1/163
Looks like no tags are added yet.
Name | Mastery | Learn | Test | Matching | Spaced | Call with Kai |
|---|
No analytics yet
Send a link to your students to track their progress

外耳道
EAM External Auditory Meatus


颈椎 7 块
Cervical vertebrae


胸椎 12 块
Thoracic vertebrae


腰椎 5 块
Lumbar vertebrae


5 块(融合为 1 块)
Sacrum


尾骨 3-5 块(融合为 1 块)
Coccygeal vertebrae


右 / 左椎动脉
RVA / LVA Right/Left Vertebral Artery

右 / 左锁骨下动脉
RSA / LSA Right/Left Subclavian Artery

头臂干
BCT Brachiocephalic Trunk

主动脉弓
Aortic Arch

颈内动脉
Internal carotid


颈外动脉
External carotid


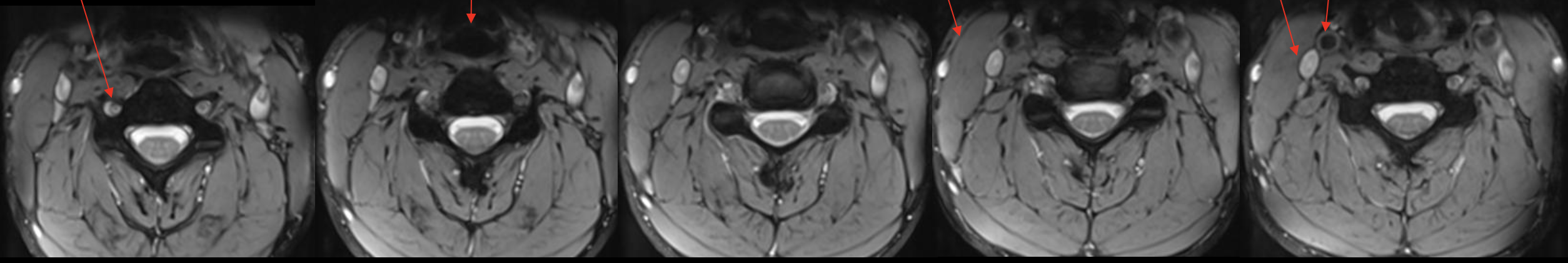
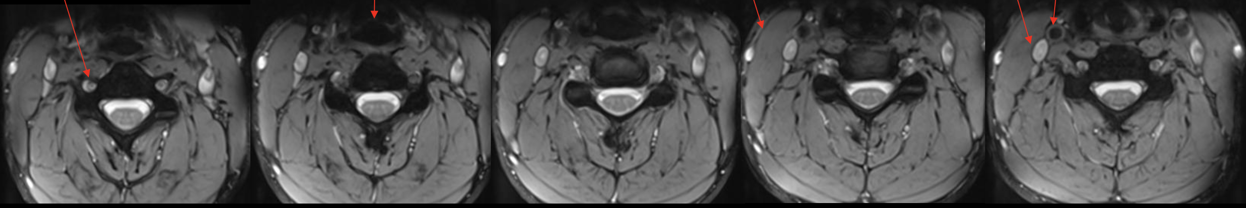
椎动脉
Vertebral


