gross quiz uppr joint and ligaments, lower joints

0.0(0)
studied byStudied by 9 people
call kaiCall Kai
learnLearn
examPractice Test
spaced repetitionSpaced Repetition
heart puzzleMatch
flashcardsFlashcards
GameKnowt Play
Card Sorting

1/116

flashcard set

Earn XP

Last updated 2:39 PM on 2/27/23
Name
Mastery
Learn
Test
Matching
Spaced
Call with Kai

No analytics yet

Send a link to your students to track their progress

117 Terms

1
New cards
femoroacetabular joint
knowt flashcard image
2
New cards
sacroilliac joint:
knowt flashcard image
3
New cards
pubic symphysis joint:
knowt flashcard image
4
New cards
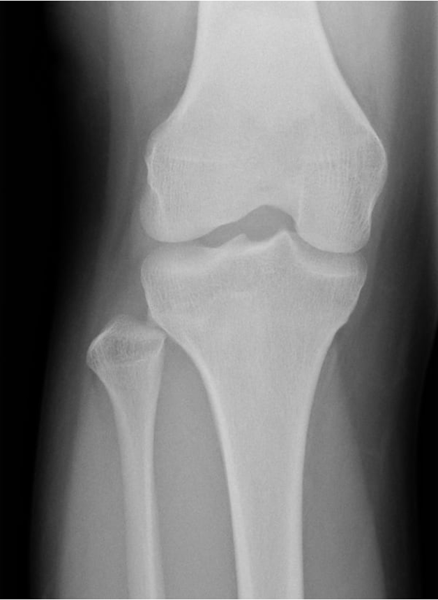
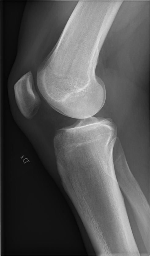
knee joint
knowt flashcard image
5
New cards
patellofemoral joint:
knowt flashcard image
6
New cards
proximal and distal tib-fib joint
knowt flashcard image
7
New cards
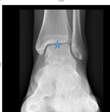
talocrual joint:
knowt flashcard image
8
New cards
subtalar joint:
knowt flashcard image
9
New cards
intercuneiform joint:
knowt flashcard image
10
New cards
tarsometatarsal joint:
knowt flashcard image
11
New cards
metatarsophalangeal joint:
knowt flashcard image
12
New cards
interphalangeal joint:
knowt flashcard image
13
New cards
sternoclavicular joint:
knowt flashcard image
14
New cards
acromioclavicular joint:
knowt flashcard image
15
New cards
glenohumeral joint:
knowt flashcard image
16
New cards
scapulothoracic joint:
knowt flashcard image
17
New cards
elbow joint:
knowt flashcard image
18
New cards
humeroradial joint:
knowt flashcard image
19
New cards
humeroulnar joint:
knowt flashcard image
20
New cards
proximal radioulnar joint:
knowt flashcard image
21
New cards
distal radioulnar joint:
knowt flashcard image
22
New cards
radiocarpal joint:
knowt flashcard image
23
New cards
midcarpal joint:
knowt flashcard image
24
New cards
intercarpal joint:
knowt flashcard image
25
New cards
carpometacarpal joint:
knowt flashcard image
26
New cards
metacarpophalangeal joint:
knowt flashcard image
27
New cards
interphalangeal joint:
knowt flashcard image
28
New cards
atlanto-occipital joint:
knowt flashcard image
29
New cards
atlantoaxial joint:
knowt flashcard image
30
New cards
zygopophyseal joint:
knowt flashcard image
31
New cards
coracohumermal ligament:
knowt flashcard image
32
New cards
coracoacromail ligament:
knowt flashcard image
33
New cards
glenohumeral ligament: (superior, inferior, middle)
knowt flashcard image
34
New cards
transverse humeral ligament:
knowt flashcard image
35
New cards
superior trasnverse scapular ligament:
knowt flashcard image
36
New cards
anterior sternoclavicular ligament:
knowt flashcard image
37
New cards
interclavicular ligament:
knowt flashcard image
38
New cards
costoclavicular ligament:
knowt flashcard image
39
New cards
acromioclavicular ligament:
knowt flashcard image
40
New cards
coracoclavicualar conoid aspect ligament:
knowt flashcard image
41
New cards
corcacoclavicular trapezoid aspect ligament:
knowt flashcard image
42
New cards
coracoacromial ligament:
knowt flashcard image
43
New cards
annular ligament:
knowt flashcard image
44
New cards
lateral collateral ligament:
45
New cards
radial collateral ligament:
knowt flashcard image
46
New cards
ulnar collateral ligament:
knowt flashcard image
47
New cards
interosseous membrane:
knowt flashcard image
48
New cards
radioulnar ligament:
49
New cards
