1/35
Looks like no tags are added yet.
Name | Mastery | Learn | Test | Matching | Spaced | Call with Kai |
|---|
No analytics yet
Send a link to your students to track their progress
stratified squamous
A) ID type of epithelium

Simple columnar
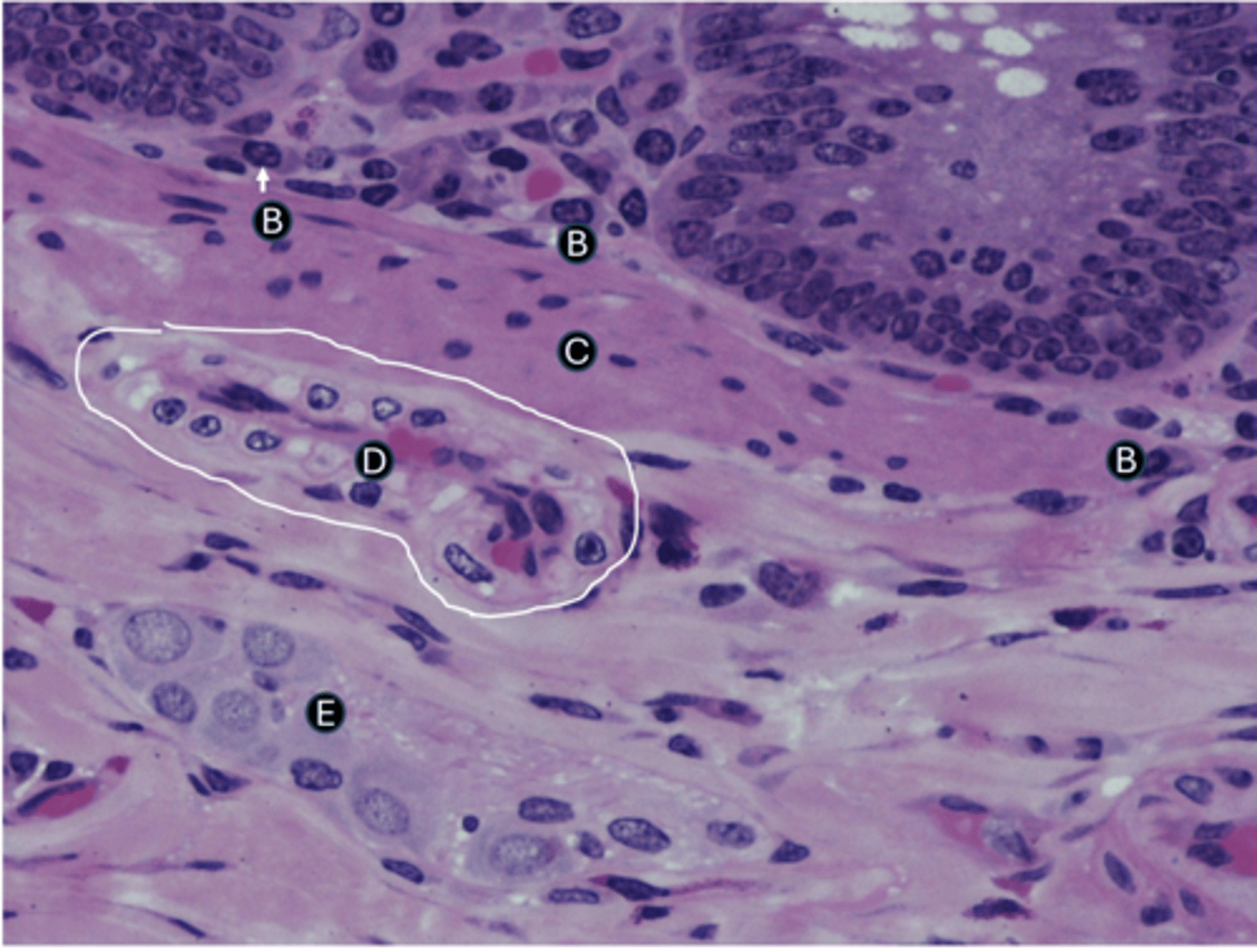
B) ID the type of epithelium

GALT
C) Id the labeled structure

junction between rectum and anus
D) ID the labeled structure

esophageo-cardiac junction, anorecta junction
E) Name 2 sites where you could find this kind of transition between 2 types of epithelium