椎静脉
Vertebral vein


颈椎
CERVICAL

胸椎
THORACIC

腰椎
LUMBAR

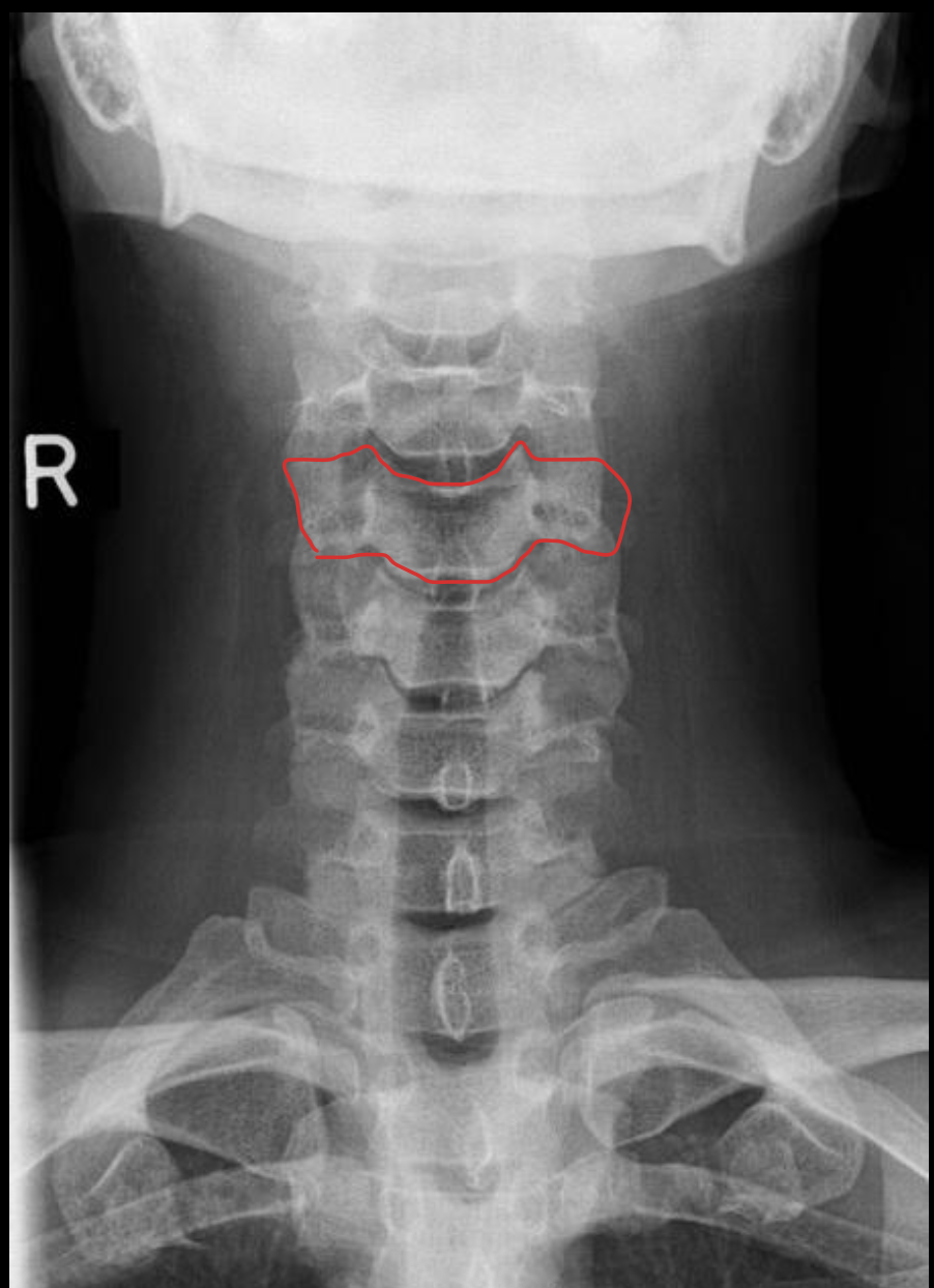
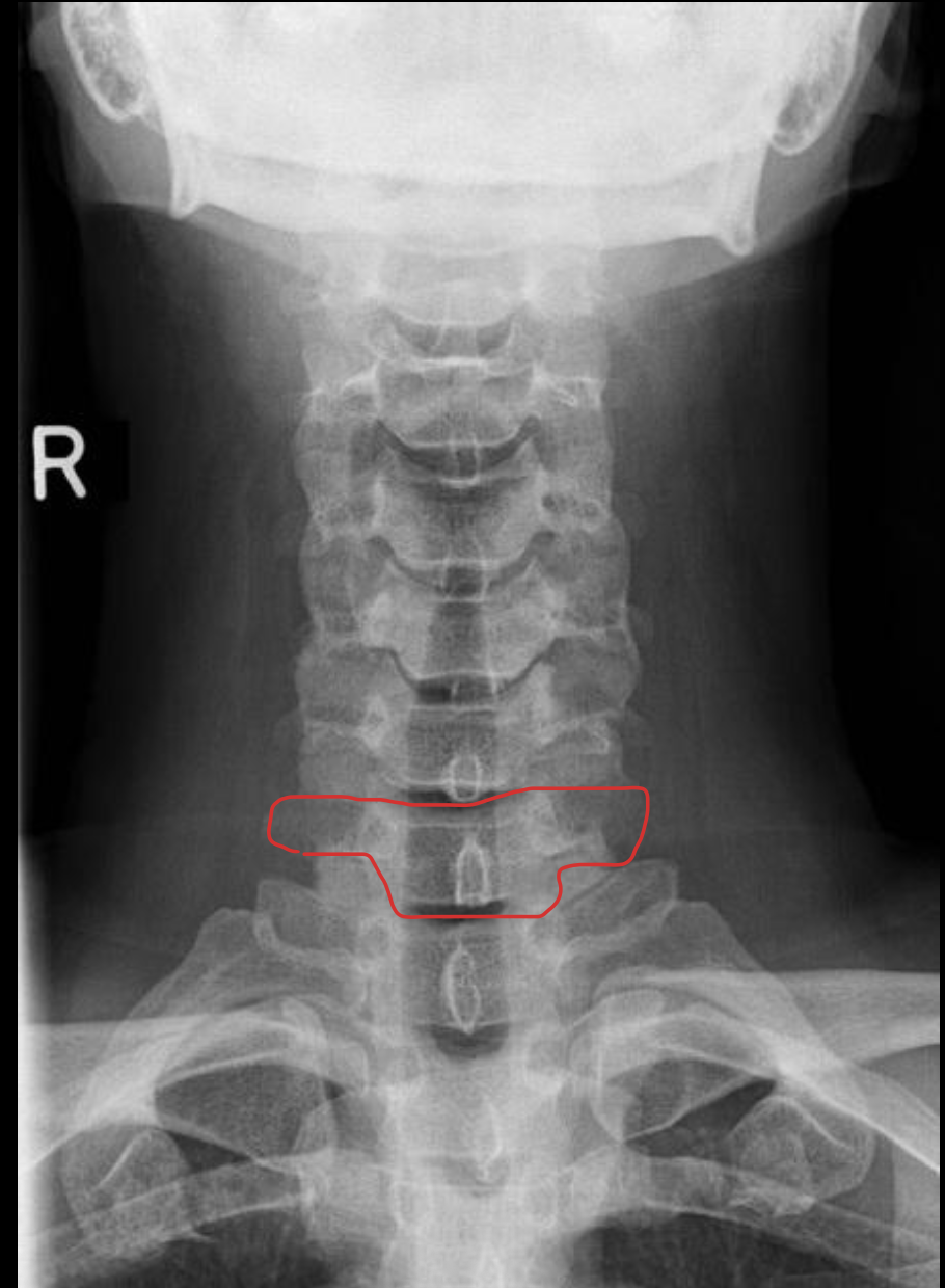
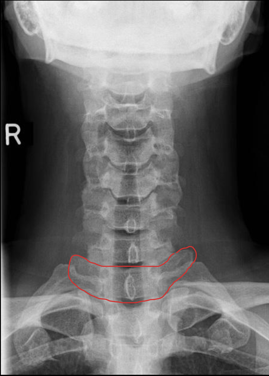
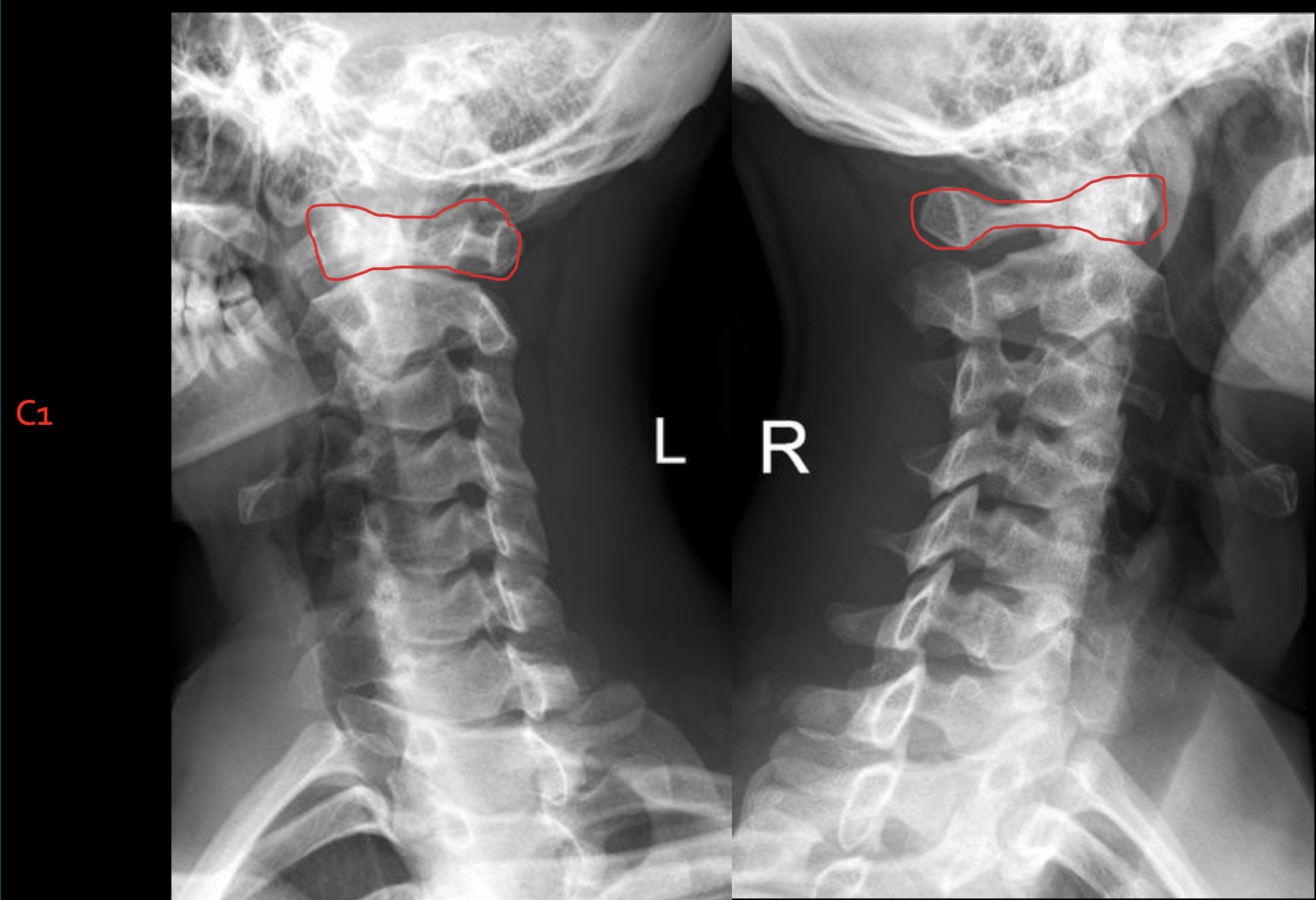
