and a temperature of 98.6°F. Upon physical examination, his lungs are clear to auscultation and his heart exam reveals a regular rate and rhythm without murmurs, gallops, or rubs. His abdomen is soft and nontender, and bowel sounds are noted in all four quadrants. His genital exam is unremarkable. A urinalysis is obtained and is normal. What is the best next step in the management of this patient’s condition?
AObserve for spontaneous resolution
BPrescribe desmopressin
CPrescribe imipramine
DRefer to urology
Staphylococcus aureus
**Impetigo
A 2-year-old boy presents to the clinic with his parent for concerns about a rash on his face that appeared 4 days ago. The parent states that there have been no new soaps or detergents in the house, and the patient has not tried any new foods recently. The parent reports that the patient often has his fingers in his nose. The patient has also not had any recent illnesses. His vital signs are a blood pressure of 92/58 mm Hg, a heart rate of 96 bpm, a respiratory rate of 20/min, an oxygen saturation of 95%, and a temperature of 98.6°F. Upon physical examination, his cardiac and lung exams are within normal limits, and his ENT examination is unremarkable. The skin findings are shown above. The remainder of the physical examination is normal. What is the most likely causative organism for this patient’s suspected condition?
AStaphylococcus aureus
BStaphylococcus epidermidis
CStreptococcus pneumoniae
DStreptococcus pyogenes

Granuloma annulare
A 13-month-old girl presents to the pediatrician with her parents who describe a bumpy rash on the patient’s left leg. They state the lesion began as a small bump on her ankle but now it is a circular ring-like rash that has been present for approximately 1 month. They report that the rash is not itchy. They report no aggravating or associated symptoms. The patient is an otherwise healthy well-developed, well-nourished girl. She has no pertinent medical history and takes no medications. She is up to date on vaccinations. Physical examination reveals a single lesion on the patient’s left ankle with an erythematous ring and a smooth, raised border. Which of the following is the most likely diagnosis?
AGranuloma annulare
BLichen planus
CPyogenic granuloma
DTinea corporis
systemic oxygen saturation increases, stimulating closure of the ductus arteriosus
**patent ductus arteriosus
A 10-day-old girl is brought to the clinic for a routine examination following an uncomplicated vaginal delivery. Her parents are concerned about fatigue following her feedings and difficulty gaining weight. She has not yet regained her birth weight and has abnormal vital signs, including a widened pulse pressure. Physical exam reveals a continuous, machinery-like murmur best heard over the left infraclavicular area that is not position dependent, and there are bounding pulses bilaterally. Which of the following is part of the normal physiologic process that did not occur in this patient and produced the suspected condition?
AFailure of foramen ovale closure, causing blood to move between the right and left atria
BIncrease in prostaglandin E2 at birth triggering closure of the ductus arteriosus
CSystemic oxygen saturation decreases, stimulating closure of the ductus arteriosus
DSystemic oxygen saturation increases, stimulating closure of the ductus arteriosus
Defer further agitation of the patient and perform endotracheal intubation
**epiglottitis
A 4-year-old boy presents to the emergency department with his parents, who report the patient has had difficulty breathing for the past hour. He is also unable to swallow and has been drooling. He had a sore throat earlier this week that got progressively worse, and he stopped eating yesterday. His vital signs are a temperature of 102.3°F, heart rate of 152 bpm, oxygen saturation of 97% on room air, and respiratory rate of 32/min. He is toxic appearing and is seated on the edge of the chair with his head forward and tongue out. He is not up to date with his vaccinations. Which of the following clinical interventions is the best next step?
ADefer further agitation of the patient and perform endotracheal intubation
BEstablish intravenous access for antibiotic therapy
COrder a laryngoscopy to directly visualize any laryngeal obstruction present
DOrder a lateral neck radiograph
Bruising on the neck and cheeks
**child physical abuse
An 18-month-old boy presents to the office with a new facial rash for 4 days. His parent describes a 10-day history of low-grade fever, irritability, and clear nasal discharge. Vital signs include a heart rate of 155 bpm, blood pressure of 122/78 mm Hg, respiratory rate of 21/minute, oxygen saturation of 99% on room air, temperature of 98.8°F, and weight of 24 pounds. On physical exam, the child appears happy and well fed. He has clear nasal discharge and perinasal serous crusting. There is a reticular, light pink macular rash on both cheeks with a 4 cm bluish-purple bruise on the left cheek extending to the ear and bilateral light purple-green bruising on the posterior neck. There are no palpable lymph nodes. Which of the following is the most concerning physical exam finding?
ABruising on the neck and cheeks
BIrritability
CReticular, light pink rash on the bilateral cheeks
DWeight of 24 pounds
Erythematous maculopapular rash that starts on the face, spreads cephalocaudally, and lasts about a week
**Rubeola (measles)
A 5-year-old boy who is unvaccinated presents to the clinic with fever and cough for the past 2 days. Vital signs include a BP of 100/65 mm Hg, HR of 136 bpm, RR of 22/min, T of 102.9°F, and SpO2 of 99% on room air. Physical examination findings include a tachycardic heart rate and lungs clear to auscultation. He has bilateral conjunctival injection, oropharyngeal erythema, and white spots with an erythematous base on the buccal mucosa opposite the molar teeth. Which of the following describes the presentation of the exanthem associated with the suspected condition?
AErythematous maculopapular rash that starts on the face, spreads cephalocaudally, and lasts about a week
BErythematous maculopapular rash that starts on the face, spreads cephalocaudally, and resolves within 3 days
CErythematous maculopapular rash that starts on the neck and trunk and spreads to the face and extremities
DLesions in various stages (some vesicular) on the face, trunk, and extremities
Radiographs showing inferior slip of proximal femoral metaphysis relative to epiphysis
**SCFE
A 13-year-old boy with no significant medical history presents to the pediatrician for evaluation of left knee pain. The pain has been ongoing for several weeks with no inciting incident but has worsened over the last few days. The patient’s parent notes they took him to urgent care overnight, and radiographs of the left knee were unremarkable. He is having pain with weight-bearing and is unable to walk into the office today. He was born via full-term vaginal delivery and is up to date on his childhood immunizations. He has had no preceding illness. Vital signs are a temperature of 98.0°F, heart rate of 96 bpm, blood pressure of 110/68 mm Hg, respiratory rate of 12 breaths/min, and oxygen saturation of 99% on room air. His body mass index is 34 kg/m2. Physical examination reveals erythema, no swelling, no tenderness to palpation of the knee, and a negative ligamentous examination. The leg appears shortened when compared to the other side and is held in external rotation. The patient has pain with motion of the hip, most notably internal rotation. Evaluation of the ankle and foot is unremarkable. Which finding is consistent with the most likely diagnosis?
ABlood work with elevated erythrocyte sedimentation rate and C-reactive protein
BRadiographs demonstrating avascular necrosis of the femoral head
CRadiographs showing inferior slip of proximal femoral metaphysis relative to epiphysis
DSynovial fluid aspiration with 60,000 white blood cells and 80% neutrophils
Delayed femoral pulse when compared to the brachial pulse
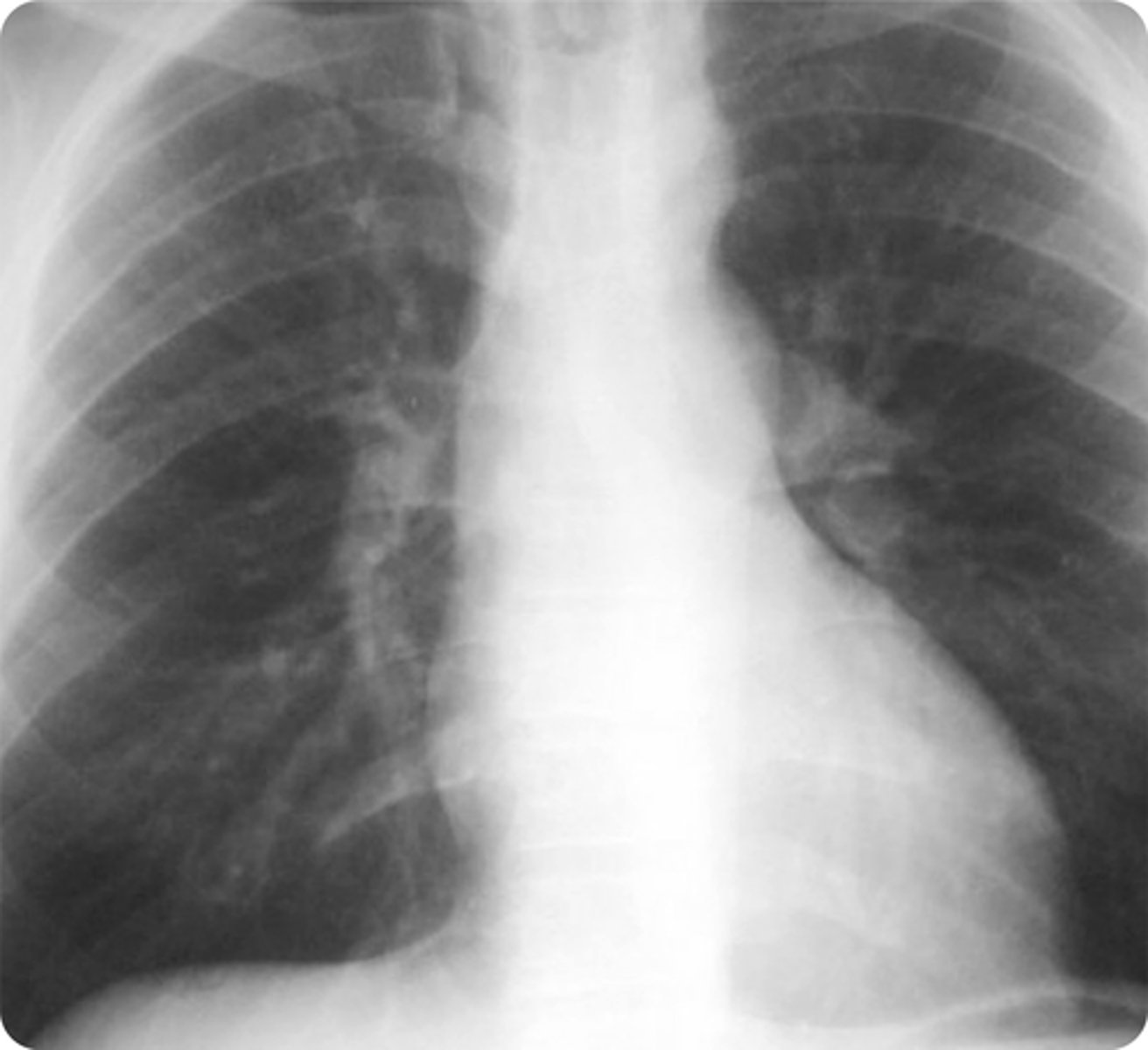
**coarctation of the aorta
A 14-year-old boy without significant medical history presents with his parent to clinic with concern for cold extremities, pain in his legs with exercise, and intermittent chest pain for the past month. Vital signs today include a heart rate of 66 bpm, respiratory rate of 18/min, oxygen saturation of 97%, and temperature of 98.8°F. Chest X-ray is shown above. Which physical exam finding is most likely to be present in the patient’s suspected condition?
