1/123
Looks like no tags are added yet.
Name | Mastery | Learn | Test | Matching | Spaced | Call with Kai |
|---|
No analytics yet
Send a link to your students to track their progress
The science that studies the inheritance and expression of inherited traits is:
genetics
A distinctive association of signs and symptoms occurring together is:
syndrome
The physical, biochemical, and physiologic traits of an individual is:
phenotype
The hereditary units transmitted from one generation to another is:
genes
The small bodies in the nucleus of a cell that carry the chemical instructions for reproduction of the cell in addition to other cellular functions are:
chromsomes
Chromosomes contain _____, which directs the production of ______, ______, & ______________.
1. DNA
2. amino acids
3. polypeptides
4. proteins by the cell
The process of cellular division in a somatic cell during a part of the cell's life span called:
mitotic cycle
The mitotic cycle:
1. prophase
2. metaphase
3. anaphase
4. telophase
(PMAT)
The two-step cellular division of the primitive (original) germ cells, which reduces the number of chromosomes by half is called:
meiosis
Meiosis is necessary to maintain the normal number of human chromosomes at what?
46 chromosomes
XX=
XY=
Women
Men
During the early period of embryonic development, the genetic activity of one of the X chromosomes in each cell of a ________ embryo is ________.
1. female
2. inactivated
The inactivated chromosome forms a contracted structure known as a:
Barr body
What contains the template that carries all genetic information?
Deoxyribonucleic acid
DNA is transcribed into:
(RNA) ribonucleic acid
Four bases are found in DNA:
Adenine
Guanine
Thymine
Cytosine
The basic unit of DNA is called:
nucleotide
Adenine binds to
Thymine
Guanine binds to
Cytosine
The genes that are located at the same level (locus) in homologous chromosomes and that dictate the same functions or characteristics are called:
alleles
When allelic genes are identical, the person is _________ for that gene.
1. homozygous
When allelic genes are different, the person is ______ for that gene.
1. heterozygous
If a gene can express its effect clinically with a single dose (heterozygous), as in the combination of AO= Blood group A, the characteristic is said to be:
dominant
If the gene needs a double dose to exhibit its action (homozygous), the resulting characteristic or function is said to be:
recessive
Molecular abnormalities occur:
at DNA level
Most inherited disorders represent examples of __________ at the level of one or both allelic genes.
molecular changes (mutations)
Gross abnormalities can be observed in:
a karyotype
A karyotype is:
A photographic representation of a person's chromosomal constitution
Gross Chromosomal Abnormalities are caused by either alterations in _________, or alterations in ______.
1. chromosome number
2. structure
Gross chromosomal abnormalities are almost always a result of:
nondisjunction
A complete second set of chromosomes, the total number being 92.
Euploid (incompatible with life)
(Triploid) 3 or (tetraploid) 4 sets of chromosomes.
Polyploid
Any extra number of chromosomes that are not an exact multiple are:
Aneuploid
The loss of part of a chromosome
deletion
A portion of a chromosome is attached to another chromosome.
translocation
portion of a chromosome is upside down
inversion
A chromosome larger than normal; extra segment is identical to a segment of normal chromosome
duplication
Clinical Syndromes Resulting from Gross Chromosomal Abnormalities include:
1. Trisomy 21
2. Trisomy 13
3. Turner syndrome
4. Klinefelter syndrome
5. Cri du chat syndrome
6. Wolf-Hirschhorn syndrome
Most frequent of trisomies is:
trisomy 21 (down syndrome)
Characteristics of down syndrome include:
1. Slanted eyes
2. Shorter stature
3. Heart abnormalities
4. Varied intelligence levels
5. Fissured tongue
6. Hypodontia
7. Abnormally shaped teeth
8. Anomalies in eruption with malposition and crowding of teeth are common
Gingival and periodontal disease has been reported in _______ of affected individuals with down syndrome
90%
Multiple abnormalities in various organs refers to
Trisomy 13
What percent of infants affected with trisomy 13 die within the first 7 months of life
70%
Characteristic facial clinical findings of trisomy 13 include:
1. Bilateral cleft lip and palate
2. Microphthalmia (small eyes)
3. anophthalmia
(no eyes)
Patients with Turner syndrome have a _______ phenotype.
female
Women with Turner syndrome appear:
short with webbing of neck and edema of hands and feet.
Smears taken from oral mucosa with individuals affected with Turner syndrome lack:
Barr bodies
An ovum carrying two X chromosomes is fertilized by a spermatozoon with a Y chromosome; therefore fertilized ovum will have 2 X chromosomes plus Y chromosome results in:
Klinefelter syndrome
Individuals with Klinefelter syndrome have a ______ phenotype, and the condition cannot be detected until after ______.
1. male
2. puberty
Individuals with Klinefelter syndrome have a maxilla slightly _________.
hypoplastic (underdeveloped)
Klinefelter Syndrome is represented by karyotypes containing:
1. XXXY
2. XXXXY
Abnormalities caused by DELETIONS are examples of:
1. Cri du Chat (Cat Cry) Syndrome
2. Wolf-Hirschhorn Syndrome
A deletion on the short arm of chromosome 5
Cri du chat syndrome
A deletion on the short arm of chromosome 4
Wolf-Hirschhorn syndrome
Newborns with a chromosome 5 deletion exhibit:
cat like cry at birth
Newborns with a chromosome 4 deletion have:
1. Cleft palate
2. IQ under 30
A cyclic decrease in the number of circulating neutrophils is known as:
cyclic neutropenia
Oral manifestations of cyclic neutropenia include:
1. Severe ulcerative gingivitis
2. Gingivostomatitis
3. Ulcerations on tongue and oral mucosa
4. Repeated episodes lead to severe periodontal disease
Hyperkeratosis of the palms of the hands and soles of the feet is known as:
Papillon-Lefèvre Syndrome

