1/99
Looks like no tags are added yet.
Name | Mastery | Learn | Test | Matching | Spaced | Call with Kai |
|---|
No analytics yet
Send a link to your students to track their progress

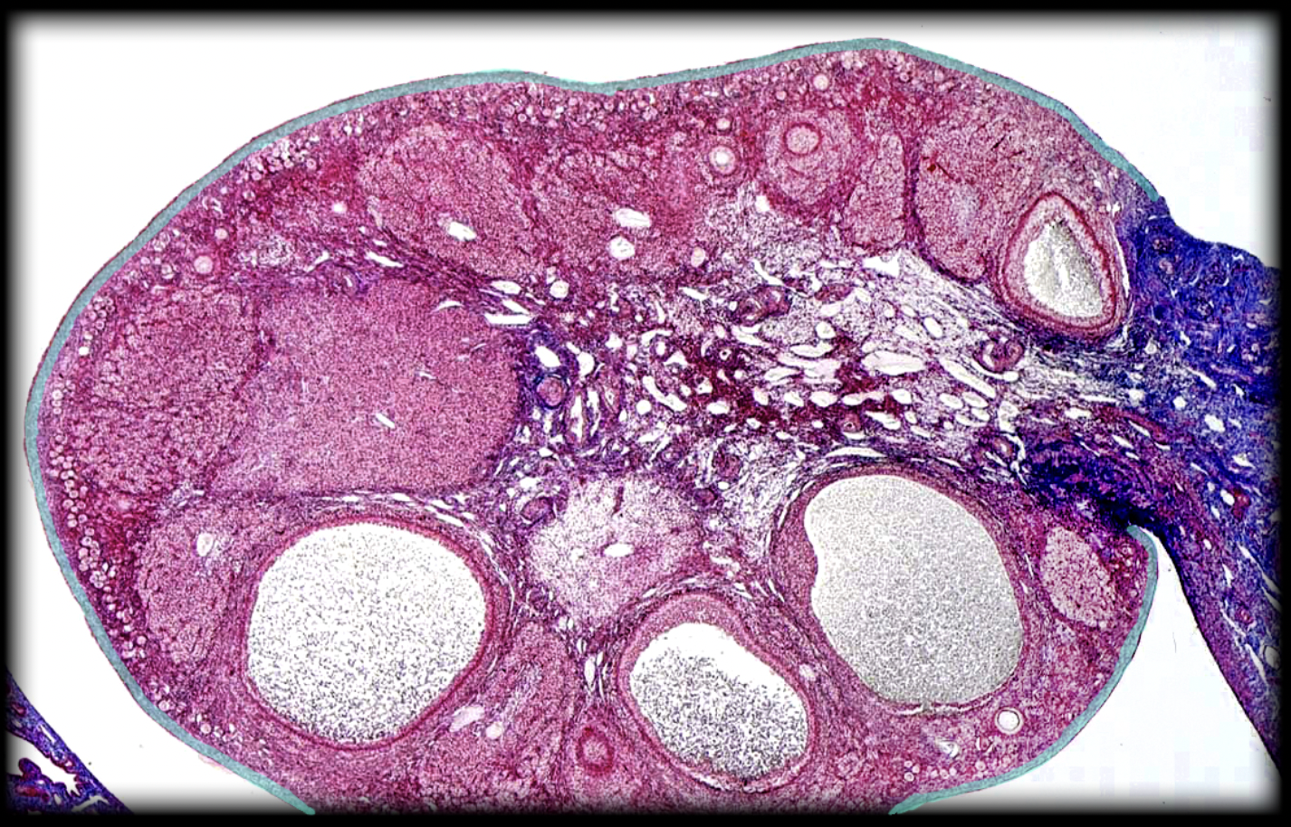
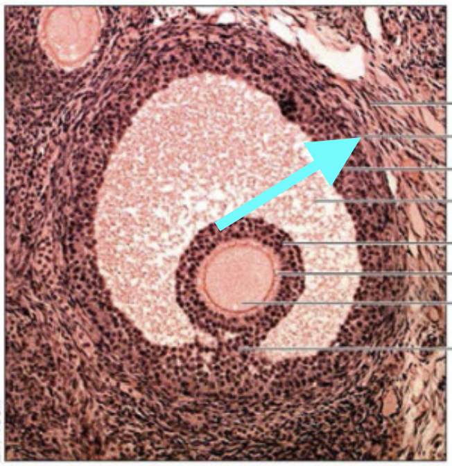
What structure is shown?
Ovary