dorsal radiocarpal ligament:
knowt flashcard image
50
New cards
palmar radiocarpal ligament:
knowt flashcard image
51
New cards
radial carpal collateral ligament:
knowt flashcard image
52
New cards
ulnar carpal collateral ligament:
knowt flashcard image
53
New cards
dorsal radioulnar ligament:
knowt flashcard image
54
New cards
palmar radioulnar ligaments:
knowt flashcard image
55
New cards
dorsal intercarpal ligament:
knowt flashcard image
56
New cards
dorsal capometacarpal ligament:
knowt flashcard image
57
New cards
dorsal intermetacarpal ligament:
knowt flashcard image
58
New cards
metacarpophalangeal collaterals ligament:
knowt flashcard image
59
New cards
interphalangeal collaterals ligament:
knowt flashcard image
60
New cards
palmar ulnocarpal ligament:
knowt flashcard image
61
New cards
palmar radiocarpal ligament:
knowt flashcard image
62
New cards
palmar intercarpal ligament:
knowt flashcard image
63
New cards
palmar carpometacarpal ligament:
knowt flashcard image
64
New cards
palmar metacarpals ligament:
knowt flashcard image
65
New cards
palmar ligaments of MCP, IP ligament:
knowt flashcard image
66
New cards
annular ligaments:
knowt flashcard image
67
New cards
deep transverse metacarpal ligament:
knowt flashcard image
68
New cards
interphalangeal collateral ligament:
knowt flashcard image
69
New cards
intervertebral disk joint:
knowt flashcard image
70
New cards
anterior sacroiliac ligament:
knowt flashcard image
71
New cards
sacrospinous ligament:
knowt flashcard image
72
New cards
inguinal ligament:
knowt flashcard image
73
New cards
posterior sacroiliac ligament:
knowt flashcard image
74
New cards
sacrospinous ligament:
knowt flashcard image
75
New cards
sacrotuberous ligament:
knowt flashcard image
76
New cards
iliolumbar ligament:
knowt flashcard image
77
New cards
obturator foramen ligament:
knowt flashcard image
78
New cards
iliofemoral ligament:
knowt flashcard image
79
New cards
ischiofemoral ligament:
knowt flashcard image
80
New cards
pubofemoral ligament:
knowt flashcard image
81
New cards
ligaments of head of femur:
knowt flashcard image
82
New cards
transverse acetabular ligament:
knowt flashcard image
83
New cards
retinaculum ligament:
fascia that stabilizes a tendon
fascia that stabilizes a tendon
84
New cards
medial menisci ligament:
knowt flashcard image
85
New cards
lateral menisci ligament:
knowt flashcard image
86
New cards
tranverse menisci ligament:
knowt flashcard image
87
New cards
posterior meniscofemoral ligament:
knowt flashcard image
88
New cards
patellar tendon ligament:
knowt flashcard image
89
New cards
fibular collateral ligament:
knowt flashcard image
90
New cards
tibial collateral ligament:
knowt flashcard image
91
New cards
anterolateral ligament:
knowt flashcard image
92
New cards
popliteofibular ligament:
knowt flashcard image
93
New cards
oblique popliteal ligament:
knowt flashcard image
94
New cards
arcuate popliteal ligament:
knowt flashcard image
95
New cards
anterior cruciate ligament:
knowt flashcard image
96
New cards
posterior cruciate ligament:
knowt flashcard image
97
New cards
posterior talofibular ligament:
knowt flashcard image
98
New cards
anterior talofibular ligament:
knowt flashcard image
99
New cards
calcaneofibular ligament:
knowt flashcard image
100
New cards
deltoid ligament:
* anterior tibiotalar
* tibionavicular
* tibiocalcalnela
* posterior tibiotalar