1/131
Looks like no tags are added yet.
Name | Mastery | Learn | Test | Matching | Spaced | Call with Kai |
|---|
No analytics yet
Send a link to your students to track their progress

1
Helicotrema

2
Scala tympani

3
Cochlear duct

4
Basilar membrane

1
Corpus callosum

2
Thalamus

3
Medulla oblongata

4
Arbor vitae

1
Dorsal horn

2
ventral root

3
Ventral horn

4
Dorsal root ganglion

what is this
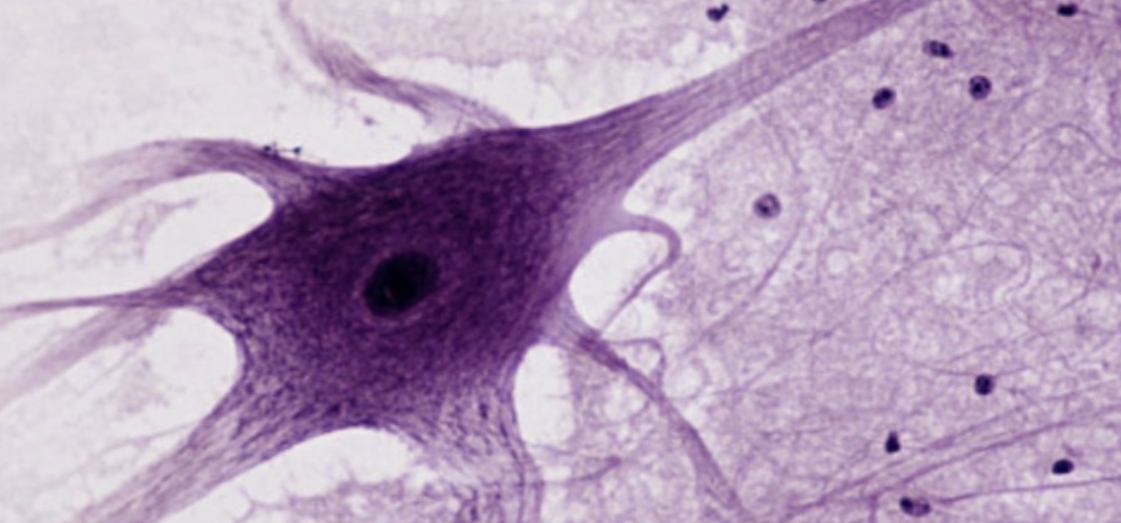
Neuron

1
Dendrite

2
Soma

3
Nucleus

4
Schwann cell

5
Myelin

6
Node of ranvier

7
Axon

8
Myelin sheath

9
Axon terminal

1
Synaptic vesicle

2
Axon terminus

3
Acetylcholine receptors

4
voltage gated Na+ channels

5
Sacromere

6
Muscle cell

7
Basal lamina

What is this
Motor neuron

Label
Axon and motor end plate

What is this
Hippocampal pyramidal cells

1
Dendrites

2
Soma

What is this
several pyramidal neuron

What is this
Purkinje neuron

What is this
Bipolar neuron

What is the purple part
Rods and cones

What is the green part
Bipolar neurons

What is the red part
Ganglions

What is this
Rosehip neuron

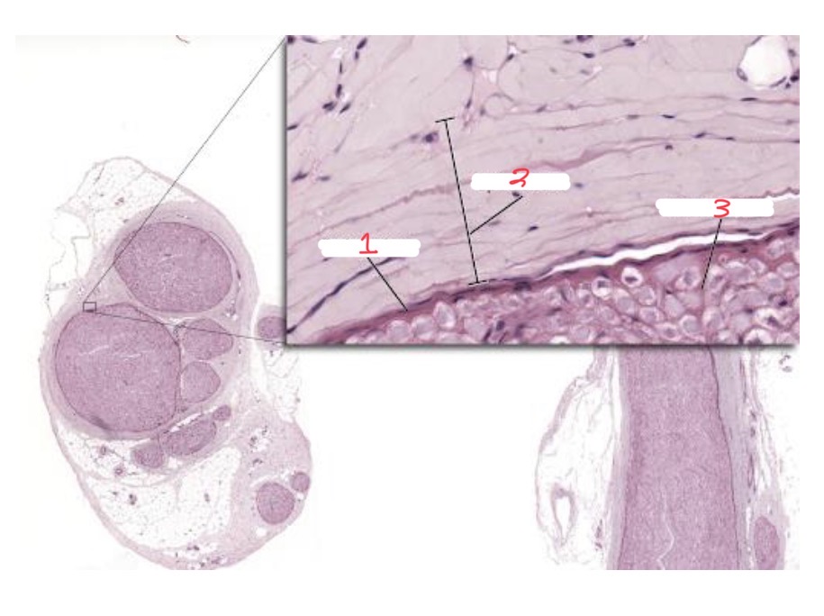
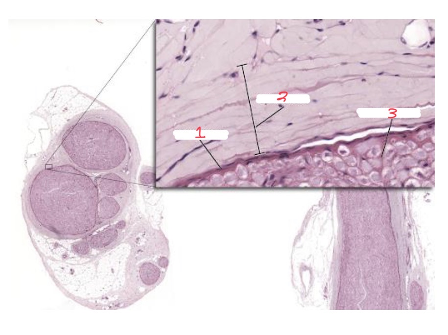
