1/39
Looks like no tags are added yet.
Name | Mastery | Learn | Test | Matching | Spaced | Call with Kai |
|---|
No analytics yet
Send a link to your students to track their progress
Cotyledon
Leaf-like stucture which absorbs nutrients from the triploid endosperm and provides it to the embryonic plant. As soon as true leaves appear and begin photosynthesis, the cotyledons wither away.
Monocots
Have one cotyledon
Leaf veins are parallel
Leaf attaches by sheath (wraps around)
Roots are fibrous (no main root)
Floral organs in multiples of 3s
Dicots
Have two cotyledon
Leaf veins intersect
Leaf attaches by petiole (stem like before leaf)
Taproot (main big root)
Floral organs in multiples of 4 or 5
Epidermal Tissue System
Protects the outside of the plant
Guard cells, stomata, cuticle
Vascular Tissue System
Transport water and nutrients through the plant
Xylem and Phloem
Xylem
(tissue type) Transports water and is made up of tracheids and vessel elements
Phloem
(tissue type) transports photosynthetic products and is made up of companion cells and sieve-tube members
Ground Tissue System
Everything else
Parenchyma, Spongy mesophyll, palisade mesophyll, fibers, pith, cortex, vascular cambium
Monocot Stems
Vascular bundles scattered, no vascular cambium, no identifiable pith or cortex
Dicot Stems
Vascular bundles arranged in a ring with vascular cambium present, identifiable pith and cortex
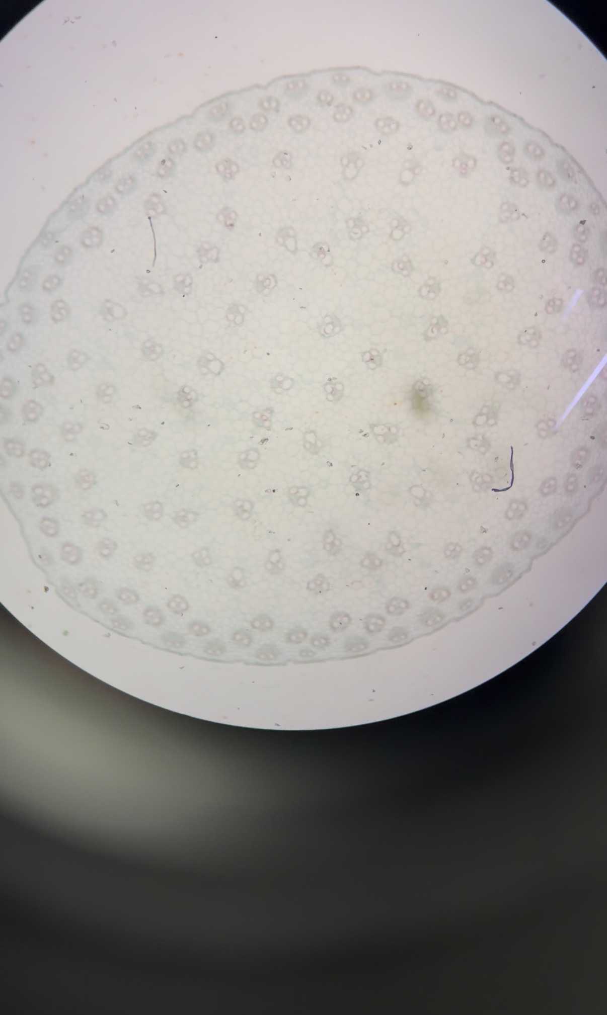
Monocot Roots
Stele has a pith, vascular structures scattered within but arranged in a ring
Dicot Roots
Stele has no pith, vascular structures organized into X Shape

What structure is this?
Eudicot Stem or Dicot Stem

What structure is this?
Monocot Stem

What structure is this?
Dicot Root

What structure is this?
Monocot Root
What is the Stele?
Everything inside the endodermis

Label each element (lines from left to right, top to bottom)
Endodermis
Pericycle
Cortex
Phloem
Xylem

Label each line (left to right, top to bottom)
Endodermis
Phloem
Xylem
Cortex
Pith
Pith
REGION - center of the root (inside the ring of xylem)
Cortex
REGION - on the outside of the endodermis

Label each zone top to bottom
Zone of Maturation
Zone of Elongation
Zone of Cell Division

What is this structure?
Dicot Leaf; has both spongy and palisade mesophyll

What is this structure?
Monocot Leaf; Only has spongy mesophyll

Label the Dicot Structure (top to bottom)
Apical Meristem
Beginning Leaf
Terminal Bud
Stem
Leaf
Petiole
Lateral Bud
Internode
Cotyledon
Shoot System
Root System
Primary Root
Lateral Root
Root hairs
Root Cap
Guard Cells
Open and close on leaves to create the stomata
Stomata
Opening in the leaf epidermis which allows for gas exchange in photosynthetic tissues
Endodermis
In the roots, protects the plant from any harmful substances taken up by the roots
Vascular Bundles
Clusters fo xylem and phloem in close proximity to one another
Parenchyma
Store food, metabolic activities, photosynthesis, water balance and healing; in the pith and cortex of roots and stems
Epidermis
In dicot stems, small cells on the very outside of the stem
Vascular Cambium
A thin layer of cells between the phloem and xylem
Is celery monocot or dicot?
Dicot

What is this structure?
Dicot Stem

What is this structure?
Monocot Stem

What is this structure?
Dicot Root

What is this structure?
Monocot Root

Label the Parts of the Root
A. Root Cap
B. Cortex
C. Meristem
D. Epidermis
E. Root Hair
F. Pith
G. Zone of Cell Division
H. Zone of Elongation
I. Zone of Maturation

What kind of root is this and name the labels
Monocot Root
J. Phloem
K. Xylem