What structure is shown?
Tunica albuginea

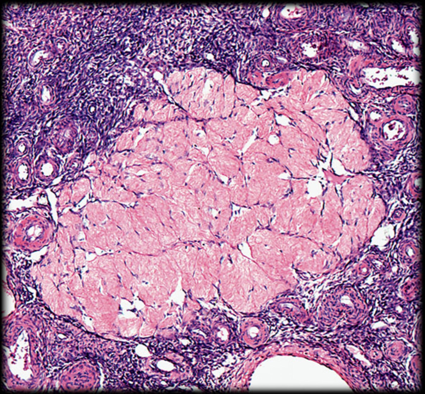
What structure is shown (middle structure)?
Corpus albicans

What structure is shown (at pointer)?
Corpus luteum

What structure is shown (at pointer)?
Primordial follicle

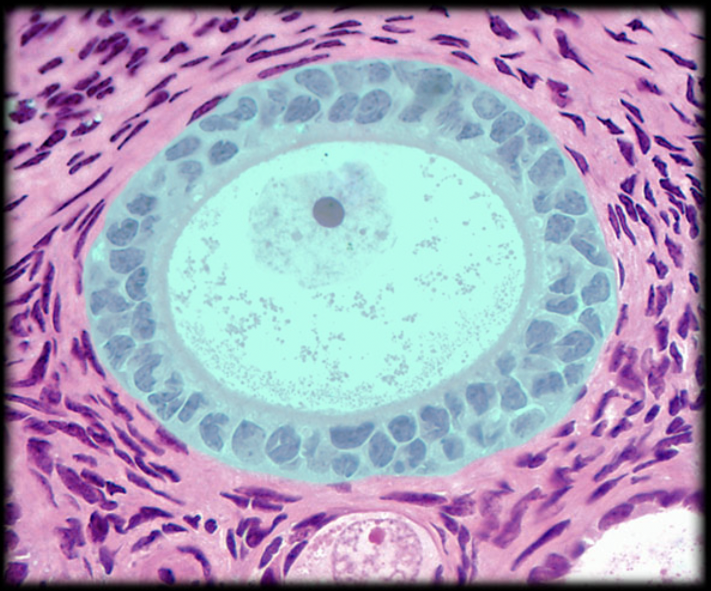
What structure is shown (at pointer)?
Primary follicle

What structure is shown?
Secondary follicle

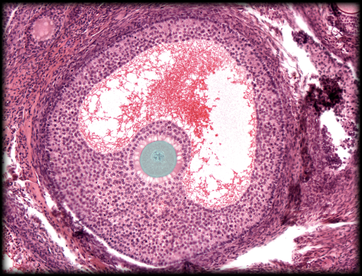
What structure is shown (structure in middle)?
Graafian follicle