ADelayed femoral pulse when compared to the brachial pulse
BEpisodic hypercyanotic spells
CMidsystolic ejection murmur with a fixed split S2 heart sound
DRespiratory stridor

Amoxicillin, omeprazole, and metronidazole
A 10-year-old boy presents to the office with abdominal pain and hematemesis that is worsened with eating for 3 days. Vital signs are a T of 98.4°F, HR of 95 bpm, BP of 118/84 mm Hg, RR of 14 breaths/min, and SpO2 of 99% on room air. Physical exam reveals epigastric tenderness. An upper gastrointestinal endoscopy with biopsy is positive for Helicobacter pylori. Sensitivities are pending. What is the most appropriate treatment for the suspected diagnosis?
AAmoxicillin, clindamycin, and omeprazole
BAmoxicillin, omeprazole, and metronidazole
CClarithromycin, amoxicillin, and bismuth
DClarithromycin, amoxicillin, and omeprazole
Zinc oxide based barrier paste and nystatin
**diaper candidiasis
A 10-month-old infant presents to the clinic with a rash on the convex surfaces of the buttocks and in the inguinal folds for the past two days. On exam, beefy red plaques,involvement of the skin folds, and satellite papules are seen. Which of the following is the recommended treatment?
AHydrocortisone
BNystatin
CZinc oxide based barrier paste
DZinc oxide based barrier paste and nystatin
Reflexive extension of the upper extremities toward the ground as if to break a fall when the infant is held upright and then rotated quickly forward as if falling
A 6-month-old infant is brought in by his parents for a routine well-check exam. Currently, they have no concerns. The child’s medical history is significant for a premature birth at 30 weeks after which there was some respiratory distress. His APGAR score was 6 after 5 minutes. Fortunately, the child seems to be developing normally thus far and is hitting all of his milestones. Considering his history, you are closely monitoring the patient’s developmental reflexes. Which of the following reflexes is expected to last beyond 1 year of age in a normally developing child?
AExtension and abduction of the arms with the palms open when there is a slight sudden drop of the infant’s head
BFlexion of the toes downward to “grasp” the finger when an examiner places a finger under the infant’s toes
CReflexive extension of the upper extremities toward the ground as if to break a fall when the infant is held upright and then rotated quickly forward as if falling
DTwitching of the hips toward the side of the stimulus when an examiner strokes or taps along the side of the spine with the infant in a prone position
Abdominal pain, constipation, and anorexia
**lead toxicity
A 5-year-old girl presents with her parent reporting increased distractibility with difficulty concentrating at school. Her teacher has also noticed a change in her behavior within the past few months, which has affected her grades. The family moved into an older home about 1 year ago, and her diet consists of highly processed foods. Her vital signs are a temperature of 97.9°F, blood pressure of 112/68 mm Hg, heart rate of 98 bpm, oxygen saturation of 98% on room air, and respiratory rate of 22/min. On physical exam, she appears distracted but does not have any other abnormal physical exam findings. Radiographs of the femurs show radiodensities throughout the bones. A complete blood count reveals a hemoglobin of 10.2 g/dL, a mean corpuscular volume of 72 fL, with small and pale red blood cells on a peripheral smear. Platelet count is 250,000/µL. Which of the following are other typical presenting signs and symptoms of this condition?
AAbdominal pain, constipation, and anorexia
BFever, easy bruising, and epistaxis
CGlossitis, loss of sensation in the feet, and hyperactive deep tendon reflexes
DJaundice, dark urine, and hepatosplenomegaly
scarlet fever
A 6-year-old boy presents to the pediatrician’s office with his parents reporting high fevers, sore throat, and lack of appetite for the last 3 days. They also report a rash that developed on his trunk the day after the fever began that has spread to his extremities. Vital signs include an HR of 90 bpm, BP of 95/65 mm Hg, T of 102.0°F, RR of 20/min, and SpO2 of 97% on room air. His physical exam reveals tender anterior cervical lymphadenopathy, erythematous tonsils with white exudates, erythematous tongue with white coating, and erythematous rough-feeling papules of the trunk and extremities. What is the most likely diagnosis of this patient?
AErythema infectiosum
BInfectious mononucleosis
CMeasles
DScarlet fever
Mitral valve prolapse
**anorexia nervosa
A 17-year-old girl presents to the office for her annual wellness exam. She is accompanied by her parent, and they report no concerns. She is the captain of her high school varsity cheerleading team, is involved with student government, and achieves high grades every semester. Vital signs include a heart rate of 54 bpm, blood pressure of 110/78 mm Hg, respiratory rate of 13/minute, oxygen saturation of 99% on room air, temperature of 97.6°F, and weight of 105 lbs. Her calculated BMI is 15.5 kg/m2. If left untreated, which of the following is a cardiac complication of the most likely diagnosis?
AHypertrophic cardiomyopathy
BMitral valve prolapse
CSinus tachycardia
DTorsade de pointes
Petechiae in mucous membranes
**vitamin C
A 12-year-old autistic boy presents to the office with his parent for evaluation for several concerns. His father states that for the last 2 months, he has been more irritable and has not shown interest in activities that he normally enjoys, such as reading and building legos. Recently, his diet has also changed. He has become pickier in the last 6 months and refuses to eat any fruits or vegetables. His mother has tried incorporating finely chopped vegetables within meals, but he picks the food apart and refuses to eat anything besides chicken nuggets. He has had more colds in the last few months and has mentioned pain in his knees and shoulders. Vital signs are a blood pressure of 108/70 mm Hg, heart rate of 88 bpm, respiratory rate of 18/min, temperature of 98.6°F, and oxygen saturation of 97% on room air. On physical exam, he has tenderness to both lower extremity femurs. What is another finding that you would expect with the given diagnosis?
AGait abnormality
BNight blindness
CPetechiae in mucous membranes
DRickets
Inhibits the reuptake of norepinephrine and dopamine
**ADHD
An 11-year-old girl presents with her parent to her pediatrician with concern for impulsive behavior and restlessness at school. Her mother reports the patient has had trouble remaining seated and blurts out answers without raising her hand in class. She notes her daughter has trouble waiting her turn and excessively talks. In-office examination reveals a cooperative girl without significant physical examination findings. She is prescribed first-line medication for her condition. Which of the following is the mechanism of action of the pharmacologic treatment for her suspected condition?
AInhibits the reuptake of both serotonin and norepinephrine
BInhibits the reuptake of norepinephrine and dopamine
CSelectively inhibits the reuptake of norepinephrine only
DSelectively inhibits the reuptake of serotonin
Supplement breastfeeding with cholecalciferol
**rickets
A 9-month-old boy presents to the clinic with his parents to establish care. He and his family recently emigrated from Ethiopia. He is breastfed and consumes a variety of solid foods at meal times. His vital signs are a blood pressure of 95/58 mm Hg, a heart rate of 108 bpm, a respiratory rate of 20 breaths per minute, an oxygen saturation of 98%, and a temperature of 98.8°F. Upon physical examination, auscultation of the heart reveals a regular rate and rhythm with no murmurs, gallops, or rubs. The lungs are clear to auscultation bilaterally. The abdomen is soft and nontender. A genital exam is within normal limits. Upon examination of the extremities, the wrists are noted to be widened bilaterally, and the distal radius and ulna appear to be bowed. The distal tibias are also noted to be bowed bilaterally. X-rays are obtained of the forearm and the lower limbs that reveal widening of the epiphyseal plate and evidence of osteopenia in the radius, ulna, tibia, and fibula bilaterally. Laboratory results reveal a total calcium level of 7.2 mg/dL, a phosphorus level of 2.2 mg/dL, a parathyroid hormone level of 70 pg/mL, an alkaline phosphatase level of 1,800 international units/L, and a 25-hydroxyvitamin D level of 10 ng/mL. Which prevention method for the condition described above would have been best for this patient?
AFormula feeding instead of breastfeeding
BIncrease calcium in diet
CIncrease phosphorus in diet
DSupplement breastfeeding with cholecalciferol
Scoliosis
**Marfan syndrome
A 16-year-old boy presents to the office for worsening back pain. He is very tall and thin, with long and thin fingers and arms, a caved-in chest, and a stooped posture. He has a first-degree relative who was diagnosed with Marfan syndrome. Which of the following is the most common skeletal deformity in patients with this condition?
AArachnodactyly
BDolichostenomelia
CPectus excavatum
DScoliosis
bilateral cochlear implants
**pediatric hearing loss
A 4-month-old boy was referred to the office to evaluate suspected hearing loss. His mother reports her pregnancy was uneventful, and he was delivered vaginally without issue at 39 weeks. He did not undergo neonatal auditory screening after delivery. Over the last few months, the child has been reaching all expected milestones, but his parent believes he does not always hear her. He was treated for suspected otitis media at a local urgent care. He received oral antibiotics and oral steroids but showed no improvement in his hearing difficulties. On physical exam, the auricle is soft and without tenderness when manipulated. Otoscopic exam reveals a light pink canal and tympanic membrane without granulation, retractions, effusions, or perforations. Otoacoustic emissions did not measure a return echo. Based on this patient’s history and physical exam, what is the best next step in management?
ABilateral cochlear implants
BIntratympanic injection of dexamethasone
CMastoidectomy with tympanoplasty
DMyringotomy with tympanostomy tube insertion
Pseudomonas aeruginosa
**bronchiectasis related to CF
A 9-year-old patient with a medical history of cystic fibrosis presents to the clinic accompanied by her parents. She has been experiencing a worsening productive cough over the past week and has also had some shortness of breath. Vital signs today include a heart rate of 100 bpm, blood pressure of 105/66 mm Hg, respiratory rate of 22/minute, oxygen saturation of 96% on room air, and a temperature of 98.6°F. Physical examination reveals a regular heart rate and rhythm, faint chest crackles and wheezing bilaterally, no retractions, and no signs of respiratory distress. A CT of the chest is performed and shown above. What pathogen is most likely to be isolated in her sputum culture?