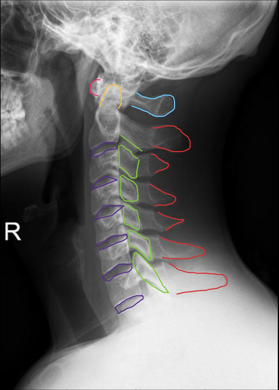
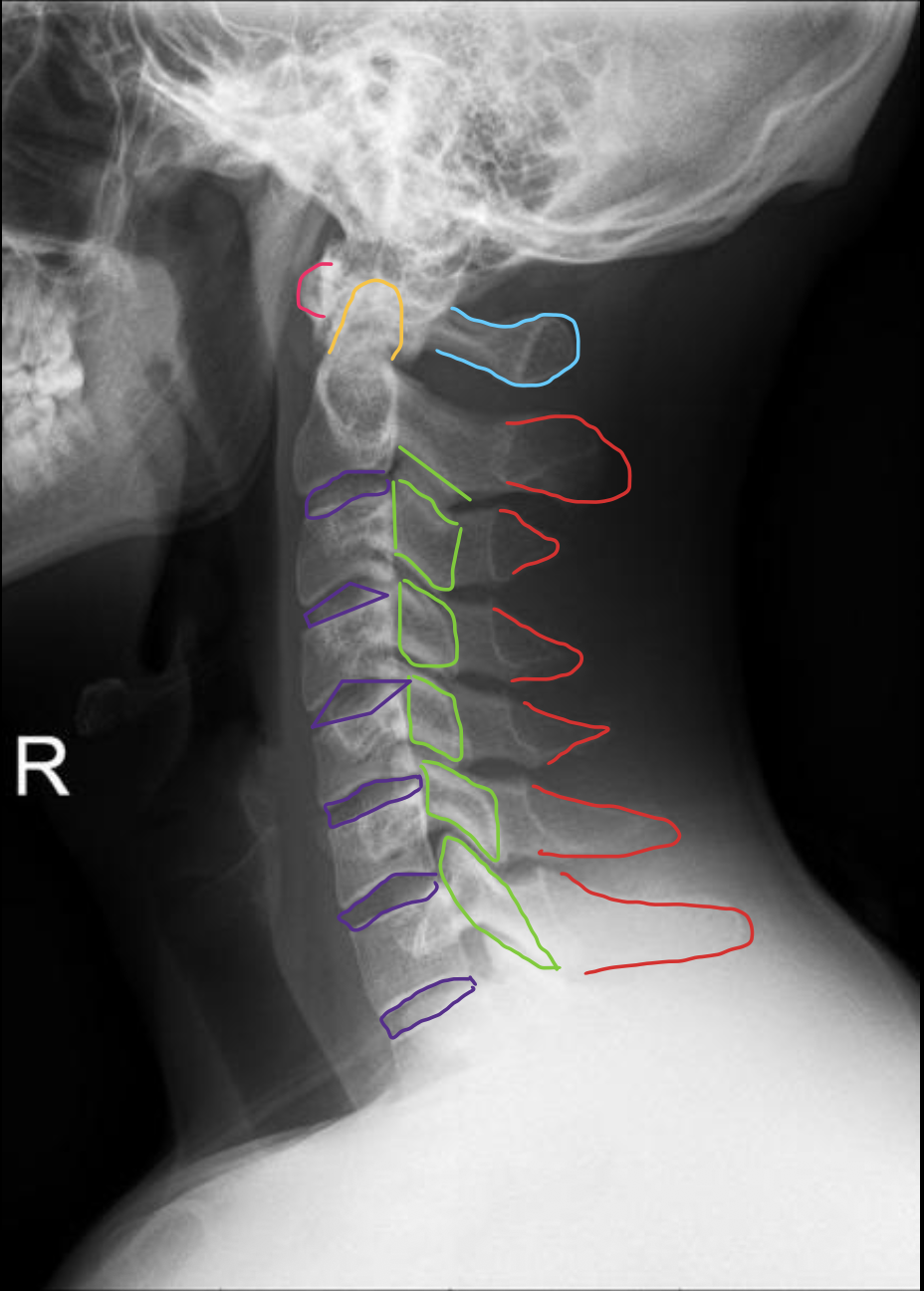
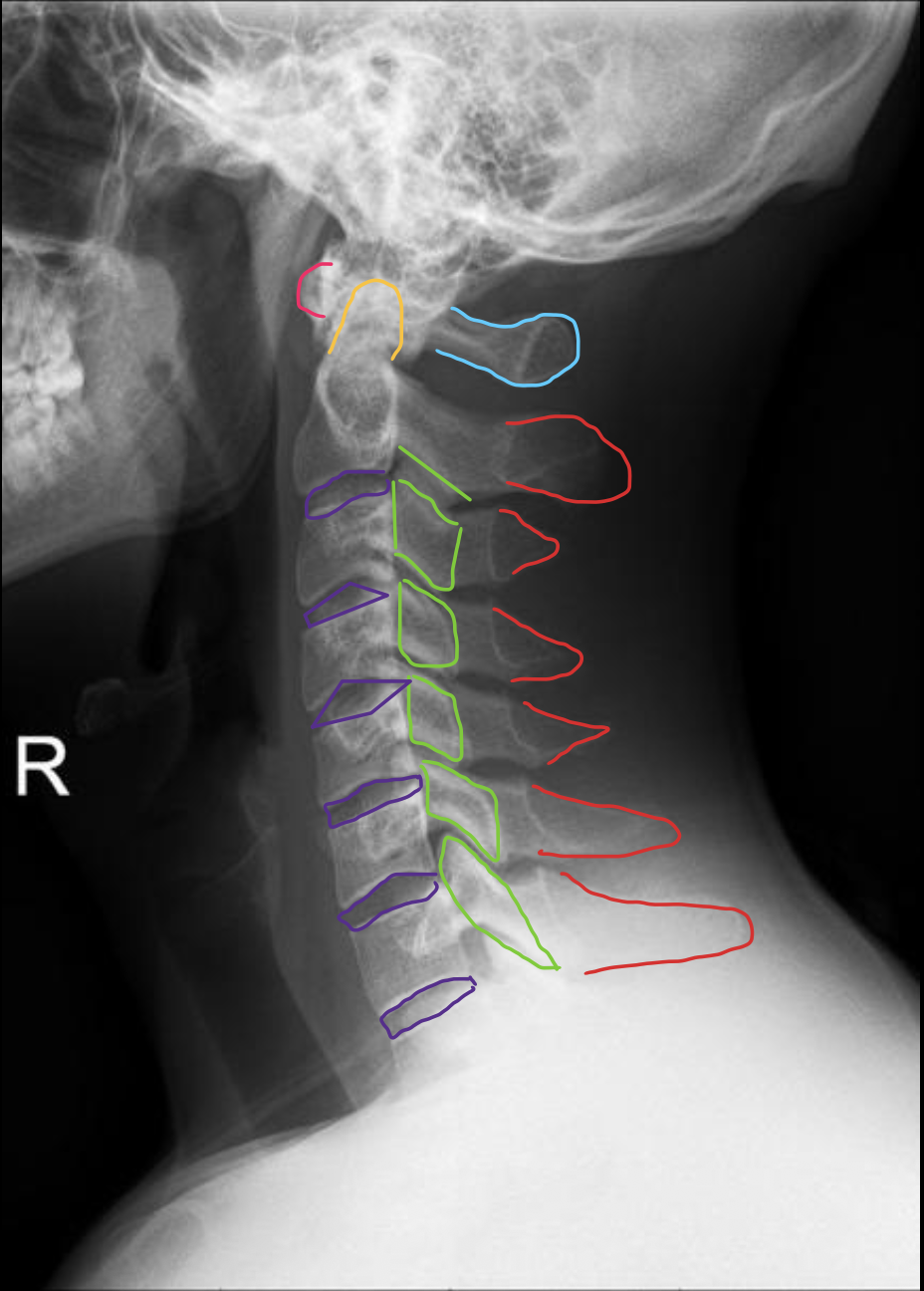
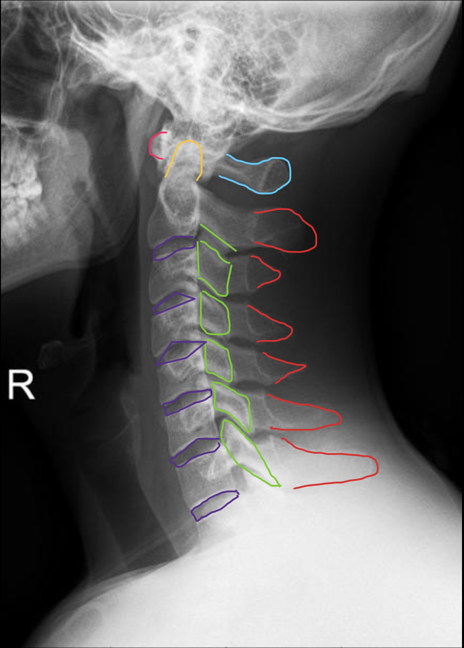
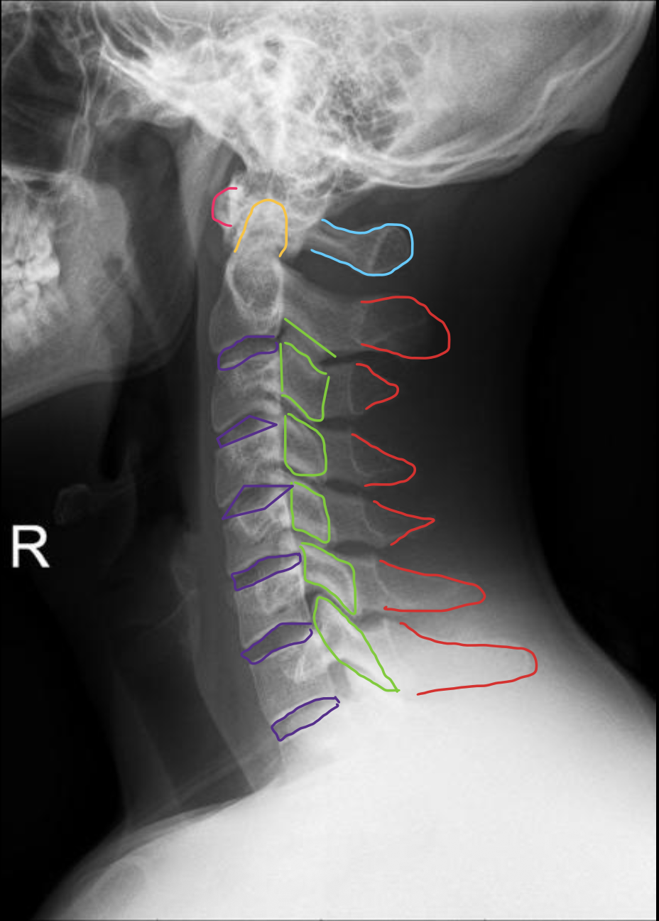
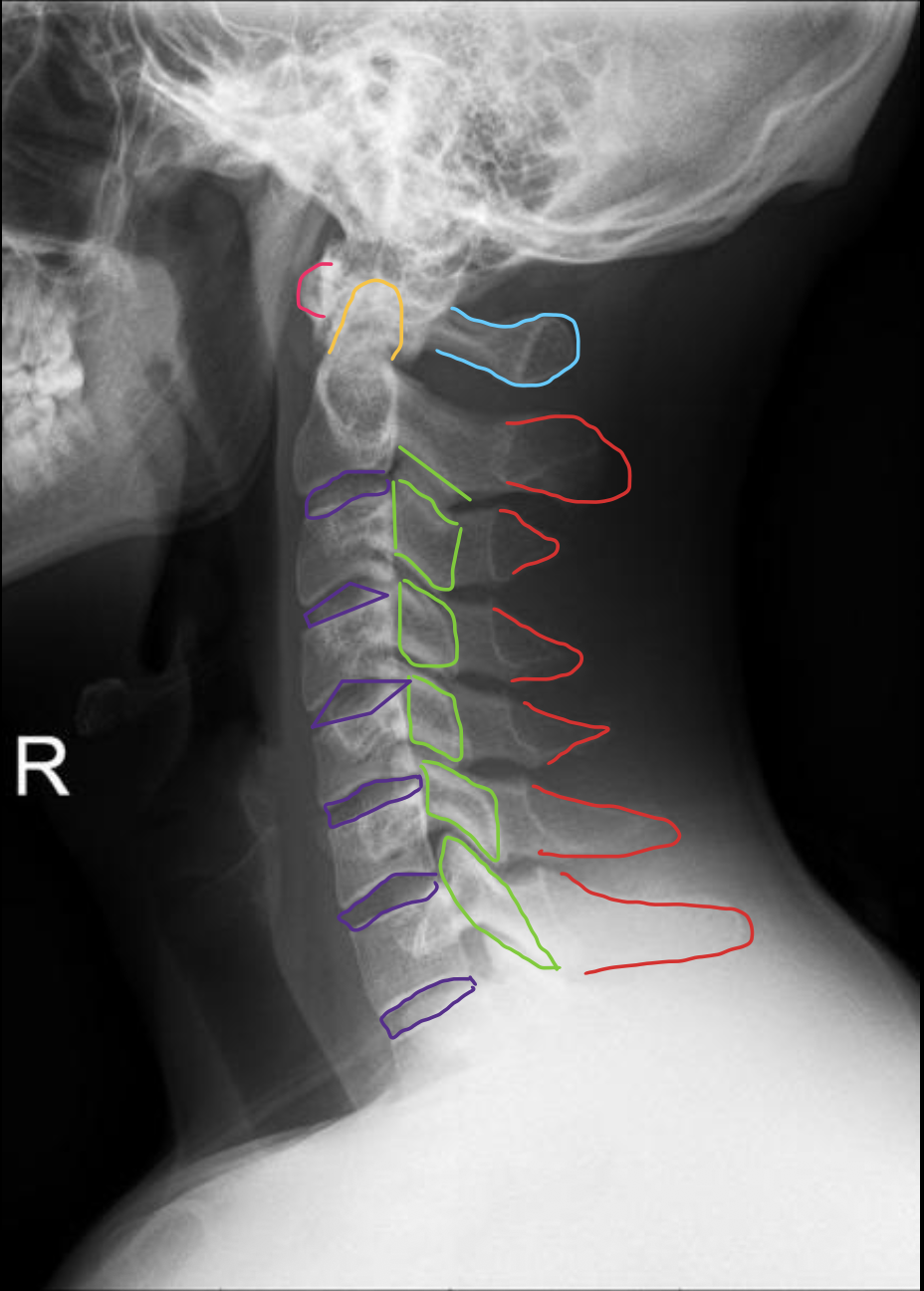
C2