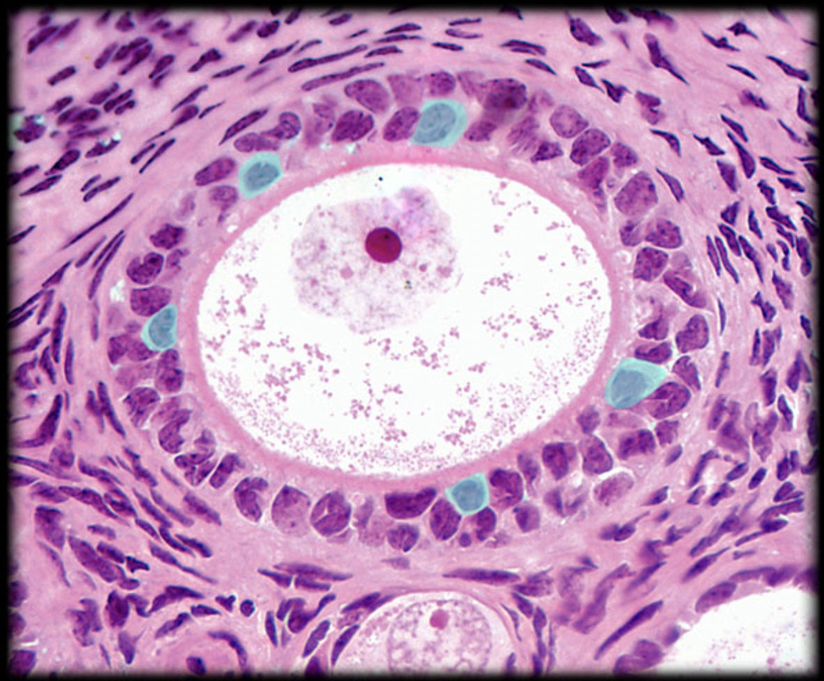
What structure is shown?
Oocyte

What structure is shown?
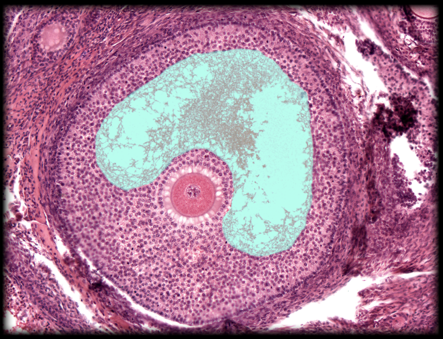
Antrum

What structure is shown?
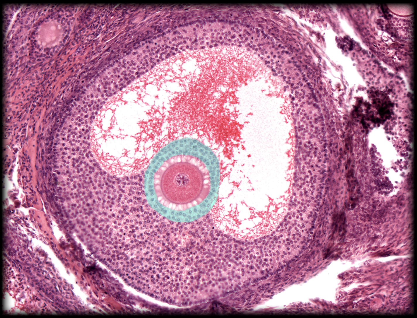
Corona radiata

What structure is shown?
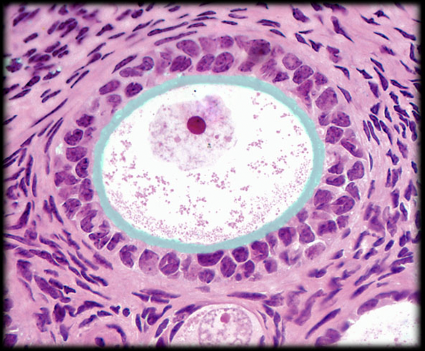
Zona pellucida

What structure is shown (at arrow)?
Cumulus oophorus

What structure is shown (at arrow)?
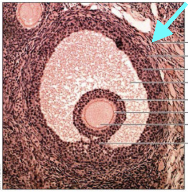
Theca externa