AMycobacterium avium
BPeptostreptococcus anaerobius
CPseudomonas aeruginosa
DStreptococcus pneumoniae
History of recurrent otitis media
**cholesteatoma
A 10-year-old boy presents to the clinic for his annual well-child visit with his parent. She states the child has been doing well, and they have no concerns. His medical history is significant for prior tympanostomy tube placement. Vital signs today include a blood pressure of 108/76 mm Hg, heart rate of 88 bpm, respiratory rate of 16/minute, and temperature of 98.8°F. Physical examination is unremarkable except for an otoscopic assessment of the left ear, which reveals partial collapse of the tympanic membrane with a deep retraction pocket and white mass behind the tympanic membrane. Which of the following is a predisposing factor for the suspected diagnosis?
ABeing a member of the wrestling team
BHistory of recurrent otitis media
CRecent travel on an airplane
DSwimming daily in a pool
high-pitched holosystolic murmur at the apex with radiation to the axilla
**rheumatic heart disease mitral regurgitation
A 13-year-old patient with no significant medical history presents to the clinic for a routine physical. He and his parents recently immigrated from Kinshasa, Democratic Republic of Congo, and he needs to complete physical forms to enter public school. While reviewing his history, his parents note that he has had two episodes in the past of fever, joint pain, and chest pain that lasted several days and then self-resolved. He has also had multiple throat infections in the past that were never fully evaluated. Currently, though, he is asymptomatic other than occasional episodes of fatigue. Vital signs today include a heart rate of 98 bpm, blood pressure of 110/70 mm Hg, respiratory rate of 20/minute, oxygen saturation of 98% on room air, and a temperature of 98.6°F. Physical examination reveals a regular heart rate and rhythm and a murmur is noted. What type of murmur would likely be heard on auscultation in this patient?
AHarsh, machine-like continuous murmur at the left upper sternal border
BHigh-pitched holosystolic murmur at the apex with radiation to the axilla
CMusical, soft, vibratory low-pitched systolic murmur over the left lower sternal border and apex that changes with the patient’s position
DSystolic ejection murmur at the left upper sternal border with an audible click after S1
Azithromycin 150 mg orally on day 1 and 75 mg orally on days 2-5
**pertussis
A 3-year-old boy presents with his parent, who reports that the patient has had a severe cough for 3 weeks. He initially had a low-grade fever, sneezing, and a runny nose, but a cough developed and has been keeping him awake at night. His coughing spells can be so severe that they cause him to vomit. He is up to date on all of his vaccinations. On physical exam, his vital signs are a temperature of 98.9°F, heart rate of 118 bpm, oxygen saturation of 98% on room air, respiratory rate of 24/min, and BMI of 16.4 kg/m2. During the exam, the patient has a coughing spell that lasts for almost a minute, followed by a loud, high-pitched inspiration. Which of the following is the most appropriate clinical intervention?
AA single dose of dexamethasone given orally
BAntipyretic, oral rehydration, and cool mist humidifier therapy at home
CAzithromycin 150 mg orally on day 1 and 75 mg orally on days 2–5
DTrimethoprim-sulfamethoxazole 160–800 mg orally twice a day for 14 days
Psoriasis
A 12-year-old girl presents to the pediatrician with her parent who describes new lesions on the patient’s trunk and scalp that developed approximately 3 weeks ago. The parent states that the lesions are itchy but otherwise not bothersome to the patient. The parent reports no associated symptoms but does indicate that the girl had a sore throat that preceded the lesions. The patient has no significant medical history and does not take any medications. Vital signs include a heart rate of 89 bpm, blood pressure of 110/65 mm Hg, temperature of 98.6°F, and oxygen saturation of 99%. Physical exam reveals salmon pink colored papules dispersed over the trunk and erythematous plaques with silver scales along the hairline. What is the patient’s most likely diagnosis?
AAtopic dermatitis
BPityriasis rosea
CPsoriasis
DTinea corporis
oral amoxicillin
**acute otitis media
A parent brings their 4-year-old daughter to the pediatrician’s office for evaluation of ear pain. The parent notes the child has been pulling at her right ear for the last 24 hours and has been increasingly irritable and eating less than usual. The parent reports no known injury but states the patient had a cold last week and one similar episode in the past, around 6 months prior. The patient was born full-term via vaginal delivery without complications and is up to date on her vaccinations. Vital signs are a temperature of 100.6°F, heart rate of 116 bpm, blood pressure of 92/64 mm Hg, respiratory rate of 22 breaths/min, and oxygen saturation of 99% on room air. On a physical exam, the patient appears tearful but easily consolable. She is shy and does not answer questions. Inspection of her left ear and bilateral eyes is unremarkable. She has mild erythema and edema of her nasal turbinates and posterior pharynx. Otoscopic examination of her right ear reveals discomfort with insertion of the otoscope and an erythematous bulging tympanic membrane without rupture, foreign body, abrasions, or cerumen impaction. What is the treatment of choice for the most likely diagnosis?
AAntipyretics and analgesics
BOral amoxicillin
CReferral to ENT for tympanostomy tubes
DTopical ofloxacin drop
chronic glucocorticoid use
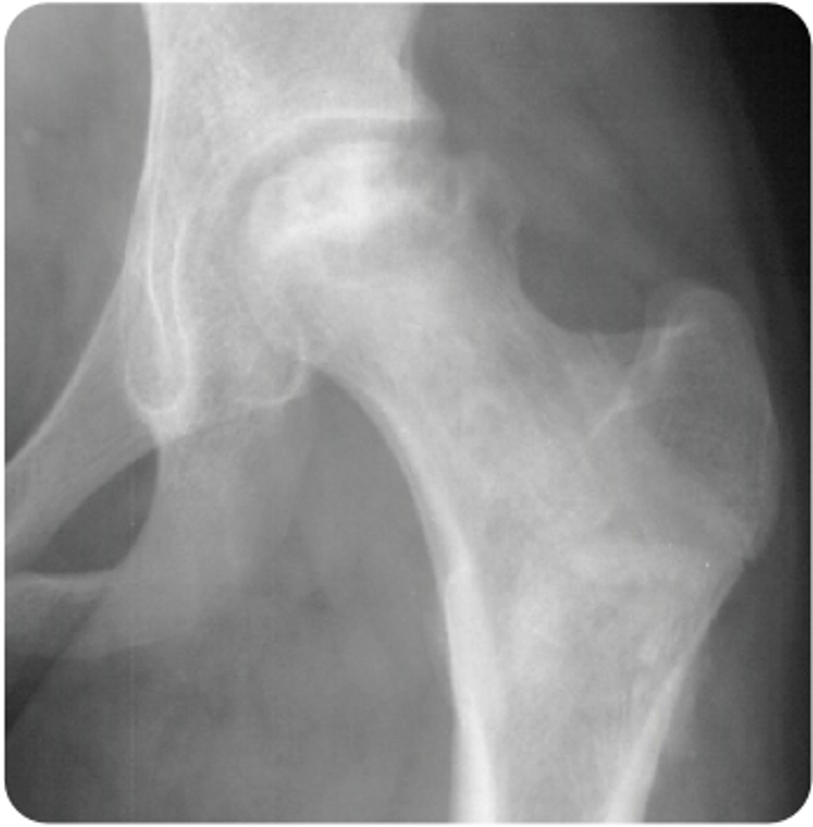
**avascular necrosis
A 17-year-old boy with a medical history significant for childhood leukemia that has been in remission for 2 years presents to the pediatrician’s office for evaluation of left hip pain. He describes the pain as constant, present at rest and at night, worse with activity, and radiating toward his groin. He states the symptoms have been ongoing for several weeks and have been steadily worsening. He is now having difficulty bearing weight on his left leg and walks with a limp. He has been taking over-the-counter ibuprofen with some relief but not a complete resolution of symptoms. He reports no specific injury or trauma, no associated fever or chills, and previous episodes of similar symptoms. He does not have radiating symptoms to his back, left knee, or right lower extremity. Vital signs are a temperature of 98.4°F, heart rate of 76 bpm, blood pressure of 116/74 mm Hg, respiratory rate of 12 breaths/min, and oxygen saturation of 99% on room air. On physical examination, he has pain with hip flexion past 90°, as well as painful and limited internal and external rotation when compared to the other side. Radiographs are shown above. What is the most likely etiology of his symptoms?
AChronic glucocorticoid use
BInfection
CObesity
DUntreated developmental dysplasia of the hip

Erythema multiforme
An 8-year-old girl presents to the clinic with her parent for concerns about a rash that started 2 days ago. The rash is located on the patient’s arms, hands, and legs and is not itchy or painful. She also has a rash on her lips, which her parent says started out as a cold sore a week ago. The girl’s vital signs are a blood pressure of 98/64 mm Hg, a heart rate of 96 bpm, a respiratory rate of 18/min, an oxygen saturation of 98%, and a temperature of 99.2°F. Upon physical examination of the skin, there are several erythematous lesions scattered over bilateral arms, hands, and legs. The lesions have a dusky central area surrounded by a pale ring of edema, with erythema on the periphery of the lesions. The lesions on the vermillion and mucosal surfaces of the lips appear similar. The heart exam is within normal limits, and the lungs are clear to auscultation. An ENT examination is unremarkable, and the rest of the physical examination is within normal limits. What is the name of the patient’s suspected condition?
AErythema marginatum
BErythema migrans
CErythema multiforme
DStevens-Johnson syndrome

Mebendazole
**Enterobiasis vermicularis (pinworms)
A 6-year-old girl presents to the clinic with her parents. They state that she has not been sleeping well for 2 days and is constantly crying and itching her perianal area. Her symptoms are worse at night. Physical exam reveals excoriations around the anus. Cellophane tape test is positive. Which of the following medications should be prescribed for the suspected diagnosis?
AIvermectin
BMebendazole
CMetronidazole
DPermethrin cream
child teething ring and systemic analgesia if needed
A 6-month-old infant with no significant medical history presents to the clinic with her parents who are concerned about the child’s increased irritability and drooling over the past several days. They also note a tactile fever, though when measured at home, it has remained under 100°F. They also note she has been constantly putting things in her mouth. Vital signs today include a heart rate of 125 bpm, respiratory rate of 35/minute, oxygen saturation of 100% on room air, and temperature of 99.1°F. Physical examination reveals a regular heart rate and rhythm, lungs clear to auscultation, a clear pharynx without lesions or erythema, slightly irritated gingiva with bilateral mandibular central incisors visible, bilateral translucent tympanic membranes without bulging or retraction, and nonenlarged lymph nodes bilaterally. The patient appears well-hydrated, calm, and content and is chewing on a baby toy. Which of the following is the most appropriate therapy for the suspected etiology of the patient’s symptoms?
