1/16
Looks like no tags are added yet.
Name | Mastery | Learn | Test | Matching | Spaced | Call with Kai |
|---|
No analytics yet
Send a link to your students to track their progress
skeletal muscle
provides voluntary movement, orderly arrangement of myofilaments, cross-striations

cardiac muscle
Involuntary muscle tissue found only in the heart controlled by intrinsic rhythm and autonomic nervous system. Striated with intercalated discs

the junctions between cardiac muscles cells that allow the heart to contract as a unit are called
intercalated discs
smooth muscle is found in
hollow organs like the digestive tract, esophagus and blood vessels
smooth muscle has no
striations
smooth muscle appearance and characteristics
spindle shaped, plastic, involuntary

nerve cell anatomy
-nerve axon
-cell body
-cytoplasmic extensions and dendrites
dense connective tissue can be
tendons, ligaments
dense connective tissue has parallel
collagen and elastic fibres. main cell type is fibroblast
dense connective tissue appearance

compact bone tissue has a calcified matrix of
collagen, osteocytes
compact bone appearance

adipose tissue has nuclei which are
pushed to the side due to large fat droplets

Function of adipose
provides reserve food fuel; insulates against heat loss; supports and protects organs
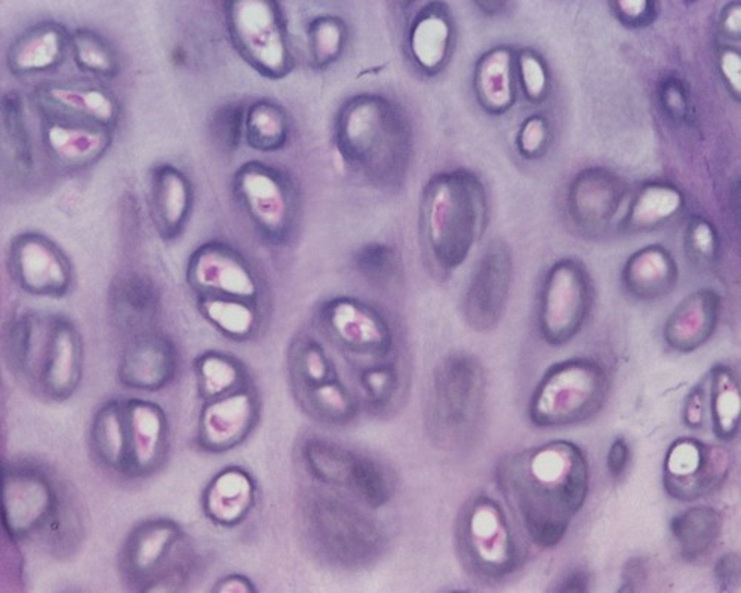
the cartilage found in the trachea is
hyaline

the function of hyaline cartilage
supports and reinforces; serves as resilient cushion; resists compressive stress
hyaline cartilage locations
articular cartilage, costal cartilage, trachea, larynx, fetal skeleton