C3

C4

c5

c6

c7

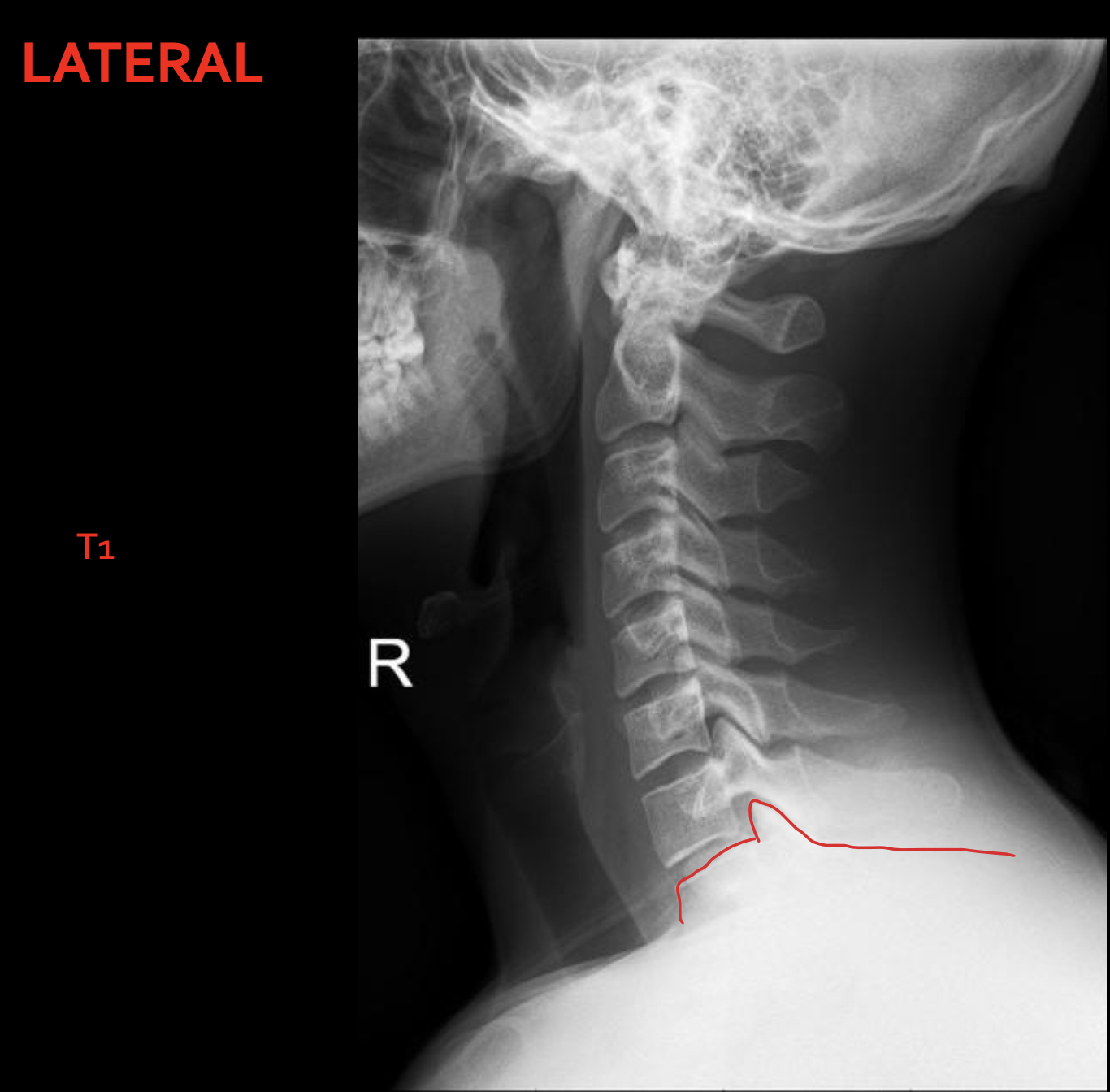
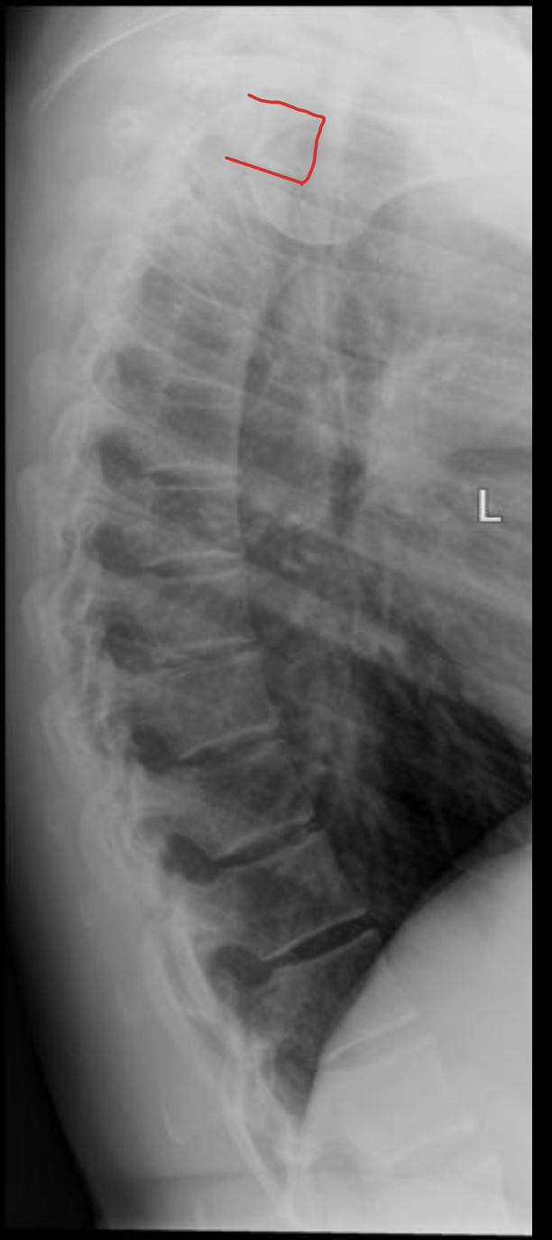
T1

