Embryo 9 - Vasculature

0.0(0)
studied byStudied by 0 people
0.0(0)
call kaiCall Kai
learnLearn
examPractice Test
spaced repetitionSpaced Repetition
heart puzzleMatch
flashcardsFlashcards
GameKnowt Play
Card Sorting

1/82

encourage image

There's no tags or description

Looks like no tags are added yet.

Last updated 4:05 AM on 1/26/26
Name
Mastery
Learn
Test
Matching
Spaced
Call with Kai

No analytics yet

Send a link to your students to track their progress

83 Terms

1
New cards

What are the two processes of vascular development?

Vasculogenesis and angiogenesis

2
New cards

What is vasculogenesis?

Angioblasts coalesce to form major vessels

3
New cards

What is angiogenesis?

Sprouting of new vessels from existing vessels

4
New cards

What regulates angiogenesis?

Vascular Endothelial Growth Factor (VEGF)

5
New cards

Where do extraembryonic vessels initially form?

From the yolk sac during the 3rd week

6
New cards

What cells form blood islands?

Hemangioblasts

7
New cards

Where do hemangioblasts form blood vessels?

Within the yolk sac and lateral plate mesoderm

8
New cards

When do blood islands appear?

Week 3

9
New cards

Where do blood islands appear?

Mesoderm surrounding the yolk sac

10
New cards

How do the dorsal aortae form?

From blood islands bilaterally

11
New cards

What major structures are associated with the dorsal aortae?

Primitive heart tube and foregut

12
New cards

The dorsal aortae form by which process?

Vasculogenesis

13
New cards

What is the most likely diagnosis for a 14-month-old with a scalp mass?

Hemangioma

14
New cards

How many paired aortic arches initially form?

Six paired aortic arches

15
New cards

Where do the aortic arches arise from?

Aortic sac

16
New cards

Where do the aortic arches terminate?

Dorsal aortae

17
New cards

What happens to the 1st and 2nd arches by the end of week 4?

Large portions regress

18
New cards

What does Arch 1 form?

Maxillary artery

19
New cards

What does Arch 2 form?

Hyoid and stapedial arteries

20
New cards

What does Arch 3 form?

Common carotid and internal carotid arteries

21
New cards

Where do cranial portions of carotids come from?

Dorsal aortae

22
New cards

What are the external carotids?

Branches of the common carotid arteries

23
New cards

What does Arch 4 form on the right?

Right subclavian artery

24
New cards

What does Arch 4 form on the left?

Segment of the aortic arch

25
New cards

What happens to Arch 5?

Regresses / fizzles

26
New cards

Why does the right recurrent laryngeal nerve loop higher?

Right distal 6th arch regresses; nerve recurs around right subclavian artery

<p>Right distal 6th arch regresses; nerve recurs around right subclavian artery</p>
27
New cards

Where does the left recurrent laryngeal nerve loop?

Around the aortic arch

<p>Around the aortic arch</p>
28
New cards

What is the 6th aortic arch called?

Pulmonary arch

<p>Pulmonary arch</p>
29
New cards

Right proximal portion of Arch 6 forms what?

Right pulmonary artery (think RP RP)

<p>Right pulmonary artery (think RP RP)</p>
30
New cards

Right distal portion of Arch 6 does what?

Regresses

31
New cards

Left proximal portion of Arch 6 forms what?

Left pulmonary artery (think LP LP)

32
New cards

Left distal portion of Arch 6 persists as what?

Ductus arteriosus

33
New cards

Know the development of the aortic arches figure

knowt flashcard image
34
New cards

What is the ductus arteriosus?

A structure in embryo connecting the pulmonary trunk to the aorta.

Acts as a shunt - prevents blood from going back to lungs and instead dumps it back into aorta.

<p>A structure in embryo connecting the pulmonary trunk to the aorta.</p><p>Acts as a shunt - prevents blood from going back to lungs and instead dumps it back into aorta.</p>
35
New cards

What does a machine-like murmur at the left 2nd intercostal space suggest?