What structure is shown (at arrow)?
Theca interna

What structure is shown?
Granulosa cells

What structure is shown?
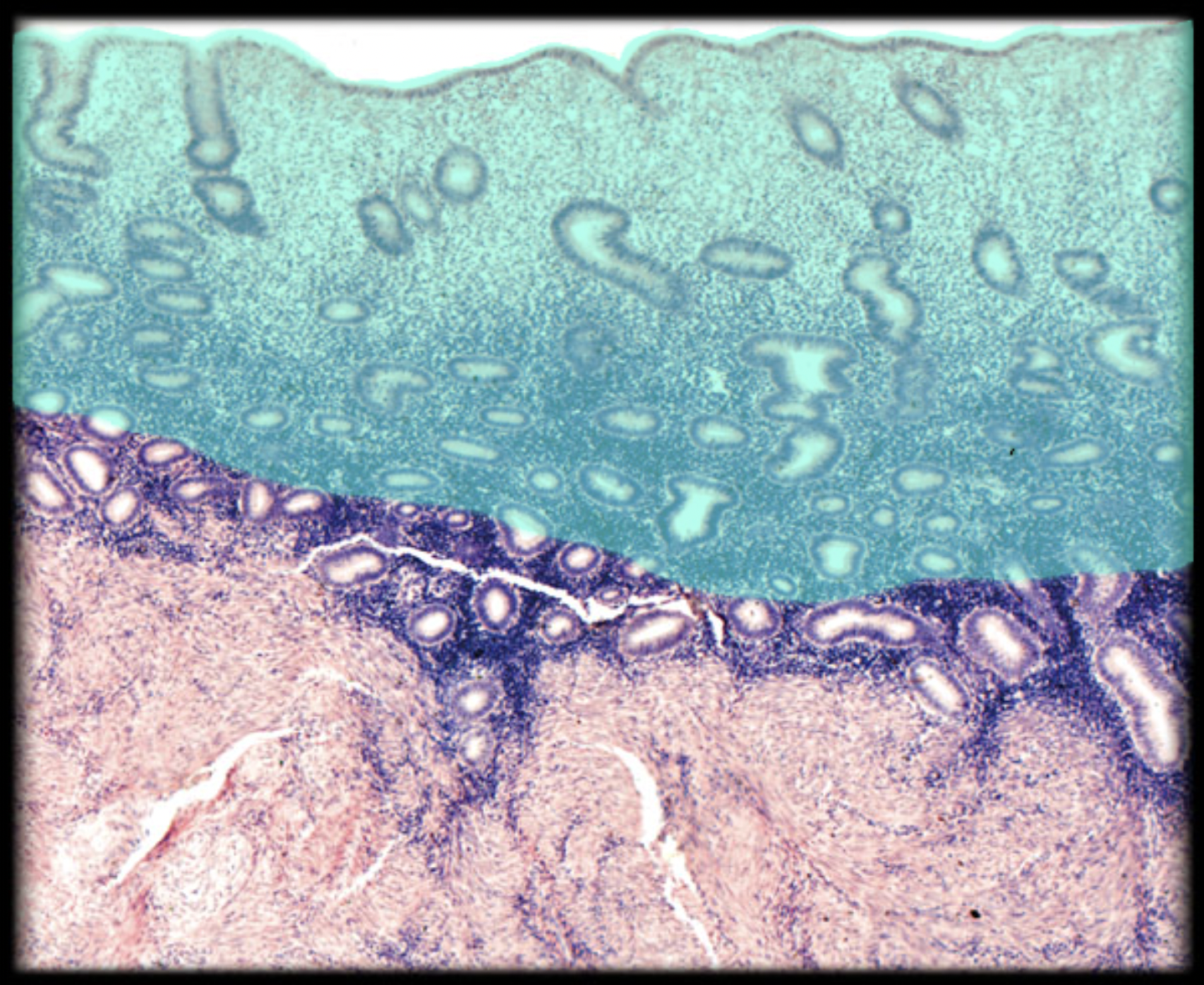
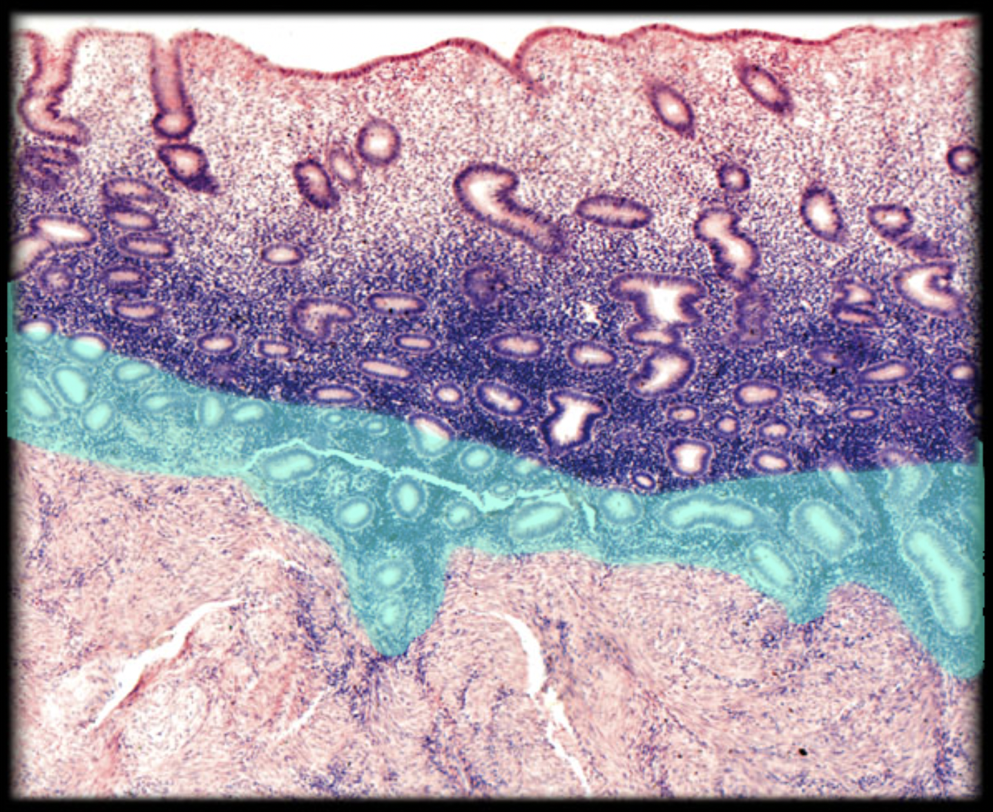
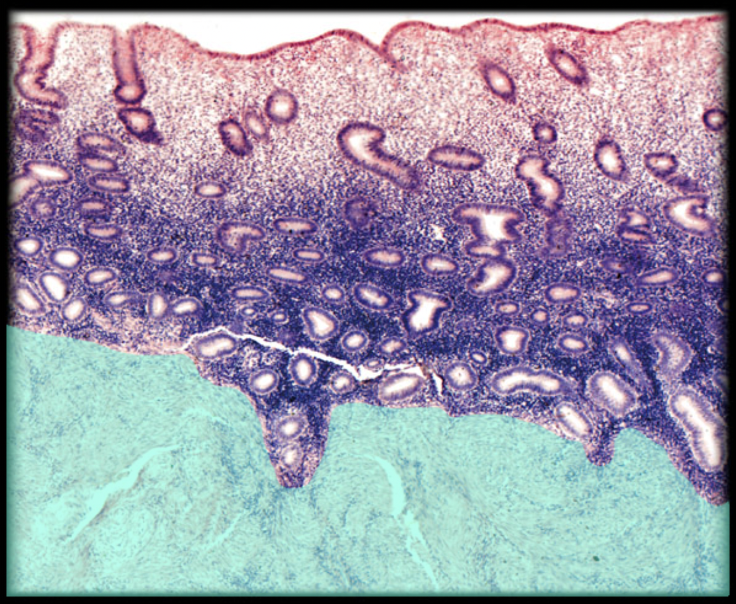
Uterus