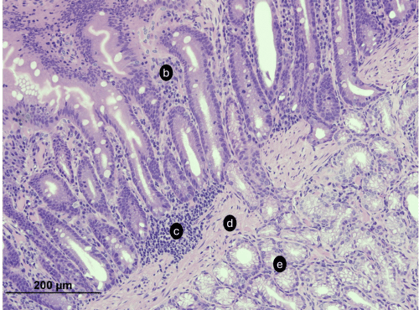
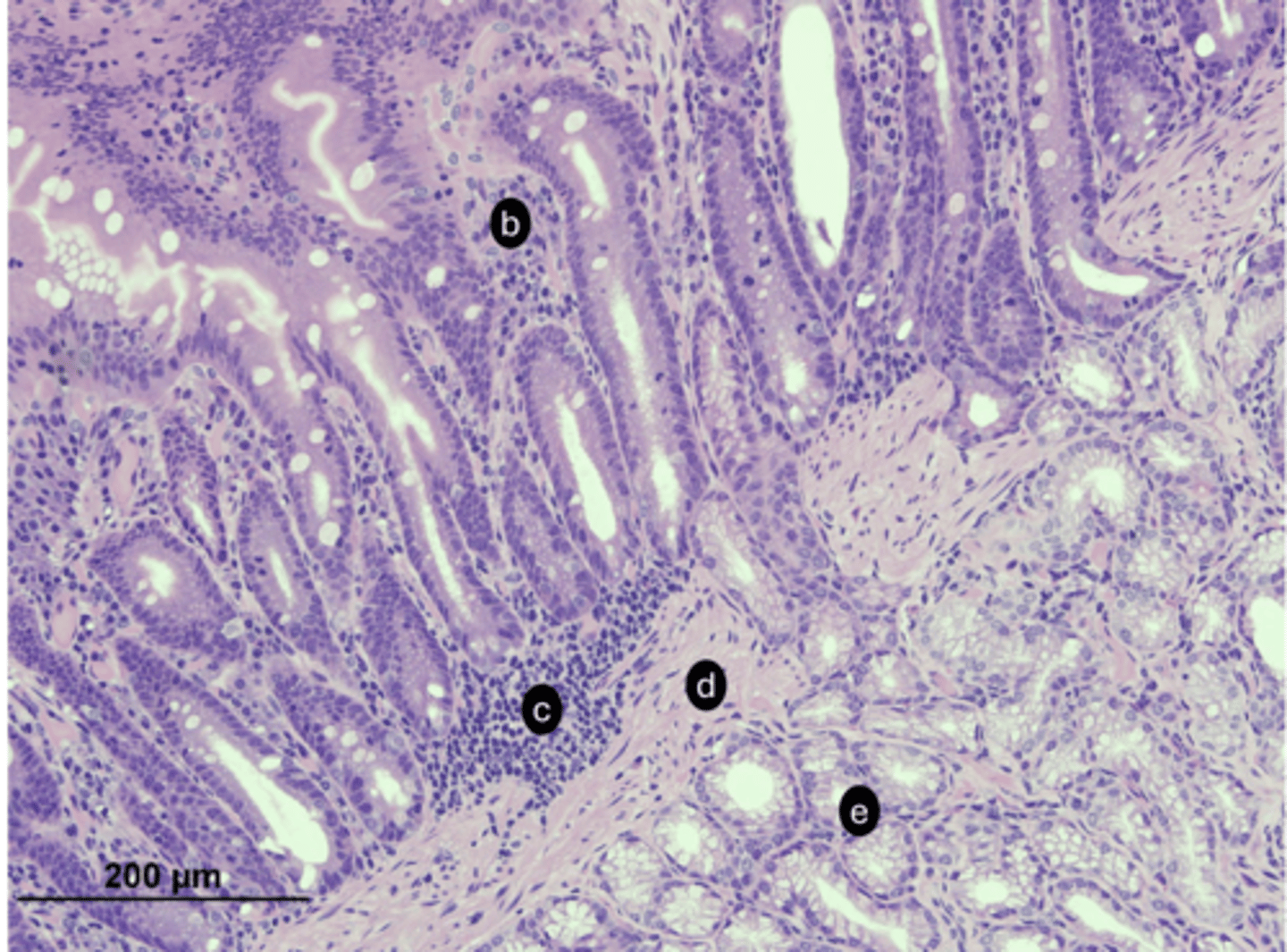
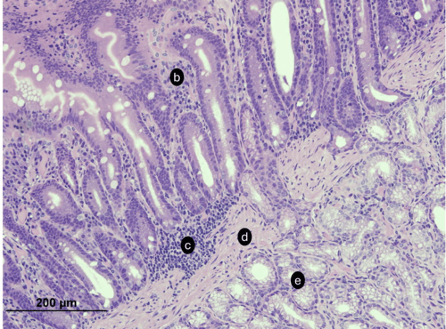
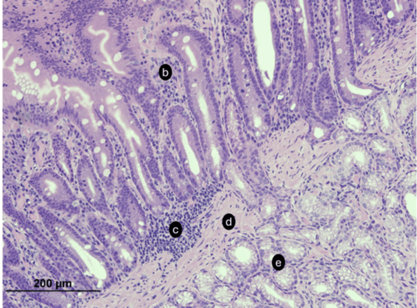
duodenum
A) ID the specific organ