AAmoxicillin 50 mg/kg per day orally for 10 days
BChilled teething ring and systemic analgesia if needed
COral benzocaine spray
DTopical lidocaine
keep the ear clean and dry, then follow up with otolaryngology
**TM perforation
A 4-year-old boy presents to the emergency department with his parents for left ear pain for 2 days. The parents state he is otherwise acting like himself, but they did find him playing with cotton swabs in the last week. He has no significant medical history. Vital signs include a blood pressure of 98/58 mm Hg, heart rate of 96 bpm, respiratory rate of 20/minute, oxygen saturation of 99% on room air, and temperature of 98.5°F. On physical examination, the child is well appearing and in no acute distress. The right external auditory canal is clear, with an intact tympanic membrane and no bulging or erythema. The left external auditory canal is clear, and there is a small tear in the tympanic membrane with mild erythema but no otorrhea. Bilaterally, there is no external erythema, swelling, or mastoid tenderness. What is the most appropriate management?
AAdminister amoxicillin oral twice daily for 10 days and recommend follow-up with the pediatrician
BAdminister polymyxin B-neomycin-hydrocortisone otic suspension four times daily for 1 week
CAdmit the child to the hospital and begin intravenous vancomycin and ceftriaxone
DKeep the ear clean and dry, then follow up with otolaryngology
Pain control and manual reduction of the foreskin
**paraphimosis
A 6-year-old boy presents to the office with penile discomfort. His father is present to give a detailed medical history. The child is uncircumcised and began having persistent penile sensitivity yesterday after bath time. He is able to void but reports it is sometimes difficult. On physical exam, the glans penis appears normal. The foreskin is retracted and slightly edematous. Which of the following clinical interventions is the best next step?
ADorsal penile slit incision
BEmergency circumcision
CGentle retraction of the foreskin
DPain control and manual reduction of the foreskin
suicidal ideation
An 18-year-old girl presents to the office for a psychiatric follow-up. She began cognitive behavioral therapy 2 months ago but reports no significant improvement in her symptoms. She feels depressed most days of the week with little desire to attend her volleyball practices or practice piano. She has difficulty falling asleep and frequently wakes during the night. She reports no suicidal thoughts but says she often feels “worthless.” Fluoxetine 10 mg is prescribed. Which of the following side effects should be discussed with the patient and her family prior to initiating this medication?
ACardiac toxicity
BPanic attacks
CSuicidal ideation
DXerostomia
open surgical repair
**volvulus
A 1-month-old boy presents with his parents to the emergency department for evaluation of bilious vomit. His parents state that he has been crying and has been inconsolable since this morning. He began to have this type of vomit 2 hours ago. His parents report he has not had a bowel movement today. Vital signs are a blood pressure of 80/45 mm Hg, heart rate of 150 bpm, respiratory rate of 40/min, temperature of 99.2°F, and oxygen saturation of 100% on room air. On physical exam, his abdomen appears swollen and is tender to palpation. An upper GI series is obtained, and the results are shown above. What is the appropriate treatment option for this patient?
ABarium enema
BDuodenoduodenostomy
COpen surgical repair
DPyloromyotomy

decreased internal rotation of the affected hip
**Legg-Calve-Perthes disease
Which of the following physical examination findings is most likely in a 5-year-old child presenting with Legg-Calvé-Perthes disease?
ADecreased internal rotation of the affected hip
BInability to bend forward at the waist
CLeg length discrepancy with a shorter affected side
DPseudoparalysis of the affected lower extremity
Preseptal cellulitis (periorbital cellulitis)
A 3-year-old boy without a significant medical history presents with his parent to his pediatrician with concern for left eyelid swelling, redness, and pain for the past 2 days. His parent reports he has had a viral upper respiratory infection over the past 5 days. Vital signs today include a heart rate of 88 bpm, blood pressure of 100/60 mm Hg, respiratory rate of 20/minute, oxygen saturation of 100% on room air, and temperature of 99.9°F. Physical examination reveals unilateral left eyelid swelling with associated warmth and erythema. There is no evidence of proptosis, pain with eye movement, or conjunctival injection. His extraocular eye movements are intact. What is the most likely diagnosis?
ABlepharitis
BHordeolum
COrbital cellulitis
DPreseptal cellulitis
Sensorineural hearing loss
**rubella congenital infection
A 2-day-old boy who was born yesterday at 39 weeks gestational age by a spontaneous vaginal delivery is admitted to the hospital after birth. His mother had an illness during the first trimester of pregnancy that caused a fever, lymphadenopathy, and a rash that started on the face and then spread to the trunk and extremities. The rash lasted about 3 days. The patient’s vital signs include a BP of 80/40 mm Hg, HR of 160 bpm, RR of 40/min, T of 98.6°F, and SpO2 of 99% on room air. Physical examination reveals a systolic heart murmur and cloudy cornea. Which of the following additional findings is most likely in this patient?
AChorioretinitis, hydrocephalus, and intracranial calcifications
BOval, coppery-brown lesions on the buttock, posterior thighs, and soles
CSensorineural hearing loss
DVesicular lesions on an erythematous base on the neck
palpable right upper quadrant mass
**pyloric stenosis
A 3-week-old boy is brought to the clinic with concerns of weight loss and postprandial vomiting. Which of the following indicates an anatomic obstruction of the gastric outlet?
ABilious emesis
BBloody stools
CChronic cough
DPalpable right upper quadrant mass
Dexamethasone and nebulizer epinephrine
**croup
A 2-year-old boy presents to the clinic with a barking cough and voice hoarseness. On exam, an inspiratory stridor is heard at rest and the patient has retractions. Vital signs are T 99.6°F, HR 110 beats per minute, BP 116/76 mm Hg, RR 16 breaths per minute, and oxygen saturation is 94% on room air. Which of the following is the recommended treatment?
AAmoxicillin and dexamethasone
BDexamethasone
CDexamethasone and nebulized epinephrine
DNebulized epinephrine
viral conjunctivitis
A 6-year-old boy presents to the clinic with bilateral eye redness and eye irritation. The redness started in the right eye 3 days ago and then started in the left eye yesterday. The patient has had morning crusting and profuse watery discharge from his eyes but no purulent discharge. He has a medical history of asthma, for which he is treated with albuterol. Vital signs include a BP of 100/60 mm Hg, HR of 92 bpm, RR of 20/min, T of 98.6°F, and SpO2 of 99% on room air. Physical examination reveals conjunctival injection bilaterally without corneal opacities or periorbital erythema. The patient does not seem to have any ocular light sensitivity. Preauricular lymphadenopathy is noted on the right side. Which of the following is the most likely diagnosis?
AAllergic conjunctivitis
BBacterial conjunctivitis
CBacterial keratitis
DViral conjunctivitis
administer one dose of inactivated influenza vaccine followed by a booster in 4 weeks
A 12-month-old girl presents to the clinic with her parent for her 1-year well-child visit in August. The parent reports the child is doing well, and they have no concerns. She has no significant medical history and no known allergies. Vital signs today include a heart rate of 110 beats per minute, respiratory rate of 25/minute, and temperature of 98.4°F. The child is well appearing, and physical examination is unremarkable. The parent is wondering if the child is eligible to receive the influenza vaccine when she gets her 12-month immunizations today. What is the most appropriate recommendation for influenza vaccine administration for this child?
AAdminister one dose of inactivated influenza vaccine followed by a booster in 4 weeks
BAdminister one dose of inactivated influenza vaccine, no booster is required
CAdminister one dose of live influenza vaccine followed by a booster in 4 weeks
DAdminister one dose of live influenza vaccine, no booster is required
outward movement of the right eye with the left eye covered
**strabismus
An 18-month-old boy is brought to the clinic for evaluation of a “lazy eye.” Which of the following test results indicates esotropia of the right eye?
AInward movement of the left eye with the right eye covered
BInward movement of the right eye with the left eye covered
COutward movement of the left eye with the right eye covered
DOutward movement of the right eye with the left eye covered
flow of oxygenated blood from the left atrium to the right atrium
**atrial septal defect
A 6-month-old boy presents to the clinic for a well-child examination. His parent states he seems to be doing well and has no concerns. Vital signs include a blood pressure of 85/55 mm Hg, HR of 128 bpm, RR of 36/min, T of 98.6°F, and SpO2 of 99% on room air. On physical examination, the patient appears well nourished, and his lungs are clear to auscultation bilaterally. He has a midsystolic murmur that is heard best at the left upper sternal border, and the second heart sound is fixed and split. Which of the following explains the abnormal blood flow present postnatally in this condition?
AFlow of deoxygenated blood from the right atrium to the left atrium
BFlow of oxygenated blood from the aorta to the pulmonary arteries
CFlow of oxygenated blood from the left atrium to the right atrium
DFlow of oxygenated blood from the left ventricle to the right ventricle
Needle aspiration
**auricular hematomas
A 15-year-old boy presents to the emergency department with right ear pain that started just prior to arrival. The patient reports he was slammed to the ground while wrestling and landed on his right ear. Vital signs include a BP of 120/80 mm Hg, HR of 80 bpm, RR of 20/min, T of 98.6°F, and SpO2 of 99% on room air. Physical examination reveals a regular rate and rhythm, and lungs are clear to auscultation. The right ear has a tender and fluctuant 1.5 cm nodule in the scaphoid fossa of his right ear. Which of the following is the recommended treatment?
AIncision and drainage
BLevofloxacin without drainage
CNeedle aspiration
DReferral to surgical subspecialty for debridement
Prescribe an as-needed low-dose inhaled corticosteroid
A 13-year-old boy presents to the clinic with his parents for follow-up of recurrent cough and wheezing. The parents state that the patient is currently getting over a cold. They say his sister had the same initial upper respiratory symptoms as the patient, and her symptoms fully resolved within 3 days. However, they note that the patient is still coughing after 8 days. The parents say his coughing and wheezing are recurrent and often brought on by exercise or cold air. He also has occasional nighttime coughing that is worse in the spring. Today, his vital signs include a heart rate of 92 bpm, blood pressure of 105/66 mm Hg, respiratory rate of 22/min, oxygen saturation of 97% on room air, and temperature of 98.6°F. Physical examination reveals a regular rate and rhythm, faint scattered wheezes bilaterally, no retractions, and no signs of respiratory distress. Occasionally, he uses his sister's albuterol inhaler, and his parents report that this helps. What is the best next step, based on the Global Initiative for Asthma recommendations?
