1/23
Looks like no tags are added yet.
Name | Mastery | Learn | Test | Matching | Spaced | Call with Kai |
|---|
No analytics yet
Send a link to your students to track their progress
What does fast stand for in sonography?
Focused assessment with sonography in trauma

Where is this image showing fluid?
In the hepatorenal space (Morrison’s pouch)

This is an image of:
Simple ascities with small bowel floating freely in the ocean

What kind of ascites is shown in this image?
Complex ascites
How can free fluid be differentiated from a cystic mass?
Free fluid will follow the contour of the peritoneal organs and cystic masses will demonstrate a mass effect (push on the surrounding tissue)
Define acites
Free fluid found in the peritoneal cavity
Transduative ascites will…
lack cellular debris in the fluid and have a simple appearance
Exudative ascites will…
contain cellular debris and results in more complex and echogenic appearance

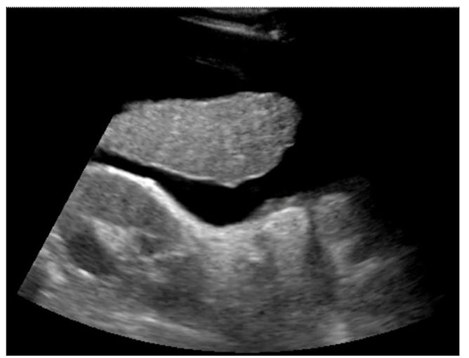
True or false: Exudative ascites is shown in this image
False; the fluid is anechoic, transudative ascites

What type of ascites is shown in this image?
Exudative; fluid is speckled
What is the most common space for a peritoneal abscess?
Right subphrenic space
Hemoperitoneum means
bleeding into the peritoneum
Iatrogenically induced means
trauma due to medical procedure
What is a hematoma?
A blood clot occurring as a post surgical complication
Large hematomas ___________ in hematocrit levels
decrease
A common spot for herniations
Inguinal canal
A thin fibrous line that runs vertically down the midline of the abdomen
Linea alba
A dirty shadow is associated with an _______ filled abscess
air
What are the two main categories of abdominal wall hernias?
ventral: anterior abdominal wall
Groin: indirect inguinal, direct inguinal, femoral
Primary _________ hernais (spontaneous) account for 75% of the repaired ventral hernias in the US
ventral
A non cancerous growth that occurs in the connective tissue is called?
Desmoid tumor
How many layers make up the bowel wall and how many are echogenic?
made up of 5 walls
3 are echogenic

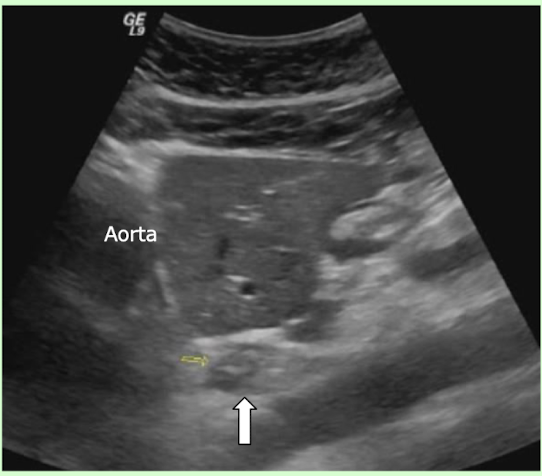
What is the arrow pointing to posterior to the left liver and anterior to the abdominal aorta?
Esophagogatric junction
If the stomach is not distended, bowel wall should measure 4 to 5mm and when stomach is distended bowel wall should measure ___ to ____mm
2 to 4