1/8
Looks like no tags are added yet.
Name | Mastery | Learn | Test | Matching | Spaced | Call with Kai |
|---|
No study sessions yet.

This tissue has changed due to injury. Why type of change has occurred
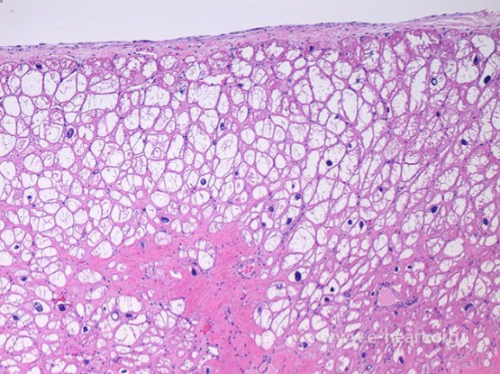
Hydropic change (Accumulation of water in the cytoplasm)

This Liver tissue has changed due to injury. Why type of change has occurred


Match name to picture:
Pyknosis
Karyolysis
Karryorrhexis


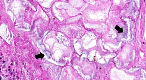
What kind of necrosis is this
Coagulative necrosis
pale “ghost” cells – cell outline remains with loss of cell detail

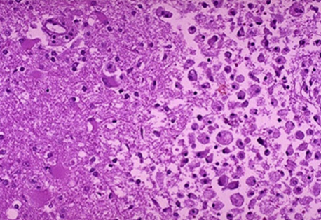
What kind of necrosis is this
LIQUEFACTIVE NECROSIS
hydrolytic enzymes from lysosomes - complete digestion of tissue architecture

What kind of necrosis is this
CASEOUS NECROSIS
eosinophilic structureless material (fragmented necrotic cells)

What kind of necrosis is this
FAT NECROSIS
• Shadowy outlines of necrotic fat cells
• Basophilic calcium deposits (fat saponification)
• Inflammatory infiltrate (macrophages, neutrophils)

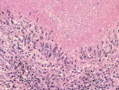
Result of inflammation


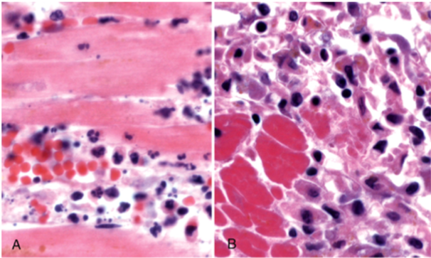
What has happened to this myocardium
ischemic necrosis