1/17
This builds off of the foot by adding on questions specific to only the ankle.
Name | Mastery | Learn | Test | Matching | Spaced | Call with Kai |
|---|
No analytics yet
Send a link to your students to track their progress
Trimalleolar fracture looks like what

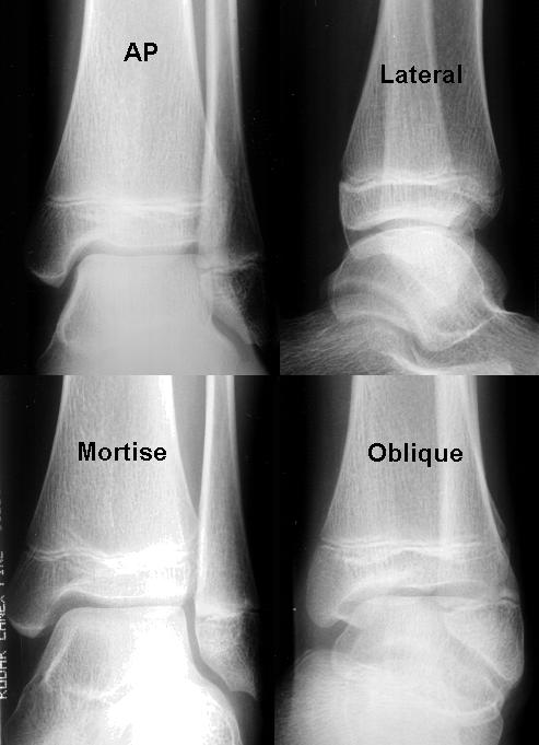
What are all of the potential positions?
Anteroposterior (AP) Projection
AP Mortise – 15-20 Degree Rotation*
AP Medial Oblique – 45 Degree*
AP Lateral Oblique – 45 Degree (optional)
Lateral
What does the ankle need to include
Proximal metatarsals through distal one third of tibia and fibula.

Picture how to position for an AP ankle
Foot position:
IR:
CR:
Plantar is nearly vertical to IR
Lengthwise
midpoint between the malleoli + 1-2inch above lateral malleolus

AP ankle structures best demonstrated
Medial mortise joint open.
Lateral mortise closed.
Some superimposition of distal fibula with tibia and talus.

AP Medial Oblique ankle positioning/factors:
Foot position:
angle:
IR:
CR:
dorsiflex foot (toes up) so plantar surface is vertical to IR
internally rotate 45 degrees
lengthwise
Center midway between the malleoli.

AP Medial Oblique ankle structures best demonstrated:
Distal tibiofibular joint space open.
Lateral malleolus and talus articulation with little or no superimposition.
Medial malleolus partially superimposed

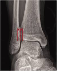
AP External Oblique ankle positioning/factors:
Foot position:
angle:
IR:
CR:
dorsiflex foot so plantar surface is vertical to IR
45 degree external rotation
lengthwise
Center midway between the malleoli

AP External Oblique ankle structures best demonstrated:
Posterior aspect of the medial malleolus
Distal tibia

AP External Oblique ankle purpose:
Rule out trimalleolar fracture.

what is a trimalleolar fracture
• Lateral malleolus
• Medial malleolus
• Distal posterior aspect of the tibia, called the posterior malleolus.

Mortise ankle positioning/factors:
Foot position:
angle:
IR:
CR:
flexed somewhat
15-20 degrees internally rotated or until intermalleolar line appears parallel to IR
lengthwise
1-2inch above lateral malleolus

Mortise ankle structures best demonstrated
Ankle mortise joint space open between medial and lateral malleoli.
Minimal superimposition at the distal tibiofibular joint.

The mortise joint refers to the space formed by
• Medial malleolus
• Lateral malleolus
• Talus between them.

latera ankle position:
IR:
CR:
flex foot
lengthwise
1 inch inferior to the medial malleolus

lateral ankle structures best demonstrated
Open tibiotalar joint
Trochlea of the talus
Distal tibia and fibula superimposed.
Lateral malleolus superimposed over posterior tibia and talus.
Tibiotalar Joint: joint classification / movements allowed
Diarthroidal hinge joint.
dorsiflexion and plantar flexion.

Distal Tibiofibular Joint: joint classification / movements allowed
Syndesmoses, amphiarthroidal joint.
Slight movement only.