APrescribe a 5-day course of azithromycin
BPrescribe an as-needed low-dose inhaled corticosteroid
CReassure the parents that the symptoms should resolve on their own
DRecommend daily dosing with an albuterol inhaler
ERefer the child to a pulmonologist
radial head subluxation
**nursemaid's elbow
A 4-year-old girl with no significant medical history presents with her parent to the urgent care for evaluation of acute right elbow pain that has been ongoing for 30 minutes. Her parents state they were twirling her around by her arms when she yelped and cradled her right elbow toward her. She has refused to use her arm since the injury. She was born via full-term vaginal delivery and is up to date on her childhood immunizations. Vital signs are a temperature of 98.0°F, heart rate of 100 bpm, blood pressure of 98/68 mm Hg, respiratory rate of 26 breaths/min, and oxygen saturation of 98% on room air. On physical examination, she is tearful and guarding her right upper extremity. The clinician performs a successful procedure that involves direct pressure over the radial head with the elbow at 90° of flexion while supinating the forearm with alleviation of symptoms. Postprocedure, the patient is able to fully move her upper extremity and resumes using her right arm. What is the most likely cause of the suspected injury?
AFracture of the radial head
BPosterior elbow dislocation
CRadial head subluxation
DSupracondylar fracture
rash
**erythema marginatum
A 13-year-old girl presents to your clinic with recurrent fever and joint pain. She was seen 3 weeks ago with a sore throat. Her medical history is significant for asthma, which is controlled with the occasional use of her albuterol inhaler. She has no other significant medical history and reports no other medications. She is resting comfortably on the exam table. Her vital signs in the clinic today are a T of 101.9°F, BP of 128/80 mm Hg, HR of 95 bpm, RR of 22/minute, and SpO2 of 98% on room air. On physical exam, you note several discrete erythematous macules with central clearing and irregular borders on her abdomen. Her joints are nontender and nonerythematous on exam, but she notes her hips hurt today, while her shoulders hurt yesterday. Which of the following signs or symptoms is a major criterion for her diagnosis?
AFever
BJoint pain
CRash
DRecent sore throat
total iron-binding capacity of 470 ug/dL
**iron deficiency anemia
A 14-year-old girl presents to the clinic due to increasing fatigue for 3 weeks. She is concerned because she experiences shortness of breath while playing soccer. She has no significant medical history, but she states that she has been following a strict vegan diet for 1 year. Vital signs are a T of 98.6°F, BP of 116/82 mm Hg, HR of 62 bpm, RR of 13 breaths/min, and SpO2 of 99% on room air. Physical exam reveals pallor and pale conjunctiva. An electrocardiogram was completed and is shown above. Which of the following lab values are consistent with the presumed diagnosis?
AD-dimer of 600 ng/mL
BFerritin of 75 µg/L
CRed blood cell distribution width of 7%
DTotal iron-binding capacity of 470 µg/dL

premature birth at 28 weeks and 4 days gestational age
**RSV
A 4-month-old girl presents to the clinic during November for her 4-month well-child visit. Vital signs include a BP of 70/50 mm Hg, HR of 130 bpm, RR of 32/min, T of 98.6°F, and SpO2 of 99% on room air. Physical examination reveals a well-appearing infant with lungs clear to auscultation. Which of the following is an indication to administer immunoprophylaxis against the most common cause of bronchiolitis in this age group?
AExposure to secondhand smoke from parents at home
BFamily history of asthma
CHemodynamically stable congenital heart disease requiring no surgical treatment
DPremature birth at 28 weeks and 4 days gestational age
Exposure of traumatized skin to aquarium water
**mycobacterium marine
A 17-year-old patient with no significant medical history presents to the clinic requesting a physical exam and tuberculosis test required by a prospective employer. Her tuberculosis questionnaire is reviewed, and she is found to have no risk factors for tuberculosis. She has lived her whole life in the United States and has no history of recent travel. She has been working at a pet store after school each day, and now plans to work at a children’s nature camp over the summer. A review of symptoms is negative for any respiratory symptoms, fever, or night sweats. She does note that she has had a raised lesion on her right index finger for approximately 3 weeks. Since it has not caused her any pain, she has mostly ignored it, but she does have an appointment scheduled with her dermatologist later this week to have it evaluated. Vital signs include a heart rate of 86 bpm, blood pressure of 118/74 mm Hg, respiratory rate of 20/minute, oxygen saturation of 99% on room air, and temperature of 98.6°F. Physical exam reveals a nontender nodule on the dorsal right index finger. There is no streaking or lymph node involvement. Otherwise, the exam is unremarkable. However, 2 days later the patient returns for follow-up of the tuberculin skin testing, and it is found to be positive. A chest X-ray is normal. What type of exposure most likely caused this?
ACat scratch
BExposure of traumatized skin to aquarium water
CInhalation of airborne particles
DSand fly bite
watchful waiting
**otitis media with effusion
A 2-year-old boy presents to the clinic with his parents, who report that they have been needing to speak loudly for their son to respond. This has been going on ever since the boy developed an ear infection of his right ear 1 month ago. He was treated at the time with amoxicillin for 10 days. The child no longer experiences pain in his ears. Examination of his right ear reveals an air-fluid level behind the tympanic membrane and impaired mobility of the tympanic membrane upon pneumatic otoscopy. There is also a loss of light reflex. What is the most appropriate intervention to offer this patient?
AAmoxicillin-clavulanate oral solution
BPrednisolone oral solution
CTympanostomy tubes
DWatchful waiting
E. coli
A 5-year-old girl is brought to the clinic by her parent for pain with urination for the past 2 days. The parent notes that the patient has been urinating several times per day, and each time, she reports pain in the genital region. The patient is not experiencing constipation currently, and per her parent, her appetite and demeanor have been normal. Her vital signs are a blood pressure of 96/56 mm Hg, a heart rate of 105 bpm, a respiratory rate of 18 breaths per minute, an oxygen saturation of 99%, and a temperature of 99.4°F. Upon physical examination, her lungs are clear to auscultation and a cardiac exam is within normal limits. Her abdomen is soft with mild tenderness in the suprapubic region. A genital examination reveals no redness, erythema, or vaginal discharge. A urinalysis is obtained and reveals large leukocytes and positive nitrites. The remainder of the urinalysis is within normal limits. Which pathogen is most likely causing this patient’s symptoms?
AEscherichia coli
BProteus mirabilis
CPseudomonas aeruginosa
DStaphylococcus saprophyticus
cervical venous hum
A 7-year-old boy presents to the clinic for a well-child visit. His parent reports that he is active and plays several sports. Vital signs include a BP of 100/70 mm Hg, HR of 100 bpm, RR of 20/min, T of 98.6°F, and SpO2 of 99% on room air. On physical examination, you note a continuous murmur when the patient is sitting up that is best heard in the right supraclavicular area. The murmur resolves when the patient is lying supine or turning his head or if you apply pressure with the diaphragm. The patient has no peripheral edema and has 2+ pulses in the extremities. Which of the following is the most likely cause of the murmur?
AAortic stenosis
BCervical venous hum
CInnocent Still murmur
DPatent ductus arteriosus
Reassure parents that the lesion will resolve in the next 1-2 years
**congenital dermal melanocytosis
A 3-day-old male infant is brought to the clinic by his parents for a newborn exam. He was born via spontaneous vaginal delivery at 38 weeks and 5 days with no complications. His weight at birth was 7 lbs 8 oz. He is exclusively breastfed every 2–3 hours and is having regular wet and soiled diapers. His vital signs are a blood pressure of 66/44 mm Hg, a heart rate of 121 bpm, a respiratory rate of 30/min, an oxygen saturation of 96%, and a temperature of 98.4°F. His weight is 7 lbs 3 oz. Upon physical examination, his heart has a regular rate and rhythm with no murmurs, his lungs are clear to auscultation, and his abdomen is soft and nontender. An ENT exam is within normal limits. Upon examination of the patient’s spine, a 10 cm blue-gray pigmented patch with irregular borders is noted over the sacrum. The remainder of the physical exam is within normal limits. What is the best next step in the management of this patient’s condition?
AContact child protective services
BEducate parents that the lesion is at increased risk for melanoma
CReassure parents that the lesion will resolve in the next 1–2 years
DRefer to dermatology
observation and repeat ultrasound in four weeks
**developmental dysplasia of the hip
A 4-week-old girl presents to the office for a well-infant visit. She was born full-term by cesarean section due to breech positioning. It was her mother’s first pregnancy. Her parents report no problems with the pregnancy. On physical examination, she is moving all four extremities. Her leg lengths appear equal and her thigh creases are symmetric. Hip range of motion is equal, and she has clicking with motion of the left hip. Ultrasonography of the hips shows a normal-appearing hip on the right and mild dysplasia on the left with less than 50% coverage of the femoral head by the acetabulum. There is no subluxation of either hip with stress maneuvers. Which of the following is the most appropriate intervention?
AApplication of a Pavlik harness
BObservation and repeat ultrasound in four weeks
CObtain X-rays of the pelvis
DTriple diapering
methimazole
A 13-year-old girl presents to the clinic with her parents, who noticed a lump on the girl’s neck. She has a history of type 1 diabetes that is well controlled on basal and bolus insulin. She has lost 5 lbs over the past month and often feels warm despite the winter season. She also has been experiencing more anxiety recently, but she attributes it to worries about getting good grades. Vital signs include an HR of 95 bpm, BP of 100/60 mm Hg, T of 99.3°F, RR of 20/min, SpO2 of 97% on room air, and BMI of 22.0 kg/m2. Her physical exam reveals mild proptosis, thyroid goiter, hyperactive deep tendon reflexes, normal cardiac exam without murmurs, and lungs clear to auscultation. Laboratory findings reveal a thyroid-stimulating hormone of 0.01 µU/mL, free T4 of 3.5 pmol/L, HbA1C of 6.6%, and elevated thyroid-stimulating immunoglobulin of 1.10 IU/L. Which of the following is the best initial therapy of choice to manage her condition?