lamina propria
B) ID the labeled region

MALT
C) ID the labeled structure

lamina muscularis mucosa
D) ID the labeled structure

submucosal mucos secreting glands w/in the tunica submucosa
E) ID the labeled tissue and the specific region the glands is in

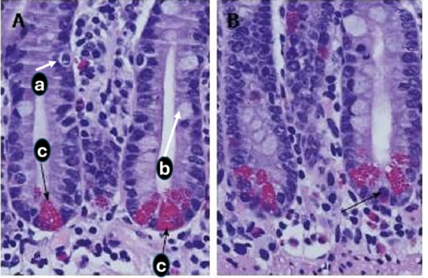
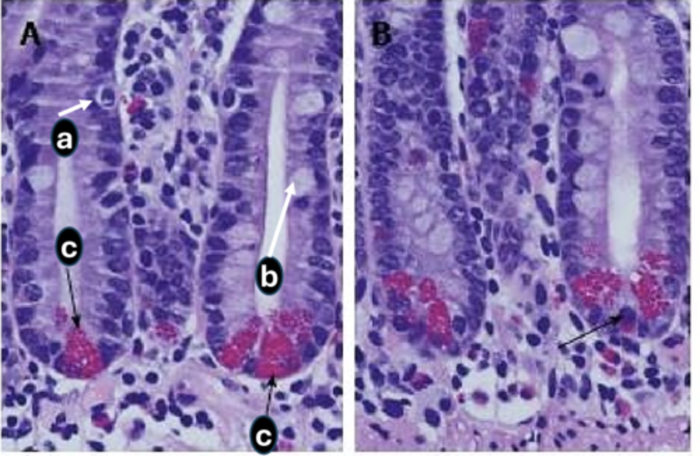
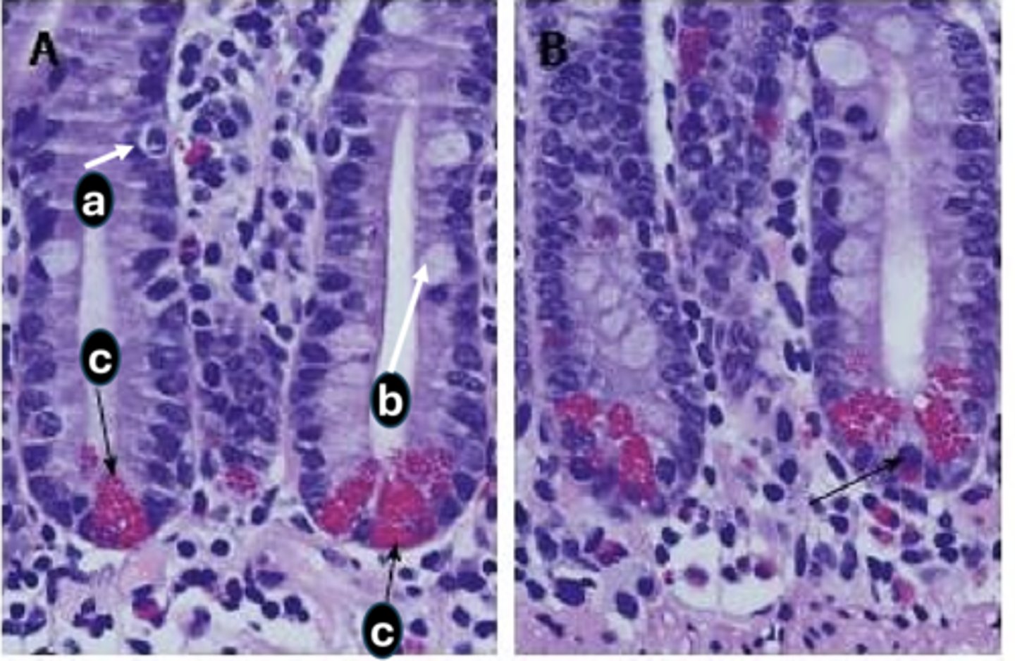
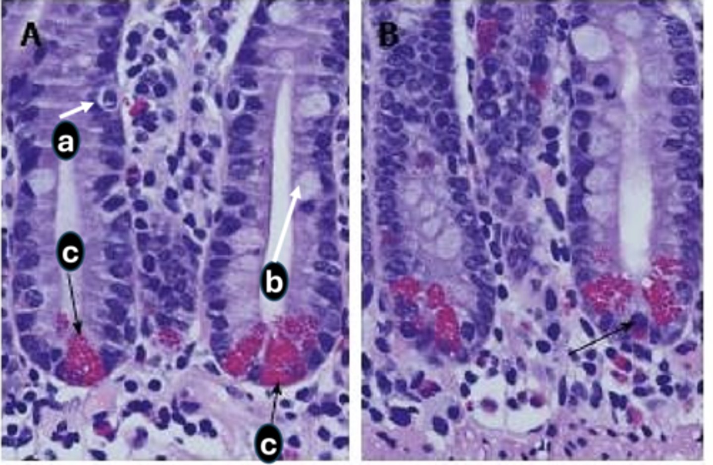
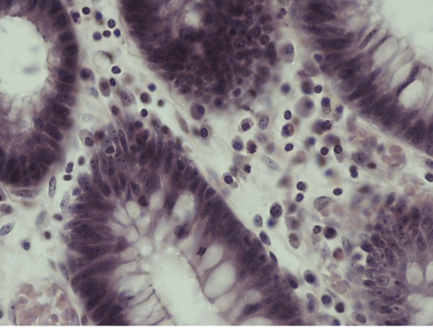
endocrine cell
A) Name the labeled cell

