1/20
Looks like no tags are added yet.
Name | Mastery | Learn | Test | Matching | Spaced | Call with Kai |
|---|
No analytics yet
Send a link to your students to track their progress

what touch receptor is this?
meissner corpuscle

what touch receptor is this?
pacinian corpuscle

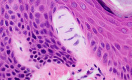
what is this?
taste buds

red
retina

orange
choroid

yellow
sclera

green
nuclei of rods and cones

red
cornea

orange
sclera

yellow
optic nerve

green
extrinsic eye muscle

red
lens

orange
retina

green
vitreous body

blue
optic nerve

purple
choroid

red
suspensory ligaments

orange
lens

yellow
ciliary process

green
choroid

blue
sclera