1ST Rib

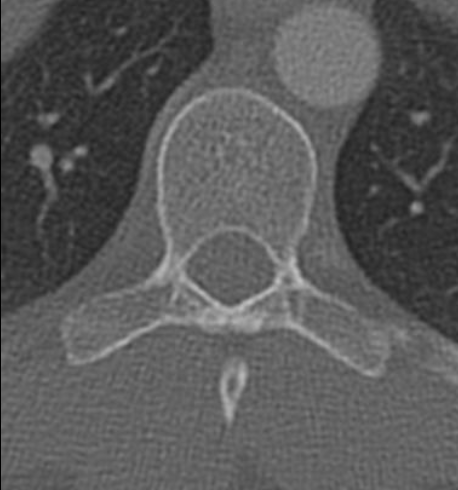
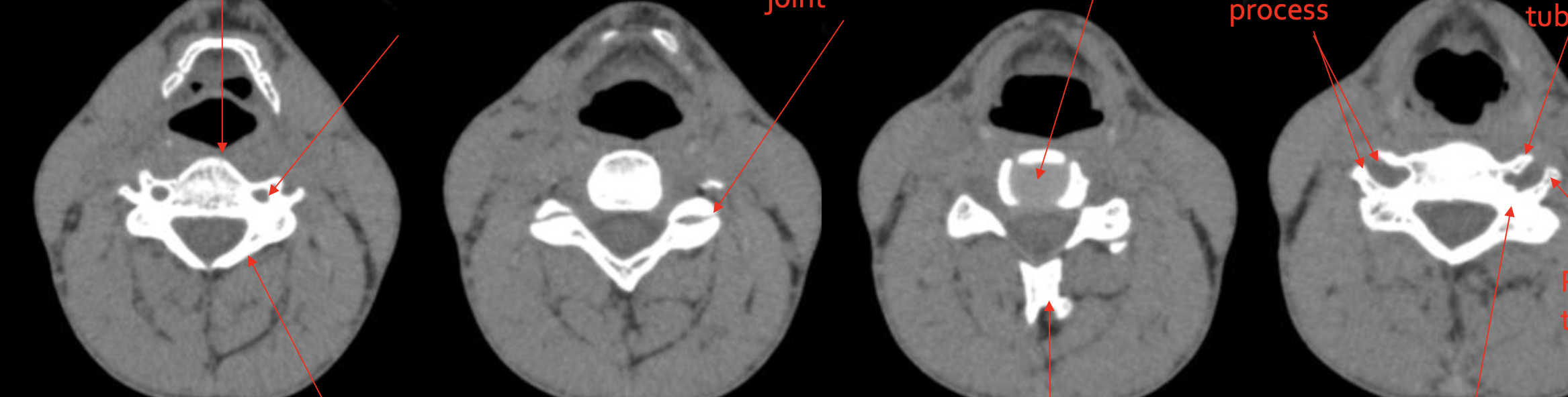
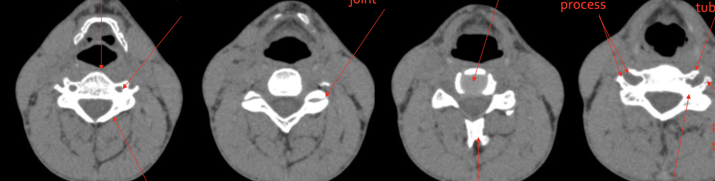
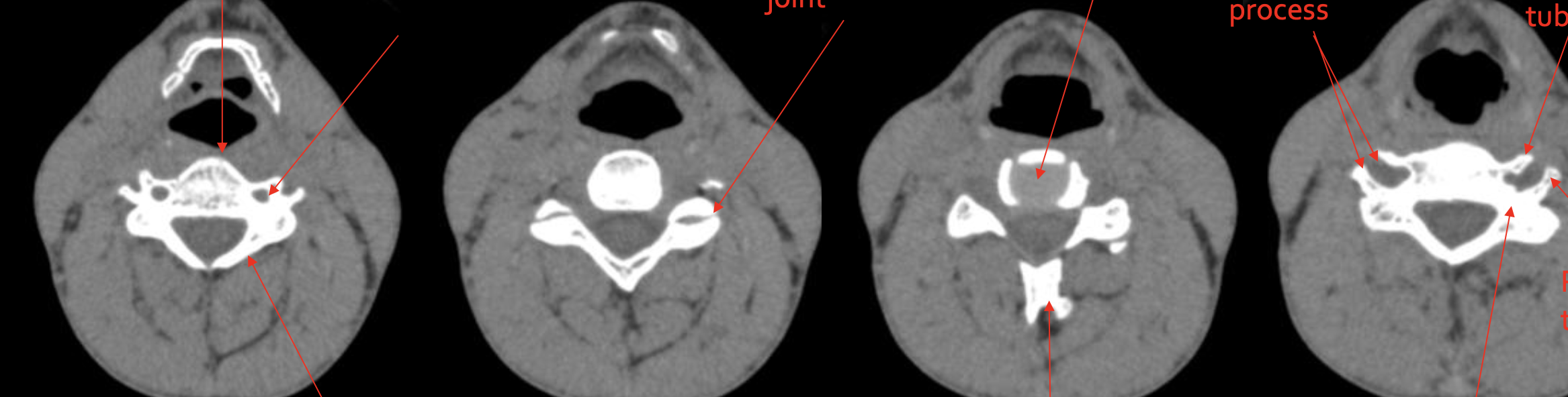
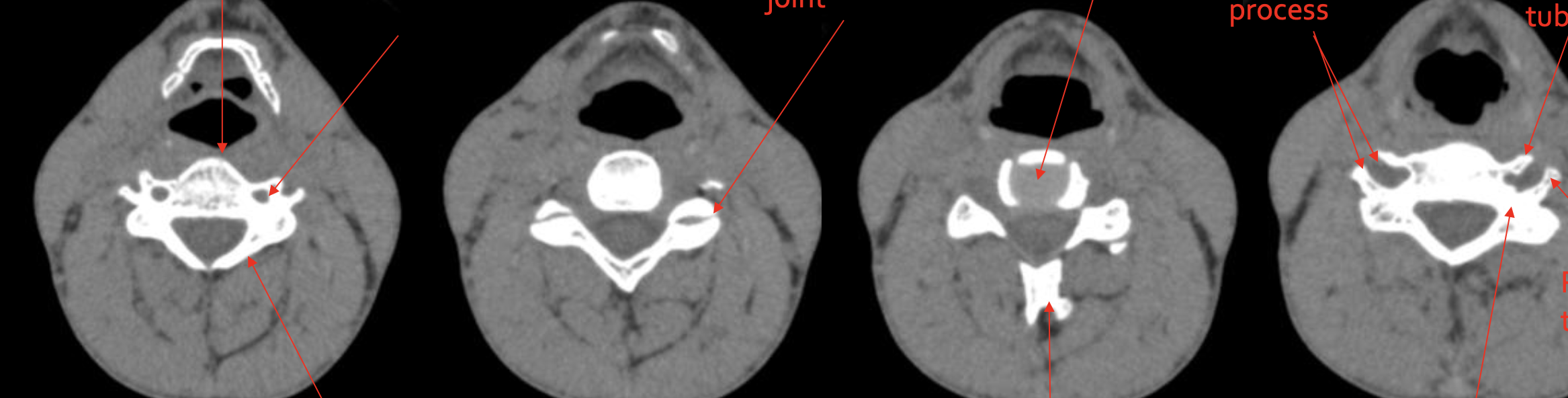
钩突
Uncinate process