What structure is shown?
Endometrium — functional layer

What structure is shown?
Endometrium — basal layer

What structure is shown?
Myometrium

What structure is shown?
Perimetrium

What structure is shown?
Testis

What structure is shown (at pointer)?
Seminiferous tubules

What structure is shown?
Epididymus

What structure is shown?
Penis

What structure is shown?
Corpus spongiosum

What structure is shown (opening at pointer)?
Spongy urethra

What structure is shown?
Corpora cavernosum

What structure is shown (at pointer)?
Central artery

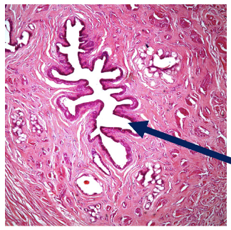
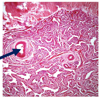
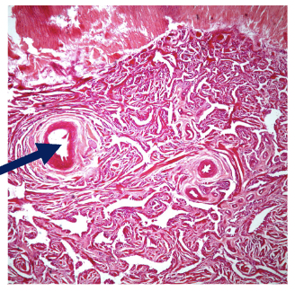
What structure is shown?
Uterine tubes

What structure is shown?
Vas deferens

What structure is shown?
Prostate gland

What structure is shown (at pointer)?
Prostatic calculi

What structure is shown?
Broad ligament

What structure is shown?
Mesometrium

What structure is shown?
Mesosalpinx

What structure is shown?
Mesovarium

What structure is shown?
Ovarian ligament

What structure is shown?
Round ligament of the uterus

What structure is shown?
Suspensory ligament of the ovary

What structure is shown?
Breast

What structure is shown?
Areola

What structure is shown?
Nipple

What structure is shown?
Uterine tubes

What structure is shown?
Infundibulum

What structure is shown?
Ampulla

What structure is shown?
Isthmus

What structure is shown?
Uterine part

What structure is shown?
Uterus

What structure is shown?
Body

What structure is shown?
Fundus

What structure is shown?
Cervix

What structure is shown?
Internal os

What structure is shown?
External os

What structure is shown?
Cervical canal

What structure is shown?
Ovary

What structure is shown?
Fimbriae

What structure is shown?
Vagina (vaginal canal)

What structure is shown?
Labia minora

What structure is shown?
Labia majora

What structure is shown?
Clitoris

What structure is shown?
Rectouterine pouch

What structure is shown?
Vesicouterine pouch

What structure is shown?
Testis

What structure is shown?
Seminiferous tubules

What structure is shown?
Tunica albuginea

What structure is shown?
Scrotum

What structure is shown?
Spermatic cord

What structure is shown?
Vas deferens

What structure is shown?
Testicular artery

What structure is shown?
Testicular vein

What structure is shown?
Penis

What structure is shown?
Crus

What structure is shown?
Glans penis

What structure is shown?
Prepuce

What structure is shown?
Corpus spongiosum

What structure is shown?
Corpora cavernosum

What structure is shown?
Seminal vesicle

What structure is shown?
Ejaculatory duct

What structure is shown?
Prostate gland

What structure is shown?
Bulbourethral gland

What structure is shown?
Urogenital diaphragm (male)

What structure is shown?
Urogenital diaphragm (female)

What structure is shown?
Zygote

What structure is shown?
Morula

What structure is shown?
Blastocyst

What structure is shown?
Embryo

What structure is shown?
Embryoblast

What structure is shown?
Trophoblast

What structure is shown?
Yolk sac

What structure is shown?
Primitive streak

What structure is shown?
Connecting stalk

What structure is shown?
Chorion

What structure is shown?
Amnion

What structure is shown?
Amniotic cavity

What structure is shown?
Neural tube

What structure is shown?
Gut tube

What structure is shown?
Endoderm

What structure is shown?
Mesoderm

What structure is shown?
Ectoderm