1/29
Looks like no tags are added yet.
Name | Mastery | Learn | Test | Matching | Spaced | Call with Kai |
|---|
No analytics yet
Send a link to your students to track their progress

Longitudinal GI tract

Trans GI tract

Example of dirty shadow

Regular stomach

Regular stomach

Keyboard sign

Appendix

Fluid filled cecum

Duplication cyst

Leiomyoma

Gastric carcinoma

Gastric carcinoma

Bowel obstruction

Bowel obstruction

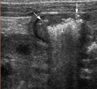
Normal Appendix

Normal Appendix

Acute appendicitis

Acute appendicitis

Acute appendicitis

Acute appendicitis

Acute appendicitis

Appendicolith

Appendicolith

Mucocele

Mucocele

Crohn’s Disease

Crohn’s Disease

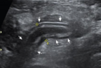
Pyloric Stenosis

Pyloric Stenosis

Intussusception