关节柱 / 侧块
Articular pillars


棘突
Spinous process




乳突气房
Mastoid air cells


下颌角
Angle of mandible


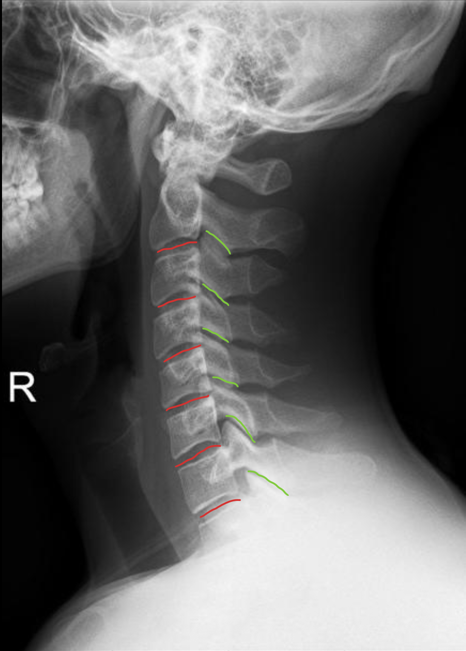
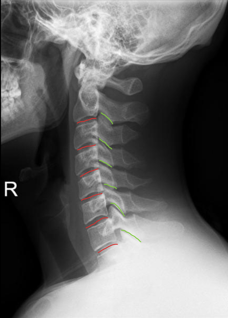
椎间隙(Intervertebral Disc space)
IVD space


气管
Trachea


齿状突
Odontoid process C1


C2


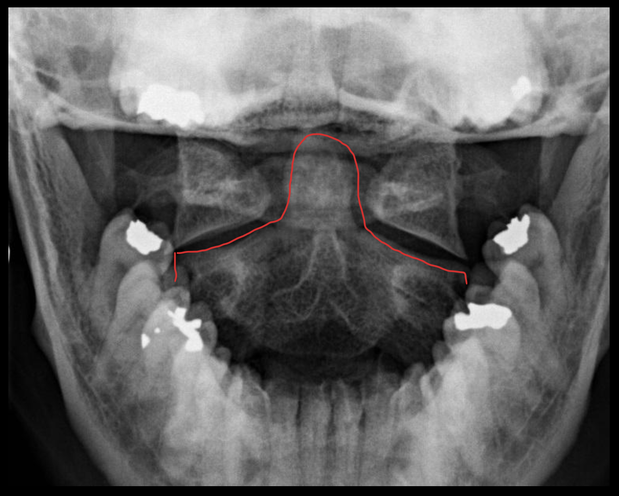
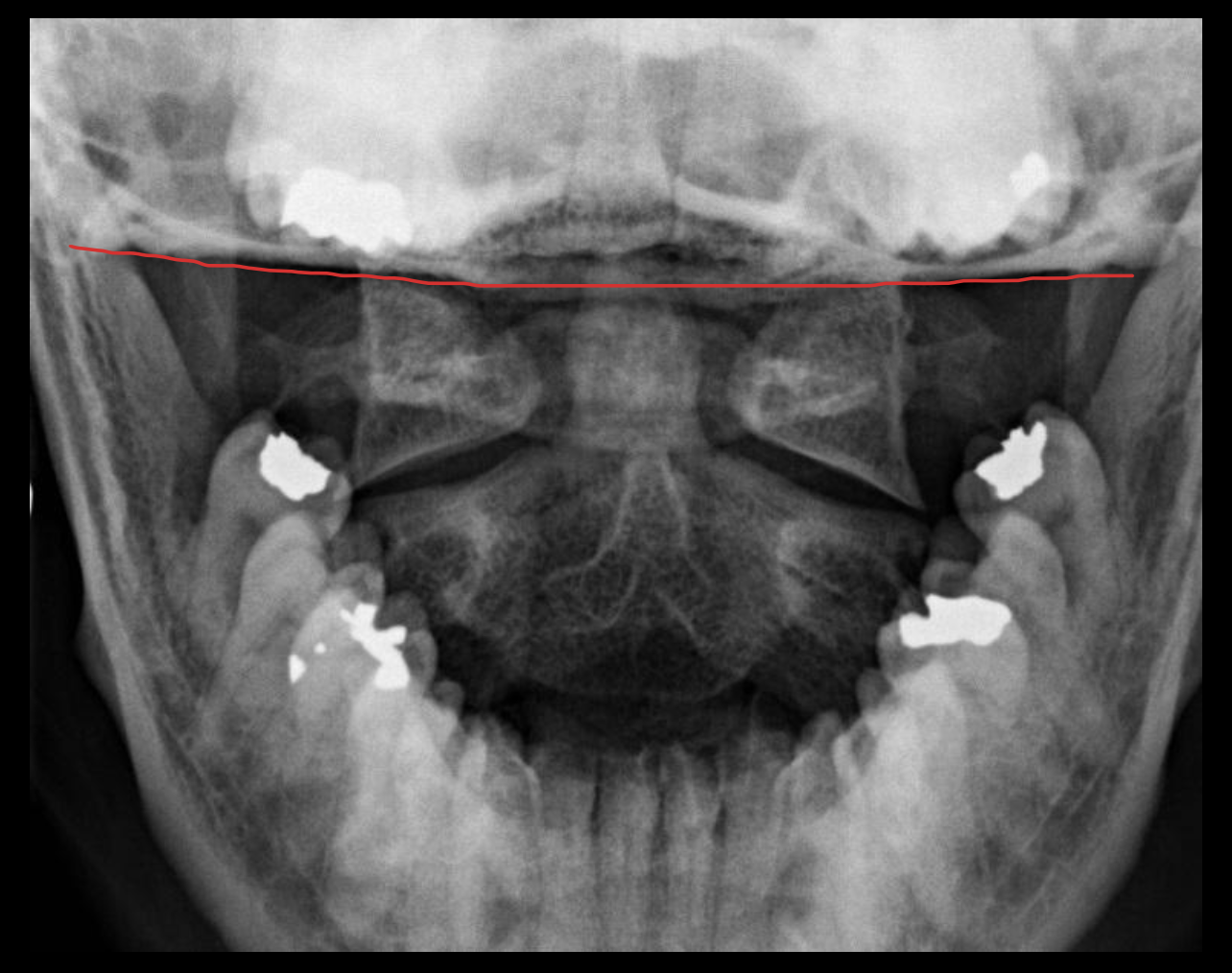
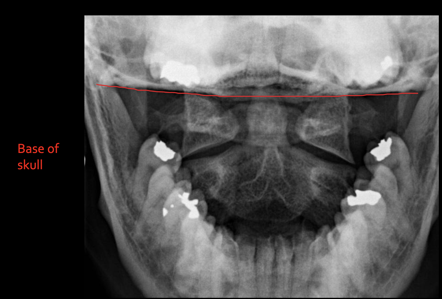
颅底
Base of skull