Patent ductus arteriosus

36
New cards

Dysphagia with aberrant vessel—most likely cause?

Aberrant right subclavian artery

37
New cards

Where do the vitelline arteries arise from?

arise from abdominal aorta and supply derivatives of the yolk sac

38
New cards

Vitelline arteries give rise to which vessels?

Celiac and superior mesenteric arteries

39
New cards

What do umbilical arteries form via secondary connections?

Common iliac arteries, internal iliac (proximal), superior vesical arteries (proximal)

Basically vessels in the pelvis

40
New cards

What do regressed umbilical arteries become?

Medial umbilical ligaments

41
New cards

By week 5, what three paired veins exist?

Umbilical, vitelline, cardinal veins

42
New cards

Where will vitelline veins carry blood from?

yolk sac (GI tract) to the sinus venosus

43
New cards

Where will umbilical veins carry blood?

carry oxygenated blood from the placenta to the embryo (through umbilical cord)

44
New cards

Where will cardinal veins drain blood from?

Cardinal veins: principle veins of the embryo, drains body wall, trunk, limbs, head and neck

drain blood from the embryo and deliver it to the R. side of the heart

45
New cards

What happens to the umbilical veins?

Right regresses; left carries blood from placenta to liver

46
New cards

What does the right vitelline vein form?

Inferior vena cava (IVC)

47
New cards

What does the left vitelline vein form?

Portal vein

48
New cards

What is the sinus venosus?

bottom of the embryonic heart, collects all the venous blood from the embryo (send it to right atrium)

49
New cards

What is the function of the ductus venosus?

A shunt at the end of the umbilical cord which allows blood coming from the placenta to bypass the liver and empty directly into the IVC

allows nutrient rich blood to reach the brain and face

50
New cards

How is the portal vein formed?

Vitelline vein network around the duodenum coalesces into a single portal vein

51
New cards

Superior mesenteric vein derives from which embryologic vessel?

Right vitelline vein

52
New cards

Which structures arise from vitelline veins?

i. small region of the IVC (see below)

ii. portal vein

iii. ductus venosus

iv. hepatic

v. superior mesenteric

vi. inferior mesenteric

vii. splenic

Think Stressed People Don’t Have Sex In School

53
New cards

What do cardinal veins do?

Main venous drainage of embryo

54
New cards

What do anterior cardinal veins drain?

Cephalic portion

55
New cards

What do posterior cardinal veins drain?

Rest of embryo

56
New cards

Anterior cardinal veins form which adult vessels?

Internal jugular veins (drain the head)

57
New cards

Which veins form between weeks 5-7?

Subcardinal, sacrocardinal, supracardinal veins

58
New cards

What do subcardinal veins drain?

Kidneys

59
New cards

What do sacrocardinal veins drain?

Lower extremities

60
New cards

What do supracardinal veins drain?

Body wall

61
New cards

What veins drain the embryonic kidney and what will they become?

the posterior cardinal veins play a major role in draining the embryonic kidney

as the embryonic kidney regresses so does the blood supply; the vast majority of the posterior cardinal veins disappear

as a result the supracardinal veins take on the role of draining the body wall and become the azygos system of veins

<p>the posterior cardinal veins play a major role in draining the embryonic kidney</p><p>as the embryonic kidney regresses so does the blood supply; the vast majority of the posterior cardinal veins disappear</p><p>as a result the supracardinal veins take on the role of draining the body wall and become the azygos system of veins</p>
62
New cards

What segments make up the IVC?

Hepatic, renal, sacrocardinal

<p>Hepatic, renal, sacrocardinal</p>
63
New cards

How is the left common iliac vein formed?

anastamosis between sacrocardinal veins

64
New cards

What are the five components of fetal circulation?

