1/142
Looks like no tags are added yet.
Name | Mastery | Learn | Test | Matching | Spaced | Call with Kai |
|---|
No analytics yet
Send a link to your students to track their progress
External Nares

Nasopharynx
green highlighted area

Oropharynx

laryngopharynx

Superior nasal conchae

Superior nasal meatus
Name #5

Middle nasal conchae

Middle nasal meatus

Inferior nasal meatus

hard palate

soft palate
structure

uvula

vestibular folds
Top

Vocal folds
bottom

epiglottis

palatine bone and maxillary bone
What is the hard palate made of?
hyoid bone
Name

thyroid cartilage, hyaline cartilage
Name, then name what it is made of

cricoid cartilage

cricothyroid ligament

Carina

diaphragm

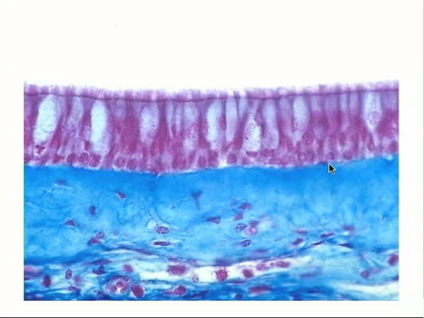
trachea, hyaline cartilage, pseudostratified columnar epithelium
Name, cartilage, cells

buffer
Any substance that resists a change in pH
Spirometer
measures lung volume in exhaled air
inspiratory reserve volume

tidal volume

expiratory reserve volume

vital capacity

Residual Volume

total lung capacity

jejunum

liver

canines

rugae

pancreatic duct

oblique layer

longitudinal layer

cardiac sphincter
feature

lesser curvature

fundus

pylorus

cardiac region
region

molars

incisors

appendix

pancreas

gallbladder

transverse colon

descending colon

ascending colon

ileum

stomach
whole structure

Esophagus

Submandibular gland

Sublingual gland

Parotid gland

Tongue

temperature
Enzymes prefer a warm temperature
Too hot/too cold:go slow
Boiling temperature= denature
pH
enzymes prefer a neutral pH 7.35-7.45
Spirogram
whole chart

Pharynx

inferior nasal conchae

Larynx

elastic cartilage
What is the epiglottis made of?
right primary bronchi
need left and right

left secondary bronchi
need left and right

left tertiary bronchi
need left and right

Left lung
4

superior lobe of left lung
yellow

inferior lobe of left lung
light blue

right lung

superior lobe of right lung
red

middle lobe of right lung
green

inferior lobe of right lung
dark blue

cardiac notch

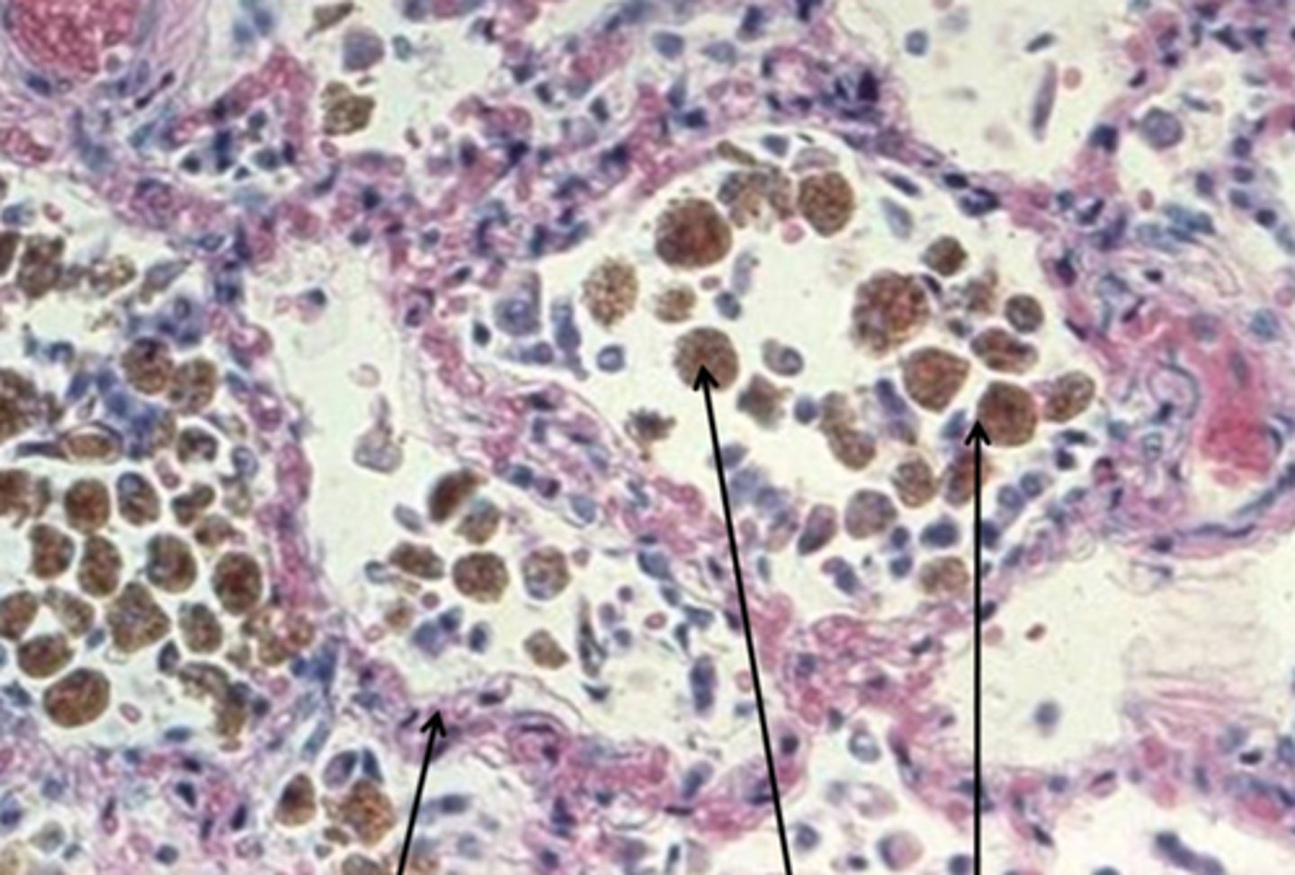
alveoli, simple squamous epithelium
name, cells

Lower pH
Higher Co2
Raise pH
Lower Co2
Lower pH
Higher H+
Dentin
B

pulp
C

enamel
A

Body
region

greater curvature

circular layer

pyloric sphincter
feature

small intestine

duodenum

plicae circulares

ileocecal valve
feature

large intestine

cecum
region

extended cecum

sigmoid colon

spiral colon

haustra
Red circles

teniae coli

rectum
the final section of the large intestine, terminating at the anus.
anus
A muscular opening at the end of the rectum through which waste material is eliminated from the body