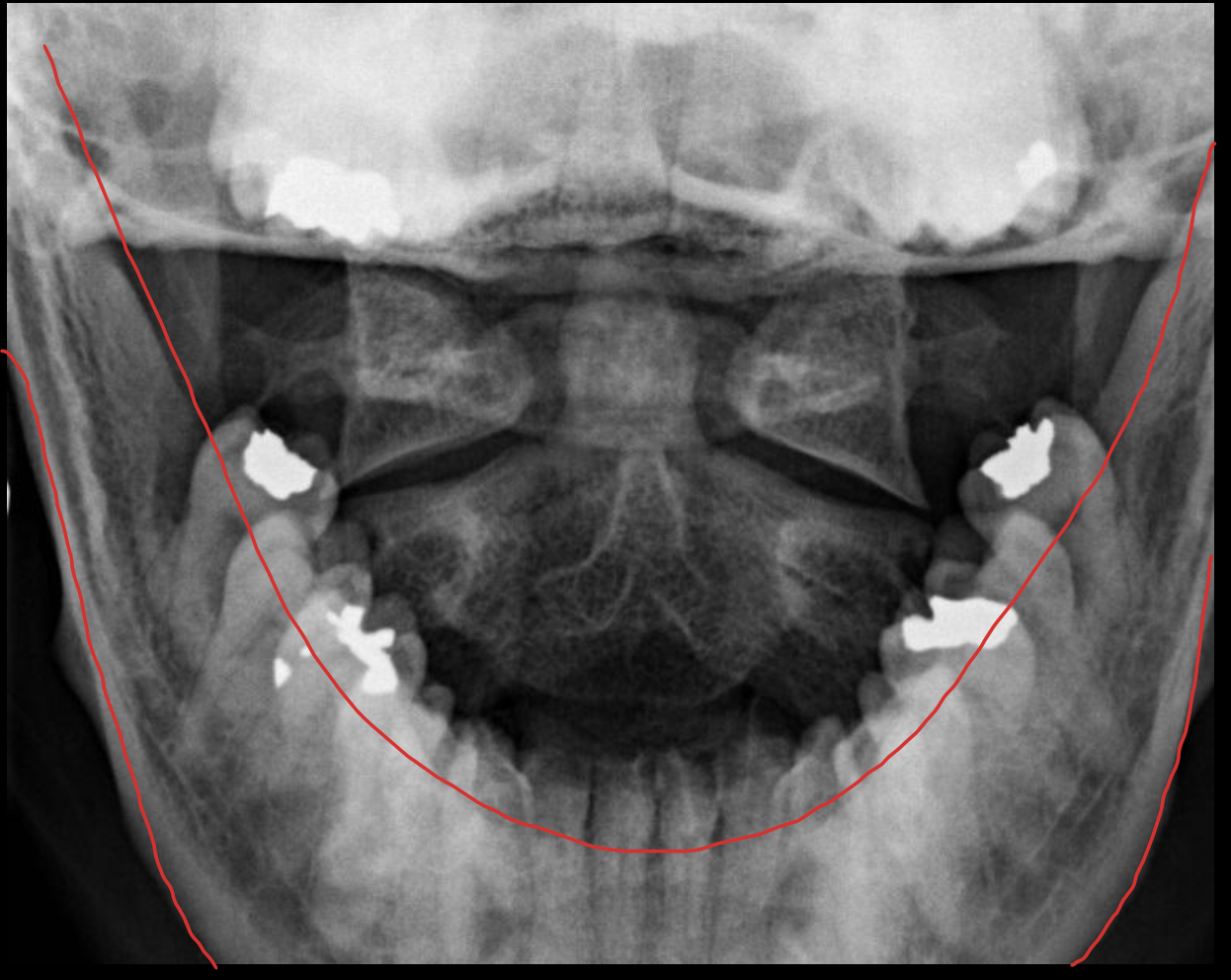
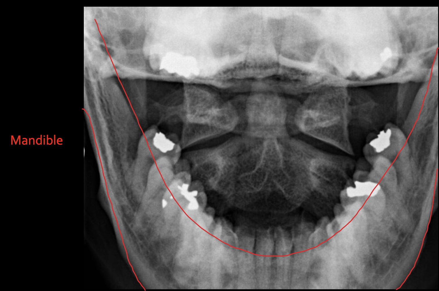
下颌骨
Mandible


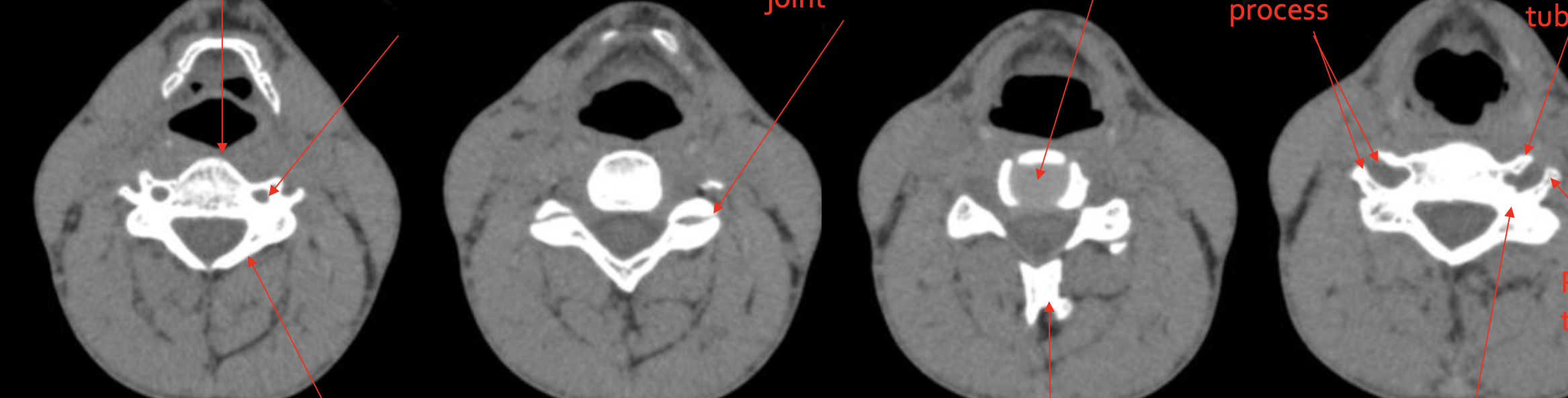
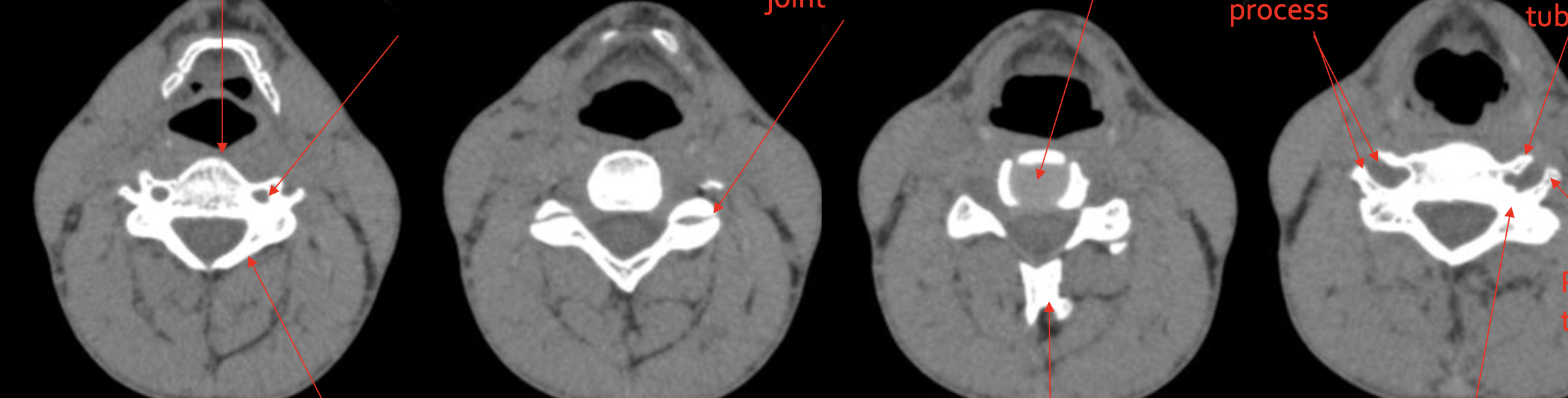
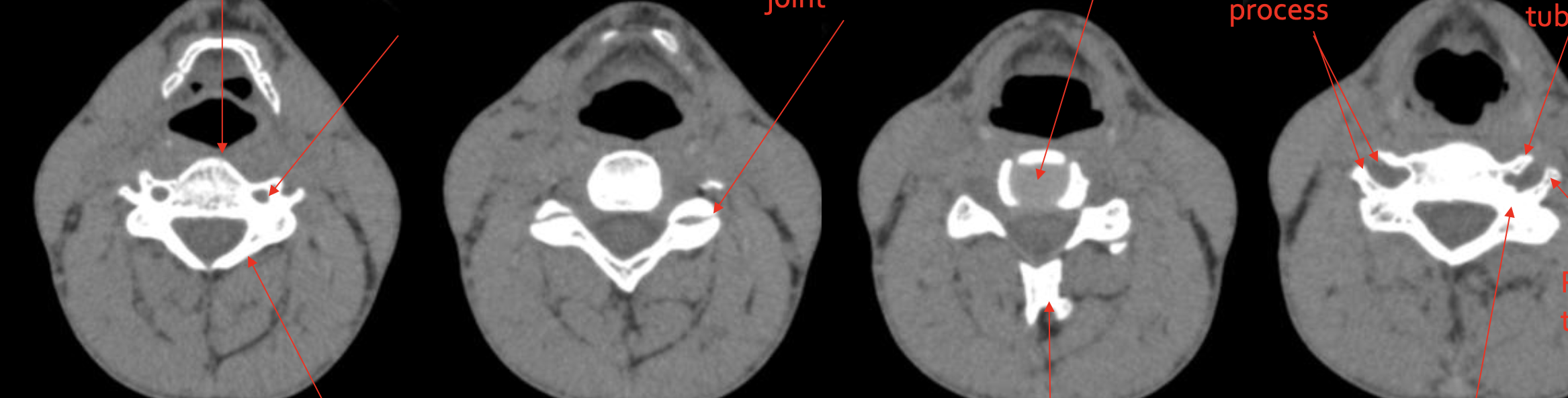
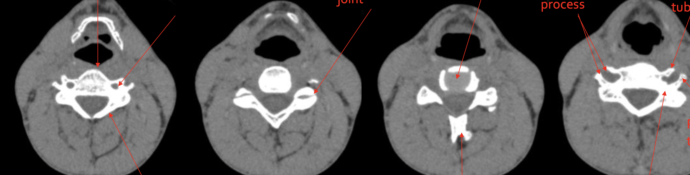
寰枢关节
Atlanto-axial