AMethimazole
BPropranolol
CPropylthiouracil
DRadioactive iodine
it affects infants and children younger than 2 years of age
A 2-year-old boy presents with his parent, who reports the patient has had a runny nose, persistent wet-sounding cough, and wheezing for the past 4 days that has not improved. On physical exam, temperature is 101.7°F, heart rate is 156 bpm, oxygen saturation is 98% on room air, and respiratory rate is 40/min. He also has nasal flaring, mild retractions, and diffuse fine rales in all lung fields on auscultation. He attends day care during the week, and several other children have had similar symptoms. His chest radiograph is unremarkable. A nasal secretion sample is taken and a rapid test is performed. Which of the following epidemiological findings are associated with the suspected diagnosis?
ABordetella pertussis is the most common cause
BChildren who are breastfed have more severe disease
CIt affects infants and children younger than 2 years of age
DThe peak incidence is in the spring and summer
Acetaminophen and warm compresses
**mumps
A 6-year-old boy presents to the clinic with facial swelling for the past day. He had fever, headache, and generalized malaise for 2 days prior to the development of the facial swelling. The patient has a history of asthma and has not had any childhood vaccinations. Vital signs include a BP of 100/65 mm Hg, HR of 125 bpm, RR of 22/min, T of 102.1°F, and SpO2 of 99% on room air. Physical examination reveals bilateral facial swelling and tenderness in the preauricular area that obscures the angle of the mandible. He has a tachycardic heart rate and regular rhythm and lungs that are clear to auscultation. Oropharyngeal exam reveals mild erythema without tonsillar exudate. What is the recommended treatment for the suspected condition?
AAcetaminophen and warm compresses
BAcyclovir
CAmoxicillin
DAzithromycin
atopic triad
A 7-year-old girl presents with a 3-day history of bilateral itchy, watery eyes with increased tearing and irritation. Vital signs are a temperature of 98.3°F, heart rate of 102 bpm, oxygen saturation of 99% on room air, and respiratory rate of 22/min. On physical exam, there is mild conjunctival injection bilaterally. The tissue around the eyes is slightly edematous and appears darker in color. There is clear rhinorrhea on examination of the nose, without evidence of nasal polyps. She has mild inspiratory wheezing but no rales or crackles. She has dry skin to the upper and lower extremities with thickening of the skin of the flexor surfaces of the bilateral arms. Which of the following is the triad of allergic rhinitis, asthma, and eczema historically called?
AAtopic triad
BCharot triad
CSamter triad
DWhipple triad
rectal biopsy
**Hirschsprung disease
A 3-year-old boy presents to the pediatrician’s office for follow-up evaluation of constipation. His parents report significant constipation since infancy. He was born full-term via a normal spontaneous vaginal delivery at a local hospital and did not pass meconium until 72 hours after birth. When he does have a bowel movement, his stools are typically “ribbon-like.” He gets sufficient fiber and fluid in his diet. He completed a trial of a cow’s milk-limited diet without any change in stools. Glycerin suppositories are given as needed and are becoming more frequent. His medical history is pertinent for Down syndrome. His medication list additionally includes over-the-counter laxatives on an as-needed basis. There is no abdominal pain, steatorrhea, cough, frequent infections, or failure to thrive. Vital signs demonstrate a BP of 82/56 mm Hg, HR of 128 bpm, RR of 26 breaths/minute, T of 98.9°F, and SpO2 of 100%. On physical examination, there are no nasal polyps, and the lungs are clear to auscultation. The abdomen is mildly distended. A digital rectal examination is performed and results in a dramatic ejection of liquid stool. What is the gold standard test for his suspected condition?
AContrast enema
BRadiopaque marker study
CRectal biopsy
DSweat chloride test
radio frequency catheter ablation
A 16-year-old, otherwise healthy, girl presents to the office with recurrent episodes of palpitations, dizziness, and near syncope that last about one to two minutes. She was referred to a cardiologist, who diagnosed her with paroxysmal supraventricular tachycardia. Her cardiac workup shows no other underlying structural abnormalities. Which of the following therapies is the most effective long-term?
AAdenosine
BAtenolol
CRadiofrequency catheter ablation
DSynchronized cardioversion under sedation
Emollients and topical keratolytics
**keratosis pilaris
A 12-year-old girl presents to the clinic with her parent with concerns of bumps on her arms. The girl’s parent noticed the bumps 1 week ago. The patient states that the bumps are not painful or itchy. The parent says they have not been using any new soaps or detergents in the house recently. The patient’s vital signs are a blood pressure of 100/60 mm Hg, a heart rate of 97 bpm, a respiratory rate of 16/min, an oxygen saturation of 95%, and a temperature of 98.6°F. Upon physical examination, tiny papules are noted scattered on the extensor surfaces of bilateral proximal arms with surrounding erythema. The skin is dry and warm to the touch. The heart examination is within normal limits, and the lungs are clear to auscultation. The remainder of the physical examination is within normal limits. What is the preferred treatment for this patient’s suspected condition?
AEmollients and topical keratolytics
BOral cephalexin
CTopical mupirocin
DTopical triamcinolone
Roseola infantum
A 12-month-old girl presents to the clinic with a rash that began on the trunk and spread to the face and proximal extremities. Her mother states she had a fever for three days, which abruptly resolved and then the rash developed. Her mother states she has not had any other symptoms. Which of the following is the most likely diagnosis?
AErythema infectiosum
BRoseola infantum
CRubella
DScarlet fever
Less intensity with sitting
**innocent murmurs
A 4-year-old girl presents for her regular well-child exam. Her parents report she is eating and drinking normally, is very active and social, and is doing well in preschool. She is meeting her developmental milestones and has no chronic health issues. Vital signs are a heart rate of 99 bpm, blood pressure of 98/57 mm Hg, temperature of 98.7°F, and oxygen saturation of 99%. Physical examination reveals a short, systolic cardiac murmur, grade 2 in intensity, with a musical quality. Which of the additional physical exam findings would you expect to find, considering the most likely diagnosis?
ALess intensity when supine
BLess intensity with sitting
CMore intensity while upright
DMore intensity with Valsalva
refer to pulmonology for a sweat chloride test
**CF
A 6-year-old boy presents with 5 days of coughing, sinus congestion, and foul-smelling stools. His parent reports thick, green-colored sputum. This is the third time he has presented to you with similar symptoms in the past 12 months, and his parent reports that he “always” gets these sinus infections that have been treated in the past with azithromycin. His blood pressure today is 129/76 mm Hg, heart rate is 99 beats per minute, respiratory rate is 32/minute, temperature is 102.1°F, and oxygen saturation is 95% on room air. On physical exam, you note small nasal polyps in bilateral nostrils and crackles in the apices of both lungs. What is the best next step, given the most likely diagnosis?
APrescribe a short course of prednisone
BPrescribe inhaled hypertonic saline
CRefer to pulmonology for a sweat chloride test
DStart suppressive antibiotic therapy with azithromycin
Polyethylene glycol
A 4-year-old girl presents to the office with her parent for evaluation of constipation for 3 months. The patient’s parent states that she has one bowel movement every 4 days and that the stool obstructs the toilet due to its large size. The patient states that it often hurts to have a bowel movement. As per the patient’s parent, the child is not a picky eater, drinks water throughout the day, and consumes a well-balanced diet with fruits, vegetables, and proteins. The patient’s parents have increased her water consumption throughout the day to try and combat this new issue of constipation. Vital signs are a blood pressure of 104/72 mm Hg, heart rate of 74 bpm, respiratory rate of 20/min, temperature of 98.6°F, and oxygen saturation of 99% on room air. The patient’s abdomen is flat, soft, nondistended, and nontender to light or deep palpation. On auscultation, hypoactive bowel sounds are present. What is the next appropriate step in management?
AAbdominal X-ray
BBarium enema
CPolyethylene glycol
DSenna
coughing
**foreign body aspiration
A 3-year-old previously healthy girl is brought to the urgent care center after a sudden-onset choking episode during mealtime that resulted in apparent difficulty breathing. Upon presentation, the patient is able to speak in short phrases, which is decreased from her normal per her parents. Vital signs include an HR of 128 bpm, RR of 33/min, BP of 90/50 mm Hg, T of 97.6 °F, and SpO2 of 95% on room air. Which of the following is most likely found on physical examination?
ACoughing
BCyanosis of the lips
CGlobal wheezing
DVomiting
asthma exacerbation
A 12-year-old boy presents to his pediatrician with shortness of breath and wheezing for the past 24 hours. He is with his parent, who reports the patient’s brother is sick with a viral upper respiratory infection. Vital signs today include a heart rate of 110 bpm, respiratory rate of 26/min, oxygen saturation of 97%, and temperature of 98.8°F. Physical examination reveals tachycardia with a regular rhythm, tachypnea, and wheezing. Which of the following is the most likely diagnosis?
AAllergic rhinitis
BAsthma exacerbation
CPneumonia
DPneumothorax
bone age X-ray
A 14-year-old boy is brought into the clinic by his parents for concerns about his height. His parents state that all of the boys his age are significantly taller than him, and they thought that he would have had a growth spurt by now. Per the patient, he eats regular meals, and his parents confirm that he has a good appetite. When asked about parental height, the mother states that she is 64 in tall and the father states he is 71 in tall. His vital signs are a height of 58 in, a weight of 85 lbs, blood pressure of 110/74 mm Hg, a heart rate of 68 bpm, a respiratory rate of 14 breaths per minute, an oxygen saturation of 98%, and a temperature of 97.8°F. A physical examination reveals lungs clear to auscultation and a cardiac exam that is within normal limits. The abdomen is soft and nontender, and bowel sounds are noted in all four quadrants. A genital examination reveals a Tanner stage of 1. An ENT examination is unremarkable, and the remainder of the physical examination is within normal limits. What is the best next step in the management of this patient’s suspected condition?