At about what age does an individual with Papillon-Lefèvre Syndrome develop a gingivoperiodontal inflammatory process.
1.5 - 2 years of age

Hyperkeratinization of the palms and soles and marked hyperkeratinization of labial and lingual gingiva is known as:
Focal Palmoplantar and Gingival Hyperkeratosis

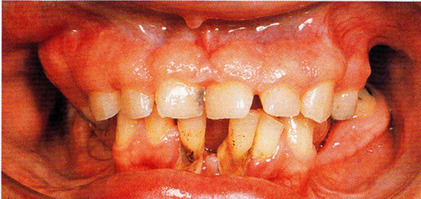
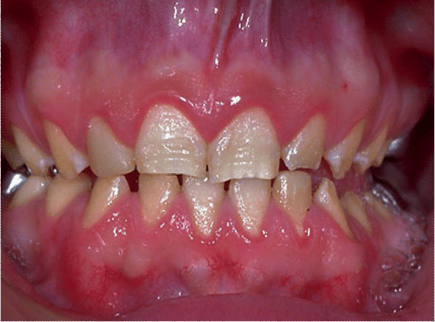
A component of several inherited syndromes composed of very firm tissue with a granular corrugated surface is known as:
Gingival Fibromatosis

Laband syndrome is ________ dominate inheritance pattern.
autosomal
Laband syndrome is characterized by:
1. Gingival fibromatosis
2. Dysplastic or absent nails
3. Malformed nose and ears
4. Hepatosplenomegaly (enlarged liver or spleen)
5. Hypoplasia of terminal phalanges of fingers and toes
Gingival Fibrzomatosis with Hypertrichosi, epilepsy, and mental retardation syndrome is characterized by:
1. Hypertrichosi (excessive growth of hair) , especially of the eyebrows, extremities, genitals, and sacral region
2. Epilepsy
3. Mental retardation
Gingival Fibromatosis with Multiple Hyaline Fibromas is also known as:
Murray-Puretíc-Drescher syndrome
Gingival Fibromatosis with Multiple Hyaline Fibromas is characterized by
1. Hypertrophy of the nail beds
2. Multiple hyaline fibrous tumors developing on the nose, chin, head, back, fingers, thighs, and legs
Autosomal dominant with marked penetrance in males and variable expressivity and incomplete penetrance in females is known as:
Cherubism
Progressive bilateral facial swelling due to cherubism, first appears when the patient is _____ to _____years of age
1.5 to 4
Radiographs of the Cherubism reveals a characteristic of:
soap bubbles or multilocular appearance