goblet cell
B) Name the labeled cell

paneth cell
C) Name the labeled cell

secrete antimicrobial substances, enterocyte, goblet cell, plasma cell, lymphocyte, eosinophil, paneth cells secrete antimicrobial, peptides/proteins
D) what does the cell in (c) secrete?

enterocyte, goblet cell, plasma cell, lymphocyte, eosinophil
ID as many cell types as you can in the image

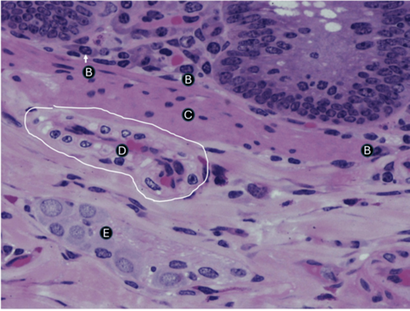
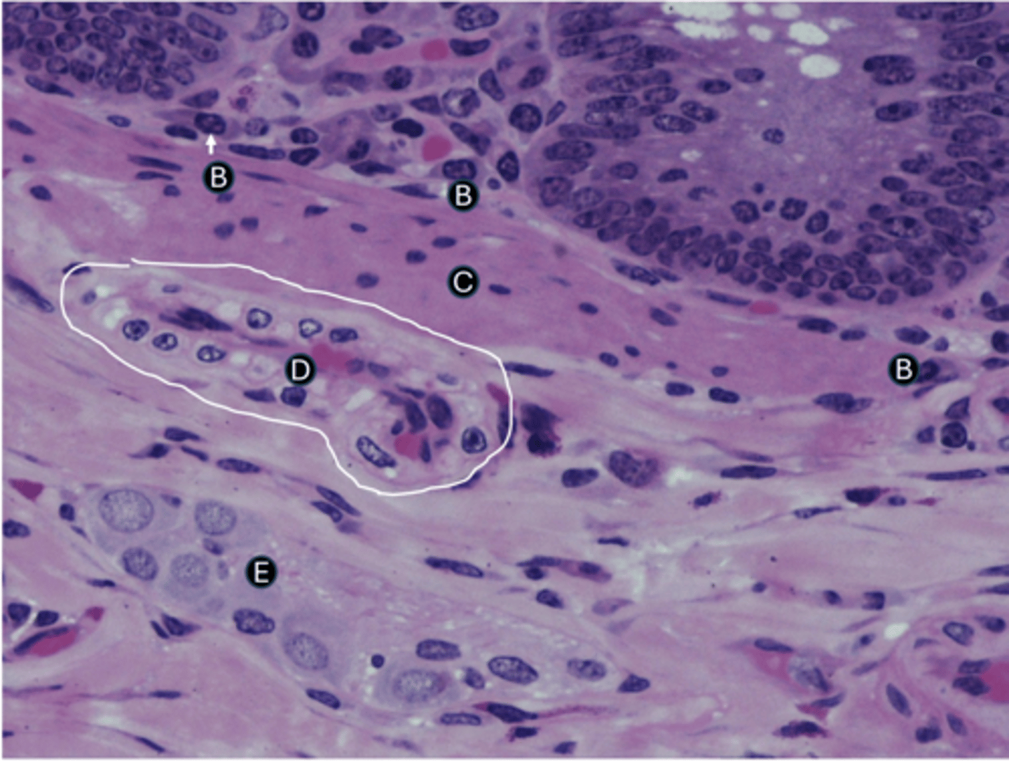
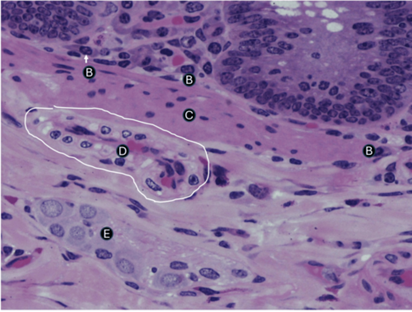
digestive
A) ID the system this section is taken from