ABone age X-ray
BObservation for spontaneous growth
CRecombinant human growth hormone
DScreen for celiac disease
relapsing-remitting pain episodes
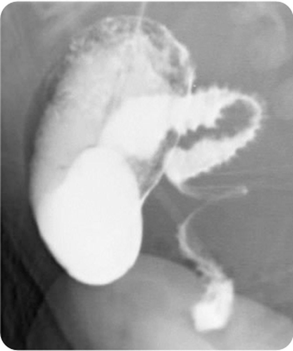
**intussusception
An 18-month-old boy presents to the emergency department with his parents for what they believe to be abdominal pain for the past 2 hours. The patient has been experiencing episodes of inconsolable crying that last around 15 minutes. During these times, the patient draws his legs up to his abdomen and cries. Between crying episodes, the patient appears lethargic. He also vomited twice in the car on the way to the hospital. Of note, the patient’s father was ill 3 days ago with vomiting and diarrhea. The patient’s vital signs are a blood pressure of 100/60 mm Hg, a heart rate of 110 bpm, a respiratory rate of 18 breaths per minute, an oxygen saturation of 96%, and a temperature of 100.6°F. Upon physical examination, the lungs are clear to auscultation and a cardiac exam reveals a regular rate and rhythm with no murmurs, gallops, or rubs. An ENT examination is within normal limits. Upon abdominal examination, a sausage-shaped mass is palpable in the right upper quadrant. A genital examination reveals grossly bloody stool in the diaper. An abdominal ultrasound is obtained and is shown above. Which history, clinical manifestation, or exam finding is most likely associated with the suspected diagnosis?
AFamily history of gastroenteritis
BFever
CLethargy
DRelapsing-remitting pain episodes

Irritant contact dermatitis
A 9-month-old girl presents with her parents who have concerns about a rash that they noticed yesterday. The rash is in the genital area and was noticed while changing her diaper. A history reveals that the rash began after they were traveling, and they note that her diaper was not changed as often as usual during the long hours in the car. Vital signs are within normal limits, and the patient is eating and drinking normally. She has had no change in diet or behavior. A physical exam reveals no skin abnormalities except for the genital area. There is a rash that is scaling and erythematous, located in the perineal area, and spares the inguinal folds. There are no skin erosions, weeping, or crusting lesions noted. What is the most likely diagnosis?
AAllergic contact dermatitis
BAtopic dermatitis
CCandidal infection
DIrritant contact dermatitis
bulging tympanic membrane
A 2-year-old girl presents to the clinic with right ear pain for the past three days. Her temperature is 101.4°F, her pulse is 120 beats per minute, and her respirations are 20 per minute. On exam, her right tympanic membrane is erythematous. Which of the following additional physical exam findings would be consistent with a diagnosis of acute otitis media?
ABulging tympanic membrane
BErythematous external auditory canal
CMiddle ear effusion
DPosterior auricular lymph node enlargement
Nausea and vomiting
**testicular torsion
An 11-year-old boy presents to the emergency department reporting waking up this morning with severe pain over his left groin for the past 2 hours. He mentions that he was in karate class the day prior and might have overexerted himself practicing new moves. The physical exam findings reveal a swollen, tender, erythematous, and high-riding left scrotum. The cremasteric reflex is absent, and a bell-clapper deformity over the left scrotum is observed. A Doppler ultrasound of the scrotum is performed and shows decreased testicular perfusion to the left scrotum. What clinical manifestations may be seen that are consistent with his most likely diagnosis?
ADysuria
BFever
CNausea and vomiting
DScrotal pain relieved by recumbency
avoid sharing towels or washcloths with others
**molluscum contagiosum
A 4-year-old boy presents to the clinic by his parent for concerns of bumps on his legs and buttocks. The parent noticed them 4 days ago, and they do not appear to be bothering the patient. His vital signs are a blood pressure of 96/58 mm Hg, a heart rate of 98 bpm, a respiratory rate of 18/min, an oxygen saturation of 99%, and a temperature of 98.4°F. Upon physical examination, seven to eight small, flesh-colored papules with umbilicated centers are noted around the buttocks and bilateral proximal posterior thighs of the patient. A cardiac examination is within normal limits, and the lungs are clear to auscultation bilaterally. The remainder of the physical examination is within normal limits. What recommendations should be given to prevent the spread of this patient’s condition?
AAvoid contact sports
BAvoid public swimming pools
CAvoid sharing towels or washcloths with others
DAvoid wearing open-toed shoes
dry air
A 4-year-old girl presents to the emergency department following a nosebleed episode. Her parents state this is her second nosebleed this summer, and both have been unprovoked. The patient has no significant medical or surgical history. She is not taking any medications, and she is not up to date on her immunizations. Her BP is 108/62 mm Hg, HR is 114 bpm, SpO2 is 100% on room air, and T is 98.7°F. The child appears comfortable in her parent’s lap, and the bleeding appears to have resolved spontaneously. Which of the following is the most likely etiology of this patient’s nosebleed?
ADry air
BHypertension
CPyogenic granuloma
DVon Willebrand disease
Prominent Q waves in leads V1 and V2
**hypertrophic obstructive cardiomyopathy
A 15-year-old high school basketball player presents after a syncopal episode during practice. He states he often gets chest pain and shortness of breath during practice, but this was the first time he has ever lost consciousness. His coach states he was unconscious for no longer than a few seconds. He has no significant medical or surgical history. He takes a multivitamin every morning and the occasional ibuprofen. He reports no drug use. His family medical history is significant for a maternal uncle who died suddenly at age 19 after a swim practice. His vital signs are a BP of 122/88 mm Hg, HR of 118 bpm, SpO2 of 98% on room air, RR of 24/minute, and T of 99.5°F. On cardiovascular exam, you hear a blowing systolic murmur most prominent at the left sternal border. The murmur increases in intensity after having the patient stand after squatting. Which of the following findings are you likely to find on his ECG?
ADownsloping ST elevation in leads V1–V3
BProminent Q waves in leads V1 and V2
CT wave inversion in V1 and V2
DWidespread ST elevation
Heel stick serum T4 and thyroid-stimulating hormone concentration
**primary congenital hypothyroidism
Which of the following is the most appropriate method of diagnosis of primary congenital hypothyroidism in a newborn?
AClinical presentation of hypothermia, hypotonia, and myxedema
BClinical presentation of lethargy, umbilical hernia, and poor feeding
CHeel stick serum T4 and thyroid-stimulating hormone concentration
DUmbilical cord serum T4 concentration
middle ear specimen culture
An 11-year-old girl is brought into the emergency department by her parents for persistent fever and right-sided ear pain. She was started on amoxicillin for an ear infection by her pediatrician within the past five days without improvement in her symptoms. On examination, the patient is febrile, lethargic, and toxic-appearing. There is erythema and swelling of the right auricle with loss of the postauricular crease. The tympanic membrane cannot be visualized due to narrowing within the external auditory canal. Which of the following diagnostic studies would be helpful to determine the appropriate antibiotic intervention in this patient?
ABlood culture
BCerebrospinal fluid analysis
CCT scan of the head with contrast
DMiddle ear specimen culture
reticulated or lace like eruption on the trunk and extremities
**erythema infectiosum (5th disease)
A 4-year-old girl presents to the pediatrician’s office with her parents reporting a fever, cough, runny nose, nausea, and headache for the past 3 days. Her parents are worried because of the new-onset facial rash that developed today, which is shown above. Vital signs include an HR of 85 bpm, BP of 90/60 mm Hg, T of 100.4°F, RR of 26/min, and SpO2 of 99% on room air. What type of rash may develop on this patient after the facial rash resolves?
AErythematous, blanching, sandpaper-like papules throughout the body
BOval-shaped and rose-colored or light brown patch on the trunk
CReticulated or lacelike eruption on the trunk and extremities
DVesicles and pustules on the trunk that form a thick yellow crust

no laboratory tests are necessary
**Kawasaki disease
A 3-year-old boy presents to the clinic with his parents due to the manifestations shown above. The parents also report the patient has had a fever of 100.9°F or greater for five consecutive days. Physical examination additionally reveals erythema and edema of the feet and hands, cervical lymphadenopathy, and a polymorphous rash with macular, morbilliform, and targetoid lesions on the trunk and extremities. Which of the following diagnostic tests is most appropriate at this time?
AElevated erythrocyte sedimentation rate
BElevated N-terminal moiety of B-type natriuretic peptide
CMucosal tissue biopsy
DNo laboratory tests are necessary

25-hydroxyvitamin D
A 16-year-old girl presents to her pediatrician’s office for her Pennsylvania driver’s license physical examination. She states that she has noticed increased fatigue but assumed this was due to increased exercise, as she has been running five to six times per week during cross-country practice. She notes that she eats a balanced diet but avoids dairy due to recent lactose intolerance. You plan to order blood work to rule out anemia, hypothyroidism, and vitamin D deficiency. Which is the most appropriate diagnostic study to order?
A1, 25-dihydroxyvitamin D
B25-hydroxyvitamin D
CCholecalciferol
DErgocalciferol
herpes simplex virus type 1
**herpetic gingivostomatitis
A 12-month-old girl presents to the emergency department with a rash around her mouth and decreased oral intake. The patient has been fussy and has only produced one wet diaper today. She was born full term, is up to date on her vaccines, and is otherwise healthy. Vital signs include a BP of 70/50 mm Hg, HR of 180 bpm, RR of 28/min, T of 100.6°F, and SpO2 of 99% on room air. The patient is nontoxic appearing but is drooling. Her lungs are clear to auscultation bilaterally, and she has no retractions, wheezing, or stridor. She has perioral vesicular lesions and ulcerative lesions on her gingiva and buccal mucosa. Her gingiva bleeds easily. Her uvula is midline, and she has no oropharyngeal exudate or erythema. She has no rash on her trunk or extremities. Which pathogen is the most likely to be causing the patient’s symptoms?
ACandida albicans
BGroup A coxsackievirus
CHerpes simplex virus type 1
DHerpes simplex virus type 2
topical corticosteroids
**pityriasis rosea
A 16-year-old girl with no significant medical history presents to her pediatrician with her parent for evaluation of a rash that has been present for the past week. She reports the rash started with a single lesion and has since spread to her back. She describes the rash as moderately itchy. She has not recently traveled, started new medications, or used new ointments or laundry detergent. She does not have associated fevers, chills, weight loss, or joint pain. She is not sexually active. Vital signs include a heart rate of 66 bpm and temperature of 98.8°F. Physical examination reveals multiple oval-shaped papules and small plaques on her abdomen and back. Which of the following is the most appropriate management for the suspected condition?
AFirst-generation cephalosporins
BSystemic glucocorticoids
CTopical antifungals
DTopical corticosteroids
ventricular septal defect
A 6-month-old girl presents to the clinic with fatigue during feeding. The growth chart shows that the patient’s weight is below the fifth percentile. Vital signs include a BP of 80/50 mm Hg, HR of 165 bpm, RR of 48/min, T of 98.6°F, and SpO2of 94% on room air. Physical examination reveals a dynamic precordium with a holosystolic murmur heard best at the left lower sternal border. Chest X-ray shows cardiomegaly but no focal infiltrate. Which of the following is the most likely diagnosis?
