1/17
Looks like no tags are added yet.
Name | Mastery | Learn | Test | Matching | Spaced | Call with Kai |
|---|
No study sessions yet.
What is the arterial pathway of the penis?
common iliac arteries
internal iliac arteries
internal pudendal arteries
-deep artery of the penis -bulbourethral artery
-corpora cavernosa -corpus spongiosum
What is the venous pathway of the penis?
deep dorsal vein -superficial dorsal vein
pudendal venous plexus
internal pudendal veins
internal iliac veins
common iliac veins
The penis stimulation increases
blood supply
-dilated arteries
The penis engorged blood sinuses within the
corpora cavernosa
Compression of veins
-retains blood for erection
-urinary bladder sphincter closes
What is the reproductive function of the penis?
is to eject semen
-insertion/delivery in the vagina
What are the penile sonography applications?
-evaluation of vasculogenic impotence
-detection of fibrosis- Peyronie’s disease
-detection of scar tissue and plaques
-evaluation of tumors
-penile hematomas
-evaluate periurethral disease or stricture
What is the sonographic appearance of the corpus spongiosum?
homogeneous medium level echoes
What is the sonographic appearance of the corpora cavernosa?
homogeneous medium level echoes
What is the sonographic appearance of the tunica albuginea and septum penis?
highly echogenic
What is Peyronie’s Disease
development of fibrous scar tissue inside the penis
What are the effects of peyronie’s disease?
-causes a significant bend
-erection problems
-shortening of the penis
-pain
-treat if severe enough to prevent successful intercourse
What are the causes of peyronies disease?
-repeated injury
-unknown etiology

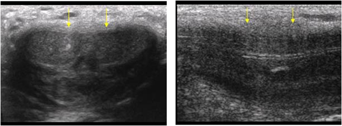
What are these images showing?
peyronies
Penile Doppler Eval measurements of cavernosal artery
arterial diameter
baseline PSV and EDV
Penile Doppler Eval
pre-injection (papaverine) baseline
-evaluated through the 5 phases of erection
-post injection 5, 10, 15, 20 minutes
What is the PSV?
<30 cm/sec indicated arteriogenic impotence
What is EDV?
>5cm/sec indicates venogenic impotence
-Reverse diastole rules out venous insufficiency