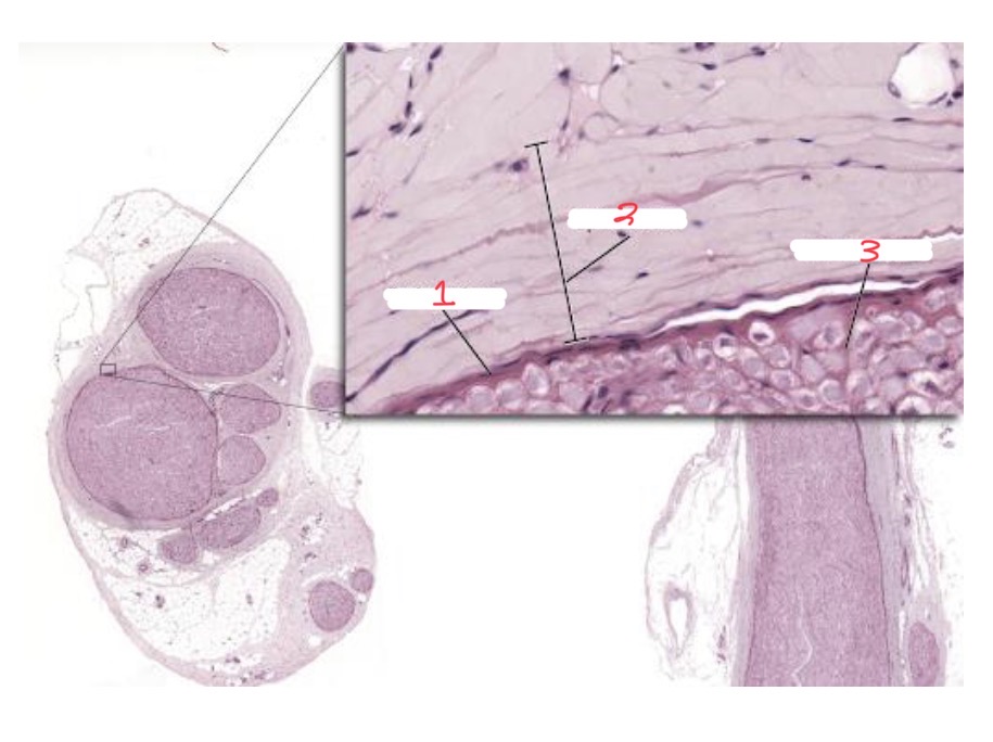
1
Interfasicular epineurium

2
Nerve fascicles

3
Vasa nervorum

4
Perineurium

What is this
Peripheral nerve cross section

What is this
Peripheral nerve coverings

1
Perineurium

2
Epineurium

3
Endoneurium

1
Schwann cell

2
Myelin sheath

3
Axon

4
Perineurium

1
Scala vestibuli

2
Internal spiral sulcus

3
Vestibular membrane

4
hair cells

5
Tectorial membrane

6
Osseus spiral lamina

7
Spiral ganglion

8
Scala tympani

9
Organ of corti

10
Basilar membrane

11
spiral ligament

12
Cochlear duct

What is this
Cochlear cross section

1
Helicotrema

2
Cochlear duct

3
Organ of corti

4
spiral lamina

5
Spiral ganglion

6
Cochlear nerve

7
Scala tympani

8
Basilar membrane

9
Scala vestibuli

10
Osseus labyrinth

11
Vestibular membrane

1
Malleus

2
Incus

3
Stapes

4
Scala tympani

5
Scala vestibuli

6
Cochlear nerve

7
Spiral ganglion

8
Cochlea

9
Round window

10
Oval window

11
Tympanic membrane

12
Auditory canal

what is this
Sciatica nerve

1
pectinate muscle

2
Bicuspid valve

3
Left ventricle

4
Chordae tendineae

5
papillary muscle

6
Trabeculae carneae

1
Right atrium

2
pectinate muscles

3
Aortic semilunar valve