Umbilical vein, ductus venosus, oval foramen, ductus arteriosus, umbilical arteries

<p>Umbilical vein, ductus venosus, oval foramen, ductus arteriosus, umbilical arteries</p>
65
New cards

What does closure of umbilical arteries form?

Medial umbilical ligaments

66
New cards

Closure of umbilical vein forms what?

Ligamentum teres hepatis

67
New cards

Closure of ductus venosus forms what?

Ligamentum venosum

68
New cards

Closure of ductus arteriosus forms what?

Ligamentum arteriosum

69
New cards

Closure of oval foramen forms what?

Fossa ovale

70
New cards

When does the lymphatic system begin forming?

Around week 6

71
New cards

Lymphatics are derived from what germ layer?

Mesoderm

72
New cards

How many lymphatic sacs form?

Six sacs

73
New cards

What are the six lymphatic sacs?

2 jugular, 2 iliac, 1 retroperitoneal, 1 cisterna chyli

<p>2 jugular, 2 iliac, 1 retroperitoneal, 1 cisterna chyli</p>
74
New cards

Where does lymph ultimately drain?

Thoracic duct -> left jugulovenous angle

<p>Thoracic duct -&gt; left jugulovenous angle</p>
75
New cards

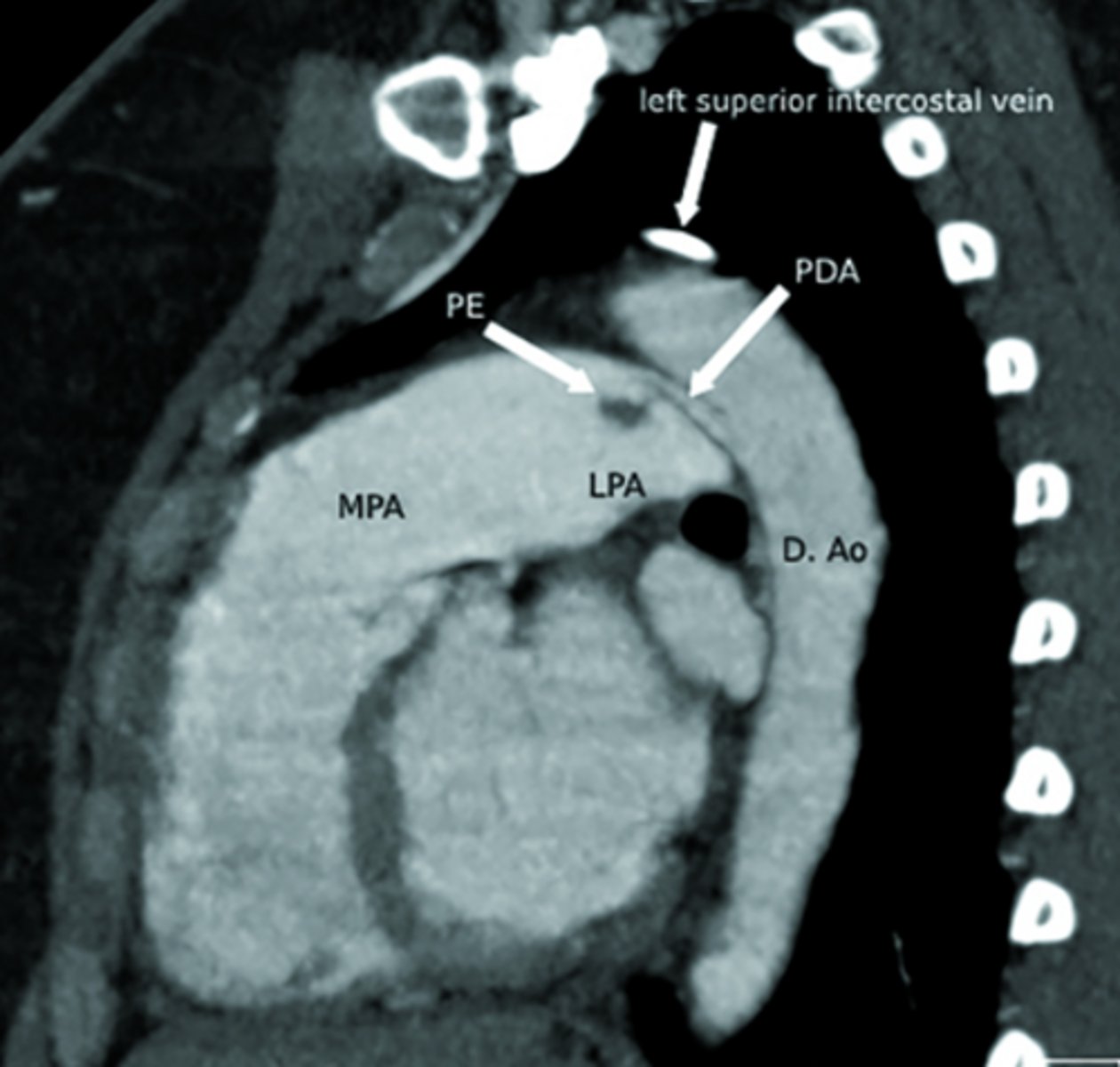
What is patent ductus arteriosus (PDA)?