plasma cell
B) ID the cell

lamina musclaris mucosa
C) ID the structure

blood vessel
D) ID the labeled structure

submucosal ganglion acts on LMM to increase secretion of intestinal glands
E) ID the structure, function of this structure

colon, rectum
A) ID the segment of the GIT

enterocytes, predominant goblet
B) Name all cell types and the predominant cell type

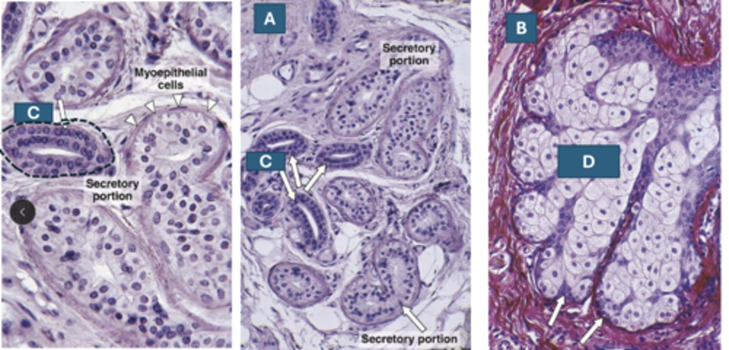
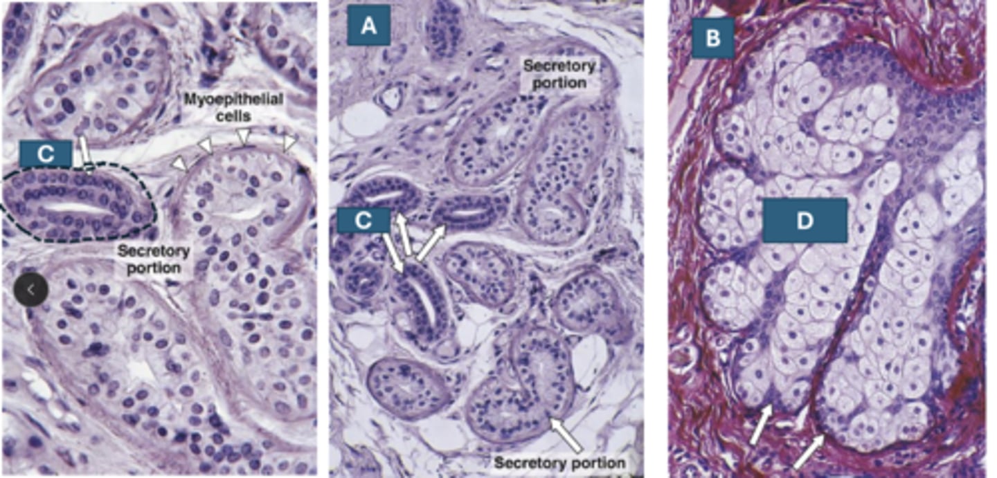
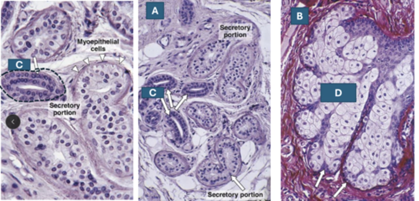
simple coiled tubular/ merocrine, apocrine
A) classify the gland