寰椎侧块
C1 lateral mass


枢椎棘突
C2 spinous process


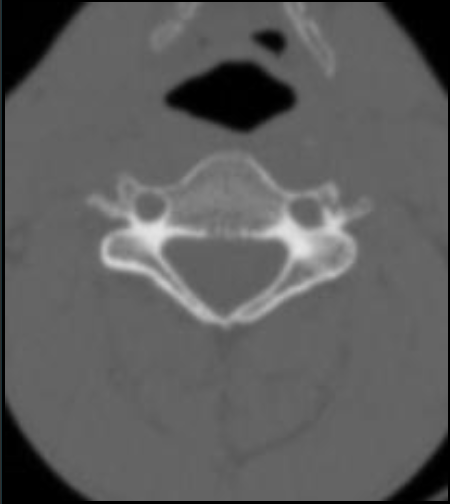
寰椎后弓
Posterior arch C1


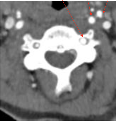
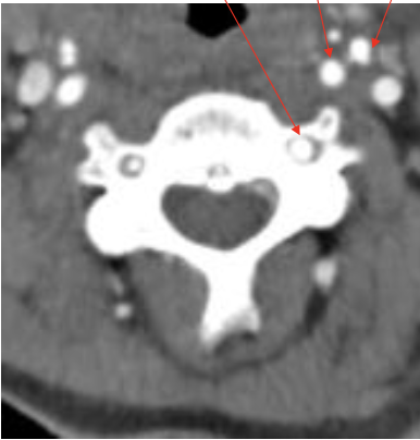
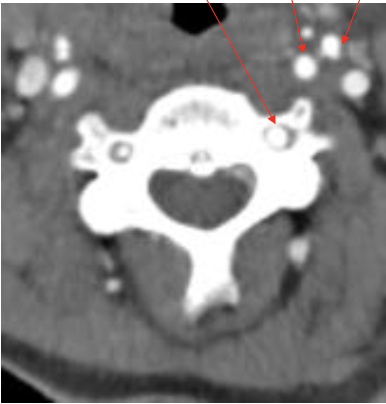
寰椎横突
C1 transverse process


C1


C2


C3


C4


C5


C6


C7


T1


1st rib


寰椎前结节
C1 anterior tubercle


寰椎后弓及后结节
C1 posterior arch & tubercle


关节突
Articular process


椎间孔
Intervertebral Foramina


椎弓根
Pedicle


T1


椎间盘
Intervertebral disc


关节突关节(小关节)
Zygapophyseal


齿状突(枢椎齿突)
Odontoid


寰椎后弓及后结节
Posterior arch & Tubercle of C1


棘突
Spinous process


关节突
Articular process


椎间盘(Intervertebral Disc)
IVD


寰椎前弓
Anterior arch of C1




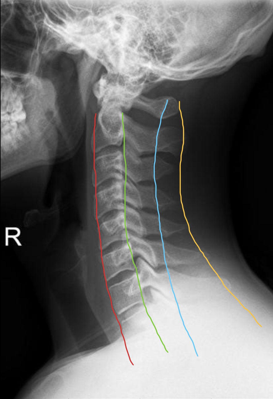
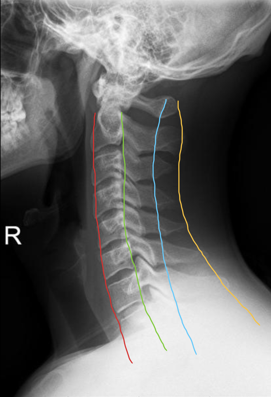
椎板棘突线(椎弓后缘线)
Spinolaminar


棘突后缘线
Posterior spinous


椎体
Vertebral body


椎板
Lamina


关节突关节
Zygapophyseal joint


椎间盘
IVD (Intervertebral Disc)


分叉棘突
Bifid Spinous process


前结节
Anterior tubercle


后结节
Posterior tubercle


椎弓根
Pedicle




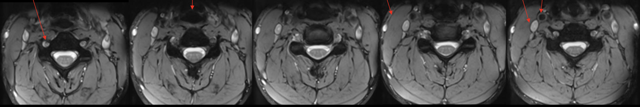
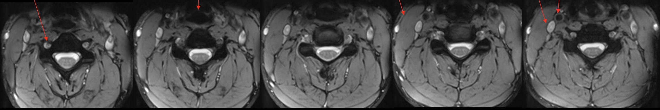
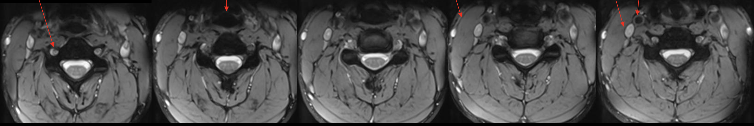
椎动脉
Vertebral artery


气管
Trachea


胸锁乳突肌
Sternocleidomastoid


颈内静脉
Jugular vein


颈动脉
Carotid artery


蛛网膜下腔
Subarachnoid space


脊髓
Spinal cord


前纵韧带
Anterior longitudinal ligament (ALL)


后纵韧带
Posterior longitudinal ligament (PLL)


颈深筋膜
Cervical fascia


棘间韧带
Interspinales




T1

T2

T3

T4

T5

T6

T7

T8

T9