Dwarfism, Hands showing polydactyly (extra digits) on the ulnar side, and fingernails and toes that are hypoplastic and deformed are all characteristics of:
Ellis-van Creveld Syndrome (Chondroectodermal Dysplasia)
Oral manifestations of Ellis-van Creveld Syndrome include:
Fusion of the anterior portion of the maxillary gingiva to the lip from canine to canine

The neck is long and narrow as a result of unilateral or bilateral aplasia (lack of development) or hypoplasia of clavicles is known as
Cleidocranial Dysplasia
Individuals with Cleidocranial Dysplasia present a premaxilla that is generally underdeveloped, resulting in:
pseudoprognathism
An autosomal dominant inheritance pattern with variable expressivity and marked penetrance which is characterized by osteomas in various bones is known as:
Gardner Syndrome
(Familial Colorectal Polyposis)

Individuals affected with Mandibulofacial Dysostosis
(Treacher-Collins Syndrome)
express:
1. mouth with a fishlike appearance,
2. downward sloping of the lip commissures
3. deaf because of a lack of otic ossicles (ear bones)

Nevoid Basal Cell Carcinoma Syndrome is also known as:
Gorlin syndrome
individuals with Nevoid Basal Cell Carcinoma Syndrome experience Oral lesions consisting of:
multiple cysts of the jaws; odontogenic keratocysts (OKCs)

What percent of individuals with Osteogenesis Imperfecta have an autosomal dominant inheritance pattern with variable expression
30%
What percent of individuals with Osteogenesis Imperfecta have sporadic cases suggesting autosomal recessive inheritance
70%
A tori that occurs on the buccal aspect of the maxilla is called:
maxillary exostosis

What inherited disorder affecting the oral mucosa is considered to occur most frequently?
Van der Woude Syndrome (Cleft Lip-Palate and Congenital Lip Pits)

Hereditary Hemorrhagic Telangiectasia AKA:
Osler-Rendu-Parkes Weber Syndrome

Hereditary Hemorrhagic Telangiectasia is characterized by:
Multiple capillary dilations of skin and mucous membranes called telangiectasias
Multiple mucosal neuroma syndrome AKA
MEN2B Syndrome
Characteristics of patients with Multiple mucosal neuroma syndrome include:
1. Tall patients
2. Thick, large lips
3. Everted upper eyelids
Early diagnosis of multiple Mucosal Neuroma Syndrome is imperative. T/F
TRUE!
Neurofibromatosis of von Recklinghausen AKA
von Recklinghausen disease

Multiple melanotic macular pigmentations and gastrointestinal polyposis- hamartomas are characteristics of:
Peutz-Jeghers Syndrome

White Sponge Nevus
(Familial White Folded Mucosal Dysplasia) characteristics include:
1. White, corrugated, soft, folding buccal oral mucosa
2. Thick layer of keratin that desquamates and leaves a raw mucosal surface
3. Free gingiva is not affected

Type I: Hypoplastic amelogenesis imperfecta
1. The tooth enamel does not develop to a normal thickness
2. Autosomal dominant and autosomal recessive

Type II: Hypocalcified amelogenesis imperfecta
Normal thickness but poorly calcified

Type III: Hypomaturation amelogenesis imperfecta
1. Enamel is softer than normal
2. "Snowcapped"

Type IV: Hypoplastic-hypomaturation amelogenesis imperfecta
1. Associated with taurodontic teeth
2. Yellow to brown pitted enamel
Hereditary opalescent dentin:
Dentinogenesis Imperfecta

Dentin Dysplasia is subdivided into:
Type I: Radicular
Type II: Coronal
Type I: Radicular
1. The teeth have normal crowns and abnormal roots
2. The teeth are generally exfoliated prematurely
Type II: Coronal
Primary teeth are translucent with an amber color
Adult teeth appear normal
Hypotrichosis:
Hypohidrosis:
1. Decreased hair
2. Decreased sweating
A decrease in serum alkaline phosphatase levels that affects formation of bone and cementum results in:
Hypophosphatasia