simple acinar/ holocrine
B) classify the gland

ducts
C) name the labeled part

holocrine
D) name mode of secretion

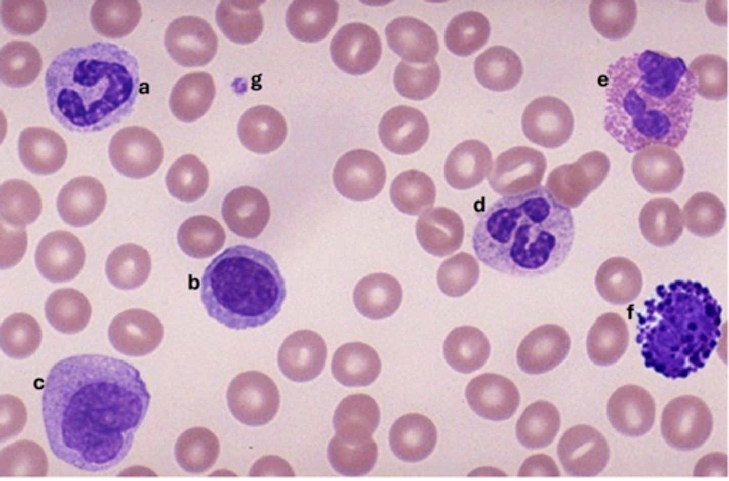
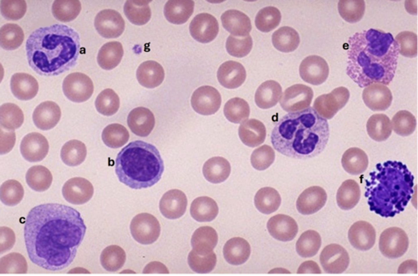
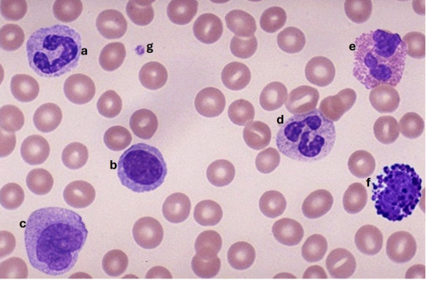
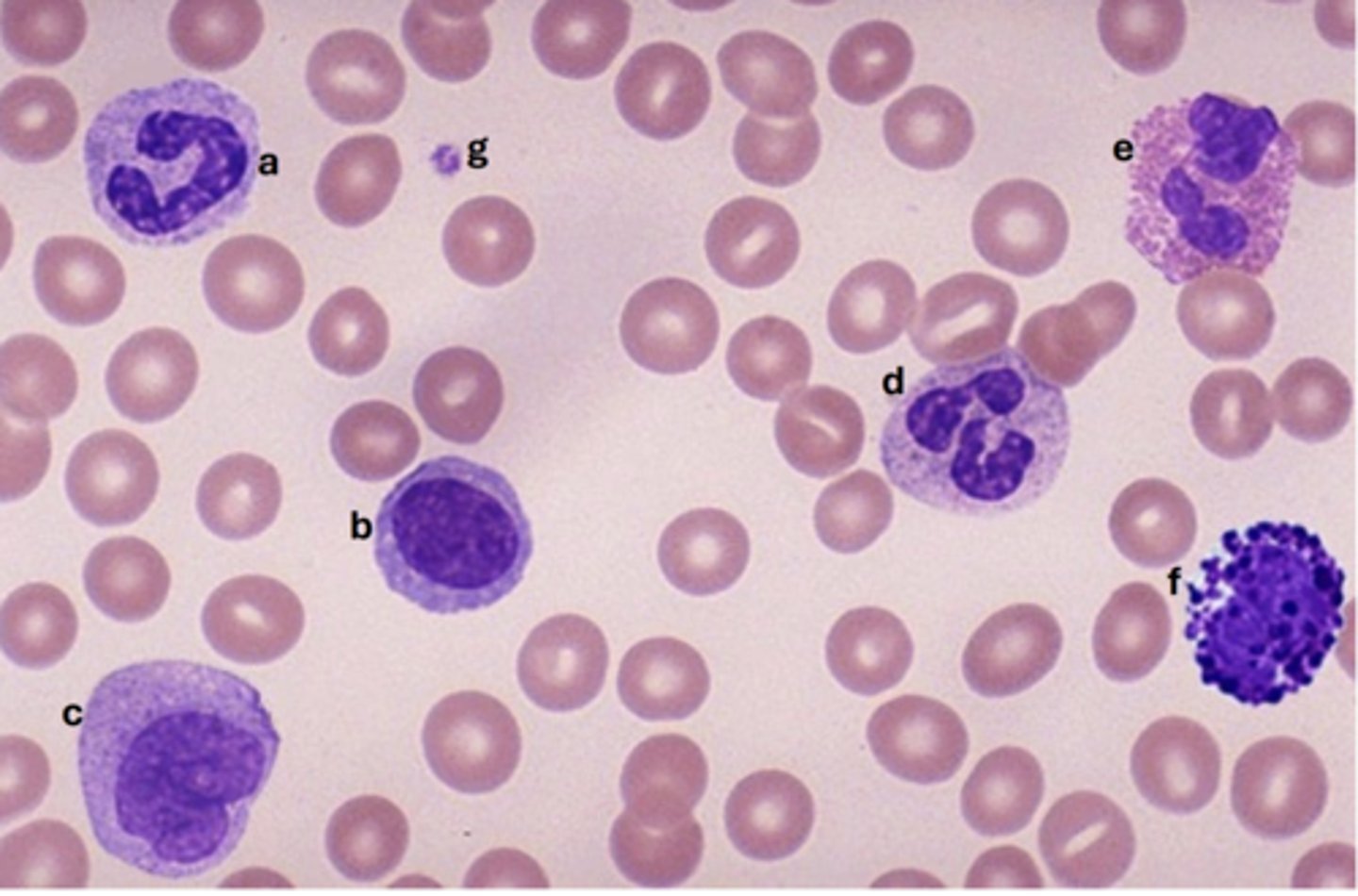
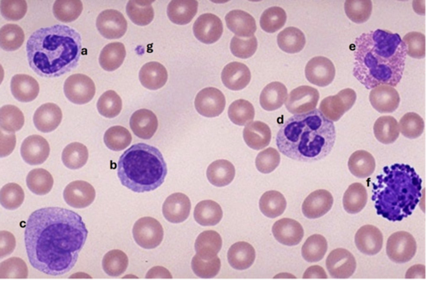
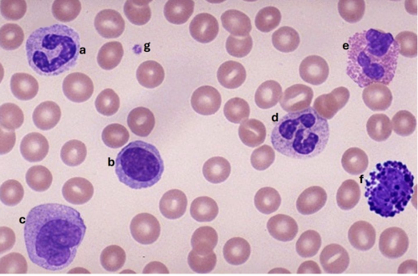
band neutrophil
A) label cell

lymphocyte
B) label cell

monocyte
C) label cell

segmented neutrophil
D) label cell

eosinophil
E) label cell

basophil
F) label cell

blood platelet
G) label the structure

segmented neutrophil
A) ID the specific type of the blood cell

Barr body (inactivated X chromosome, remnant of X chromosome)
B) What is the labeled strucutre?

peroxidase, acid hydrolase, neutral proteases, elastase, myeloperoxidase, lysozymes, defensins, bactoricidal permeability inducing protein, collagenase
C) Name contents of the granules within the cytoplasm