AAtrial septal defect
BInnocent Still murmur
CPatent ductus arteriosus
DVentricular septal defect
major depressive disorder
An 11-year-old boy presents to the clinic with his parents for concerns about his behavior over the past 3 months. His mother reports the patient has an easily irritable mood and has not been interested in normal activities with friends. Teachers have notified her that he has shown trouble concentrating during class, and his academic performance has suffered. The patient states he “just feels tired” because he “doesn’t sleep well at night.” Upon further questioning, the patient reveals he has had thoughts of suicide that are made worse by the voices he hears. Which of the following is the most likely diagnosis?
AAttention-deficit/hyperactivity disorder
BMajor depressive disorder
CPersistent depressive disorder
DSchizophrenia
12 months
**Varicella
An 8-year-old boy who is unvaccinated presents to the clinic with a rash for the past day. His parent reports that the boy had a fever, generalized body aches, decreased appetite, and a sore throat for 1 day prior to the onset of the rash. Vital signs include a BP of 100/60 mm Hg, HR of 80 bpm, RR of 20/min, T of 99.6°F, and SpO2 of 99% on room air. Physical examination reveals a diffuse rash with lesions in various stages. There are vesicular lesions on an erythematous base, papular lesions, and pustular lesions. His lungs are clear to auscultation, and he has no tonsillar exudates or cervical lymphadenopathy. At which of the following ages is the first dose recommended for the vaccine series that prevents the suspected diagnosis?
A12 months
B2 months
C2 years
D4 years
staphylococcus aureus
**bacterial tracheitis
A 6-year-old boy presents with his parents, who report a 1-day history of high fever, cough, and difficulty breathing. He had a mild cold last week that seemed to resolve initially, but he started having symptoms again this morning. His vital signs are a temperature of 102.3°F, heart rate of 145 bpm, oxygen saturation of 94% on room air, and respiratory rate of 35/min. The patient is toxic appearing and has a bark-like cough and audible inspiratory and expiratory stridor. He is given oxygen and racemic epinephrine with no improvement in clinical symptoms or oxygen saturation. He is immediately intubated, and a sample of sputum is taken for laboratory testing. Neck and chest radiographs are unremarkable. He is up to date with all of his vaccinations. Which of the following pathogens is the most likely cause of this condition?
AHaemophilus influenzae type b
BParainfluenza virus
CPseudomonas aeruginosa
DStaphylococcus aureus
oppositional defiant disorder
A 7-year-old boy presents to the clinic with his parents, who are concerned about the patient’s behavior. The parents report that, for the past 2 years, he has been irritable at home on most days and frequently disobeying his teachers at school. He seems to intentionally annoy his classmates, and his parents state that this is disrupting his ability to function in a classroom setting. Further, he tends to blame others for his mistakes and becomes angry when confronted. Vital signs include a BP of 110/70 mm Hg, HR of 91 bpm, RR of 20/min, T of 98.6°F, and SpO2 of 99% on room air. On physical examination, the patient is well appearing with a regular heart rate and rhythm and lungs that are clear to auscultation. Which of the following is the suspected diagnosis?
AAttention-deficit/hyperactivity disorder
BConduct disorder
CGeneralized anxiety disorder
DOppositional defiant disorder
mineral oil and scalp combing
**infantile seborrheic dermatitis
A 1-month-old boy presents to the pediatrician with his parent who describes a scaly rash on the boy’s scalp that has been progressively worsening for the last week. The parent states that the boy has been eating and sleeping normally and does not seem to be bothered by the lesions. They report no recent fevers. History reveals the boy was born full-term by normal spontaneous vaginal delivery. He is currently being nourished by breast milk, and his parent reports no changes in soaps or shampoos over the last week. Physical exam reveals a well-fed, well-nourished boy with greasy yellow lesions throughout the boy’s scalp. What is the initial management for the boy’s most likely condition?
AKetoconazole shampoo
BMineral oil and scalp combing
CSalicylic acid shampoo
DTopical hydrocortisone to scalp
Sarcoptes scabiei
A 10-year-old boy presents with an intensely pruritic rash that has been worsening over the past week. The rash is located at the wrists and beltline. His parents report several family members have similar rashes. Physical examination reveals excoriations, small vesicles, and linear papules of the wrists and web spaces of the hands. Similar findings are noted around the umbilicus. Vital signs are a heart rate of 82 bpm, blood pressure of 105/60 mm Hg, temperature of 98.8°F, and oxygen saturation of 98%. A potassium hydroxide preparation confirms the diagnosis. Which of the following is the most likely causative organism?
ADemodex folliculorum
BPediculus humanus
CPyemotes tritici
DSarcoptes scabiei
repeat administration at 24 months of age
A parent completes the Modified Checklist for Autism in Toddlers during their son’s 18-month well visit. The questionnaire is subsequently reviewed by the clinician with a score of 2. Which of the following is the best next step?
ANo further evaluation is needed
BReferral for diagnostic evaluation and early intervention
CRepeat administration at 24 months of age
DRepeat administration at 36 months of age
tooth discoloration
**Rocky Mountain spotted fever - doxycycline
A 5-year-old girl presents following 4 days of fever, malaise, and anorexia. Her parent reports that they recently returned from an uneventful week of camping by a local river. The girl is up to date on her immunizations and otherwise has no significant medical history. She is not on any medications. The girl’s temperature is 101.2°F, blood pressure is 115/68 mm Hg, heart rate is 100 beats per minute, respiratory rate is 26/minute, and oxygen saturation is 98% on room air. On physical exam, the girl appears healthy and well nourished. Cardiovascular exam reveals a regular rate and rhythm with no murmurs, rubs, or gallops. Respiratory exam is also benign. You note a discrete rash developing on her ankles, lower legs, and wrists that you characterize as numerous flat, round, red lesions that blanch. What is a side effect of the preferred treatment for the suspected diagnosis?
AMethemoglobinemia
BQT prolongation
CTendon rupture
DTooth discoloration
pulls up to a standing position
A 4-month-old boy is brought into the clinic for his well-child visit by his parent, who is concerned because he is constantly spitting up after feeding. He was born at full term with no complications, and his parent states that he is otherwise healthy. Vital signs include a T of 98.8°F, HR of 120 bpm, BP of 90/60 mm Hg, RR of 30 breaths/min, and SpO2 of 99% on room air. The physical exam reveals a happy infant with no abnormalities. What milestone should be occurring at the time that his symptoms resolve?
AAssists with dressing himself
BEats with a spoon without help
CPulls up to a standing position
DRolls from a prone to supine position
chronic traction apophysitis of the tibial tubercle apophysis
**osgood schlatter Diseases
A 13-year-old boy with a medical history of asthma presents to the pediatrician’s office for evaluation of right knee pain. He states that it has been ongoing for several weeks since the start of soccer preseason training. He reports no injury to the knee and no numbness or tingling. The pain is localized to his anterior knee, and he describes it as aching and throbbing and worse after practice. He has no pain with weight-bearing on the right extremity. Vital signs are a temperature of 98.0°F, heart rate of 88 bpm, blood pressure of 112/72 mm Hg, respiratory rate of 14 breaths/min, and oxygen saturation of 98% on room air. On physical examination, the anterior knee is tender to palpation over the tibial tubercle. Radiographs are obtained and are shown above. What is the pathogenesis of this injury?
ABursal inflammation from repetitive direct pressure
BChronic traction apophysitis of the tibial tubercle apophysis
CReferred pain from slipped capital femoral epiphysis
DRepetitive strain on the patellar tendon

hydrocortisone acetate topical
**atopic dermatitis
A 6-month-old girl is brought for a routine well-visit wherein an erythematous, papular rash with excoriations is observed on her face. Her parents state this rash worsens at times and rarely resolves. Which of the following agents is appropriate?
AClobetasol propionate topical
BHydrocortisone acetate topical
CPimecrolimus topical
DPrednisone oral
replace the beclomethasone with inhaled budesonide-formoterol 160/9 mcg twice daily
A 15-year-old boy presents to the clinic with his parents after multiple visits to the emergency department for asthma exacerbations. He reports coughing more frequently, waking in the night at least once a week, and having to use his albuterol inhaler daily. He has a history of mild persistent asthma and atopic dermatitis. His current medications include two puffs of beclomethasone 80 mcg twice daily and two puffs of albuterol 90 mcg as needed. Vital signs today include a heart rate of 88 beats per minute, blood pressure of 110/70 mm Hg, respiratory rate of 18/minute, oxygen saturation of 98% on room air, and temperature of 98.7°F. Physical examination is significant for prolonged expiration and diffuse wheezing on auscultation. What is the most appropriate next step for this patient?
AAdd doxycycline 100 mg twice daily for 7 days
BIncrease beclomethasone 80 mcg inhaler to four puffs twice daily
CReplace the beclomethasone with inhaled budesonide-formoterol 160/9 mcg twice daily
DReplace the beclomethasone with inhaled budesonide-formoterol 320/18 mcg twice daily and add 10 mg prednisone daily
daily nitrofurantoin
**vesicoureteral reflux (abx until age of 2)
A 21-month-old girl presents to the clinic with her parents due to a persistent fever over the past 2 days with a maximum temperature of 102.7°F. Her parents report that she has had two prior similar episodes since age 13 months. She is not yet toilet trained. Physical examination reveals suprapubic and costovertebral tenderness. Dipstick analysis shows positive leukocyte esterase, and urine culture reveals significant growth of Klebsiella. Kidney ultrasound reveals hydronephrosis with a subsequent voiding cystourethrogram confirming the suspected diagnosis. Which of the following clinical interventions is most appropriate for this patient after effective treatment of her acute condition?
ADaily nitrofurantoin
BObservation until age 2 years
CSurgical correction
DUreteral stent placement
topical tretinoin, oral minocycline, and topical benzoyl peroxide
A 14-year-old girl presents with concerns about her skin. She reports lesions on her face, upper chest, and upper back that have been worsening over the past year. She is embarrassed about their appearance and would like treatment for this issue. Physical examination reveals inflamed papules and pustules, dilated pores, and closed black comedones in the involved areas. Vital signs are a heart rate of 68 bpm, blood pressure of 113/63 mm Hg, temperature of 97.8°F, and oxygen saturation of 98%. Which of the following treatment options would be best, considering the most likely diagnosis?
ACombination oral contraceptive
BOral isotretinoin plus oral steroid
COral minocycline with topical hydroquinone
DTopical tretinoin, oral minocycline, and topical benzoyl peroxide
ETropical tretinoin plus intralesional corticosteroid injections