Persistent connection between the pulmonary artery and aorta after birth.

<p>Persistent connection between the pulmonary artery and aorta after birth.</p>
76
New cards

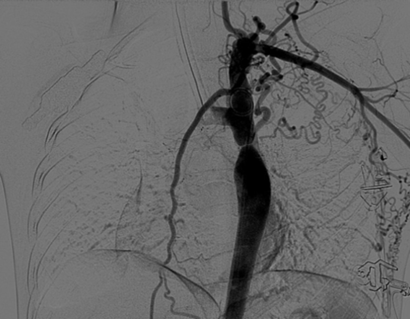
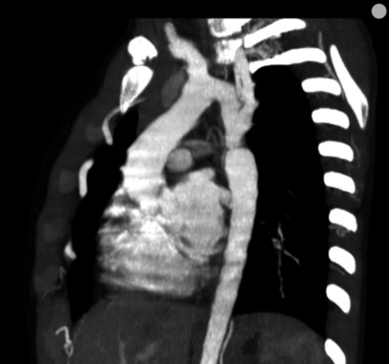
What is coarctation of the aorta?

Congenital narrowing of the aorta.

<p>Congenital narrowing of the aorta.</p>
77
New cards

What are the key features of infantile coarctation of the aorta?

Symptomatic in early childhood, tubular hypoplasia of the aortic arch, occurs proximal to a PDA.

<p>Symptomatic in early childhood, tubular hypoplasia of the aortic arch, occurs proximal to a PDA.</p>
78
New cards

What are the key features of adult coarctation of the aorta?

Narrowing opposite a closed ductus arteriosus, distal to the great vessels from the aortic arch.

<p>Narrowing opposite a closed ductus arteriosus, distal to the great vessels from the aortic arch.</p>
79
New cards

What is the chest radiograph finding in coarctation of the aorta?

Figure 3 sign.

<p>Figure 3 sign.</p>
80
New cards

What causes dysphagia lusoria?

Abnormal origin of the right subclavian artery results in compression of the esophagus -impairment of swallowing

<p>Abnormal origin of the right subclavian artery results in compression of the esophagus -impairment of swallowing</p>
81
New cards

What is a double aortic arch?

Persistence of both right and left aortic arches forming a vascular ring.

<p>Persistence of both right and left aortic arches forming a vascular ring.</p>
82
New cards

What is congenital lymphedema?

Dilation or congenital hypoplasia of lymphatic channels.

<p>Dilation or congenital hypoplasia of lymphatic channels.</p>
83
New cards

What is a cystic hygroma?

Large fluid-filled swellings involving jugular lymph sacs that fail to connect to lymphatic vessels.

<p>Large fluid-filled swellings involving jugular lymph sacs that fail to connect to lymphatic vessels.</p>