1/10
Looks like no tags are added yet.
Name | Mastery | Learn | Test | Matching | Spaced | Call with Kai |
|---|
No analytics yet
Send a link to your students to track their progress

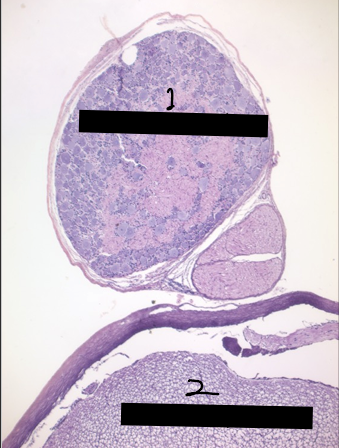
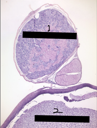
1
dorsal root ganglion

2
section of spinal cord

1 & 2
axons of the dorsal root

3
afferent neuron cell bodies

4
nucleus

5
nucleolus

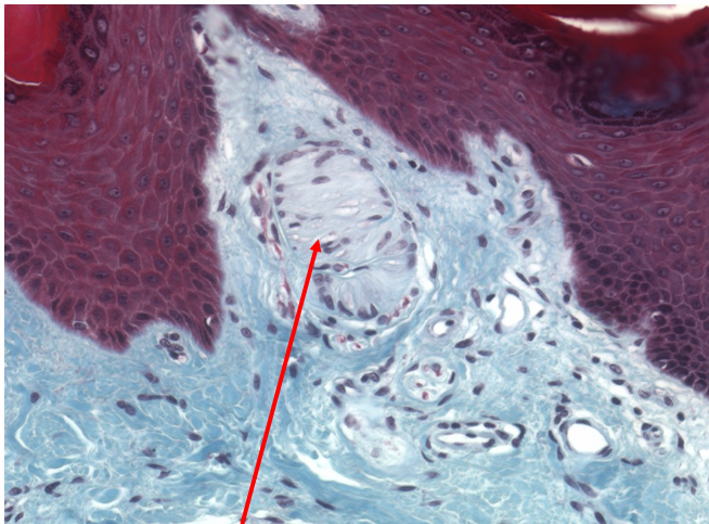
what’s this?
pacinian corpuscle (location of sensory dendrites of afferent neuron)

what’s this?
Meissner’s corpuscle (where sensory dendrites are located)

yellow arrows
nucleolus

green arrows
somatic motor neuron

green arrows
sympathetic chain ganglia